Differential diagnostics of pilonidal cysts
- Authors: Zvonkov D.A.1, Stepanova N.M.1,2, Novozhilov V.A.1,2,3, Sharapov I.S.1, Stupina M.I.2, Naryshkina J.A.2, Ludwig M.N.2
-
Affiliations:
- Irkutsk Municipal Pediatric Clinical Hospital
- Irkutsk State Medical University
- Russian Medical Academy of Continuous Professional Education
- Issue: Vol 28, No 6 (2024)
- Pages: 594-601
- Section: Reviews
- Submitted: 07.10.2024
- Accepted: 12.11.2024
- Published: 19.12.2024
- URL: https://jps-nmp.ru/jour/article/view/837
- DOI: https://doi.org/10.17816/ps837
- ID: 837
Cite item
Abstract
Pilonidal cyst (pilonidal disease, epithelial-coccygeal course, epithelial-coccygeal cyst) is a disease common among adolescents, usually asymptomatic and detected during a preventive examination. As a rule, diagnosis does not cause difficulties and is based on examination and ultrasound imaging of the cyst.
During examination, fistulous passages are visualized — primary fistulous openings along the median line in the intervertebral fold. Complaints, as a rule, appear after the addition of inflammatory changes, the severity of which can vary from acute abscess formation to a sluggish process. However, under the guise of this pathology, diseases may occur that require a completely different diagnostic and therapeutic approach.
The differential diagnostic range includes diseases that can manifest themselves as fistula openings, bulky formations, pain and inflammation in the sacrococcygeal region. These include acute and chronic paraproctitis, rectal fistulas, osteomyelitis of the sacrum and coccyx, presacral (caudal) volumetric formations (teratomas, epidermal cysts, dermoid), diseases from the group of latent spinal dysraphism. Errors in diagnosis and, as a result, incorrect patient management tactics lead to serious consequences, therefore, if there are doubts about the diagnosis, the examination should be supplemented by magnetic resonance imaging of the lumbosacral spine.
Full Text
ОБОСНОВАНИЕ
Пилонидальная киста (ПК) — распространённое заболевание крестцово-копчиковой области, которое чаще встречается у подростков. Пик заболеваемости приходится на возраст 15–40 лет [1, 2]. Споры о природе заболевания породили разногласия относительно дифференциальной диагностики.
ПК чаще протекает бессимптомно и выявляется лишь при проведении планового профилактического осмотра [3–6]: визуализируются свищевые ходы — первичные свищевые отверстия по срединной линии в межъягодичной складке. Свищевые ходы практически всегда содержат инородные тела — свободно лежащие нефиксированные волосы (рис. 1).
Рис. 1. Первичный свищ с инородными телами (пучок волос).
Fig. 1. Primary fistula with foreign bodies (hair bundle).
Жалобы, как правило, появляются после присоединения воспалительных изменений, степень выраженности которых может варьировать от острого абсцедирования до вялотекущего процесса [5–9]. Острое воспаление имеет типичную клиническую картину в виде боли, отёка, гиперемии, повышения температуры тела, гнойного отделяемого при самопроизвольном прорыве абсцесса и воспалительных изменений в общем анализе крови [10]. Первичные свищевые отверстия на этой стадии выявляются не всегда (рис. 2).
Рис. 2. Первично выявленная пилонидальная киста в стадии абсцедирования, первичные свищевые ходы достоверно не определяются.
Fig. 2. A primary identified pilonidal cyst in the stage of abscess formation, primary fistula passages are not reliably determined.
После хирургического или самопроизвольного вскрытия абсцесса возможно формирование вторичных свищевых отверстий с разрастанием грануляций, нередко распространяющихся далеко за пределы межъягодичной складки (рис. 3) [10]. В данный период пациенты предъявляют жалобы на постоянное отделяемое различного характера (от серозного/геморрагического до гнойного), раздражающее окружающие ткани, дискомфорт, зуд, болезненные ощущения при физической нагрузке или положении сидя [11–13].
Рис. 3. Пилонидальные кисты с первичными (1) и вторичными свищами с постоянным серозным отделяемым (2), разрастанием грануляций (3).
Fig. 3. Pilonidal cysts with primary (1) and secondary fistulas with permanent serous discharge (2), proliferation of granulations (3).
Дифференциальная диагностика ПК проводится с заболеваниями, которые могут проявляться свищевыми отверстиями, наличием объёмных образований, болью и воспалением в крестцово-копчиковой области. К таким заболеваниям относятся острый и хронический парапроктит, свищи прямой кишки, остеомиелит крестца и копчика, пресакральные (каудальные) объёмные образования (тератомы, эпидермальные кисты, дермоид), заболевания из группы скрытого спинального дизрафизма.
Дифференциальная диагностика острого и хронического парапроктита, как и кишечных свищей другой этиологии, с ПК основана на выявлении сообщения с прямой кишкой [14]. В тяжёлых случаях при воспалительных заболеваниях кишечника (болезнь Крона, неспецифический язвенный колит) свищевые ходы могут иметь сложную анатомию и открываться на значительном удалении от анального отверстия, в том числе и в области крестца (рис. 4).
Рис. 4. Параректальный свищ у ребёнка с болезнью Крона.
Fig. 4. Pararectal fistula in a child with Crohn's disease.
При тщательном осмотре и пальцевом ректальном исследовании выявляется внутреннее отверстие свища, как правило, в области морганиевой крипты. Осложнённое течение послеоперационного периода после реконструктивных операций на промежности, в том числе при врождённых заболеваниях прямой кишки (аноректальные мальформации, болезнь Гиршпрунга), сопровождается воспалением параректальной клетчатки и может стать причиной образования сложных свищей толстой кишки (рис. 5).
Рис. 5. Хронические параректальные свищи, хроническая флегмона клетчаточных пространств промежности у ребёнка, перенёсшего многократные оперативные вмешательства по поводу болезни Гиршпрунга осложнённого течения.
Fig. 5. A chronic pararectal fistulas, chronic phlegmon of the cellular spaces of the perineum in a child who has undergone multiple surgical interventions for complicated Hirschsprung's disease.
Такие методы диагностики, как зондирование, прокрашивание свищей анилиновыми красителями, фистулография, ультразвуковое исследование (УЗИ) мягких тканей, магнитно-резонансная томография (МРТ) позволяют достоверно выявить сообщение наружного свища с кишкой и разобраться в причине заболевания.
Пресакральные (каудальные, параректальные) кисты представляют собой врождённые пороки развития аноректальной области, формирующиеся вследствие неправильного развития зародышевых зачатков на различных стадиях эмбриогенеза [15–19]. Внетазовая локализация пресакральных кист может вызвать трудности в дифференциальной диагностике с ПК. Несмотря на врождённый характер, кисты могут длительно существовать без клинических проявлений. При осмотре выявляется безболезненное объёмное образование, нередко довольно подвижное, без свищей в межъягодичной складке. Жалобы начинают появляться по мере роста образования или развития осложнений в виде нагноения, образования свищей или малигнизации. Основной отличительной особенностью каудальных кист является отсутствие первичных свищевых ходов, расположенных в межъягодичной складке (рис. 6). Постановке правильного диагноза помогают дополнительные методы исследования: УЗИ и МРТ крестцово-копчиковой области.
Рис. 6. Каудальная киста без свищевых ходов у ребёнка 5 лет.
Fig. 6. Caudal cyst without fistula passages in a 5-year-old child.
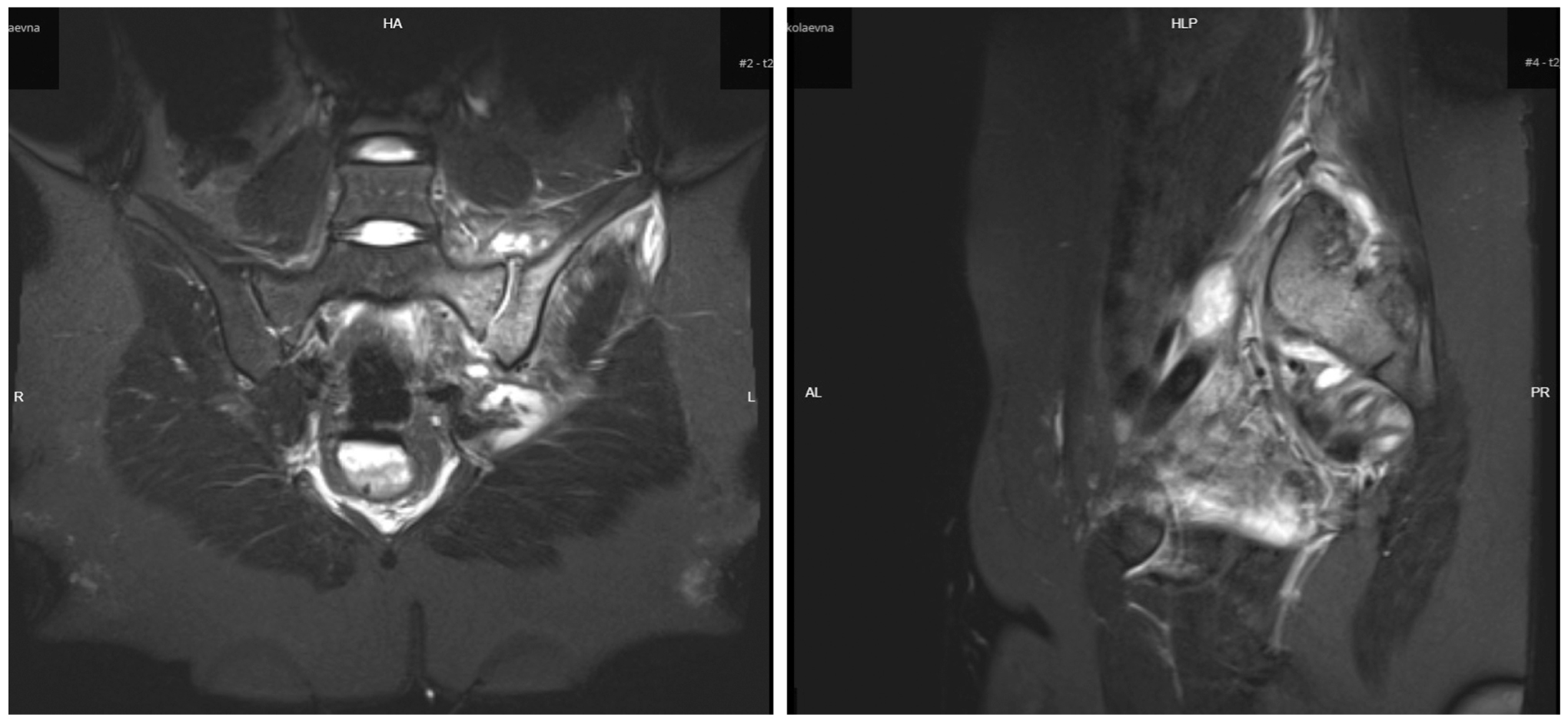
Остеомиелит крестца и копчика может быть как первичным заболеванием, проявляющимся свищами с гнойным отделяемым в крестцово-копчиковой области, так и осложнением любого гнойно-воспалительного процесса. Характерными клиническими проявлениями являются симптомы интоксикации и местная воспалительная реакция. Для заболевания характерно рецидивирующее формирование гнойных свищей. Пальпация крестца и копчика при проведении пальцевого ректального исследования позволяет выявить патологическую подвижность костей, участки размягчения. При зондировании, фистулографии, УЗИ мягких тканей выявляется связь с костными структурами. Наиболее информативным методом является МРТ, при котором помимо достоверной визуализации свищевых ходов можно чётко дифференцировать очаг воспаления в костной ткани (рис. 7).
Рис. 7. Магнитно-резонансная томограмма: остеомиелит крестцовой и подвздошной костей.
Fig. 7. Magnetic resonance imaging: osteomyelitis of the sacral and iliac bones.
Определённую диагностическую сложность в детской популяции представляет группа аномалий, в основе которых лежит неполное закрытие нервной трубки — скрытый спинальный дизрафизм [20]. Общеизвестно, что кожные проявления (спинальные метки или крестцово-копчиковые кожные стигмы) присутствуют в 51–100% случаев [20–27]. Наиболее частые проявления дизрафизма: крестцово-копчиковые ямки, удвоение и асимметрия межъягодичной складки [21, 24, 26, 28, 29]. Проявления в виде подкожных липом, акрохордонов, кожных дисплазий, рубцов («cigarette burn» mark), гемангиом, сосудистого невуса, депигментации, хвостового отростка, необычного рисунка волосяного покрова или локального гипертрихоза в разной степени коррелируют с аномалиями спинного мозга [21, 24, 26, 28, 29].
Крестцово-копчиковые ямки (эпидермальный конус) нередко воспринимаются детскими хирургами как патологическое состояние и выставляется диагноз «эпителиально-копчиковый ход». В отличие от первичных свищей ПК наиболее часто выявляются в периоде новорожденности. В норме у 2–4% детей присутствуют углубления до 5 мм по средней линии в пределах 2,5 см от заднего прохода без иных кожных проявлений [23, 30–33] (рис. 8).
Рис. 8. Крестцово-копчиковая ямка у ребёнка 1 года.
Fig. 8. Sacrococcygeal fossa in a 1-year-old child.
Присутствует суждение, что диагностическое значение имеет расположение ямок: 1 тип — ямочка, которая видна только при раздвигании ягодиц; 2 тип — ямочка в верхней части межъягодичной складки и деформация складки; 3 тип — ямочка выше складки [34]. Ямочки 1 типа без сочетания с другими стигмами и без неврологической симптоматики рассматриваются как вариант нормы и не требуют дополнительного обследования. Ямочки 2 и 3 типа наиболее часто ассоциированы с патологией позвоночника и требуют проведения дополнительного обследования [34] (рис. 9).
Рис. 9. Крестцово-копчиковая ямка 2 типа у ребёнка с дермальным синусом.
Fig. 9. Sacrococcygeal fossa type 2 in a child with a dermal sinus.
В возрасте до 3 мес. для выявления аномалий спинного мозга может применяться УЗИ, в более старшем возрасте — МРТ пояснично-крестцового отдела позвоночника [24, 35–38].
ЗАКЛЮЧЕНИЕ
В большинстве случаев постановка диагноза ПК не вызывает затруднений и базируется на осмотре и УЗИ. Следует помнить, что под маской данной патологии могут протекать заболевания, требующие совершено иного диагностического и лечебного подхода, которые приводят к тяжёлым последствиям при ошибочной тактике ведения пациентов. Знание дифференциально-диагностического ряда позволит улучшить диагностику при первичном обращении пациентов. При наличии сомнений обследование должно быть дополнено МРТ пояснично-крестцового отдела позвоночника.
ДОПОЛНИТЕЛЬНАЯ ИНФОРМАЦИЯ
Источник финансирования. Статья публикуется без спонсорской поддержки.
Конфликт интересов. Авторы заявляют об отсутствии явных и потенциальных конфликтов интересов.
Вклад авторов. Все авторы подтверждают соответствие своего авторства международным критериям ICMJE. Наибольший вклад распределён следующим образом: Д.А Звонков — концепция и дизайн статьи, аналитическая работа, написание текста, работа с литературой; Н.М. Степанова — концепция и дизайн статьи, аналитическая работа, написание текста, редактирование; В.А. Новожилов, И.С. Шарапов — концепция и дизайн статьи, общая редакция и согласование; М.И. Ступина, Ю.А. Нарышкина, М.Н. Людвиг — аналитическая работа, написание текста, работа с литературой.
Согласие на публикацию. Авторы получили письменное согласие законных представителей пациентов на публикацию медицинских данных в обезличенной форме в журнале «Детская хирургия». Дата подписания 24.08.2024.
ADDITIONAL INFORMATION
Funding source. The publication had no sponsorship.
Competing interests. The authors claim that there is no conflict of interest in the article.
Authors’ contribution. All authors confirm compliance of their authorship with the international ICMJE criteria. The largest contribution is distributed as follows: D.A. Zvonov — concept and design of the article, analytical work, writing the text, working with literature; N.M. Stepanova — concept and design of the article, analytical work, writing the text, editing; V.A. Novozhilov, I.S. Sharapov — concept and design of the article, general editorial and coordination; M.I. Stupina, Ju.A. Naryshkina, M.N. Ludwig — analytical work, writing text, working with literature.
Consent for publication. Written consent was obtained from the representatives of the patients for publication of relevant medical information and all of accompanying images within the manuscript in the Russian Journal of Pediatric Surgery. Date of signing 24.08.2024.
About the authors
Denis A. Zvonkov
Irkutsk Municipal Pediatric Clinical Hospital
Author for correspondence.
Email: denis.zvonkov@mail.ru
SPIN-code: 6620-6758
MD
Россия, IrkutskNatalya M. Stepanova
Irkutsk Municipal Pediatric Clinical Hospital; Irkutsk State Medical University
Email: dm.stepanova@mail.ru
ORCID iD: 0000-0001-5821-7059
SPIN-code: 7825-8561
MD, Cand. Sci. (Medicine), Assoc. Professor
Россия, Irkutsk; IrkutskVladimir A. Novozhilov
Irkutsk Municipal Pediatric Clinical Hospital; Irkutsk State Medical University; Russian Medical Academy of Continuous Professional Education
Email: novozilov@mail.ru
ORCID iD: 0000-0002-9309-6691
SPIN-code: 5633-5491
MD, Dr. Sci. (Medicine), Professor
Россия, Irkutsk; Irkutsk; IrkutskIvan S. Sharapov
Irkutsk Municipal Pediatric Clinical Hospital
Email: Sharap_baykal89@mail.ru
ORCID iD: 0009-0003-7516-7753
SPIN-code: 8002-4206
MD
Россия, IrkutskMarina I. Stupina
Irkutsk State Medical University
Email: marina.stupina.98@bk.ru
ORCID iD: 0009-0007-3108-8112
SPIN-code: 3644-6933
Россия, Irkutsk
Julia A. Naryshkina
Irkutsk State Medical University
Email: yulia.na01@mail.ru
ORCID iD: 0009-0003-6813-6051
Россия, Irkutsk
Margarita N. Ludwig
Irkutsk State Medical University
Email: margarita200103@yandex.ru
ORCID iD: 0000-0003-4401-6920
SPIN-code: 3066-3232
Россия, Irkutsk
References
- Harris C, Sibbald RG, Mufti A, Somayaji R. Pilonidal sinus disease: 10 Steps to optimize care. Adv Skin Wound Care. 2016;29(10):469–478. doi: 10.1097/01.ASW.0000491324.29246.96
- Isik A, Idiz O, Firat D. Novel approaches in pilonidal sinus treatment. Prague Med Rep. 2016;117(4):145–152. doi: 10.14712/23362936.2016.15
- Vorobej AV, Denisenko VL, Rimzha MI. Optimization of treatment of epithelial coccygeal course complicated by abscess. Coloproctology. 2005;(3):3–7. (In Russ.) EDN: ROPZUX
- Gulov MK, Zubaydov TN, Ibrohimov YK. Perfection of diagnostic methods and surgical treatment of complex forms of pilonidal disease. Vestnik Avicenny. 2016;4(69):5–16. EDN: YNKOQH
- Harlak A, Mentes O, Kilic S, et al. Sacrococcygeal pilonidal disease: Analysis of previously proposed risk factors. Clinics (Sao Paulo). 2010;65(2):125–131. doi: 10.1590/S1807-59322010000200002
- Smirnov AN, Golovanev MA, Poverin GV. Surgical treatment of children with pilonidal cysts. Russ Bull Pediatric Surg Anesthesiol Intensive Care. 2022;12(3):327–335. EDN: YYOJPR doi: 10.17816/psaic664
- Cherkasov MF, Galashokyan KM, Starcev YuM, et al. A method of surgical treatment of epithelial coccygeal passage using VAC therapy. Koloproktologia. 2017;(S3):46. (In Russ.) EDN: ZDFRFT
- Revitsky VP, Latynina VI, Yadykina TK, Filimonov SN. Effective method of the surgical treatment of the chronic suppurative-fistulous form of the epithelial coccygeal passage at the abscess stage. Med Kuzbass. 2018;17(2):4–9. EDN: XSLEZN
- Khanna A, Rombeau JL. Pilonidal disease. Clin Colon Rectal Surg. 2011;24(1):46–53. doi: 10.1055/s-0031-1272823
- Cherkasov MF, Galashokyan KM, Starcev YM, et al. Open surgery and vacuum therapy is a new method of treating epithelial coccygeal stroke. Coloproctology. 2016;(1S):49. (In Russ.) EDN: WKLBFF
- Chintapatla S, Safarani N, Kumar S, Haboubi N. Sacrococcygeal pilonidal sinus: Historical review, pathological insight and surgical options. Tech Coloproctol. 2003;7(1):3–8. EDN: ESIILN doi: 10.1007/s101510300001
- Iesalnieks I, Ommer A. The management of pilonidal sinus. Dtsch Arztebl Int. 2019;116(1-2):12–21. doi: 10.3238/arztebl.2019.0012
- Segre D, Pozzo M, Perinotti R, Roche B. Italian society of colorectal surgery. The treatment of pilonidal disease: Guidelines of the Italian Society of Colorectal Surgery (SICCR). Tech Coloproctol. 2015;19(10):607–613. doi: 10.1007/s10151-015-1369-3
- Abcarian H. Anorectal infection: Abscess-fistula. Clin Colon Rectal Surg. 2011;24(1):14–21. doi: 10.1055/s-0031-1272819
- Buchs N, Taylor S, Roche B. The posterior approach for low retrorectal tumors in adults. Int J Colorectal Dis. 2007;22(4):381–385. doi: 10.1007/s00384-006-0183-9
- Roka YB, Koirala R, Bajracharya A, et al. Giant sacrococcygeal teratoma in an adult: Case report. Br J Neurosurg. 2009;23(6):628–629. doi: 10.3109/02688690903114489
- Urioste M, Garcia-Andrade MC, Valle L, et al. Malignant degeneration of presacral teratoma in the Currarino anomaly. Am J Med Genet A. 2004;128A(3):299–304. doi: 10.1002/ajmg.a.30028
- Yang DM, Yoon MH, Kim HS, et al. Presacral epidermoid cyst: Imaging findings with histopathologic correlation. Abdom Imaging. 2001;26(1):0079–0082. EDN: ASTVFL doi: 10.1007/s002610000118
- Park YJ. Multiple presacral teratomas in an 18-year-old girl. J Korean Soc Coloproctol. 2011;27(2):90–93. doi: 10.3393/jksc.2011.27.2.90
- Drolet BA, Chamlin SL, Garzon MC, et al. Prospective study of spinal anomalies in children with infantile hemangiomas of the lumbosacral skin. J Pediatr. 2010;157(5):789–794. doi: 10.1016/j.jpeds.2010.07.054
- Aby J, Kim JL. A cross-sectional assessment of cutaneous lumbosacral and coccygeal physical examination findings in a healthy newborn population. Glob Pediatr Health. 2018;8(5):2333794X18756133. doi: 10.1177/2333794X18756133
- Choi SJ, Yoon HM, Hwang JS, et al. Incidence of occult spinal dysraphism among infants with cutaneous stigmata and pro portion managed with neurosurgery: A systematic review and meta-analysis. JAMA Netw Open. 2020;3(7):e207221. doi: 10.1001/jamanetworkopen.2020.7221
- Schropp C, Sörensen N, Collmann H, Krauss J. Cutaneous lesions in occult spinal dysraphism: Correlation with intraspinal findings. Childs Nerv Syst. 2006;22(2):125–131. EDN: UEZBKU doi: 10.1007/s00381-005-1150-4
- Tuite GF, Thompson DN, Austin PF, Bauer SB. Evaluation and management of tethered cord syndrome in occult spinal dysraphism: Recommendations from the international children’s continence society. Neurourol Urodyn. 2018;37(3):890–903. doi: 10.1002/nau.23382
- Park K. Urological evaluation of tethered cord syndrome. J Korean Neurosurg Soc. 2020;63(3):358–365. doi: 10.3340/jkns.2020.0072
- Ausili E, Maresca G, Massimi L, et al. Occult spinal dysraphisms in newborns with skin markers: Role of ultrasonography and mag netic resonance imaging. Childs Nerv Syst. 2018;34(2):285–229. doi: 10.1007/s00381-017-3638-0
- Sung HJ, Lee HS. Dorsal midline cutaneous stigmata associated with occult spinal dysraphism in pediatric patients. Korean J Pediatr. 2019;62(2):68–74. doi: 10.3345/kjp.2018.06744
- Dias M, Partington M. Congenital brain and spinal cord malformations and their associated cutaneous markers. Pediatrics. 2015;136(4):e1105–e1119. doi: 10.1542/peds.2015–2854
- Shields LB, Mutchnick IS, Daniels MW, et al. Risk of occult spinal dysraphism based on lumbosacral cutaneous manifestations. SAGE Open Med. 2021;(9):20503121211037172. doi: 10.1177/20503121211037172
- Weprin BE, Oakes WJ. Coccygeal pits. Pediatrics. 2000;105(5):E69. doi: 10.1542/peds.105.5.e69
- Guggisberg D, Hadj-Rabia S, Viney C, et al. Skin markers of occult spinal dysraphism in children: A review of 54 cases. Arch Dermatol. 2004;140(9):1109–1115. doi: 10.1001/archderm.140.9.1109
- Ben-Sira L, Ponger P, Miller E, et al. Low-risk lumbar skin stigmata in infants: The role of ultrasound screening. J Pediatr. 2009;155(6):864–869. doi: 10.1016/j.jpeds.2009.06.003
- Ponger P, Ben-Sira L, Beni-Adani L, et al. International survey on the management of skin stigmata and suspected tethered cord. Childs Nerv Syst. 2010;26(12):1719–1725. EDN: OWKEAA doi: 10.1007/s00381-010-1184-0
- Gomi A, Oguma H, Furukawa R. Sacrococcygeal dimple: New classification and relationship with spinal lesions. Childs Nerv Syst. 2013;29(9):1641–1645. EDN: YCDAET doi: 10.1007/s00381-013-2135-3
- Henriques JG, Pianetti G, Henriques KS, et al. Minor skin lesions as markers of occult spinal dysraphisms: Prospective study. Surg Neurol. 2005;63(Suppl 1):S8–12. doi: 10.1016/j.surneu.2004.09.017
- Sardana K, Gupta R, Garg VK, et al. A prospective study of cutaneous manifestations of spinal dysraphism from India. Pediatr Dermatol. 2009;26(6):688–695. doi: 10.1111/j.1525-1470.2009.01014.x
- Bhimani AD, Selner AN, Patel JB, et al. Pediatric tethered cord release: An epidemiological and postoperative complication analysis. J Spine Surg. 2019;5(3):337–350. doi: 10.21037/jss.2019.09.02
- O’Neill BR, Gallegos D, Herron A, et al. Use of magnetic resonance imaging to detect occult spinal dysraphism in infants. J Neurosurg Pediatr. 2017;19(2):217–226. doi: 10.3171/2016.8.PEDS16128
Supplementary files













