Using ICG navigation in resection of a horseshoe kidney
- Authors: Kozlov Y.A.1,2,3, Poloyan S.S.1,3, Marchuk A.A.1, Rozhanski A.P.3, Byrgazov A.A.3, Muravev S.A.3, Kovalkov K.A.4,5, Kapuller V.M.6, Narkevich A.N.7, Savvina V.A.8,9, Kupryakov S.O.8
-
Affiliations:
- Irkutsk State Regional Children's Clinical Hospital
- Irkutsk State Medical Academy of Postgraduate Education
- Irkutsk State Medical University
- Yu.A. Atamanov Kuzbass Regional Children's Clinical Hospital
- Kemerovo State Medical University
- Assuta Medical Center
- Professor V.F. Voino-Yasenetsky Krasnoyarsk State Medical University
- Republican Hospital No. 1 — National Center of Medicine
- North-Eastern Federal University named after M.K. Ammosov
- Issue: Vol 28, No 1 (2024)
- Pages: 90-97
- Section: CASE REPORT
- Submitted: 02.02.2023
- Accepted: 28.01.2024
- Published: 03.04.2024
- URL: https://jps-nmp.ru/jour/article/view/593
- DOI: https://doi.org/10.17816/ps593
- ID: 593
Cite item
Abstract
BACKGROUND: In this publication, we present a new area of application of indocyanine green (ICG) imaging in pediatric surgery. We used this advanced method to evaluate the resection margins of a functional segment of the horseshoe kidney after intravenous indocyanine green.
CLINICAL CASE DESCRIPTION: The article presents a case of treatment of a horseshoe kidney complicated by vesicorenal reflux in the left segment and loss of function of the left segment. Resection of the left half of the horseshoe kidney was performed using fluoroscopic control with intravenous administration of indocyanine green. The surgery was performed using the RUBINA™ endovideosurgical system manufactured by KARL STORZ (Germany). RUBINA™ components offer a variety of ICG in near-infrared fluorescence signal imaging modes. Depending on the surgeon and the application, ICG in near-infrared fluorescence data can be used in different modes: image overlay mode, backup mode, color mapping mode. After confirming the boundaries of the perfused part of the kidney, laparoscopic resection of the functional half was performed at the level of the isthmus.
The use of ICG imaging was very important in identifying healthy tissue that stained intensely green 2 minutes after intravenous indocyanine green administration. This margin check verifies the functioning renal parenchyma and allows the correct selection of the nephrectomy margin. The next day after the operation, an ultrasound examination of the renal remnant and perinephric space was performed — the rotation to the right hour of the horseshoe-shaped kidney was good and no accumulation of fluid was detected in the bed of the removed segment. A control ultrasound examination 6 months after the operation showed the preservation of the parenchyma of the right half of the kidney, which indicates the positive effect of the surgical procedure.
CONCLUSION: ICG navigation is a promising method for noninvasive assessment of resection margins in patients with horseshoe kidneys.
Keywords
Full Text
ОБОСНОВАНИЕ
Лапароскопическая парциальная нефрэктомия (ЛПН) — один из способов лечения детей с аномалиями строения или опухолями почек [1]. Это тяжёлая процедура, в частности, из-за сложной анатомии — удвоенной и подковообразной почки (ПОП) [2]. В ходе ЛПН хирургу чрезвычайно важно идентифицировать сосуды, снабжающие поражённый сегмент почки, чтобы сохранить здоровый сегмент. Деликатный манёвр — пересечение питающего сосуда нефункционирующей части. И наконец, хирургу важно избежать повреждения здорового полюса во время резекции поражённой части почки, чтобы сохранить как можно больше нефронов в почечном остатке [3].
Появившаяся в последнее время технология флюоресцентного изображения с индоцианином зелёным (indocyanine green, ICG), который при воздействии света в ближней инфракрасной флюоресценции (near-infrared fluorescence, NIRF) приобретает зелёный оттенок, нашла применение в минимально инвазивной хирургии и используется с целью улучшения интраоперационной визуализации анатомических структур поражённых органов и повышения эффективности лапароскопических или роботизированных операций [4]. ICG — водорастворимый флюоресцентный краситель, который можно вводить внутривенно. Препарат связывается с альбумином плазмы и остаётся в сосудах, позволяя визуализировать артерии, вены, лимфатические сосуды и ключевые анатомические ориентиры практически мгновенно после инъекции [5].
За последние несколько лет ICG-визуализация с успехом использовалась для хирургического лечения болезней желудочно-кишечного тракта, онкологических и урологических заболеваний [6, 7]. С некоторых пор ICG-визуализация стала применяться при выполнении ЛПН, главным образом у взрослых пациентов. Показания к применению ICG для лапароскопической резекции почки у детей появились недавно и включают в основном удвоение, кисты и опухоли почки [1].
В этой публикации мы представляем новую область применения ICG-визуализации в детской хирургии. Мы использовали этот продвинутый метод изображения, чтобы оценить границы резекции афункционального сегмента подковообразной почки.
ОПИСАНИЕ КЛИНИЧЕСКИХ СЛУЧАЕВ
В статье представлен случай лапароскопической резекции афункционанальной половины подковообразной почки, осложнённой везикоренальным рефлюксом в левый сегмент и последующей атрофией левого сегмента. Операция проведена под флюороскопическим контролем с внутривенным введением ICG.
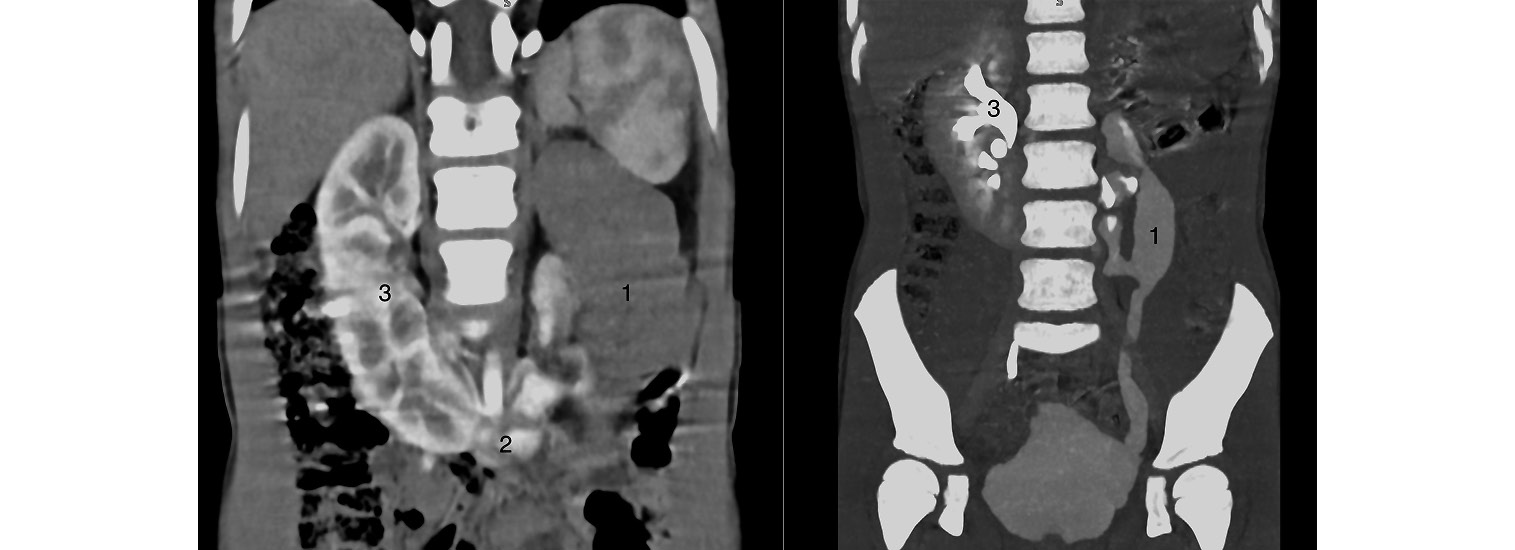
Пациент — мальчик 5 лет с диагнозом «Подковообразная почка с афункциональной левой половиной». Диагноз установлен при помощи ультразвукового исследования (УЗИ), допплеровского исследования почек, контрастной мультиспиральной компьютерной урографии и микционной цистографии, которые позволили определить везикоренальный рефлюкс как причину атрофии левой половины почечной паренхимы (рис. 1).
Рис. 1. Компьютерная томография подковообразной почки с уретерогидронефрозом и потерей функции левой половины: 1 — левая половина подковообразной почки, 2 — перешеек подковообразной почки, 3 — правая половина подковообразной почки.
Почечную функцию определяли путём проведения радионуклидной ренографии. Показания к удалению сегмента почки: минимальное поглощение радиофармпрепарата (дифференцированная почечная функция <10%) и минимальный или отсутствующий кортикальный слой (4 степень по классификации Onen) по результатам УЗИ или компьютерной урографии.
Пациента госпитализировали в хирургическое отделение за 36 ч до операции. Перед операцией ему были назначены средства, снижающие газообразование в кишечнике (симетикон) и клизма для опорожнения толстой кишки.
Хирургическая операция выполнена с использованием эндовидеохирургической системы RUBINA™ компании KARL STORZ (Германия). Эта система состоит из источника света NIRF OPAL1® NIR/ICG, головки камеры для ICG-NIRF визуализации, осветителя POWER LED RUBINA™ и 30° лапароскопа высокого разрешения TIPCAM®1 RUBINA™ диаметром 10 мм с двумя дистально встроенными видеочипами.
Оптический 10-мм лапаропорт устанавливали через пупок, два других инструментальных 3-мм лапаропорта вводили в брюшную полость билатерально от него так, чтобы реализовать принцип триангуляции инструментов, когда между ними образуется угол в 90°, обеспечивающий наилучшую эргономику движений рук хирурга. Таким образом, один инструмент мы устанавливали по средней линии ниже мечевидного отростка, другой — ниже пупка над мочевым пузырём. Порт для правой руки был снабжён растягивающей канюлей VersaStep, которая позволяла быстро менять 3-мм инструменты на 5-мм — клипаппликатор Hem-o-Lok и инструмент для электролигирования сосудов BiClamp.
После обнажения передней стенки левой половины ПОП мы осмотрели ткань почки и почечные сосуды, питающие левую половину ПОП (рис. 2). Деликатными действиями мобилизовали сосуды и освободили левую половину ПОП от перивисцеральных сращений до уровня перешейка, соединяющего её с правой половиной ПОП.
Рис. 2. Визуализация подковообразной почки в режиме наложения флуоресцентного изображения: 1 — левая половина подковообразной почки, 2 — перешеек подковообразной почки, 3 — правая половина подковообразной почки.
Затем внутривенно болюсно ввели ICG в дозе 0,25 мг/кг. Режим флюоресценции ICG-NIRF активировали нажатием кнопки на головке камеры, благодаря чему флюоресцентная визуализация была доступна в режиме реального времени, позволяя идентифицировать почечные сосуды, паренхиму почки и верхние мочевые пути — лоханку почки и верхнюю треть мочеточника. Компоненты RUBINA™ предлагают различные режимы визуализации сигнала ICG-NIRF. В зависимости от предпочтений хирурга и области применения ICG-NIRF данные могут отображаться в различных режимах: режим наложения, монохромный режим, режим цветного картирования.
В режиме наложения данные ICG-NIRF накладываются на стандартное изображение в обычном светодиодном свете. При использовании этого режима здоровая правая половина ПОП окрашивается насыщенным зелёным цветом, поражённый левый сегмент не даёт признаков свечения (см. рис. 2).
Монохромный режим может отображать сигнал ICG-NIRF в монохромном белом цвете на черном фоне для лучшей дифференциации флюоресцирующих тканей — правая половина ПОП окрасилась насыщенным белым цветом, поражённый левый сегмент не окрасился (рис. 3).
Рис. 3. Визуализация подковообразной почки в режиме монохромного изображения: 1 — левая половина подковообразной почки, 2 — перешеек подковообразной почки, 3 — правая половина подковообразной почки.
Режим картирования интенсивности сигнала ICG-NIRF предоставляет хирургу цветовую шкалу в наложенном изображении — здоровая правая половина ПОП окрасилась в насыщенные зелено-синие оттенки, левый сегмент не окрасился (рис. 4).
Рис. 4. Визуализация подковообразной почки в режиме цветного картирования: 1 — левая половина подковообразной почки, 2 — перешеек подковообразной почки, 3 — правая половина подковообразной почки.
Режим можно выбрать в меню на головке камеры. Мы предпочли режим наложения на стандартное изображение, которое обеспечивает ICG-визуализацию на протяжении всей операции без необходимости переключения между стандартной и ICG-NIRF камерой.
Использование ICG-визуализации было очень полезным для идентификации здоровой ткани, которая окрасилась в насыщенный зелёный цвет через 2 мин после внутривенного введения ICG. Этот тест подтвердил границы функционирующей почечной паренхимы и помог выбрать границы резекции почки.
Затем мы пересекли перешеек почки на границе свечения, используя технологию электролигирования BiClamp компании ERBE (рис. 5). Мочеточник удалённой части выделяли как можно дистальнее и герметизировали на уровне мочевого пузыря, используя клипсы Hem-o-Lok.
Рис. 5. Лапароскопическая резекция левой половины подковообразной почки, визуализация в режиме наложения изображения: 1 — левая половина подковообразной почки, 2 — перешеек подковообразной почки, 3 — правая половина подковообразной почки.
Удалённую левую часть ПОП извлекли через расширенное отверстие в месте стояния оптического лапаропорта в области пупка. В конце операции через отверстие инструментального лапаропорта в забрюшинное пространство установили дренажную трубку размером Fr 12 (через 24 ч после операции дренаж удалили). Операцию завершили восстановлением рассечённых околопочечных тканей и герметизацией брюшины абсорбирующимся шовным материалом.
РЕЗУЛЬТАТЫ ЛЕЧЕНИЯ
На следующий день после операции выполнили контрольное УЗИ почки и паранефрального пространства. Пациента выписали домой на 3 день после контрольного УЗИ почки, которое показало хороший кровоток в правой половине ПОП и отсутствие скопления жидкости в ложе удалённого сегмента. Индекс резистентности правой половины ПОП до и после операции составил 0,62. Контрольное УЗИ через 6 мес. после операции продемонстрировало сохранность паренхимы правой половины ПОП, демонстрируя позитивный эффект ЛПН.
ОБСУЖДЕНИЕ
Новые продвинутые методы визуализации, такие как флюоресцентное изображение, позволяют увидеть невидимое. ICG — светится зелёным при воздействии света в NIRF и позволяет хирургам получить превосходную визуализацию целевой анатомии, скрытой от глаз в обычном свете.
Наиболее перспективной областью применения флюоресцентной технологии является лапароскопическая резекция почки или ЛПН. Эта процедура выполняется в основном у взрослых с опухолями почек, чтобы сохранить нефроны в почечном остатке [8–10]. Опухоли можно классифицировать как флуоресцентные, гипофлуоресцентные и изофлуоресцентные. Большинство кортикальных опухолей — гипофлуоресцентны, а нормальная паренхима — изофлуоресцентна [11]. Применение ICG-NIRF во время удаления центрально расположенных эндофитных опухолей, продемонстрировало те же результаты [12]. Кистозные поражения почек флуоресцентные — накапливающие ICG [13], а большинство (97%) солидных новообразований почек — гипофлуоресцентные. Таким образом, ICG-NIRF в большинстве случаев помогает отличить злокачественную ткань от доброкачественной.
Кроме того, ICG-NIRF может способствовать качественной интраоперационной диссекции ткани почки, поскольку помогает найти и пережать сосуды, питающие сегмент почки, в составе которого находится опухоль. Некоторые исследователи рекомендуют вводить внутривенно 1–2 мл 0,25% раствора ICG, флакон [14]. Флакон индоцианина зеленого предварительно разводят в 5 мл дистиллированной воды. Более того, для идентификации опухоли и облегчения её иссечения перед пережатием сосудов почки дополнительно вводят 1–2 мл разведённого ICG. Инъекцию ICG также делают на заключительной стадии операции — после снятия зажимов с сосудов. Это нужно, чтобы оценить перфузию и жизнеспособность остатка паренхимы. В этих условиях, по мнению авторов, хирург может быть уверен, что наложил герметизирующие швы по границе здоровой паренхимы, и что длительная ишемия не повредила почечный остаток [14].
ЛПН с ICG-визуализацией применяется у детей ограничено и впервые была использована для лечения полного удвоения почки. Технология помогает идентифицировать нормальный мочеточник во время диссекции мочеточника нефункционирующего полюса. Благодаря ангиографическим свойствам ICG, ICG-визуализация обеспечивает интраоперационную ангиографию в реальном времени для идентификации кровоснабжения почки. После идентификации сосудов ICG-NIRF помогает точно определить плоскость диссекции между перфузируемой и ишемизированной частью удвоенной почки, снижая риск повреждения здорового полюса.
C. Esposito и соавт. стандартизировали технику ЛПН с ICG-визуализацией, предусмотрев три введения ICG: 1 — перед операцией ICG вводят в мочеточниковый катетер для идентификации нормального мочеточника; 2 — во время операции ICG вводят внутривенно для идентификации сосуда, питающего ткань здорового сегмента почки, и сосудистой сети афункционального сегмента; 3 — после лигирования сосуда, снабжающего афункциональный сегмент, ICG вводят внутривенно для определения плоскости резекции. Третья инъекция гарантирует, что флюоресцентное изображение останется насыщенным во время паренхиматозной резекции и стабильным до конца операции. Средняя продолжительность свечения составляет 55 мин (диапазон 35–75 мин) [3].
Улучшенная идентификация анатомических структур, предоставляемая ICG-NIRF, позволяет сделать процедуру ЛПН более безопасной и снизить частоту послеоперационных осложнений (резидуальных кист почки) по сравнению со стандартной методикой. Точная этиология послеоперационных почечных кист остаётся неизвестной, но вполне вероятно, что на месте удалённого полюса возникает уринома и затем формируется псевдокиста [15]. Поскольку эти скопления могут быть обусловлены остатком экскреторных структур (нефронов) в области частично резецированного фрагмента почки, паренхиматозную резекцию следует проводить точно в соответствии с демаркационной линией удаляемого полюса. Если ишемизированную паренхиму почки рассечь выше этой линии, возникнет высокий риск оставить ишемизированную паренхиматозную ткань, которая может предрасполагать к образованию кисты. Одно из исследований сообщило о меньшей частоте формирования послеоперационных кист при использовании ICG-NIRF по сравнению со стандартной ЛПН, благодаря превосходной интраоперационной визуализации пограничной плоскости между ишемизированным и перфузируемым полюсами [3].
Главное преимущество метода флюороскопического контроля при выполнении ЛПН заключается в том, что он не требует много времени, поскольку используется только внутривенная инъекция раствора ICG, а флюоресценция ткани или органа-мишени определяется в режиме реального времени. Более того, при использовании стандартной методики введения ICG, предложенной C. Esposito и соавт., флюоресцентное изображение остаётся стабильным до конца процедуры, особенно во время фазы резекции паренхимы [1, 2].
В описанном случае мы применили ICG-NIRF технологию при выполнении ЛПН по поводу ПОП, осложнённой потерей функции одной из половин. Для визуализации плоскости резекции использовалась новая система камер ICG RUBINA™, произведённая компанией Karl Storz. Прежние системы ICG-визуализации позволяли переключаться со стандартного режима на режим ICG-NIRF нажатием педали. При этом экран становился черно-белым, а целевые структуры светились белым светом. Новая система ICG RUBINA™ позволяет переключаться со стандартного режима на режим ICG-NIRF нажатием кнопки на головке камеры. Кроме того, в режиме наложения данных картинка ICG-NIRF накладывается на стандартное цветное изображение. Таким образом, используя режим наложения, предоставляемый ICG RUBINA™, можно применять флюороскопическую визуализацию на протяжении всей операции без переключения между стандартным изображением и изображением ICG-NIRF.
ЗАКЛЮЧЕНИЕ
ICG-навигация — многообещающий метод неинвазивной оценки границы резекции почки у пациентов с ПОП. Основным ограничением технологии ICG остаётся потребность в специальном лапароскопическом оборудовании, которое имеется не во всех хирургических отделениях. Основываясь на представленном клиническом случае, мы считаем, что основным преимуществом ЛПН под контролем ICG является лучшая идентификация интраоперационных анатомических ориентиров. Благодаря техническим новациям, связанным с интеграцией системы ICG-NIRF визуализации в эндовидеохирургическую систему, стало возможно в режиме реального времени установить перфузируемую кровью половину ПОП. Внутривенное введение ICG позволяет идентифицировать границу резекции почечной паренхимы у больных с ПОП, сопровождающейся отсутствием функции одной из половин. Эта технология позволяет определить чёткую демаркационную линию между аваскулярной и перфузируемой частью ПОП.
ДОПОЛНИТЕЛЬНАЯ ИНФОРМАЦИЯ
Вклад авторов. Все авторы подтверждают соответствие своего авторства международным критериям ICMJE. Наибольший вклад распределён следующим образом: Ю.А. Козлов, С.С. Полоян, К.А. Ковальков — концепция и дизайн исследования; В.А. Саввина, С.О. Купряков, А.А. Марчук, А.А. Быргазов, С.А. Муравьев, В.М. Капуллер — сбор и обработка материала; Ю.А. Козлов, А.П. Рожанский, А.Н. Наркевич — написание текста; Ю.А. Козлов — редактирование и утверждение окончательного варианта статьи.
Источник финансирования. Статья публикуется без спонсорской поддержки.
Конфликт интересов. Авторы заявляют об отсутствии явных и потенциальных конфликтов интересов.
Согласие на публикацию. Авторы получили письменное согласие законного представителя пациента на публикацию медицинских данных в обезличенной форме в журнале «Детская хирургия».
ADDITIONAL INFORMATION
Authors' contribution. All authors confirm compliance of their authorship with the international ICMJE criteria. The largest contribution is distributed as follows: Yu.A. Kozlov, S.S. Poloyan, K.A. Kovalkov — concept and design of the study; V.A. Savvina, S.O. Kupryakov, A.A. Marchuk, A.A. Byrgazov, S.A. Muravyov, V.M. Capuller — collection and processing of material; Yu.A. Kozlov, A.P. Rozhansky, A.N. Narkevich — text writing; Yu.A. Kozlov — editing and approval of the final version of the article.
Funding source. The publication had no sponsorship.
Competing interests. The authors claim that there is no conflict of interest in the article.
Consent for publication. Written consent was obtained from the representative of the patient for publication of relevant medical information and all of accompanying images within the manuscript.
About the authors
Yury A. Kozlov
Irkutsk State Regional Children's Clinical Hospital; Irkutsk State Medical Academy of Postgraduate Education; Irkutsk State Medical University
Author for correspondence.
Email: yuriherz@hotmail.com
ORCID iD: 0000-0003-2313-897X
SPIN-code: 3682-0832
MD, Dr. Sci. (Medicine), Professor
Россия, Irkutsk; Irkutsk; IrkutskSimon S. Poloyan
Irkutsk State Regional Children's Clinical Hospital; Irkutsk State Medical University
Email: simonpoloyan@ya.ru
ORCID iD: 0000-0001-7042-6646
MD
Россия, Irkutsk; IrkutskAndrey A. Marchuk
Irkutsk State Regional Children's Clinical Hospital
Email: maa-ped20@yandex.ru
ORCID iD: 0000-0001-9767-0454
MD
Россия, IrkutskAlexander P. Rozhanski
Irkutsk State Medical University
Email: alexanderozhanski@mail.ru
ORCID iD: 0000-0001-7922-7600
SPIN-code: 4012-7120
MD
Россия, IrkutskAnton A. Byrgazov
Irkutsk State Medical University
Email: doc38@yandex.ru
ORCID iD: 0000-0002-9195-5480
MD
Россия, IrkutskSergey A. Muravev
Irkutsk State Medical University
Email: muravev1999sergey@mail.ru
ORCID iD: 0000-0003-4731-7526
MD
Россия, IrkutskKonstantin A. Kovalkov
Yu.A. Atamanov Kuzbass Regional Children's Clinical Hospital; Kemerovo State Medical University
Email: gs-det-hirurg@kuzdrav.ru
ORCID iD: 0000-0001-6126-4198
SPIN-code: 7808-5603
MD, Cand. Sci. (Medicine)
Россия, Kemerovo; KemerovoVadim M. Kapuller
Assuta Medical Center
Email: kapuller@gmail.com
ORCID iD: 0000-0003-0076-5778
MD
Израиль, AshdodArtem N. Narkevich
Professor V.F. Voino-Yasenetsky Krasnoyarsk State Medical University
Email: narkevichart@gmail.com
ORCID iD: 0000-0002-1489-5058
SPIN-code: 9030-1493
MD, Dr. Sci. (Medicine)
Россия, KrasnoyarskValentina A. Savvina
Republican Hospital No. 1 — National Center of Medicine; North-Eastern Federal University named after M.K. Ammosov
Email: savvinava@mail.ru
ORCID iD: 0000-0002-4564-2889
SPIN-code: 9511-0417
MD, Dr. Sci. (Medicine), Professor
Россия, Yakutsk; YakutskSergey O. Kupryakov
Republican Hospital No. 1 — National Center of Medicine
Email: skupryakov@yandex.ru
ORCID iD: 0000-0002-4782-4758
MD
Россия, YakutskReferences
- Esposito C, Escolino M, Corcione F, et al. Twenty-year experience with laparoscopic and retroperitoneoscopic nephrectomy in children: Considerations and details of technique. Surg Endosc. 2016;30(5):2114-2118. EDN: VHFWSE doi: 10.1007/s00464-015-4472-7
- Esposito C, Varlet F, Patkowski D, et al. Laparoscopic partial nephrectomy in duplex kidneys in infants and children: Results of an European multicentric survey. Surg Endosc. 2015;29(12):3469-3476. EDN: ROPPUI doi: 10.1007/s00464-015-4096-y
- Esposito C, Autorino G, Coppola V, et al. Technical standardization of ICG near-infrared fluorescence (NIRF) laparoscopic partial nephrectomy for duplex kidney in pediatric patients. World J Urol. 2021;39(11):4167-4173. EDN: BCDYBJ doi: 10.1007/s00345-021-03759-6
- Ferroni MC, Sentell K, Abaza R. Current role and indications for the use of indocyanine green in robot-assisted urologic surgery. Eur Urol Focus. 2018;4(5):648-651. doi: 10.1016/j.euf.2018.07.009
- Ebert B, Riefke B, Sukowski U, Licha K. Cyanine dyes as contrast agents for near-infrared imaging in vivo: Acute tolerance, pharmacokinetics, and fluorescence imaging. J Biomed Opt. 2011;16(6):066003. doi: 10.1117/1.3585678
- Paraboschi I, De Coppi P, Stoyanov D, et al. Fluorescence imaging in pediatric surgery: State-of-the-art and future perspectives. J Pediatr Surg. 2021;56(4):655-662. doi: 10.1016/j.jpedsurg.2020.08.004
- Alghoul H, Farajat FA, Alser O, et al. Intraoperative uses of near-infrared fluorescence spectroscopy in pediatric surgery: A systematic review. J Pediatr Surg. 2022;57(6):1137-1144. EDN: AFWUPL doi: 10.1016/j.jpedsurg.2022.01.039
- Bjurlin MA, McClintock TR, Stifelman MD. Near-infrared fluorescence imaging with intraoperative administration of indocyanine green for robotic partial nephrectomy. Curr Urol Rep. 2015;16(4):20. EDN: NRUQPC doi: 10.1007/s11934-015-0495-9
- Harke N, Schoen G, Schiefelbein F, Heinrich E. Selective clamping under the usage of near-infrared fluorescence imaging with indocyanine green in robot-assisted partial nephrectomy: A single-surgeon matched-pair study. World J Urol. 2014;32(5):1259-1265. EDN: RZKQLW doi: 10.1007/s00345-013-1202-4
- Angell JE, Khemees TA, Abaza R. Optimization of near infrared fluorescence tumor localization during robotic partial nephrectomy. J Urol. 2013;190(5):1668-1673. doi: 10.1016/j.juro.2013.04.072
- Pathak RA, Hemal AK. Intraoperative ICG-fluorescence imaging for robotic-assisted urologic surgery: Current status and review of literature. Int Urol Nephrol. 2019;51(5):765-771. EDN: WUATRX doi: 10.1007/s11255-019-02126-0
- Arora S, Rogers C. Partial nephrectomy in central renal tumors. J Endourol. 2018;32(1):S63-S67. EDN: YHASHZ doi: 10.1089/end.2018.0046
- Manny TB, Krane LS, Hemal AK. Indocyanine green cannot predict malignancy in partial nephrectomy: Histopathologic correlation with fluorescence pattern in 100 patients. J Endourol. 2013;27(7):918-921. doi: 10.1089/end.2012.0756
- Borofsky MS, Gill IS, Hemal AK, et al. Near-infrared fluorescence imaging to facilitate super-selective arterial clamping during zero-ischaemia robotic partial nephrectomy. BJU Int. 2013;111(4):604-610. doi: 10.1111/j.1464-410X.2012.11490.x
- Esposito C, Escolino M, Troncoso Solar B, et al. Diagnosis and long-term outcome of renal cysts after laparoscopic partial nephrectomy in children. BJU Int. 2017;119(5):761-766. doi: 10.1111/bju.13698
Supplementary files









