Endoscopic resection of a juvenile jejunum polyp which caused recurrent intestinal bleeding in a 12-month-old child: clinical observation
- Authors: Merkulova A.O.1, Kharitonova A.Y.1, Karaseva O.V.1,2, Shavrov A.A.1,3, Medinsky P.V.1, Nalbandyan R.T.1, Matytsina E.E.1, Batunina I.V.1, Shalstonin M.P.4, Lunyakova M.A.5, Alekseev I.F.1, Frolov E.A.1, Kapustin V.A.1, Shavrov A.A.6
-
Affiliations:
- Clinical and Research Institute of Emergency Pediatric Surgery and Trauma
- National Medical Research Center for Children's Health
- Russian National Research Medical University named after N.I. Pirogov
- Morozov Children's Municipal Clinical Hospital
- Ryazan State Medical University
- I.M. Sechenov First Moscow State Medical University (Sechenov University)
- Issue: Vol 28, No 5 (2024)
- Pages: 494-503
- Section: Case reports
- Submitted: 25.07.2024
- Accepted: 23.09.2024
- Published: 11.11.2024
- URL: https://jps-nmp.ru/jour/article/view/819
- DOI: https://doi.org/10.17816/ps819
- ID: 819
Cite item
Full Text
Abstract
BACKGROUND: To verify a source of obscure gastrointestinal bleeding leading to iron deficiency anemia is a challenging diagnostic problem. Intestinal polyps can be one of such sources. Sporadic juvenile intestinal polyps are extremely rare at the first year of life. The authors present a clinical case which demonstrates endoscopic diagnostics and resection of a jejunum polyp in a 12-month-old child weighing 6.3 kg. We did not find similar publications in literature.
CLINICAL CASE DESCRIPTION: A 12-month-old boy was admitted to our clinic with long-lasting complaints of dark stool and iron deficiency anemia. For the first time, gastrointestinal bleeding symptoms appeared at the age of one month. The child was repeatedly examined, but gastrointestinal bleeding source was not found. The child was prescribed symptomatic therapy for iron deficiency anemia including red blood cell transfusion. At current hospitalization in our clinic an intestinal polyp and transient small intestinal intussusception were suspected at ultrasound examination. The child underwent esophagogastroduodenoscopy, video capsule endoscopy, colonoscopy, laparoscopy. But the source of the bleeding was not found. During the repeated enteroscopy at 40 cm distally to the pylorus a sporadic juvenile jejunum polyp 17×15 mm was found and resected. The postoperative period was uneventful. In 1 month, there were no complaints as for the catamnesis, the child's stool had the usual characteristics, the indicators of "red blood" corresponded to the age norm.
CONCLUSION: A sporadic juvenile jejunal polyp may be a cause of obscure recurrent intestinal bleeding in children. Modern intraluminal endoscopy allows not only to put diagnosis, but also to perform a minimally invasive surgical intervention.
Full Text
ОБОСНОВАНИЕ
Причины желудочно-кишечного кровотечения (ЖКК) у детей крайне многообразны [1, 2]. Наиболее частыми причинами у новорождённых являются некротизирующий энтероколит, стресс- и сепсис-опосредованные язвы, синдром Ледда, геморрагическая болезнь новорождённых; у детей раннего возраста — пищевая аллергия, анальная трещина, дивертикул Меккеля, геморрагический васкулит, кишечная инвагинация; у подростков — язвенная болезнь и воспалительные заболевания кишечника. Одной из редких причин ЖКК у детей раннего возраста могут быть спорадические ювенильные полипы желудочно-кишечного тракта (ЖКТ).
Эндоскопическое исследование играет ключевую роль и является одним из основных методов, позволяющих установить источник кровотечения, предсказать угрозу его рецидива, определить тот или иной вид возможного внутрипросветного гемостаза и обеспечить временную или окончательную остановку кровотечения [3, 4]. При локализации источника в глубоких отделах тонкого кишечника наиболее эффективными методами, позволяющими провести диагностику, являются видеокапсульная эндоскопия (ВКЭ) и глубокая баллонная энтероскопия. В ситуациях, когда отсутствует необходимое оборудование для проведения этих эндоскопических манипуляций или имеются возрастные ограничения, возможно выполнение лапароскопически-ассистированной энтероскопии, как наиболее успешной методики верификации источников скрытого кровотечения у детей. Её диагностическая ценность составляет 83–100%, и, как правило, исследование заканчивается хирургическим лечением [5–8]. Верификация источника при скрытом ЖКК, проявляющимся минимальными симптомами железодефицитной анемии, — сложная диагностическая задача. Тонкокишечные новообразования являются второй по распространённости причиной скрытых кровотечений из ЖКТ [5]. Вместе с тем, мы нашли лишь единичные упоминания о спорадическом ювенильном полипе в тонкой кишке, как об источнике скрытого ЖКК у детей [9].
Представленное клиническое наблюдение демонстрирует диагностический поиск и успешное эндоскопическое удаление спорадического ювенильного полипа тощей кишки, ставшего причиной скрытого рецидивирующего кровотечения у ребёнка 12 мес. В доступной нам литературе мы не нашли подобных публикаций.
ОПИСАНИЕ КЛИНИЧЕСКОГО СЛУЧАЯ
Жалобы
Мальчик (12 мес.) был госпитализирован в нашу клинику с жалобами на тёмный стул и диагнозом «железодефицитная анемия».
Анамнез жизни
Из анамнеза известно, что ребёнок от восьмой беременности, протекавшей на фоне угрозы прерывания во втором триместре. Роды пятые, самопроизвольные, на 41 нед. гестации. Состояние ребёнка при рождении удовлетворительное. Грудное вскармливание осуществлялось в течение 1 мес. с последующим переводом на искусственное питание адаптированной молочной смесью «Нутрилак Премиум».
Анамнез заболевания
Со слов мамы, впервые тёмный стул появился у ребёнка в возрасте 1 мес., после перевода на искусственное вскармливание. Снижение концентрации гемоглобина в эритроцитах до 60 г/л было выявлено в возрасте 6 мес. участковым педиатром. Ребёнок был направлен в стационар, где был установлен диагноз «гастроинтестинальная форма аллергии к белкам коровьего молока (БКМ)». Проведены коррекция питания (адаптированная молочная смесь заменена смесью на основе гидролизата БКМ, из прикорма исключён БКМ) и курс внутривенного введения препаратов железа — эффект положительный (концентрация гемоглобина 90 г/л, результат анализа кала на скрытую кровь отрицателен). После перенесённой респираторной вирусной инфекции тёмный стул появился вновь. Таким образом, с периодичностью 2–4 нед. ребёнок проходил многократные курсы стационарного обследования и лечения в различных медицинских учреждениях. По данным инструментальных методов обследования [ультразвукового исследования органов брюшной полости (УЗИ ОБП), эндоскопического исследования верхних и нижних отделов ЖКТ с биопсией, компьютерной томографии кишечника с контрастированием] источников кровотечения, патологических образований органов брюшной полости и забрюшинного пространства выявлено не было. Гистологическое исследование биопсийного материала исключило наличие у ребёнка целиакии и воспалительных заболеваний кишечника. Ребёнок был консультирован онкологом-гематологом — гемолитический характер анемии был исключён. Внутривенная ферротерапия с трансфузией эритроцитарной взвеси давали кратковременный эффект — через 1–2 нед. после выписки из стационара возобновлялась предыдущая симптоматика: тёмный стул с положительной реакцией на скрытую кровь, снижение уровня гемоглобина.
Результаты физикального, лабораторного и инструментального исследования
При поступлении обращали на себя внимание бледность кожных покровов, вялость ребёнка, отставание в физическом развитии: рост 76 см, масса тела 6,3 кг, ребёнок не ползает и не ходит. В общем анализе крови количество эритроцитов 2,72×1012/л, концентрация гемоглобина 82 г/л. Учитывая данные предыдущих методов обследования, исключающие наличие источника кровотечения в верхних и нижних отделах ЖКТ, было принято решение провести ВКЭ тонкой кишки. В условиях эндотрахеальной анестезии при инсуффляции СО2 тонким видеогастроскопом (наружный диаметр вводимой части 5,8 мм) была выполнена диагностическая эзофагогастродуоденоскопия (ЭГДС). Следов крови и источника кровотечения в просвете пищевода, желудка, двенадцатиперстной кишки и доступных осмотру отделов тощей кишки выявлено не было. Стандартным видеогастроскопом (наружный диаметр вводимой части 9,2 мм) с введённым в инструментальный канал эндоскопическим сачком видеокапсула (Olympus) была заведена в нисходящую ветвь двенадцатиперстной кишки (рис. 1). Антенна-пояс фиксирована вокруг живота ребёнка (рис. 2), а записывающее устройство передано маме. Спустя сутки капсула вышла естественным путём через анус ребёнка. При расшифровке ВКЭ следов крови в просвете тонкой кишки, эрозивно-язвенных поражений, патологических новообразований, анатомических аномалий кишечника, сосудистых мальформаций и ангиэктазий выявлено не было (рис. 3).
Рис. 1. Проведение видеокапсулы через пилорический канал: a — видеокапсула захвачена эндоскопическим сачком в желудке и проведена в пилорический канал, b — видеокапсула в просвете двенадцатиперстной кишки
Fig. 1. Delivery of the video capsule through the pyloric channel: a — the video capsule is taken by the endoscopic net and delivered to the pyloric channel, b — the video capsule is in the duodenal lumen
Рис. 2. Антенна-пояс фиксирована вокруг живота ребёнка
Fig. 2. The antenna-unit is fixed around the child's corpse
Рис. 3. Видеокапсульные изображения проксимальных (слева) и дистальных (справа) отделов тонкой кишки без следов крови на всем протяжении
Fig. 3. Video capsule images of the small bowel in its proximal part (left) and in distal part (right) without signs of blood throughout
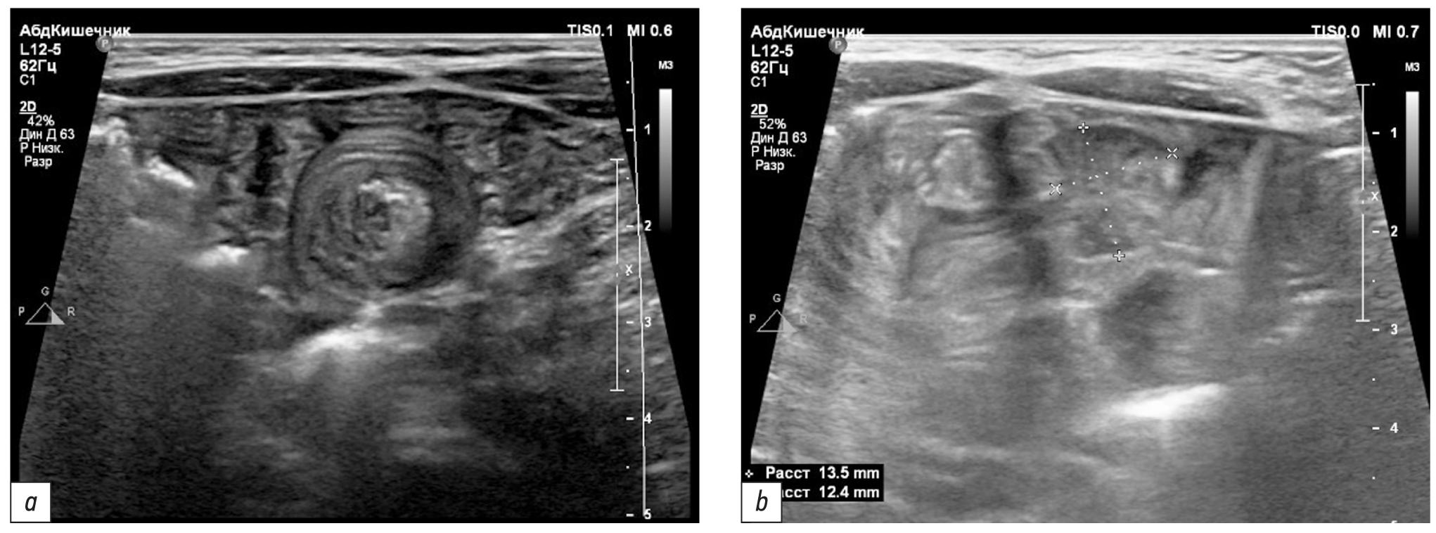
Поиск источника скрытого кровотечения был продолжен УЗИ ОБП, при котором была выявлена транзиторная тонкокишечная инвагинация (множественные нестабильные мишенеподобные образования около 20 мм в диаметре). При повторном УЗИ ОБП на фоне транзиторных тонкокишечных инвагинатов в мезогастрии было визуализировано стабильное образование (полип кишечника?), размерами 16×21 мм без чёткой анатомической локализации (рис. 4). Повторное эндоскопическое исследование верхних и нижних отделов кишечника в пределах досягаемости (исследование толстой кишки с осмотром около 40 см подвздошной кишки, ЭГДС с осмотром около 40 см тощей кишки) не дало новых результатов. При этом у ребёнка сохранялись симптомы скрытого кишечного кровотечения в виде мелены и железодефицитной анемии. Для исключения кровотечения из верхних дыхательных путей ребёнок был консультирован оториноларингологом, с помощью ультратонкого эндоскопа был выполнен осмотр носовых ходов, носоглотки и гортани — следов крови и потенциальных источников кровотечения выявлено не было.
Рис. 4. Сонограммы: a — транзиторный тонко-тонкокишечный инвагинат, b — солидное образование размерами 16×21 мм
Fig. 4. Sonograms: a — transient small bowel intussusception, b — solid lesion 16×21 mm in size
Консилиумом в составе детского хирурга, эндоскописта, педиатра было принято решение о необходимости диагностической лапароскопии для исключения внутрибрюшных и/или внутрипросветных причин ЖКК, которые, возможно, не были визуализированы при повторных эндоскопических исследованиях. Подготовка пациента включала коррекцию анемии путём гемотрансфузии эритроцитарной взвеси. После подготовки в условиях многокомпонентной эндотрахеальной анестезии выполнена диагностическая лапароскопия с ревизией тонкой кишки от илеоцекального угла до связки Трейтца, в ходе которой были обнаружены множественные транзиторные тонко-тонкокишечные инвагинаты, самостоятельно расправляющиеся во время исследования. На расстоянии около 30–40 см от связки Трейтца выявлена стойкая тонко-тонкокишечная инвагинация длиной до 10 см (рис. 5). Без технических трудностей при помощи тракции манипулятором инвагинат был расправлен, при осмотре внутреннего цилиндра заподозрено наличие внутрипросветного объёмного образования. Однако при инструментальной пальпации патологических объёмных образований в просвете кишки выявлено не было. При повторной детальной ревизии брюшной полости дивертикула Меккеля, патологических новообразований кишечника и других потенциальных источников кровотечения обнаружено не было.
Рис. 5. Лапароскопическая картина тонко-тонкокишечного инвагината
Fig. 5. Laparoscopic image of the small bowel intussusception
Поскольку в день операции у ребёнка был отмечен очередной эпизод мелены, для исключения поражений Дьелафуа, а также для осмотра тощей кишки на уровне расправленного тонкокишечного инвагината (30–40 см от связки Трейтца) интраоперационным консилиумом принято решение выполнить третье эндоскопическое исследование верхних отделов ЖКТ. В положении ребёнка на левом боку под СО2-инсуффляцией с применением ручного пособия тонкий видеогастроскоп заведён в тощую кишку, где на расстоянии около 40 см от пилорического канала было обнаружено эпителиальное новообразование шаровидной формы размерами 15×17 мм на короткой широкой ножке толщиной около 6 мм (тип 0-Ip по Парижской классификации эпителиальных новообразований) (рис. 6). Поверхность полипа гиперемирована, покрыта единичными округлыми эрозиями с налётом фибрина. Новообразование легко смещалось в просвете кишки при помощи инструментальной пальпации. С целью расширения возможностей инструментария тонкий видеогастроскоп заменён на аппарат стандартного диаметра с рабочим каналом 2,8 мм, который с техническими трудностями, обусловленными малым диаметром просвета ЖКТ у ребёнка, был проведён к новообразованию. Первым этапом с помощью эндоскопического инъектора выполнено введение в подслизистый слой физиологического раствора с индигокарминовым красителем в основание полипа с целью создания гидравлической подушки между слизистой и мышечной оболочками стенки кишки (рис. 7). Отмечен умеренный лифтинг новообразования. Эндоскопической серповидной петлёй Olympus Snare Master 25 мм выполнен захват полиповидного образования в пределах неизменённых тканей и затягивание петли на ножке образования (рис. 8). Выполнено удаление полипа в пределах неизменённых тканей в смешанном режиме коагуляции-резания (электрохирургический блок Olympus) методикой эндоскопической резекции слизистой оболочки. При осмотре после резекции признаков резидуальных тканей новообразования и глубокого повреждения стенки кишки не определялось. Отмечено подтекание крови из ложа удалённого образования. Выполнен гемостаз и сведение краёв дефекта слизистой при помощи трех эндоскопических клипс (рис. 9). Полип извлечён при помощи эндоскопического сачка из просвета ЖКТ и направлен на морфологическое исследование (рис. 10, 11).
Рис. 6. Полип тощей кишки: a — осмотр тонким видеогастроскопом, b — осмотр стандартным видеогастроскопом
Fig. 6. A jejunal polyp: a — image from the thin endoscope, b — image from the standard endoscope
Рис. 7. Гидравлическая подушка после инъекции физиологического раствора с индигокармином в подслизистый слой
Fig. 7. Submucosal fluid cushion after saline injection with indigo carmine
Рис. 8. Эпителиальное новообразование захвачено эндоскопической петлёй
Fig. 8. An epithelial lesion is taken by an endoscopic snare
Рис. 9. Пострезекционный дефект слизистой оболочки укрыт тремя эндоскопическими клипсами
Fig. 9. The post resection defect of mucosa is closed by three endoscopic clips
Рис. 10. Извлечение удалённого полипа при помощи эндоскопического сачка
Fig. 10. Removal of the resected polyp by the endoscopic net
Рис. 11. Макропрепарат: полип тощей кишки 15×17 мм
Fig. 11. Macroscopic view: the jejunal polyp 15×17 mm
Исход и результаты последующего наблюдения
Послеоперационный период протекал гладко. Ребёнок был выписан домой в удовлетворительном состоянии на 5 сут после операции с рекомендациями по пероральному приёму препарата железа (железа протеин сукцинилат + кальция фолинат) в течение 20 дней. При выписке стул ребёнка имел обычные характеристики, концентрация гемоглобина 111 г/л, количество эритроцитов 3,85×1012/л. В катамнезе через 1 и 3 мес. состояние пациента удовлетворительное, ребёнок активный, стул без патологических примесей, клинический анализ крови без изменений (концентрация гемоглобина 135 г/л). Ребёнок находится на диспансерном учёте у педиатра по месту жительства.
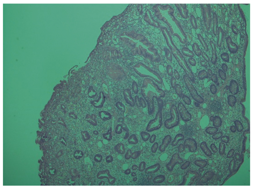
По данным гистологического заключения удалённое новообразование представляет собой полиповидный фрагмент слизистой оболочки толстокишечного типа с кистозно-расширенными железами неправильной формы, в просвете которого имеется обильный воспалительный экссудат. Собственная пластинка расширена, со смешанно-клеточной инфильтрацией и участками грануляционной ткани. Указанные изменения характерны для ювенильного полипа (рис. 12).
Рис. 12. Морфологическая картина ювенильного полипа, окраска гематоксилином и эозином. Увеличение ×200
Fig. 12. Morphological image of the juvenile polyp, hematoxylin-eosin staining. Magnification ×200
ОБСУЖДЕНИЕ
Ювенильные полипы — это одиночные ненаследуемые гамартомные эпителиальные образования, которые встречаются примерно у 1% детей дошкольного возраста, с пиком заболеваемости между 4 и 5 годами. Они почти не встречаются в возрасте до 2 лет и крайне редки на первом году жизни. Кишечное кровотечение — наиболее частый симптом, но возможны и абдоминальные боли, которые связаны с инвагинацией кишечника, растяжением полипа в результате перистальтической активности органа и его аутоампутации. Ювенильные полипы, также называемые воспалительными или ретенционными, чаще встречаются в толстой и прямой кишке, но могут обнаруживаться в желудке и тонкой кишке. Как правило, полипы в тонкой кишке развиваются при синдроме ювенильного полипоза, относящегося к аутосомно-доминантным заболеваниям [10].
До недавнего времени верификация полипов тонкой кишки у детей представляла сложную диагностическую задачу. Трудности диагностики были обусловлены, с одной стороны, малосимптомным течением заболевания, с другой — отсутствием возможности внутрипросветной визуализации этой части ЖКТ [9]. Развитие и внедрение таких новых видеотехнологий, как видеокапсульная и глубокая баллонная энтероскопия, позволяют эффективно осматривать детей и младенцев и проводить им эндоскопические лечебные манипуляции в ранее недоступных отделах ЖКТ [6–8]. В нашем клиническом наблюдении полип был визуализирован и удалён при энтероскопии. Однако потребовалось повторное исследование, учитывая сохраняющуюся клиническую симптоматику и отрицательные результаты диагностического поиска.
ЖКК неясной этиологии несёт непосредственную угрозу жизни ребёнка. Верификация источника скрытого рецидивирующего кровотечения требует мультидисциплинарного подхода и опыта педиатров, гастроэнтерологов и хирургов. Лучевые методы визуализации относительно слабочувствительны для диагностики плоских и небольших воспалительных новообразований, являющихся причинами скрытого кишечного кровотечения. Ангиография и радиоизотопное сканирование полезны только в случаях активного кровотечения. Тем не менее компьютерная ангиография иногда бывает полезна наряду с обычной компьютерной томографией [5]. G. Gershman и соавт. предлагают лечебно-диагностический алгоритм при рецидивирующем кровотечении неясной этиологии, учитывающий ценность и ограничения эндоскопических и лучевых методов исследования. При подозрении на скрытое ЖКК после оценки состояния пациента и при необходимости реанимационных мероприятий авторы предлагают выполнять эндоскопическое исследование верхних и нижних отделов ЖКТ. Если источник кровотечения не обнаружен, то следующим этапом проводится ВКЭ тонкой кишки, а затем — глубокая лечебная энтероскопия. В качестве альтернативных методов дообследования и лечения авторы предлагают компьютерную или магнитно-резонансную томографию кишечника, лапароскопию, лапароскопически-ассистированную энтероскопию, ангиографию с эмболизацией [5]. В этом алгоритме мы не нашли место и значение УЗИ ОБП, тогда как при кишечной инвагинации возможно выявить не только инвагинат (симптом мишени, слоёного пирога), но и объёмное образование, являющееся lead point внедрения. Опытными специалистами ультразвуковой диагностики в нашем наблюдении впервые в процессе диагностического поиска было заподозрено новообразование на фоне транзиторных тонко-тонкокишечных инвагинатов, что во многом определило дальнейшую тактику. Несомненно, УЗИ не призвано заменить эндоскопию в диагностике полипов кишечника у детей, однако, как наименее инвазивное, это исследование должно быть первым в диагностическом ряду [9]. Применение глубокой баллонной энтероскопии у ребёнка с массой тела 6,3 кг технически невыполнимо, поэтому мы использовали весь доступный нам арсенал эндоскопических методов обследования для поиска источника кровотечения. Однако его верификация — это результат ЭГДС стандартным эндоскопом с ручным пособием, позволившим осмотреть дистальные отделы тонкой кишки на 40 см от пилорического канала и удалить полип методом эндоскопической резекции слизистой оболочки вместе с образованием.
ЗАКЛЮЧЕНИЕ
Причиной скрытого рецидивирующего ЖКК у детей раннего возраста может быть спорадический ювенильный полип тощей кишки. Верификация причины кровотечения представляет значительные трудности и требует мультидисциплинарного подхода. Применение в диагностическом поиске разных видов внутрипросветных исследований демонстрирует современные возможности эндоскопических технологий. Мы представили эндоскопическое удаление новообразования тощей кишки у самого юного и маловесного пациента среди наблюдений, описанных в доступных нам публикациях.
ДОПОЛНИТЕЛЬНАЯ ИНФОРМАЦИЯ
Источник финансирования. Авторы заявляют об отсутствии внешнего финансирования при проведении поисково-аналитической работы и подготовке рукописи. Рассмотрение рукописи оплачено компанией Olympus.
Конфликт интересов. Авторы заявляют об отсутствии явных и потенциальных конфликтов интересов.
Вклад авторов. Все авторы подтверждают соответствие своего авторства международным критериям ICMJE. Наибольший вклад распределён следующим образом: А.О. Меркулова — выполнение диагностических и оперативных эндоскопических вмешательств, написание текста, подготовка иллюстраций; А.Ю. Харитонова — выполнение диагностических и оперативных эндоскопических вмешательств; О.В. Карасева — определение стратегии диагностики и лечения, консультирование, редактирование текста; А.А. Шавров — консультирование, редактирование текста; П.В. Мединский, Р.Т. Налбандян — выполнение лапароскопического этапа диагностики, подготовка иллюстраций; Э.Э. Матыцина, И.В. Батунина — ультразвуковое исследование, первичная диагностика, подготовка иллюстраций; М.П. Шалатонин — выполнение гистологического исследования, подготовка иллюстраций; М.А. Лунякова — ведение пациента на амбулаторном этапе, катамнез; И.Ф. Алексеев — проведение анестезиологического пособия при диагностических и оперативных вмешательствах; Е.А. Фролов — проведение диагностических эндоскопических исследований; В.А. Капустин — консультирование для определения тактики ведения и в ходе диагностических эндоскопических исследований; А.А. Шавров (мл.) — консультирование.
Согласие на публикацию. Авторы получили письменное согласие законного представителя пациента на публикацию медицинских данных в обезличенной форме в журнале «Детская хирургия». Дата подписания 29.02.2024.
ADDITIONAL INFORMATION
Funding source. This publication was not supported by any external sources of funding. The payment for the article review in the journal was made by Olympus.
Competing interests. The authors claim that there is no conflict of interest in the article.
Authors’ contribution. All authors confirm compliance of their authorship with the international ICMJE criteria. The largest contribution is distributed as follows: A.O. Merkulova — performing diagnostic and operative endoscopic interventions, writing text, preparation of illustrations; A.Yu. Kharitonova — performing diagnostic and operative endoscopic interventions; O.V. Karaseva — determining the strategy of diagnosis and treatment, consulting, editing text; A.A. Shavrov — consulting, editing; P.V. Medinsky, R.T. Nalbandian — laparoscopic stage of diagnosis, preparation of illustrations; E.E. Matytsina, I.V. Batunina — ultrasound, primary diagnosis, preparation of illustrations; M.P. Shalatonin — performing histological examination, preparation of illustrations; M.A. Lunyakova — patient management at the outpatient stage, catamnesis; I.F. Alekseev — conducting anesthesiological manuals for diagnostic and surgical interventions; E.A. Frolov — conducting diagnostic endoscopic examinations; V.A. Kapustin — consulting in determining tactics and diagnostic procedures endoscopic examinations; A.A. Shavrov (Jr.) — consulting.
Consent for publication. Written consent was obtained from the representative of the patient for publication of relevant medical information and all of accompanying images within the manuscript in the Russian Journal of Pediatric Surgery. Date of signing 29.02.2024.
About the authors
Anastasia O. Merkulova
Clinical and Research Institute of Emergency Pediatric Surgery and Trauma
Author for correspondence.
Email: anast.merkulova@gmail.com
ORCID iD: 0000-0001-8623-0947
SPIN-code: 2535-1504
Россия, Moscow
Anastasia Yu. Kharitonova
Clinical and Research Institute of Emergency Pediatric Surgery and Trauma
Email: anastesia08@mail.ru
ORCID iD: 0000-0001-6218-3605
SPIN-code: 1251-5150
MD, Cand. Sci. (Medicine)
Россия, MoscowOlga V. Karaseva
Clinical and Research Institute of Emergency Pediatric Surgery and Trauma; National Medical Research Center for Children's Health
Email: karaseva.o@list.ru
ORCID iD: 0000-0001-9418-4418
SPIN-code: 7894-8369
MD; Dr. Sci. (Medicine)
Россия, Moscow; MoscowAndrey A. Shavrov
Clinical and Research Institute of Emergency Pediatric Surgery and Trauma; Russian National Research Medical University named after N.I. Pirogov
Email: shavrovaa@yandex.ru
ORCID iD: 0000-0003-3666-2674
SPIN-code: 3455-9611
MD, Dr. Sci. (Medicine), Professor
Россия, Moscow; MoscowPavel V. Medinsky
Clinical and Research Institute of Emergency Pediatric Surgery and Trauma
Email: pavmedin@yandex.ru
ORCID iD: 0000-0003-3764-1664
SPIN-code: 1054-5830
Россия, Moscow
Ruben T. Nalbandyan
Clinical and Research Institute of Emergency Pediatric Surgery and Trauma
Email: rubnalb@gmail.com
ORCID iD: 0000-0002-0332-9720
SPIN-code: 8674-0578
MD, Cand. Sci. (Medicine)
Россия, MoscowErzheni E. Matytsina
Clinical and Research Institute of Emergency Pediatric Surgery and Trauma
Email: ejik-opa@rambler.ru
Россия, Moscow
Inna V. Batunina
Clinical and Research Institute of Emergency Pediatric Surgery and Trauma
Email: batuninaiv@zdrav.mos.ru
ORCID iD: 0009-0004-4878-5609
Россия, Moscow
Mikhail P. Shalstonin
Morozov Children's Municipal Clinical Hospital
Email: mikelpost@list.ru
ORCID iD: 0000-0002-9768-9646
SPIN-code: 7981-3324
Россия, Moscow
Maria A. Lunyakova
Ryazan State Medical University
Email: mail@hemacenter.org
ORCID iD: 0000-0002-4543-2945
SPIN-code: 8923-4470
MD, Cand. Sci. (Medicine)
Россия, RyazanIlya F. Alekseev
Clinical and Research Institute of Emergency Pediatric Surgery and Trauma
Email: alekseevif@zdrav.mos.ru
ORCID iD: 0000-0002-5823-3574
SPIN-code: 1940-3970
Россия, Moscow
Egor A. Frolov
Clinical and Research Institute of Emergency Pediatric Surgery and Trauma
Email: slon.frolov@yandex.ru
ORCID iD: 0000-0003-1561-5510
SPIN-code: 4291-6995
Россия, Moscow
Vitaly A. Kapustin
Clinical and Research Institute of Emergency Pediatric Surgery and Trauma
Email: kapustinva@zdrav.mos.ru
Россия, Moscow
Anton A. Shavrov
I.M. Sechenov First Moscow State Medical University (Sechenov University)
Email: shavrov_a_a@staff.sechenov.ru
ORCID iD: 0000-0002-0178-2265
SPIN-code: 2381-3024
MD, Cand. Sci. (Medicine)
Россия, MoscowReferences
- Kharitonova AY, Leonov DI, Kapustin VA, et al. Gastrointestinal hemorrhage in children. Detskaya Khirurgiya (Russian Journal of Pediatric Surgery). 2017;21(5):266–273. EDN: ZIGBWH doi: 10.18821/1560-9510-2017-21-5-266-273
- Gershman G, Thomson M. Practical pediatric gastrointestinal endoscopy. Second Edition. Wiley-Blackwell; 2012. 256 p.
- Kay MH, Wyllie R. Therapeutic endoscopy for nonvariceal gastrointestinal bleeding. J Pediatr Gastroenterol Nutr. 2007;45(2):157–171. doi: 10.1097/MPG.0b013e31809502bf
- Heldwein W, Schreiner J, Pedrazzoli J, et al. Is the Forrest classification a useful tool for planning endoscopic therapy of bleeding peptic ulcers? Endoscopy. 1989;21(6):258–262. doi: 10.1055/s-2007-1010729
- Gershman G, Thomson M. Practical pediatric gastrointestinal endoscopy. Third edition. John Wiley & Sons Ltd; 2021. 30 р.
- Liu W, Xu C, Zhong J. The diagnostic value of double balloon enteroscopy in children with small bowel disease: Report of 31 cases. Can J Gastroenterol. 2009;23(9):635–636. doi: 10.1155/2009/281040
- Nishimura N, Yamamoto H, Yano T, et al. Safety and efficacy of double balloon enteroscopy in pediatric patients. Gastrointest Endosc. 2009;71(2):287–294. doi: 10.1016/j.gie.2009.08.010
- Thomson M, Venkatesh K, Elmalik K, et al. Double balloon enteroscopy in children: Diagnosis, treatment and safety. World J Gastroenterol. 2010;16(1):56–62. doi: 10.3748/wjg.v16.i1.56
- Ceccanti S, Frediani S, Manganaro F, et al. Laparoscopic-assisted resection of juvenile polyp of the jejunum in a 3-year-old girl. J Pediatr Surg. 2012;47(2):426–429. doi: 10.1016/j.jpedsurg.2011.10.063
- Adolph VR, Bernabe K. Polyps in children. Clin Colon Rectal Surg. 2008;21(4):280–285. doi: 10.1055/s-0028-1089943
Supplementary files
















