Esophageal perforation in premature newborns
- Authors: Karavaeva S.A.1,2,3, Kotin A.N.2,3, Volert T.A.1,3, Kornilova A.B.3, Gopienko M.A.2,3, Volkov A.N.4
-
Affiliations:
- North-Western State Medical University named after I.I. Mechnikov
- Academician I.P. Pavlov First Saint Petersburg State Medical University
- Children's City Multidisciplinary Clinical Specialized Center of High Medical Technologies
- Regional Childrens’ Clinical Hospital
- Issue: Vol 28, No 5 (2024)
- Pages: 452-459
- Section: Original Study Articles
- Submitted: 15.04.2024
- Accepted: 24.09.2024
- Published: 11.11.2024
- URL: https://jps-nmp.ru/jour/article/view/802
- DOI: https://doi.org/10.17816/ps802
- ID: 802
Cite item
Full Text
Abstract
BACKGROUND: Esophageal perforation is a rare entity in newborns. This condition is most common in premature babies with very low and extremely low birth weight. The major cause of such pathology is considered to be iatrogenic trauma of either pharynx or esophagus, their soft tissues being delicate and tender enough to produce delamination and perforation of their wall. As a rule, this occurs as a complication of either a difficult tracheal intubation soon after birth or during some troubles with oro- or nasogastric tube insertion.
AIM: To analyze our experience of revealing and treatment of esophageal perforation in preterm babies, and to demonstrate conservative approach as a possible as well as reasonable option in such cases.
METHODS: A retrospective study of neonatal esophageal perforation cases was performed, including newborns without any congenital esophageal malformations or previous surgical procedures. During 2017–2022 9 newborns with esophageal perforation were treated at neonatal intensive care unit and neonatal departments of Childrens’ City Multidisciplinary Clinical Specialized Center of High Medical Technologies of Saint Petersburg. All of them were premature, 2 having very low, and 7 having extremely low birth weight. The incidence of that condition appeared to be 1:1320 live births.
RESULTS: 8 patients were treated conservatively. This included adjustment of artificial lung ventilation, pain control, antibiotics, cancellation of gastric enteral feeding and administration of total parenteral nutrition. Babies with hydrothorax, pneumothorax or ascites underwent thoraco- or laparocentesis. 2 patients died, both being born at 23th week of gestation. In both cases death occurred from polyorganic insufficiency. The mortality rate appeared to be 22%.
CONCLUSION: In most cases the esophageal perforation in premature babies can be treated conservatively, the efficacy of such treatment being largely dependent on early diagnosis of this complication. An important key-point in it is a radiologic control of gastric tube location.
Full Text
ОБОСНОВАНИЕ
Перфорация пищевода у новорождённых является крайне редкой, но очень тяжёлой патологией, которая чаще всего встречается у детей с очень низкой и экстремально низкой массой тела. Главным этиологическим фактором и причиной, определяющей патогенез этого состояния, является травма пищевода или глотки, нежность и податливость тканей которых приводит к лёгкому расслоению и перфорации их стенки. Наиболее частыми причинами перфораций пищевода в этой группе детей являются осложнения, обусловленные сложностью интубации глубоко недоношенного ребёнка, необходимостью частых санаций носо- и ротоглотки, а также потребность введения назогастральных зондов для декомпрессии желудка и проведения энтерального питания ребёнка, который по тяжести состояния и малому гестационному возрасту сосать не может. По мере накопления опыта в диагностике ранних постнатальтных перфораций пищевода стало очевидным, что чаще всего перфорации происходят в области грушевидного синуса и глоточно-пищеводного перехода. Однако возможной зоной перфорации может являться и абдоминальный отдел пищевода (пищеводно-желудочный переход). Первые немногочисленные публикации, посвящённые этой патологии, относятся ко второй половине прошлого века. Среди них одно из самых важных мест принадлежит работе D.L. Mollitt и соавт., посвящённой подробному описанию клинической и рентгенологической картины перфораций пищевода у недоношенных детей и особенностям их лечения [1].
С тех пор эта патология все чаще упоминается, как возможное осложнение интенсивной терапии недоношенных. Предполагаемая частота перфорации пищевода у новорождённых составляет 0,8%. У новорождённых с массой тела менее 750 г их число достигает 4% [2, 3]. Безусловно, перфорация пищевода является редким явлением и осложнением в современных условиях интенсивной терапии новорождённых, но может возникнуть даже в самых опытных руках и привести к тяжёлым последствиям [4, 5].
ЦЕЛЬ
Проанализировать собственный опыт выявления и лечения перфорации пищевода у недоношенных, продемонстрировать возможность и целесообразность консервативного ведения подобных пациентов.
МЕТОДЫ
Дизайн исследования
Проведено ретроспективное обсервационное одноцентровое выборочное неконтролируемое исследование.
Критерии соответствия
В исследование включались недоношенные дети с массой тела менее 2000 г и диагностированной в периоде новорождённости перфорацией пищевода. В исследование не включались дети с аномалиями развития пищевода (например, атрезией или стенозом) и перенёсшие ранее операцию на пищеводе.
Условия проведения
С 2017 по 2022 год в отделениях реанимации и патологии новорождённых Детского городского многопрофильного клинического специализированного центра высоких медицинских технологий Санкт-Петербурга на лечении находились 9 недоношенных детей с перфорацией пищевода: 2 ребёнка имели очень низкую, 7 детей — экстремально низкую массу тела (табл. 1). Частота патологии составила 1:1320 живорождённых недоношенных детей.
Таблица 1. Совокупные данные недоношенных детей с перфорацией пищевода, произошедшей в раннем постнатальном периоде
Table 1. Overall data on premature newborns with esophageal perforation occurred in early postnatal period
Пациент / Patient | Течение беременности и родов / Course of pregnancy and delivery | Срок гестации, нед / Gestation age (weeks) | Масса тела, г / Birth weight (g) | Возраст, сут / Age (days) | Локализация перфорации / Localization of perforation | Лечение / Treatment | Исход / Outcome |
1 | Угроза прерывания беременности, Кесарево сечение / Risk of pregnancy termination, Caesarian section | 25 | 610 | 3 | Травма глоточно-пищеводного перехода / Pharyngoesophageal junction trauma | Консервативное / Conservative | Жив / Survived |
2 | Преждевременная отслойка плаценты, Кесарево сечение / Placental abruption, Caesarian section | 27 | 750 | 5 | Травма грушевидного синуса / Pyriform sinus trauma | Консервативное / Conservative | Жив / Survived |
3 | Тяжёлый гестоз, Кесарево сечение / Severe gestosis, Caesarian section | 28 | 910 | 2 | Травма пищеводно-желудочного перехода / Esophagogastric junction trauma | Консервативное / Conservative | Жив / Survived |
4 | Преждевременная отслойка плаценты, Кесарево сечение / Placental abruption, Caesarian section | 25 | 560 | 5 | Травма пищеводно-желудочного перехода / Esophagogastric junction trauma | Гастростомия / Gastrostomy | Умер на 23 сут от полиорганной недостаточности / Died at 23 days from polyorganic insufficiency |
5 | Угроза прерывания беременности, Кесарево сечение / Risk of pregnancy termination, Caesarian section | 29 | 1050 | 2 | Травма глоточно-пищеводного перехода / Pharyngoesophageal junction trauma | Консервативное / Conservative | Жив / Survived |
6 | Угроза прерывания беременности, вагинальные роды / Risk of pregnancy termination, vaginal delivery | 26 | 710 | 3 | Травма глоточно-пищеводного перехода / Pharyngoesophageal junction trauma | Консервативное / Conservative | Жив / Survived |
7 | Угроза прерывания беременности, вагинальные роды / Risk of pregnancy termination, vaginal delivery | 30 | 1200 | 1 | Травма грушевидного синуса / Pyriform sinus trauma | Консервативное / Conservative | Жив / Survived |
8 | Тяжёлый гестоз, Кесарево сечение / Severe gestosis, Caesarian section | 28 | 830 | 3 | Травма глоточно-пищеводного перехода / Pharyngoesophageal junction trauma | Консервативное / Conservative | Жив / Survived |
9 | Угроза прерывания беременности, вагинальные роды / Risk of pregnancy termination, vaginal delivery | 23 | 480 | 1 | Травма глоточно-пищеводного перехода / Pharyngoesophageal junction trauma | Консервативное / Conservative | Умер на 18 сут от полиорганной недостаточности / Died at 18 days from polyorganic insufficiency |
Описание исследования
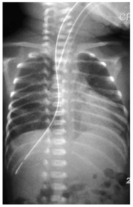
У 7 детей (78%) сразу после рождения возникли сложности с интубацией трахеи, у 4 пациентов (44%) отмечены трудности в постановке желудочного зонда. Диагноз перфорации пищевода был установлен в 1–5-е сут жизни. В клинической картине преобладали явления нарастающего респираторного дистресса, а также слюнотечение и кровянистое отделяемое из ротоглотки (n=6). В наиболее тяжёлых случаях (n=2) дыхательная недостаточность прогрессировала из-за нарастающего гидроторакса, у 1 ребёнка появились признаки перитонита и отёка тканей забрюшинного пространства. Миграция желудочного зонда в брюшную полость в последнем случае была заподозрена не сразу, и ребёнка начали кормить. К запоздалой диагностике осложнения привело отсутствие «привычки» отслеживать правильность стояния желудочного зонда, как мы поступаем по отношению к внутривенным, перидуральным катетерам, интубационным трубкам. Именно поэтому необходимо знать и помнить о возможности перфорации пищевода у недоношенного ребёнка и при малейшем подозрении незамедлительно проводить диагностический поиск. Он складывается не только из оценки появившихся симптомов (саливация, дисфагия и пр.), но и обязательного ультразвукового и рентгенологического обследования ребёнка для определения положения желудочного зонда в грудной клетке и брюшной полости, а также выполнения рентгеноконтрастных исследований. В ряде случаев только внимательная оценка рентгенограммы, иногда уже ретроспективно, позволяет поставить правильный диагноз (рис. 1).
Рис. 1. Обзорная рентгенография органов грудной и брюшной полости: конец желудочного зонда располагается под диафрагмой справа от входа в желудок (случайная находка, снимок назначен на фоне ухудшения состояния ребёнка)
Fig. 1. Plain thoracic and abdominal radiography: the distal tip of nasogastric tube is located beneath the diaphragm, to the right from the gastric cardia. This was an ‘occasional finding’, that X-ray being administered because of deterioration of general condition of baby
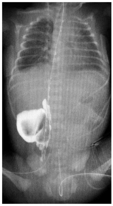
Рентгенологическая картина миграции желудочного зонда из просвета пищевода в окружающее пространство может быть различной и мало зависеть от локализации самой перфорации (рис. 2–4). Затёк контрастного вещества в плевральную или брюшную полость, средостение или забрюшинное пространство мы встречали при перфорации грушевидного синуса, глоточно-пищеводного перехода и нижней трети пищевода.
Рис. 2. Контрастная рентгенография органов грудной и брюшной полости: затёк контрастного вещества (йогексол в объёме 3,0 мл) в забрюшинное пространство
Fig. 2. Thoracic and abdominal contrast study: leakage of contrast medium (Iohexol, 3 cc) into the retroperitoneal space
Рис. 3. Контрастная рентгенография органов грудной и брюшной полости: миграция конца желудочного зонда в правую плевральную полость, гидроторакс
Fig. 3. Thoracic and abdominal contrast study: migration of nasogastric tube tip into the right pleural cavity (hydrothorax)
Рис. 4. Обзорная рентгенография органов грудной и брюшной полости: желудочный зонд расположен под диафрагмой вне желудка
Fig. 4. Plain thoracic and abdominal radiography: nasogastric tube tip is located beneath the diaphragm, without the stomach
Повреждение пищевода вблизи грушевидного синуса, как правило, являлось следствием трудностей интубации глубоко недоношенного ребёнка. При этом клинические проявления возникшего осложнения появлялись не сразу. Такой яркий симптом утечки воздуха, как подкожная эмфизема и крепитация мягких тканей шеи, характерен в основном для детей старшего возраста при пневмомедиастинуме. Именно поэтому перфорацию пищевода у новорождённого можно заподозрить вскоре после произошедшей травмы только по появлению геморрагических выделений из ротовой полости и по аномальному положению желудочного зонда, если он ставится вскоре после интубации пациента.
В такой ситуации зонд может пройти через имеющийся дефект стенки грушевидного синуса в заднее средостение вдоль позвоночника правее или левее пищевода [6, 7].
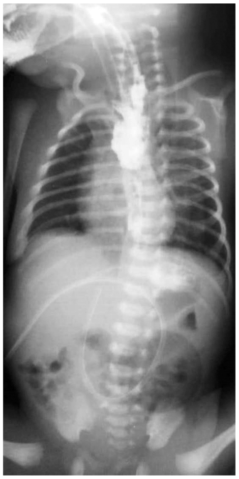
Перфорация пищевода в области глоточно-пищеводного перехода часто симулирует атрезию или врождённый стеноз пищевода. Травма происходит во время сложной интубации, когда производится несколько попыток введения интубационной трубки в дыхательные пути ребёнка. В этот момент интубационная трубка расслаивает стенку глотки и пищевода, создавая своеобразный тоннель или карман в тканях средостения. При последующем (после интубации) введении желудочного зонда в пищевод возникает ощущение препятствия на расстоянии, типичном для детей с атрезией пищевода, и провести зонд глубже не удаётся, а если зонд все-таки продвинулся вниз, то конец его будет визуализироваться вне тени пищевода и желудка. В клинической картине преобладают дисфагия, слюнотечение, выделение крови из ротовой полости и носа, нарастание респираторного дистресса. Все эти симптомы, кроме кровоточивости из полости рта и носа, характерны и для атрезии или врождённого стеноза пищевода, которые чаще всего и начинают подозревать у ребёнка. Результат рентгенографии только усиливает подозрение на порок пищевода (рис. 5).
Рис. 5. Контрастная рентгенография органов грудной и брюшной полости: имитация стеноза пищевода
Fig. 5. Thoracic and abdominal contrast stud: mimicing a picture of esophageal stricture
Однако следует обратить внимание на нечёткие фестончатые края скопления контраста в «верхнем сегменте» пищевода (на самом деле в кармане средостения, созданного интубационной трубкой) и на небольшое количество контраста, спустившегося по пищеводу или средостению вниз к желудку. Для исключения атрезии пищевода мы дополнительно выполняли фарингоэзофагоскопию ультратонким аппаратом.
Перфорация пищевода в нижней трети и области пищеводно-желудочного перехода происходит редко и, как правило, является осложнением, возникшим при постановке желудочного зонда. В клинической картине преобладают симптомы нарастающей дыхательной недостаточности с очевидными признаками нарушения вентиляции одного из лёгких, чаще правого. При ультразвуковом и рентгенологическом исследовании диагностируется гидроторакс, что подтверждается рентгеноконтрастным усилением — введение через зонд 5,0 мл йогексола демонстрирует миграцию конца желудочного зонда в правую плевральную полость.
РЕЗУЛЬТАТЫ
Восьмерым пациентам было проведено консервативное лечение. Оно включало подбор режима искусственной вентиляции лёгких, обезболивание, усиление антибактериальной терапии, отмену энтерального кормления в желудок, перевод ребёнка на полное парентеральное питание. При необходимости (гидроторакс, пневмоторакс, асцит) производилось дренирование плевральной или брюшной полости. Обязательным условием эффективности консервативного лечения являлась постановка желудочного зонда для декомпрессии органа в ранние сроки после перфорации с рентгенологическим контролем локализации зонда. Мы использовали способ относительно безопасного дренирования желудка при перфорации пищевода, когда новая орогастральная трубка аккуратно вводится в пищевод, в то время как первая, перфорировавшая пищевод, остаётся на месте и препятствует проникновению нового зонда через место ятрогенного повреждения в окружающие ткани. После выполнения этой процедуры проводился рентгенологический контроль с введением контрастного вещества через вновь установленный зонд. Заполнение желудка контрастом и отсутствие затёков йогексола в прилежащие к пищеводу и желудку ткани и полости свидетельствовало о правильном расположении зонда. После получения этой информации зонд, прошедший через зону перфорации пищевода, удалялся. В течение 8–10 сут желудочный зонд был открыт на отток, дети находились в режиме энтерального покоя. На 8–10-е сут выполнялась эзофагография с водорастворимым контрастным веществом относительно низкой осмолярности (йогексол в объёме 5,0 мл). У всех детей была доказана герметичность пищевода, и начато энтеральное зондовое кормление.
Если задренировать желудок не удавалось, то выполняли фиброэзофагоскопию ультратонким эндоскопом, при которой в ряде случаев возможно было не только оценить локализацию и размеры дефекта стенки пищевода, но и ввести зонд в желудок под эндоскопическим контролем (рис. 6, 7).
Рис. 6. Эзофагоскопия: желудочный зонд установлен через левый грушевидный синус; видна интубационная трубка в просвете гортани
Fig. 6. Esophagoscopy: nasogastric tube has been inserted through the left pyriform sinus (the intubation tube can be seen in the laryngeal lumen)
Рис. 7. Эзофагоскопия: желудочный зонд установлен в просвет пищевода под эндоскопическим контролем; виден дефект в области левого грушевидного синуса
Fig. 7. Esophagoscopy: nasogastric tube has been inserted into the esophageal lumen has been performed under endoscopic guidance. A left pyriform sinus defect is now clearly visible
Одному пациенту (с массой тела 590 г) нам так и не удалось дренировать желудок — ему была наложена гастростома.
Нежелательные явления
Погибли 2 ребёнка, родившиеся на 23-й нед. гестации путём экстренного Кесарева сечения на фоне преждевременной отслойки нормально расположенной плаценты. Масса тела при рождении составила 480 г и 590 г. С рождения у обоих детей диагностированы массивные кровоизлияния в боковые желудочки головного мозга, тяжёлый респираторный дистресс синдром. Перфорация пищевода была выявлена на 1–5-е сут жизни. Смерть наступила на 3-й нед. жизни от полиорганной недостаточности.
Таким образом, консервативное лечение оказалось эффективным у 7 из 9 наших пациентов, что говорит о правильности выбранной тактики. Летальность составила 22%.
ОБСУЖДЕНИЕ
Важно отметить, что желудочный зонд не только позволяет осуществить декомпрессию желудка и снизить риск регургитации или срыгивания желудочного содержимого через повреждённый пищевод, но и выполняет роль стента, чем предупреждает грубое рубцевание пищевода в зоне перфорации.
Вопрос о хирургическом лечении может встать только в том случае, если у ребёнка с перфорацией пищевода, несмотря на консервативную терапию, прогрессирует инфекционный процесс, обусловленный течением медиастинита или перитонита. Однако доказано, что хирургическое лечение не улучшает выживаемость пациентов [3, 8–10].
ЗАКЛЮЧЕНИЕ
Перфорация пищевода у недоношенных детей — редкое, но тяжёлое ятрогенное осложнение, которое может произойти даже в руках очень опытного врача. Профилактикой этого осложнения должно быть крайне щадящее обращение с нежными тканями недоношенного ребёнка, аккуратные манипуляции во время санации ротоглотки, замены или постановки желудочного зонда, а также обязательный рентгеноконтрастный контроль его положения. Контроль положения желудочного зонда так же важен, как и контроль положения интубационной трубки, венозных и артериальных катетеров. Ранняя диагностика, оптимальная консервативная терапия, предотвращение возможных хирургических осложнений снижают вероятность неблагоприятных исходов и позволяют надеяться на хороший результат.
ДОПОЛНИТЕЛЬНАЯ ИНФОРМАЦИЯ
Источник финансирования. Статья публикуется без спонсорской поддержки.
Конфликт интересов. Авторы заявляют об отсутствии явных и потенциальных конфликтов интересов.
Вклад авторов. Все авторы подтверждают соответствие своего авторства международным критериям ICMJE. Наибольший вклад распределён следующим образом: С.А. Караваева — концепция и дизайн исследования, написание текста; А.Н. Котин — редактирование, ответственность за целостность всех частей статьи; Т.А. Волерт, А.Б. Корнилова, М.А. Гопиенко, А.Н. Волков — сбор и обработка материала.
Этическое утверждение. Исследование не требует представления заключения комитета по биомедицинской этике или иных документов.
Согласие на публикацию. Авторы получили письменное согласие законных представителей пациентов на публикацию медицинских данных в обезличенной форме в журнале «Детская хирургия». Дата подписания 07.08.2023.
Благодарности. Авторы выражают благодарность коллективу неонатологов отделения патологии новорождённых и реаниматологов отделения реанимации новорождённых Детского городского многопрофильного клинического специализированного центра высоких медицинских технологий.
ADDITIONAL INFORMATION
Funding source. The publication had no sponsorship.
Competing interests. The authors claim that there is no conflict of interest in the article.
Authors’ contribution. All authors confirm compliance of their authorship with the international ICMJE criteria. The largest contribution is distributed as follows: S.A. Karavaeva — concept and design of the study, writing the text; A.N. Kotin — editing, responsibility for the integrity of all parts of the article; T.A. Volert, A.B. Kornilova, M.A. Gopienko, A.N. Volkov — collection and processing of the material.
Ethics approval. The study does not require the submission of the conclusion of the biomedical ethics committee or other documents.
Consent for publication. Written consent was obtained from the representatives of the patients for publication of relevant medical information and all of accompanying images within the manuscript in the Russian Journal of Pediatric Surgery. Date of signing 07.08.2023.
Acknowledgments. The authors express their gratitude to the team of neonatologists of the neonatal pathology department and resuscitators of the neonatal intensive care department of the Children’s City Multidisciplinary Clinical Specialized Center of High Medical Technologies.
About the authors
Svetlana A. Karavaeva
North-Western State Medical University named after I.I. Mechnikov; Academician I.P. Pavlov First Saint Petersburg State Medical University; Children's City Multidisciplinary Clinical Specialized Center of High Medical Technologies
Author for correspondence.
Email: swetl.karawaewa2015@yandex.ru
ORCID iD: 0000-0001-5884-9128
SPIN-code: 4224-5532
MD, Dr. Sci. (Medicine), Professor
Russian Federation, Saint Petersburg; Saint Petersburg; Saint PetersburgAlexey N. Kotin
Academician I.P. Pavlov First Saint Petersburg State Medical University; Children's City Multidisciplinary Clinical Specialized Center of High Medical Technologies
Email: alexey.kotin@mail.ru
ORCID iD: 0000-0003-1207-7171
SPIN-code: 5334-8594
MD, Cand. Sci. (Medicine), Assoc. Professor
Russian Federation, Saint Petersburg; Saint PetersburgTatiana A. Volert
North-Western State Medical University named after I.I. Mechnikov; Children's City Multidisciplinary Clinical Specialized Center of High Medical Technologies
Email: volertt@mail.ru
ORCID iD: 0000-0002-1141-8088
SPIN-code: 8248-1832
MD, Cand. Sci. (Medicine), Assoc. Professor
Russian Federation, Saint Petersburg; Saint PetersburgAnna B. Kornilova
Children's City Multidisciplinary Clinical Specialized Center of High Medical Technologies
Email: ankornilova@mail.ru
ORCID iD: 0000-0002-4284-6771
Russian Federation, Saint Petersburg
Mikhail A. Gopienko
Academician I.P. Pavlov First Saint Petersburg State Medical University; Children's City Multidisciplinary Clinical Specialized Center of High Medical Technologies
Email: gopienkoma@mail.ru
ORCID iD: 0009-0005-0779-5920
SPIN-code: 3552-7244
Russian Federation, Saint Petersburg; Saint Petersburg
Alexander N. Volkov
Regional Childrens’ Clinical Hospital
Email: adm@odkb53.ru
ORCID iD: 0009-0005-4742-864X
Russian Federation, Veliky Novgorod
References
- Mollitt DL, Schullinger JN, Santulli TV. Selective management of iatrogenic esophageal perforation in the newborn. J Pediatr. Surg. 1981;16(6):989–993. doi: 10.1016/s0022-3468(81)80861-5
- Rentea RM, Peter SD. Neonatal and pediatric esophageal perforation. Semin Pediatr Surg. 2017;26(2):87–94. doi: 10.1053/j.sempedsurg.2017.02.005
- Yong SB, Ma JS, Chen FS, et al. Nasogastric tube placement and esophageal perforation in extremely low birth weight infants. Pediatrics Neonatology. 2016;57(5):427–430. doi: 10.1016/j.pedneo.2013.10.011
- Kozlov YA, Novozhilov VA, Razumovskiy AY. Surgical diseases of premature children. National guide. Moskow: GEOTAR-Media; 2019. 592 р. (In Russ.)
- Hesketh AJ, Behr CA, Soffer SZ, et al. Neonatal esophageal perforation: Nonoperative management. J Surg Res. 2015;198(1):1–6. doi: 10.1016/j.jss.2015.05.018
- Parelkar S, Mundada D, Joshi P, et al. Iatrogenic perforation of upper pouch in pure esophageal atresia: A rare complication and review of the literature. Eur J Pediatr Surg Rep. 2013;1(1):21–23. doi: 10.1055/s-0033-1341417
- Geoghegan SF, Vavasseur C, Donoghue V, Molloy EJ. Easily missed, potentially fatal complication in an extremely preterm infant. BMJ Case Rep. 2014;2014:bcr2013201397. doi: 10.1136/bcr-2013-201397
- Kucherov YI, Zelenkin SA, Zhirkova YV, Rekhviashvili MG. Conservative treatment of oesophageal perforation in a premature baby. Detskaya Khirurgiya (Russian Journal of Pediatric Surgery). 2014;18(5):49–51. EDN: SNTWPH
- Sticco A, Khettry A, Aldape C, et al. Iatrogenic esophageal perforation in a premature neonate: A current nonoperative approach to management. J Pediatr Surg Case Rep. 2014;2(1):37–39. doi: 10.1016/j.epsc.2013.12.005
- Ben Aoun J, Gasmi M, Jemai R, et al. Iatrogenic esophageal perforation in the neonate. Tunis Med. 2012;90(1):72–74.
Supplementary files











