A technique for reconstruction of total portosystemic shunts into a selective shunt in children
- Authors: Margaryan S.R.1,2, Razumovsky A.Y.1,2, Mitupov Z.B.1,2, Chumakova G.Y.2, Shagina E.D.1, Baturina A.A.1, Shkurov F.V.3, Dudinova A.S.1, Gincu G.S.4, Nurik V.I.1
-
Affiliations:
- The Russian National Research Medical University named after N.I. Pirogov
- Filatov N.F. Children's City Hospital
- The First Sechenov Moscow State Medical University
- Nicolae Testemitanu State University of Medicine and Pharmacy
- Issue: Vol 28, No 6 (2024)
- Pages: 550-559
- Section: Original Study Articles
- Submitted: 02.10.2023
- Accepted: 12.11.2024
- Published: 19.12.2024
- URL: https://jps-nmp.ru/jour/article/view/736
- DOI: https://doi.org/10.17816/ps736
- ID: 736
Cite item
Abstract
BACKGROUND: Currently, the most effective technique for treating children with portal hypertension is vascular bypass surgery and, for a number of reasons, splenorenal anastomoses (SRA) — which are total portosystemic shunts (PSS) — are predominantly used in practice. However, these shunts can promote the development of some complications: total discharge of the portal blood into the inferior vena cava can also cause some complications such as minimal manifestations of pulmonary arterial hypertension, decreased portal perfusion of the liver (PPP), hyperammonemia, and latent hepatic encephalopathy. An alternative to SRA is distal splenorenal anastomosis (DSRA), which is a selective PSS and which maintains PPL, thus reducing a risk of developing the listed complications. However, in practice, its use is limited due to high frequency of anastomotic thrombosis and ascites/chyloperitoneum at the early postoperative period.
AIM: Prevention of all the above-mentioned complications of artificial PSS continues to be a pressing issue in modern paediatric surgery. However, we have proposed a new curative option — reconstruction of the SRA into a DSRA, which reduced the risk of all mentioned complications, thereby improving the quality of patients’ life.
METHODS: From February 2020 to May 2024, 54 children were operated on with this type of surgery. The goal was to change the direction of the mesenteric venous blood flow (in SRA it is directed towards the anastomosis) towards the liver by clipping/ligating the splenic vein to the right of the anastomosis. All children, before and after the anastomosis reconstruction, underwent a comprehensive examination in full or in part, including a biochemical blood test, magnetic resonance imaging of the brain, echocardiography, ultrasound of the abdominal organs, angiography, esophagogastroduodenoscopy, neuropsychological examination (36 patients were followed-up at late stages after the surgery).
RESULTS: On a comparative findings, improvement of cognitive functions was seen in 60% of children, relief of hyperammonemia — in 71%, relief of signs of manganese salts accumulation of in the central nervous system — in 43%, improvement of hemodynamic parameters according to echocardiography — in 75%, improvement of PPL — in 78%. No patients had anastomotic thrombosis. Ascites/chyloperitoneum was registered only in 5% of cases.
CONCLUSION: The developed surgical technique is a promising one for it prevents/treats complications of artificial PSS, such as pulmonary arterial hypertension, decreased PPL, hepatic encephalopathy, anastomotic thrombosis and ascites.
Full Text
ОБОСНОВАНИЕ
Портальная гипертензия (ПГ) — это синдром, при котором из-за блокады кровотока венозное давление в воротной вене (ВВ) превышает 10 мм рт. ст. [1]. В зависимости от уровня блокады выделяют три формы синдрома: внепечёночную, внутрипечёночную и надпечёночную. Из них в детском возрасте чаще всего встречается внепечёночная портальная гипертензия (ВПГ) (блок кровотока расположен на уровне ВВ) [2]. Второе место по частоте встречаемости у детей занимает внутрипечёночная форма ПГ. В любом случае при ПГ возникает перестройка гемодинамики с появлением естественных портосистемных шунтов (ПСШ), проявлением чего является варикозное расширение вен пищевода (ВРВП) и желудка [3, 4]. Повреждение вен чревато значительным риском для жизни, поэтому основной целью лечения детей с ПГ является профилактика кровотечений из варикозно расширенных вен [5].
В современной детской хирургии самыми эффективными методами профилактики желудочно-кишечных кровотечений при ПГ являются шунтирующие операции на сосудах портальной системы [1]. Из них мезопортальный шунт (МПШ) является физиологическим шунтом (в плане восстановления кровотока в печени). Он применяется только при внепечёночной форме ПГ, является «золотым стандартом» и радикальным методом её лечения, так как полностью или почти полностью восстанавливает портальную перфузию печени (ППП) [6, 7]. При данной операции используют аутовенозную вставку из внутренней яремной вены, с помощью которой соединяют верхнюю брыжеечную вену и умбиликальную порцию левой ветви ВВ (Rex recessus, Rex-segment) в обход непроходимого или суженного участка ВВ [8].
При установке диагноза «ВПГ» детям рекомендована ревизия сосудов печени для выяснения возможности наложения МПШ в как можно ранние сроки и вне зависимости от наличия желудочно-кишечного кровотечения в анамнезе. Однако в зависимости от анатомических особенностей (в первую очередь облитерация левой ветви ВВ) применение данного шунта примерно в 66% случаев невозможно [9]. В таких случаях при ВПГ и внутрипечёночной ПГ в основном проводят другие шунтирующие операции. Чаще всего выбор падает на такие тотальные ПСШ, как спленоренальный анастомоз «бок-в-бок» и его аналоги — спленосупраренальные анастомозы [10]. Главным достоинством этих операций является минимальный риск развития основного осложнения — тромбоза анастомоза, чему способствуют большой диаметр анастомоза, двусторонний ток крови в его сторону по селезёночной вене (СВ) и высокая скорость кровотока в самом анастомозе. Кроме того, СРА «бок-в-бок» прост в исполнении (можно выполнять детям младшего возраста с диаметром СВ от 4 мм) и позволяет избежать использования каких-либо трансплантатов (например, внутренней яремной или внутренней подвздошной вены) и имеет высокую долгосрочную проходимость анастомоза (87%) [11]. Однако при СРА имеющийся тотальный сброс крови из системы ВВ в нижнюю полую вену (через анастомоз и левую почечную вену) может привести к таким осложнениям, как минимальные проявления лёгочной артериальной гипертензии (ЛАГ), снижение ППП и скрытая печёночная энцефалопатия (ПЭ). Последняя является самым распространённым осложнением ПСШ.
Энцефалопатия — это дистрофическое поражение ткани головного мозга в результате воздействия различных факторов: интоксикаций, инфекций, расстройств обмена веществ. При ПСШ причиной портосистемной или ПЭ является повышение концентрации кишечных токсинов в крови из-за их попадания из мезентериальной крови через анастомоз в системный кровоток, минуя печень. Главной причиной ПЭ является гипераммониемия, при которой аммиак в астроцитах головного мозга накапливается в виде осмолита глютамина (вызывает отёк головного мозга) [12]. Другим фактором, приводящим к ПЭ, является накопление солей марганца в головном мозге [выявляется в ходе магнитно-резонансной томографии (МРТ) в виде высокой интенсивности сигнала на Т1-взвешенных изображениях] [13]. Интоксикация при ПЭ приводит к изменению личной автономии сознания, поведения, психомоторной и когнитивной функции. Следовательно, лица с ПЭ могут иметь широкий спектр неврологических и психиатрических проявлений [4]. Однако при ПГ чаще всего встречается скрытая форма ПЭ (минимальная или 1 степень), которую наиболее точно можно определить только с помощью нейропсихологических и нейрофизиологических тестов. Явная ПЭ (2–4 степени) встречается реже, а диагноз ПЭ ставится лишь в результате комплексного обследования пациента [14].
Примечательно, что практическое руководство Американской и Европейской ассоциаций по изучению болезней печени 2014 года рекомендует лечение при явной ПЭ (то есть на поздних стадиях заболевания) [15]. В качестве терапии ПЭ используются медикаментозное лечение, диета, лечение аминокислотами, трансплантация печени. Трансплантацию следует рассматривать лишь после постановки диагноза явной ПЭ. Она показана только при печёночной недостаточности и рецидивирующей неизлечимой ПЭ.
У детей с ПГ во избежание летального исхода в результате кровотечения из ВРВП и при невозможности выполнения МПШ, в преобладающем числе случаев, вынужденно накладывают тотальные ПСШ, при которых развивается ряд осложнений, связанных с тотальным сбросом портальной крови в нижнюю полую вену. Альтернатива тотальным ПСШ — дистальный спленоренальный анастомоз, который является селективным шунтом с низким риском осложнений [16, 17]. Это обусловлено его свойством поддержания ППП за счёт высокого венозного давления в ВВ вместе с обеспечением селективной декомпрессии системы вен пищевода, желудка и селезёнки. Однако на практике применение данного шунта ограничено из-за его главного недостатка — частого тромбоза анастомоза (в 3–24% случаев [причинами являются маленький диаметр анастомоза и медленный односторонний кровоток]), а также и асцита или хилоперитонеума в раннем послеоперационном периоде [18]. Также ДСРА технически сложнее выполнить, особенно у маленьких детей, когда имеется малый диаметр СВ и левой почечной вены.
С целью исключения риска тромбоза, асцита или хилоперитонеума, с одновременным использованием преимуществ ДСРА, в Детской городской клинической больнице им. Н.Ф. Филатова разработан новый метод лечения — реконструкция СРА (тотального ПСШ) в ДСРА (селективный ПСШ) с физиологической реконструкцией портального кровообращения. То есть метод подразумевает перевод часто применяющихся на практике СРА — спленоренального анастомоза «бок-в-бок» и спленосупраренальных анастомозов — в селективный шунт типа ДСРА путём одного лишь перекрытия просвета СВ (путём клипирования или лигирования) справа от анастомоза (с или без дополнительного перекрытия притоков ВВ) [19].
Данный метод лечения главным образом направлен на снижение риска развития ПЭ и уже показал многообещающие результаты в плане восстановления ППП [20, 21]. Он применим как при внепечёночной, так и при внутрипечёночной формах ПГ, позволяет снизить объём сброса крови по анастомозу, улучшить кровоснабжение печени (ППП) и, соответственно, снизить риск развития ЛАГ, гипераммониемии и ПЭ.
ЦЕЛЬ
Оптимизация результатов оперативного лечения и улучшение качества жизни детей с ПГ, перенёсших СРА.
МЕТОДЫ
Дизайн исследования
Было проведено двунаправленное (по большей части проспективное) одноцентровое клиническое обсервационное контролируемое когортное исследование.
Критерии включения
Дети с ПГ, перенёсшие реконструкцию СРА в ДСРА, у которых по данным контрольного обследования — ультразвуковое исследование (УЗИ), ангиография и/или компьютерная томография — селективный ПСШ функционировал. Письменное согласие законных представителей пациентов на участие в исследовании и использование результатов в научных целях.
Критерии исключения
Дети, перенёсшие реконструкцию СРА в ДСРА, у которых по данным контрольного исследования анастомоз не функционировал из-за тромбоза.
Условия проведения
Исследование проведено в Детской городской клинической больнице им. Н.Ф. Филатова с февраля 2020 по май 2024 года.
Описание исследования
В ходе операции обеспечивался доступ к сальниковой сумке путём рассечения желудочно-ободочной связки (чаще всего) или брыжейки поперечной толстой кишки. По нижнему краю поджелудочной железы разделяли брюшину, потом мобилизовали СВ и сосудистый анастомоз. Затем клипировали или лигировали СВ на участке справа от анастомоза. В некоторых случаях дополнительно мобилизовали и клипировали или лигировали притоки ВВ (нижнюю брыжеечную и левую желудочную вены) с целью предотвращения возможного ретроградного кровотока по ним.
В раннем послеоперационном периоде детям проводилась антибактериальная, симптоматическая (в том числе обезболивание) и инфузионная терапия, УЗИ сосудов портальной системы и сосудистого анастомоза, УЗИ брюшной полости на наличие жидкости (в первые и при необходимости в третьи послеоперационные сутки) с целью исключения ранних послеоперационных осложнений. Самый ранний срок выписки из стационара (в удовлетворительном состоянии) был на первые послеоперационные сутки (через один день после операции).
Из данного контингента детей повторное обследование после реабилитации (более чем через 3 мес. после реконструкции анастомоза) было проведено 36 детям. До и после реконструкции анастомозов им проводилось нейропсихологическое обследование, определение концентрации аммиака в крови, МРТ головного мозга, эхокардиография и УЗИ органов брюшной полости с допплерометрией и допплерографией, ангиография, эзофагогастродуоденоскопия (ЭГДС). Мультиспиральная компьютерная томография с внутривенным контрастированием проводилась ограниченному числу детей в качестве альтернативы ангиографии.
Для определения наличия признаков скрытой ПЭ были изучены концентрация аммиака в венозной крови натощак, проводились сравнение результатов МРТ головного мозга и нейропсихологическое обследование. Эхокардиографию применяли для оценки наличия начальных проявлений ЛАГ (оценивали особенности центральной и лёгочной гемодинамики, объёмы камер сердца, признаки их перегрузок и т. д.). С целью оценки изменения кровотока по анастомозу и в сосудах портальной системы (и в ветвях ВВ) сравнивали результаты УЗИ и ангиографии. ЭГДС применяли для уточнения степени ВРВП.
Статистический анализ
Участников разделили на 2 группы: 1 группа — дети с СРА до реконструкции ПСШ (n=54), 2 группа — те же пациенты после реконструкции ПСШ (n=54). Статистический анализ включал расчёт и последующее сравнение количественных и качественных переменных с использованием программы StatTech v. 4.2.6 (ООО «Статтех», Россия). Категориальные данные описывались с указанием абсолютных и относительных значений, 95% доверительные интервалы для процентных долей рассчитывались по методу Клоппера–Пирсона.
РЕЗУЛЬТАТЫ
Участники исследования
В исследовании участвовали 54 ребёнка в возрасте от 1 года до 18 лет, средний возраст (10±4) года.
Основные результаты исследования
Промежуток между СРА и её реконструкцией составил от 3,5 мес. до 12,5 лет (медиана 2 года 10 мес.); 13 (24%) пациентам реконструкция выполнена лапароскопическим, 41 (76%) — лапаротомным доступом. Симультанные операции выполнялись в 14 (26%) случаях, в 40 (74%) — реконструкция ПСШ выполнялась изолированно. При лапаротомном доступе (n=29) средняя длительность операции составила 45 мин (от 20 мин до 1 ч 45 мин), а при лапароскопическом доступе (n=11) — 41 мин (от 20 мин до 1 ч 5 мин).
Среди детей, которым реконструкцию СРА в ДСРА проводили изолированно, осложнение в виде асцита или хилоперитонеума наблюдалось лишь у 5% (n=2) (они были оперированы лапаротомным доступом).
Нейропсихологическое обследование прошли 17 детей. У всех в той или иной степени отмечались нарушения когнитивных функций. По имеющимся данным из 5 детей, которым был проведён сравнительный анализ данных, у 3 пациентов после реконструкции СРА в ДСРА когнитивные функции частично улучшились, у 2 — слабо выраженные когнитивные нарушения не изменились.
Медиана концентрации аммиака в венозной крови до реконструкции ПСШ (49 мкмоль/л, n=35) была выше, чем после реконструкции (30 мкмоль/л, n=48) на 19 мкмоль/л. При СРА частота гипераммониемии (концентрация аммиака в венозной крови выше 47 мкмоль/л) составляла 51% (18 из 34), после реконструкции СРА в ДСРА — 15% (7 из 48). Из 17 детей с гипераммониемией после реконструкции ПСШ снижение концентрации аммиака в крови до нормальных значений наблюдалось у 12 пациентов (71%). У остальных концентрация оставалась без существенных изменений. У всех 17 детей (с гипераммониемией при СРА) в результате операции концентрация аммиака в среднем снизилась на 27 мкмоль/л.
При СРА частота признаков накопления солей марганца в центральной нервной системе по данным МРТ составляла 83% (30 из 36), после реконструкции СРА в ДСРА — 50% (11 из 22).
Данные МРТ головного мозга до и после реконструкции шунтов сравнивали у 16 пациентов (из них при СРА признаки накопления марганца в ЦНС наблюдались у 14). Купирование признаков ПЭ на МРТ наблюдались у 43% (6 из 14) (рис. 1).
Рис. 1. Магнитно-резонансная томограмма головного мозга (купирование признаков накопления солей марганца у мальчика 11 лет): a — до операции; отложения марганца в виде симметричных гиперинтенсивных очагов в нижней части бледного шара (круг); b — через 11 мес. после операции; бледный шар без признаков накопления солей марганца (круг).
Fig. 1. Magnetic resonance imaging of the brain (elimination of signs of manganese salt accumulation in an 11-year-old boy): a — before surgery; manganese deposits in the form of symmetrical hyperintense foci in the lower part of the globus pallidus (circle); b — 11 months after surgery; globus pallidus without signs of manganese salt accumulation (circle).
Косвенные признаки ПЭ по данным МРТ головного мозга после реконструкции СРА в ДСРА появились только у одного ребёнка (при СРА у него такие изменения по данным МРТ отсутствовали). Возможной причиной последнего может быть наличие естественного портокавального шунта у этого пациента.
Данные эхокардиографии до и после реконструкции шунтов сравнивали у 25 пациентов. Изначально при СРА гемодинамические изменения наблюдались у 12 из них. Улучшение показателей гемодинамики в результате реконструкции анастомоза наблюдалось у 75% (9 из 12).
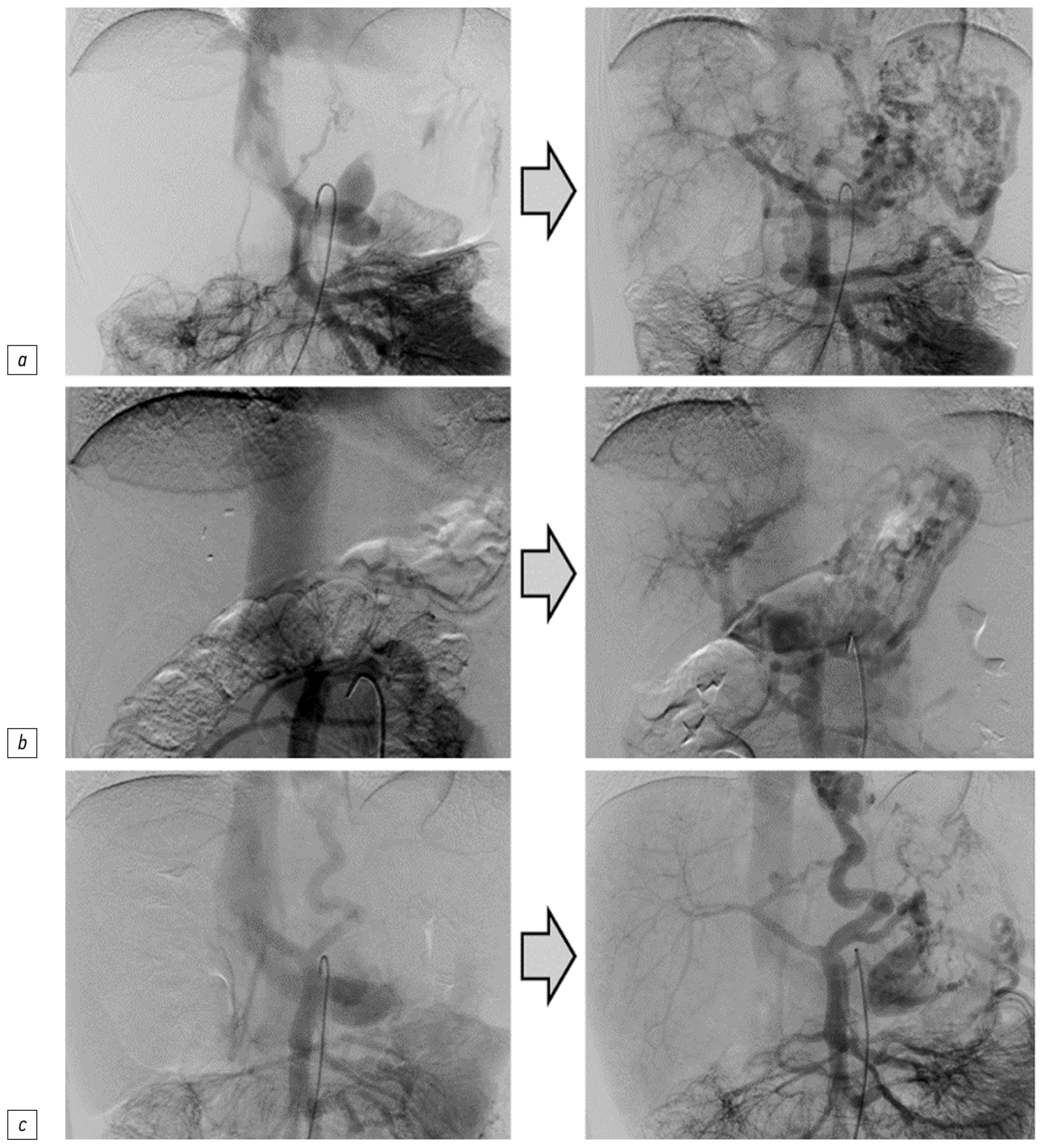
Данные ангиографии до и после реконструкции шунтов сравнивали у 32 детей — улучшение ППП наблюдалось у 78% (n=25), а у остальных 22% (n=7) ППП не менялась (рис. 2).
Рис. 2. Ангиограммы (венозные фазы целиакографий) до и после операции с улучшением портальной перфузии печени: a — мальчик 7 лет, b — девочка 11 лет, c — девочка 7 лет.
Fig. 2. Angiograms (venous phases of celiacography) before and after surgery with improving of portal perfusion of the liver: a — boy, 7 years old, b — girl, 11 years old, c — girl, 7 years old.
По данным ЭГДС ВРВП в среднем при СРА была 0–1 степени (n=50), после реконструкции СРА в ДСРА — 1 степени (n=38). При этом данные ЭГДС до и после реконструкции шунтов сравнивали у 35 пациентов. У большинства (60%, n=21) степень ВРВП не менялась, у 23% (n=8) — уменьшилась, а у 17% (n=6) — увеличилась (однако желудочно-кишечное кровотечение не наблюдалось ни у кого).
Размеры селезёнки до и после реконструкции шунтов сравнивали у 30 детей. После реконструкции ПСШ размеры селезёнки у большинства детей (n=21; 70%) менялись клинически незначимо (в пределах ±1 см). Уменьшение размеров селезёнки более чем на 1 см наблюдалось у 10% (n=3) больных, увеличение — у 20% (n=6).
Детей без ранних послеоперационных осложнений после изолированной реконструкции ПСШ лапаротомным доступом (n=25) выписывали из стационара на 1–7 сут., в среднем на (4±1) сут после операции, а оперированных лапароскопическим доступом (n=11) — на 1–5 сут., в среднем на (3±1) сут.
Нежелательные явления
Нежелательных явлений в ходе проведения исследования не было.
ОБСУЖДЕНИЕ
Классические тотальные ПСШ (СРА, мезокавальный Н-шунт и др.) эффективно останавливают варикозное кровотечение, значительно снижая портальное давление (вместе с ППП) и отводя портальный кровоток от ВРВП, желудка и печени, что приводит к повышению риска развития ЛАГ, увеличению абсорбции аммиака и других токсинов из желудочно-кишечного тракта, развитию скрытой ПЭ. Физиологическое преимущество МПШ и селективного ПСШ (ДСРА) заключается в том, что они поддерживают ППП. Это обеспечивает постоянную перфузию печени, тем самым снижая риск развития ЛАГ и ПЭ. Однако применение этих двух шунтов ограничено частой неблагоприятной анатомией сосудов, а в случае ДСРА ещё и высоким риском тромбоза шунта, асцита или хилоперитонеума в раннем послеоперационном периоде. Для улучшения ППП и снижения риска развития ПЭ у детей с ПГ, нами предложен новый метод реконструкции тотальных ПСШ в селективный шунт типа ДСРА. В ходе исследования мы получили многообещающие результаты в плане улучшения или восстановления ППП, купирования гипераммониемии, купирования косвенных признаков ПЭ по данным МРТ головного мозга, улучшения гемодинамических показателей по данным эхокардиоскопии. Другими словами, двунаправленное исследование предоставило уникальную возможность для сравнения тотальных СРА с селективными ДСРА, исключив риск тромбоза анастомоза и снизив риск асцита или хилоперитонеума в раннем послеоперационном периоде.
Операция может проводиться с использованием как лапаротомного, так и лапароскопического доступов. Она малотравматична и проста в исполнении: лигируются или клипируются СВ и дополнительно — притоки ВВ, длительность операции в среднем составляет 41–45 мин. Следовательно, в послеоперационном периоде дети не требуют большого объёма аналгезии (в том числе эпидуральной) и длительного нахождения в отделении реанимации, что позволяет выписывать больных в среднем на 3–4 сут после операции). Также в послеоперационном периоде пациентам не требуется гепаринотерапия с контролем показателей свёртываемости крови, поскольку, главный недостаток ДСРА — тромбоз — исключён благодаря тому, что не накладывается новый сосудистый анастомоз, а лишь перекрывается просвет одного или нескольких сосудов. Также операция позволяет обеспечить преимущества ДСРА, обусловленные поддержанием ППП (снижение риска гипераммониемии, ПЭ и ЛАГ, обусловленного тотальной декомпрессией портальной системы) и одновременной селективной декомпрессией вен желудка, пищевода и селезёнки (снижение риска варикозных кровотечений).
Ограничения исследования
Ограничениями исследования являлись малый объём выборки и малый возраст некоторых детей, при котором выполнить ряд исследований было невозможно или неоптимально (нейропсихологическое обследование, ангиография, компьютерная томография, МРТ, ЭГДС).
ЗАКЛЮЧЕНИЕ
Реконструкция СРА в ДСРА у детей с ПГ, разработанная в Детской городской клинической больнице им. Н.Ф. Филатова, показала многообещающий результат в плане восстановления ППП, снижения рисков развития гипераммониемии, ПЭ и ЛАГ, а в раннем послеоперационном периоде — асцита, хилоперитонеума и тромбоза анастомоза. Операция выделяется простотой техники исполнения, малой травматичностью и возможностью применения лапароскопического доступа.
ДОПОЛНИТЕЛЬНАЯ ИНФОРМАЦИЯ
Источник финансирования. Исследование проведено при поддержке гранта «Хирургические методы профилактики жизнеугрожающих осложнений у детей» № 2412–37/22 от 30.03.2022.
Конфликт интересов. Авторы заявляют об отсутствии явных и потенциальных конфликтов интересов.
Вклад авторов. Все авторы подтверждают соответствие своего авторства международным критериям ICMJE. Наибольший вклад распределён следующим образом: С.Р. Маргарян — концепция и дизайн исследования, сбор и обработка материала, написание текста, редактирование; Г.Ю. Чумакова, Е.Д. Шагина, А.А. Батурина, Ф.В. Шкуров, А.С. Дудинова, Г.С. Гынку, В.И. Нурик — сбор и обработка материала; З.Б. Митупов, А.Ю. Разумовский — редактирование.
Этическое утверждение. Протокол исследования был одобрен локальным этическим комитетом Российского национального исследовательского медицинского университета имени Н.И. Пирогова (№ 14 от 24.01.2022).
Согласие на публикацию. Авторы получили письменное согласие законных представителей пациентов на публикацию медицинских данных в обезличенной форме в журнале «Детская хирургия». Дата подписания 04.03.2024.
Благодарности. Авторы выражают благодарность АНО «Московский центр инновационных технологий в здравоохранении» за финансирование исследования в рамках гранта и группе компаний «Р-Фарм» за предоставление технической помощи.
ADDITIONAL INFORMATION
Funding source. The study was conducted with the support of a grant “Surgical methods for preventing life-threatening complications in children” No. 2412–37/22 by 30.03.2022.
Competing interests. The authors claim that there is no conflict of interest in the article.
Authors’ contribution. All authors confirm compliance of their authorship with the international ICMJE criteria. The largest contribution is distributed as follows: S.R. Margaryan — concept and design of the study, collection and processing of material, manuscript writing, editing; G.Yu. Chumakova, E.D. Shagina, A.A. Baturina, F.V. Shkurov, A.S. Dudinova, G. S. Ginku, V.I. Nurik — collection and processing of material; Z.B. Mitupov, A.Yu. Razumovsky — editing.
Ethics approval. The present study protocol was approved by the local Ethics Committee of the The Russian National Research Medical University named after N.I. Pirogov (No. 14 by 24.01.2022).
Consent for publication. Written consent was obtained from the representatives of the patients for publication of relevant medical information and all of accompanying images within the manuscript in the Russian Journal of Pediatric Surgery. Date of signing 04.03.2024.
Acknowledgments. The authors express their gratitude to the autonomous nonprofit organization “Moscow Center for Innovative Technologies in Healthcare” for funding the research within the framework of the grant and to the “R-Pharm” group of companies for providing technical assistance during this work.
About the authors
Sergey R. Margaryan
The Russian National Research Medical University named after N.I. Pirogov; Filatov N.F. Children's City Hospital
Author for correspondence.
Email: sergey.margaryan27@mail.ru
ORCID iD: 0000-0002-9968-2931
SPIN-code: 6581-9484
MD
Россия, Moscow; MoscowAlexander Y. Razumovsky
The Russian National Research Medical University named after N.I. Pirogov; Filatov N.F. Children's City Hospital
Email: 1595105@mail.ru
ORCID iD: 0000-0003-3511-0456
SPIN-code: 3600-4701
MD, Dr. Sci. (Medicine), Professor, Corresponding Member of the Russian Academy of Sciences
Россия, Moscow; MoscowZorikto B. Mitupov
The Russian National Research Medical University named after N.I. Pirogov; Filatov N.F. Children's City Hospital
Email: zmitupov@mail.ru
ORCID iD: 0000-0002-0016-6444
SPIN-code: 5182-1748
MD, Dr. Sci. (Medicine), Professor
Россия, Moscow; MoscowGalina Y. Chumakova
Filatov N.F. Children's City Hospital
Email: chumakova-g@bk.ru
ORCID iD: 0000-0003-4725-318X
MD, Cand. Sci. (Medicine)
Россия, MoscowEkaterina D. Shagina
The Russian National Research Medical University named after N.I. Pirogov
Email: shagina_ed@rsmu.ru
ORCID iD: 0000-0003-2965-2451
SPIN-code: 6217-1782
MD
Россия, MoscowAlena A. Baturina
The Russian National Research Medical University named after N.I. Pirogov
Email: abaturina302@gmail.com
ORCID iD: 0000-0003-2228-9653
MD
Россия, MoscowFedor V. Shkurov
The First Sechenov Moscow State Medical University
Email: shkurov_f_v@student.sechenov.ru
ORCID iD: 0000-0002-6000-0059
SPIN-code: 4588-9910
Россия, Moscow
Anna S. Dudinova
The Russian National Research Medical University named after N.I. Pirogov
Email: ann_dudinova@mail.ru
ORCID iD: 0009-0009-3886-9389
SPIN-code: 8566-4962
Россия, Moscow
Gheorghe S. Gincu
Nicolae Testemitanu State University of Medicine and Pharmacy
Email: laritei@mail.ru
ORCID iD: 0000-0003-4350-5423
SPIN-code: 8117-4462
MD, Dr. Sci. (Medicine), Assoc. Professor
Молдавия, ChisinauVera I. Nurik
The Russian National Research Medical University named after N.I. Pirogov
Email: vera.nurik@mail.ru
ORCID iD: 0009-0002-6025-1357
SPIN-code: 1431-2990
MD, Cand. Sci. (Medicine), Assoc. Professor
Россия, MoscowReferences
- Patel N, Grieve A, Hiddema J, et al. Surgery for portal hypertension in children: A 12-year review. S Afr Med J. 2017;107(10):12132.
- Razumovsky AY, Shchapov NF, Rachkov VE. Perspectives of Sugiura operation by portal hypertension in children. N.I. Pirogov Russ J Surg. 2010;(4):41–46. EDN: NDZROH
- Licata A, Mazzola A, Ingrassia D, et al. Clinical implications of the hyperdynamic syndrome in cirrhosis. Eur J Intern Med. 2014;25(9):795–802. doi: 10.1016/j.ejim.2014.09.004
- Saad WE. Portosystemic shunt syndrome and endovascular management of hepatic encephalopathy. Semin Intervent Radiol. 2014;31(3):262–265. doi: 10.1055/s-0034-1382795
- Zhang HY, Li WB, Ye H, et al. Long-term results of the paraesophagogastric devascularization with or without esophageal transection: Which is more suitable for variceal bleeding? World J Surg. 2014;38(8):2105–2112. EDN: ORQYSP doi: 10.1007/s00268-014-2478-2
- Srivastava A, Yadav SK, Lal R, et al. Effect of surgical portosystemic shunt on prevalence of minimal hepatic encephalopathy in children with extrahepatic portal venous obstruction: Assessment by magnetic resonance imaging and psychometry. J Pediatr Gastroenterol Nutr. 2010;51(6):766–772. doi: 10.1097/MPG.0b013e3181ecaf62
- Bambini DA, Superina R, Almond PS, et al. Experience with the Rex shunt (mesenterico-left portal bypass) in children with extrahepatic portal hypertension. J Pediatr Surg. 2000;35(1):13–18; discussion 18–19. doi: 10.1016/s0022-3468(00)80005-6
- Mitupov ZB, Razumovsky AYu, Rachkov VE, et al. Vascular bypass surgery in the treatment of extrahepatic portal hypertension in children (review). Russ J Pediatric Surg Anesthesia Intensive Care. 2023;13(1):37–52. EDN: NDVVRF doi: 10.17816/
- Razumovsky AY, Dronov AF, Rachkov VE, et al. Portal hypertension in pediatric patients: 28 Years of experience in surgical treatment. Doctor.Ru. 2017;(12):43–49. EDN: ZTQXND
- Rehman ZU, Nazir Z. Distal Splenorenal Shunt (DSRS) in children with extrahepatic portal hypertension. J Coll Physicians Surg Pak. 2019;29(12):1228–1229. doi: 10.29271/jcpsp.2019.12.1228
- Mitra SK, Rao KL, Narasimhan KL, et al. Side-to-side lienorenal shunt without splenectomy in noncirrhotic portal hypertension in children. J Pediatr Surg. 1993;28(3):398–401; discussion 401–402. doi: 10.1016/0022-3468(93)90239-h
- Liere V, Sandhu G, DeMorrow S. Recent advances in hepatic encephalopathy. F1000Res. 2017;6:1637. EDN: YHOJMG doi: 10.12688/f1000research.11938.1
- Rose C, Butterworth RF, Zayed J, et al. Manganese deposition in basal ganglia structures results from both portal-systemic shunting and liver dysfunction. Gastroenterology. 1999;117(3):640–644. doi: 10.1016/
- Margaryan SR, Mitupov ZB, Razumovsky AYu. Hepatic encephalopathy after portosystemic bypass surgery. N.I. Pirogov Russ J Surg. 2023;(7):57–65. EDN: EILHEF doi: 10.17116/hirurgia202307157
- Vilstrup H, Amodio P, Bajaj J, et al. Hepatic encephalopathy in chronic liver disease: 2014 Practice Guideline by the American Association for the Study of Liver Diseases and the European Association for the Study of the Liver. Hepatology. 2014;60:715–735. EDN: UPRUOX doi: 10.1002/hep.27210
- Richards WO, Dean Warren W. Father of selective shunts for variceal hemorrhage: Lessons learned. Am Surg. 2020;86(9):1049–1055. doi: 10.1177/0003134820942146
- Warren WD, Millikan WJ, Smith RB, et al. Noncirrhotic portal vein thrombosis. Physiology before and after shunts. Ann Surg. 1980;192(3):341–349. doi: 10.1097/00000658-198009000-00009
- Van Praet KM, Ceulemans LJ, Monbaliu D, et al. An analysis on the use of Warren’s distal splenorenal shunt surgery for the treatment of portal hypertension at the University Hospitals Leuven. Acta Chir Belg. 2021;121(4):254–260. doi: 10.1080/00015458.2020.1726099
- Patent RUS № RU 2789284 C1. Razumovsky AY, Margaryan SR. Method of treatment of complications caused by total blood discharge from the portal system into the inferior vena cava in children who underwent splenorenal shunt “side-to-side” or splenosupprenal shunt for portal hypertension. (In Russ.) EDN: AMHMAV
- Margaryan SR, Mitupov ZB, Rachkov VE, Razumovsky AYu, Shkurov FV, Dudinova AS. Method for improving blood supply to the liver in a child by reconstruction of portosystemic shunt and dissection of the celic trunk // New Day in Medicine. 2023;10(60):41–48. doi: https://newdaymedicine.com/index.php/2023/10/05/l-395/
- Margaryan SR, Razumovsky AYu, Mitupov ZB, Gurevich AI, Titova EA. Reconstruction of total portosystemic shunt into selective portosystemic shunt in a child. Pirogov Russian Journal of Surgery. 2023;12:140–146. doi: 10.17116/hirurgia2023121140
Supplementary files






