Acute appendicitis complicated by peritonitis in a premature newborn: a clinical observation
- Authors: Gumerov A.A.1, Neudachin A.E.2, Gumerov R.A.2, Mustafin A.D.2, Valitov I.O.1, Khidiyatov I.I.1, Minibaeva G.I.2
-
Affiliations:
- Bashkir State Medical University
- Republican Children's Clinical Hospital, Ufa
- Issue: Vol 29, No 1 (2025)
- Pages: 57-62
- Section: Case reports
- Submitted: 03.10.2024
- Accepted: 11.02.2025
- Published: 17.03.2025
- URL: https://jps-nmp.ru/jour/article/view/836
- DOI: https://doi.org/10.17816/ps836
- ID: 836
Cite item
Full Text
Abstract
BACKGROUND: Acute appendicitis in premature newborns (AAPI) is very rare case and is described as isolated observations. AAPI symptoms and clinical picture are similar to those of other acute abdominal diseases in premature newborns. Its diagnosis before surgery is one of the complex problems of neonatal surgery. This pathology is detected accidentally during surgery for other diseases.
CLINICAL CASE DESCRIPTION: We present a rare clinical case of acute appendicitis complicated by peritonitis in a premature newborn aged 11 days, weighing 1200 g. After a clinical and radiological examination diagnosis of necrotic enterocolitis (NEC) and perforation of a hollow organ was put. Laparocentesis and drainage of the abdominal cavity were performed. After patient’s state stabilization three days later gangrenous perforated appendicitis was diagnosed during laparotomy 3 days later, and appendectomy was performed. Recovery complied with that of the surgical pathology. On day 13th, the patient was transferred to the department of pathology of premature babies for nursing. The child, being in satisfactory condition, was discharged home at the age of 1 month weighing 2250 g.
CONCLUSION: Laparocentesis and drainage of the abdominal cavity with subsequent laparotomy and appendectomy improves outcomes in AAPI patient.
Full Text
ОБОСНОВАНИЕ
Острый аппендицит у недоношенных новорождённых встречается чрезвычайно редко [1–3]. Большинство авторов описывают единичные наблюдения [4–7]. Клиническая картина этой патологии не имеет характерной симптоматики [8–10], а имеющиеся объективные данные напоминают клинику некротизирующего энтероколита (НЭК), перфорации кишечника и желудка недоношенных новорождённых [11–13]. Ряд авторов отмечают сложность диагностики этих заболеваний. Диагноз: «Острый аппендицит» у недоношенных новорождённых устанавливается во время операции по поводу НЭК [14–16].
КЛИНИЧЕСКИЙ СЛУЧАй
Ребёнок Ш., 11 сут. Родился 06.09.2023 путём кесарева сечения от 1-х родов на 30-й неделе беременности. Масса тела при рождении — 1200г, длина тела 36 см, оценка по шкале Апгар 5/7 баллов. Находился в Республиканском перинатальном центре с диагнозом: врождённая инфекция, пневмония, дыхательная недостаточность III степени, респираторный дистресс-синдром у новорождённого, гипоксическая ишемическая энцефалопатия новорождённого. В связи с дыхательной недостаточностью ребёнок переведён на искусственную вентиляцию лёгких, на 3-сутки — на самостоятельное дыхание. На 9-е сутки — ухудшение состояния, пациент повторно переведён на искусственную вентиляцию лёгких. На консультацию приглашён детский хирург из РДКБ.
Результаты клинического, лабораторного и инструментального исследования
Состояние крайне тяжёлое. Кожные покровы и видимые слизистые оболочки бледно-розовые. В лёгких пуэрильное дыхание проводилось по всем полям, хрипы не выслушиваются. Частота дыхания 65 в минуту. Тоны сердца ясные, ритмичные, пульс 155 в минуту. Живот вздут, болезненный, наблюдается отёчность передней брюшной стенки. Перистальтика кишечника не выслушивается, из желудка — застойное отделяемое. Стула нет.
Лабораторная и инструментальная диагностика
Общий анализ крови от 15.09.23 г.: эритроциты — 5,54×1012/л, гемоглобин — 112 г/л, лейкоциты 19,6×109/л.
Биохимический анализ крови: общий билирубин — 92 мкмоль/л, аланиаминотрансфераза — 15 Ед/л, аспартаминотрансфераза — 4 Ед/л, общий белок — 36 г/л, мочевина — 4,0 ммоль/л.
Общий анализ мочи: показатели в пределах нормы.
Обзорная рентгенограмма брюшной полости: в латеропозиции свободный газ обнаруживается под передней брюшной стенкой (рис. 1).
Рис. 1. Рентгенограмма органов брюшной полости в латеропозиции. Воздух определяется под передней брюшной стенкой.
Fig. 1. Radiograph of abdominal organs in the lateral position. Air is detected under the anterior abdominal wall.
Предварительный диагноз
На основании клинико-рентгенологического исследования заподозрен НЭК, 3-я «Б» стадия, перфорация полого органа, перитонит.
Лечение
Крайне тяжёлое состояние обусловлено резким повышением внутрибрюшного давления. В связи с этим выполнен лапароцентез и дренирование брюшной полости, выделилось большое количество воздуха и мутного выпота желтоватого цвета. На фоне комплексной терапии дренирование брюшной полости позволило провести адекватную респираторную поддержку и стабилизацию гемодинамики, а также дало возможность уменьшить вздутие живота и застойное отделяемое из желудка. Состояние больного стабилизировалось. На 3-и сутки после постановки дренажа ребёнок переведён из перинатального центра в отделение хирургии новорождённых РДКБ. После предоперационной подготовки под общим обезболиванием с предположительным диагнозом «НЭК, перфорация полого органа, перитонит» 18.06.23 выполнена поперечная лапаротомия слева, выделился гнойный выпот с примесью кишечного содержимого. Петли тонкой кишки отёчны, гиперемированы, покрыты фибрином. При ревизии выявлен перфоративный аппендицит, в средней трети отростка обнаружено перфорационное отверстие размером 0,3×0,2 мм (рис. 2), откуда поступает кишечное содержимое и воздух. На остальном протяжении отросток не изменён. Проведена аппендэктомия лигатурным способом и санация брюшной полости. Наложены послойные швы на рану нитью (викрил 4-0).
Рис. 2. Интраоперационная картина: перфорация червеобразного отростка.
Fig. 2. Intraoperative picture: perforation of the appendix.
Послеоперационный диагноз: гангренозно-перфоративный аппендицит, каловый перитонит. Гистологическое заключение: острый деструктивный флегмонозно-язвенный перфоративный аппендицит, перитонит.
В бактериологическом посеве выпота из брюшной полости выявили Str. faecalis, грибы рода Candida.
Исход и результаты последующего наблюдения
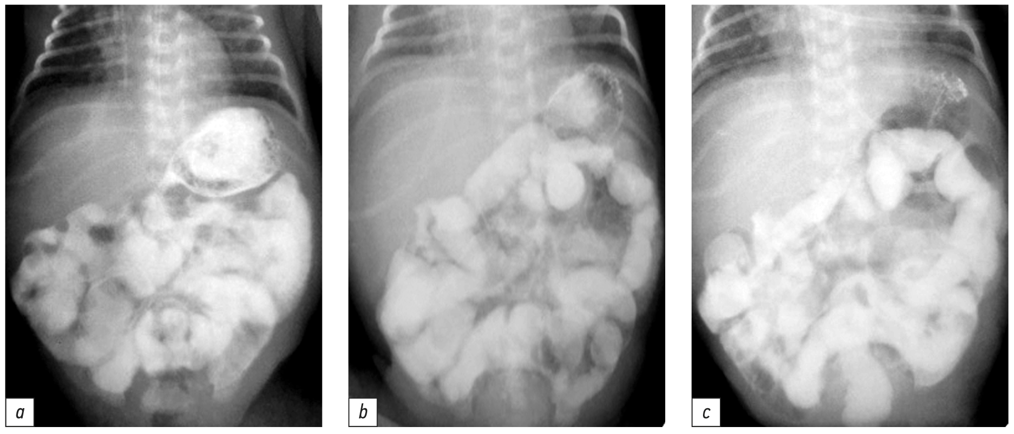
Послеоперационное лечение включало респираторную, инотропную поддержку, анальгезию, инфузионную, антибактериальную терапию. На 5-е сутки после операции в связи со стойкими клиническими признаками пареза кишечника для исключения ранней спаечной кишечной непроходимости проведено пероральное контрастирование желудочно-кишечного тракта после введения водорастворимого контраста. На рентгенограмме через 1, 3, 6 ч после введения контраста наблюдалось замедление времени транзита по кишечнику, признаков непроходимости не отмечалось (рис. 3).
Рис. 3. Пассаж контраста по кишечнику через 1 (a), 3 (b), 6 (c) ч после введения (данных за непроходимость кишечника нет).
Fig. 3. Passage of the contrast through the intestines 1 (a), 3 (b), 6 (c) hours after contrast administration (no evidence of intestinal obstruction).
На фоне проводимой комплексной терапии состояние новорождённого постепенно улучшилось. На 7-е сутки после операции восстановился пассаж по кишечнику и начато энтеральное кормление с 10 мл грудного молока с постепенным увеличением до необходимого объёма. Швы сняли на 10-е сутки, заживление раны первичным натяжением. Выздоровление по хирургической патологии. На 13-е сутки ребёнок переведён в отделение патологии недоношенных детей для выхаживания. Выписан в удовлетворительном состоянии через 34 дня с массой тела 2250 г.
Ребёнок осмотрен через год. Мать больного жалоб не предъявляет. Стул регулярен. Развивается соответственно возрасту.
ОБСУЖДЕНИЕ
Данное клиническое наблюдение представляет крайне тяжёлую и редкую патологию острого аппендицита у недоношенного новорождённого, которое нередко является причиной развития тяжёлых осложнений или летальных исходов [8, 16, 17].
Диагностика этой патологии до операции крайне сложна, а порой невозможна, что обусловливается отсутствием специфичных симптомов [8, 9, 18, 19]. Нередко заболевание расценивается как НЭК или перфорация кишечника [3, 12, 20]. Ряд авторов [21–23] отмечают сложность дифференциальной диагностики этих двух заболеваний.
Так, Р. Naik [15] описывает клинический случай недоношенного новорождённого, у которого на 2-е сутки диагностирован перитонит с диагнозом НЭК, проведено дренирование брюшной полости. В последующем на операции обнаружен перфоративный аппендицит. I. Karpova и соавт. [14] описывают клинический случай — самоампутацию червеобразного отростка новорождённого при НЭК. Известны случаи, когда некоторые авторы острый аппендицит у недоношенного новорождённого обнаружили в грыжевом мешке во время операции по поводу ущемлённой паховой грыжи [5, 8, 24, 25].
Наше исследование подтвердило, что диагноз: «Острый аппендицит» у новорождённого установить практически невозможно, так как он сопровождается симптомами, характерными для других воспалительных заболеваний, которые наблюдаются в этой возрастной группе [12, 17, 26].
ЗАКЛЮЧЕНИЕ
Острый аппендицит — крайне редкая причина перитонита у недоношенного новорождённого. Этапный подход — лапароцентез и дренирование брюшной полости, а также отсроченная лапаротомия — является методом выбора лечения.
ДОПОЛНИТЕЛЬНАЯ ИНФОРМАЦИЯ
Источник финансирования. Авторы заявляют об отсутствии внешнего финансирования при проведении исследования и подготовке публикации
Конфликт интересов. Авторы декларируют отсутствие явных и потенциальных конфликтов интересов, связанных с публикацией настоящей статьи.
Вклад авторов. Все авторы подтверждают соответствие своего авторства международным критериям ICMJE (все авторы внесли существенный вклад в разработку концепции, проведение исследования и подготовку статьи, прочли и одобрили финальную версию перед публикацией). Наибольший вклад распределён следующим образом: А.А. Гумеров — редактирование. А.Е. Неудачин, Р.А. Гумеров, И.И. Хидиятов — написание текста и редактирование; И.О. Валитов, А.Д. Мустафин, Г.И. Минибаева — сбор и обработка материала.
Информированное согласие на публикацию. Авторы получили письменное согласие законных представителей пациента на анализ и публикацию медицинских данных. Дата подписания: 10.09.2024.
ADDITIONAL INFORMATION
Funding source. The authors declare that they have not received any external funding for the study and publication preparation.
Competing interests. The authors declare that they have no obvious or potential conflicts of interest related to the publication of this article.
Authors’ contribution. All authors confirm that their authorship complies with the international ICMJE criteria (all authors made a significant contribution to the development of the concept, conducting the study and preparing the article, read and approved the final version before publication). The largest contribution is distributed as follows: A.A. Gumerov — editing. A.E. Neudachin, R.A. Gumerov, I.I. Khidiyatov — writing and editing; I.O. Valitov, A.D. Mustafin, G.I. Minibaeva — collection and processing of material.
Consent for publication. The authors received written consent from the patient’s legal representatives for the analysis and publication of medical data. Date of signing 10.09.2024.
About the authors
Aitbay A. Gumerov
Bashkir State Medical University
Author for correspondence.
Email: prof.gumerov@mail.com
ORCID iD: 0000-0001-6183-8286
SPIN-code: 7615-7568
MD, Dr. Sci. (Medicine), Professor
Russian Federation, UfaArtem E. Neudachin
Republican Children's Clinical Hospital, Ufa
Email: nartem1972@yandex.ru
SPIN-code: 9517-5314
MD
Russian Federation, UfaRamil A. Gumerov
Republican Children's Clinical Hospital, Ufa
Email: r.a.gumerov@gmail.com
ORCID iD: 0000-0001-9991-6630
SPIN-code: 4921-3280
MD, Dr. Sci. (Medicine), Assistant Professor
Russian Federation, UfaAidar D. Mustafin
Republican Children's Clinical Hospital, Ufa
Email: ya.aidar120896@gmail.com
ORCID iD: 0009-0008-1534-9375
Russian Federation, Ufa
Ildar O. Valitov
Bashkir State Medical University
Email: valitovio@yandex.ru
ORCID iD: 0009-0004-3999-8717
SPIN-code: 8512-2674
Cand. Sci. (Medicine), Assistant Professor
Russian Federation, UfaIldar I. Khidiyatov
Bashkir State Medical University
Email: hidiatoff.ildar@yandex.ru
ORCID iD: 0000-0003-1749-795X
SPIN-code: 1174-8850
MD, Dr. Sci. (Medicine), Professor
Russian Federation, UfaGulfiya I. Minibaeva
Republican Children's Clinical Hospital, Ufa
Email: g.minibaeva@mail.ru
ORCID iD: 0000-0003-3154-6885
SPIN-code: 5600-3940
Russian Federation, Ufa
References
- Olkhova EB, Kartseva EV, Kuznetsova EV, et al. Neonatal acute appendicitis (Case Report). Radiology — practice. 2015;(3):54–59. EDN: TZIVFV
- Ayoub BH, Al Omran Y, Hassan A, Al Hindi S. The importance of timely detection and management in neonatal appendicitis. BMJ Case Rep. 2014;2014:bcr2014203663. doi: 10.1136/bcr-2014-203663
- Semerci SY, Kurnaz D, Babayigit A, et al. Neonatal Appendicitis as a Rare Cause of Intestinal Perforation in a Preterm Neonate. J Coll Physicians Surg Pak. 2017;27(3):S38–S40
- Bocharov RV, Pogorelko VG, Yushmanova AB, et al. Clinical cases of acute appendicitis in newborns. Russian Bulletin of Pediatric Surgery, Anesthesiology and Resuscitation. 2020;10(2): 203–208. doi: 10.17816/psaic600 EDN: WLCPTI
- Grigovich IN, Fomichev DV. Gangrenous appendicitis in a strangulated inguinoscrotal hernia in a newborn. Pediatric surgery. 2000;(5):50–51.
- Badhani A, Singh SK. Appendicular perforation in a neonate: a case report. Int Surg J. 2019;6(5):1800–1802. doi: 10.18203/2349-2902.isj20191913
- Haider F, Barak A, Al Kooheji M, et al. Perforated acute appendicitis with no peritonitis in a premature baby: a case report. J Med Case Rep. 2017;11:125. doi: 10.1186/s13256-017-1289-0
- Carrillo Arroyo I, Rodríguez de Alarcón García J, Palomar Ramos J, et al. Neonatal appendicitis: how many sides does this coin have? Cir Pediatr. 2021;34(3):143–146.
- Zhao Y, Tang C, Huang J, et al. Clinical characteristics and prognosis of 69 cases of neonatal appendicitis. Pediatr Investig. 2023;7(2):95–101. doi: 10.1002/ped4.12384
- Arias-Llorente RP, Flóres-Díes P, Oviedo-Gutiérrez M, et al. Acute neonatal appendicitis: A diagnosis to consider in abdominal sepsis. J Neonatal Perinatal Medicine. 2014;7(3):241–246. doi: 10.3233/NPM-14814003
- Gui M, Liu W, Liu Q, et al. Analysis of Cases of Neonatal Appendicitis from a Tertiary Care Unit. Indian J Pediatr. 2022;89(10):996–1002. doi: 10.1007/s12098-022-04090-7
- Katko WA, Uvarova EW. Necrotizing enterocolitis in newborns. Medical Journal. 2019;2(68):11–18. EDN: ZQYPSX
- Zhao Y, Tang C, Huang J, et al. Clinical characteristics and prognosis of69 cases of neonatal appendicitis. Pediatr Investig. 2023;7(2):95–101. doi: 10.1002/ped4.12384
- Karpova IY, Nikolaychuk VA, Pyatova ED. Self-amputation of vermiform appendix in a newborn baby with ulcerative-necrotic enterocolitis. Russian Journal of Pediatric Surgery. 2016;20(2):111–112. doi: 10.18821/1560-9510-2016-20-2-111-112
- Naik P, Anne RP, Mathai SS, Pai N. Neonatal perforated appendicitis: a presentation of necrotising enterocolitis? BMJ Case Rep. 2023;16(11):e257097. doi: 10.1136/bcr-2023-257097
- Bence CM, Densmore JC. Neonatal and Infant Appendicitis. Clin Perinatol. 2020;47(1):183–196. doi: 10.1016/j.clp.2019.10.004
- Kozlov YA, Novozhilov VA, Razumovsky AY. Surgical Diseases of Premature Infants: A National Guide. Moscow: GEOTAR-Media; 2019. 592 p.
- Schwartz KL, Gilad E, Sigalet D, et al. Neonatal acute appendicitis: a proposed algorithm for timely diagnosis. J Pediatr Surg. 2011;46(11):2060–2064. doi: 10.1016/j.jpedsurg.2011.07.018
- Chikinev YuV. Clinical variants of abdominal surgical pathology in premature infants. Pediatric surgery. 2020;(5):50.
- Aslam Y, Hasan H, Mirza A, et al. Neonatal Appendicitis With Necrotizing Enterocolitis. J Ayub Med Coll Abbottabad. 2022;34(3):582–584. doi: 10.55519/JAMC-03-9835
- Raveenthiran V. Neonatal appendicitis (Part 1): Review of 52 cases with abdominal manifestation. J Neonatal Surg. 2015;4(1):4.16.1.17.4.
- Erginel B, Soysal FG, Celik A, Salman T. Neonatal perforated appendicitis in incarcerated inguinal hernia in the differential diagnosis of testis torsion. Pediatr Int. 2017;59(7):831–832. doi: 10.1111/ped.13297
- Gilad E, Sigalet D, Yu W, Wong AL. Neonatal acute appendicitis: a proposed algorithm for timely diagnosis. J Pediatr Surg. 2011;46(11):2060–2064. doi: 10.1016/j.jpedsurg.2011.07.018
- Kostenko AA, Ivanov AN, Karev MM, et al. Acute appendicitis in a strangulated inguinal-scrotal hernia in children. Pediatric surgery. 2003;4:45–46.
- Platonov AA, Zolnikov ZI. Gangrenous appendicitis in the hernial sac of a newborn. Pediatric surgery. 2005;2:51. EDN: HSVIRD
- Muratov ID. Spontaneous isolated intestinal perforations in low birth weight neonates. Pediatric surgery. 2000;2:44–45.
Supplementary files







