Robot-assisted appendectomy in a child — a case report
- Authors: Kozlov Y.A.1,2,3, Rozhanski A.P.1, Makarochkina M.V.1, Sapukhin E.V.1, Strashinsky A.S.1, Ryakhina A.O.1, Barakin A.O.4,2, Marchuk A.A.1, Grigorev E.G.3
-
Affiliations:
- Irkutsk State Regional Children’s Clinical Hospital
- Irkutsk State Medical Academy of Postgraduate Education
- Irkutsk State Medical University
- Irkutsk State Regional Children’s Clinical Hospital, Irkutsk
- Issue: Vol 29, No 1 (2025)
- Pages: 33-40
- Section: Case reports
- Submitted: 15.12.2024
- Accepted: 11.02.2025
- Published: 17.03.2025
- URL: https://jps-nmp.ru/jour/article/view/844
- DOI: https://doi.org/10.17816/ps844
- ID: 844
Cite item
Abstract
BACKGROUND: Acute appendicitis is the most common surgical pathology requiring emergency intervention in children worldwide. The gold standard in the treatment of the disease is laparoscopic appendectomy. At the same time, advances in technology increasingly incline specialists to the introduction of robotic systems in surgical practice. This fact once again confirms the importance of research aimed at determining the feasibility of using robot-assisted appendectomy in emergency surgery in children.
CLINICAL CASE DESCRIPTION: The authors made a retrospective review of the medical history of a child with acute appendicitis. A 11-year-old boy was admitted to the Irkutsk State Regional Children's Clinical Hospital with abdominal pain in the right iliac region. At the time of admission, disease duration was 20 hours. For surgery, the Versius robot manufactured by CMR company (UK) was used. Robot-assisted appendectomy followed the same principles as those used in open or laparoscopic approaches: (1) appendix exposure, (2) mesoappendix bipolar coagulation, (3) appendix removal using an endoscopic mechanical stapler.
The total surgical time was 30 minutes, out of which the robot installation time was 10 minutes and the main console time was 20 minutes. The entire procedure was performed completely intracorporally and without conversion to laparoscopic or open surgery. There were no any intraoperative problems and complications. The surgery was successful. Patient’s enteral feeding started on the same day after the surgery. He was discharged from the hospital on Day 3 day after the surgery. Ultrasound of the abdominal cavity, performed 1 month later, did not reveal any signs of abnormalities observed at this age. The patient did not complain of any digestive problems during the entire observation period for 3 months after the surgery.
CONCLUSION: Robotic appendectomy has its advantages and disadvantages in the treatment of acute appendicitis. Robotics provides faster postoperative recovery of patients, but requires longer time for surgery; besides, it is an expensive surgical intervention. However, over time the robot-assisted appendectomy may become a cost-effective one that will be successfully used by all surgeons, as it happened with laparoscopic appendectomy several decades ago.
Keywords
Full Text
ОБОСНОВАНИЕ
Острый аппендицит (ОА) диагностируется у 1–8% детей с острой болью в животе [1]: это наиболее распространённая детская хирургическая неотложная ситуация в мире [2]. Раннее выявление ОА имеет решающее значение, поскольку задержка диагностики увеличивает риск перфоративного аппендицита и связанных с ним осложнений (абсцесса, перитонита, сепсиса).
Следует отметить, что ОА — одно из наиболее частых показаний для выполнения хирургических процедур у детей, для которого стандартным лечением является аппендэктомия, несмотря на существующие данные о возможности неоперативного лечения [3, 4]. В течение многих лет традиционным хирургическим методом лечения ОА была открытая аппендэктомия, однако в последние годы лапароскопическая аппендэктомия (ЛА) стала золотым стандартом лечения ОА из-за менее продолжительного пребывания пациентов в больнице, улучшенного косметического эффекта и более низкого уровня общих осложнений [1].
Благодаря достижениям в области технологий робот-ассистированная аппендэктомия (РАА) стала новым вариантом минимально инвазивной хирургии для лечения ОА. Показания для использования робототехники в лечении ОА точно не определены и базируются на ограниченных данных, представленных в небольшом количестве научных работ. Они включают ОА и хронический аппендицит [5], резекцию червеобразного отростка при неопластическом процессе (мукоцеле) [6], а также выполнение симультанной аппендэктомии при реализации других робот-ассистированных гинекологических и урологических процедур, когда отросток вовлечён в опухолевый или воспалительный процесс [7].
Частота использования роботического подхода для лечения ОА у детей достоверно неизвестна, поскольку данные литературы ограничены отчётами о результатах реализации роботических программ, в которых упоминается в том числе РАА [8, 9].
По данным, представленным в исследовании T. Becker и соавт., использование РАА во взрослой популяции составляет менее 0,1% всех минимально инвазивных аппендэктомий, выполняемых у пациентов старше 18 лет [10]. За последнее десятилетие значительно увеличилось рутинное использование робот-ассистированной хирургии (РАХ) в нескольких хирургических специальностях, особенно в абдоминальной хирургии. Известно, что по сравнению с традиционными лапароскопическими методами РАХ повышает точность манипуляций, обладает улучшенной визуализацией, обеспечивает хирургу пространственную гибкость и стабильность роботических инструментов. Несмотря на то что РАХ обычно используется в плановых случаях, она остаётся в целом малоизученной и имеет потенциал использования в экстренных ситуациях. Применение РАХ в общей и экстренной хирургии остаётся спорным, в основном из-за более высокой стоимости процедуры. Однако роботические процедуры становятся всё более распространёнными, в том числе в неотложной хирургии. Например, когортное исследование с использованием базы данных Michigan Surgical Quality Collaborative Database показало, что в период с 2012 по 2018 г. количество роботических хирургических процедур в общей хирургии у взрослых увеличилось с 1,8 до 15,1% [11].
Таким образом, есть все основания полагать, что использование роботов в конечном итоге может полностью заменить лапароскопические процедуры в экстренной и общей хирургии, считающиеся в настоящее время слишком простыми и дорогими, чтобы выполнять их на роботический манер.
Цель исследования — изучение возможности проведения роботической аппендэктомии у детей в экстренных случаях и оценка её осуществимости в этом возрасте.
КЛИНИЧЕСКОЕ НАБЛЮДЕНИЕ
Мы провели ретроспективный обзор истории болезни ребёнка с острым аппендицитом. Исследование выполнено после получения разрешения локального этического комитета больницы и информированного согласия родителей на обработку данных ребёнка.
Мальчик в возрасте 11 лет поступил в Иркутскую государственную областную детскую клиническую больницу с болевым абдоминальным синдромом в правой подвздошной области. На момент поступления длительность заболевания составляла 20 ч.
Результаты физикального, лабораторного и инструментального исследования
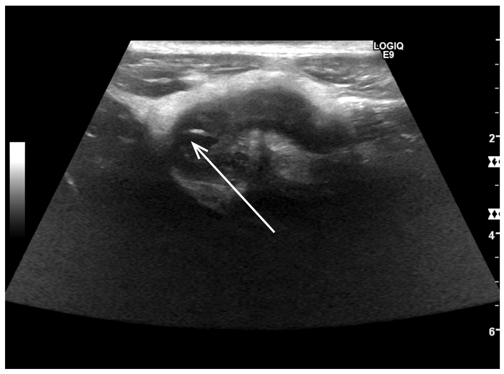
Предоперационная программа обследования включала физикальный осмотр пациента, ультразвуковое исследование (УЗИ) органов брюшной полости, лабораторное исследование крови. Установлен диагноз «острый аппендицит» (рис. 1).
Рис. 1. Изображение УЗИ, демонстрирующее червеобразный отросток с признаками воспаления.
Fig. 1. Ultrasound image: appendix with signs of inflammation.
Мы обсудили все варианты аппендэктомии и предложили родителям пациента робот-ассистированный метод этой хирургической процедуры.
Техника робот-ассистированной аппендэктомии
РАА следовала тем же принципам, что соблюдаются при использовании открытого или лапароскопического доступа: (1) экспозиция червеобразного отростка, (2) биполярная коагуляция брыжейки, (3) удаление отростка с использованием эндоскопического механического степлера.
РАА выполняли с помощью хирургического робота Versius производства компании CMR (Великобритания). Роботизированная система Versius представляет собой модульную открытую роботическую платформу с инструментами, способными проходить через 5 мм лапароскопические порты.
Пациента укладывали в положение на спине с опущенным головным концом операционного стола. Выполнялся карбоперитонеум с предустановленными параметрами инсуффляции (поток 5 л/мин, давление 12 мм рт. ст.), используя иглу Veress (Medtronic, USA), введённую через пупочный разрез. После нагнетания углекислого газа в брюшную полость ставились роботические порты. Оптический порт диаметром 12 мм устанавливался через пупок. Два других роботических порта диаметром 5 мм, предназначенных для введения инструментов, располагались справа и слева от оптического троакара в правом верхнем (правый мезогастрий) и левом нижнем (левая подвздошная область) квадрантах брюшной стенки. Дополнительные порты не использовались.
Аппендикс визуализировался через прядь большого сальника. Затем, используя роботические инструменты, он захватывался за верхушку, используя атравматичный окончатый зажим, и приподнимался кверху от купола слепой кишки (рис. 2).
Рис. 2. Внешний вид червеобразного отростка после экспозиции.
Fig. 2. Appearance of the appendix after exposure.
Брыжейка червеобразного отростка коагулировалась с использованием биполярного зажима Maryland (CMR, UK) (рис. 3). На основание аппендикса наложен эндоскопический линейный степлер EndoGia45 (Medtronic, USA), после чего червеобразный отросток отсечён и извлечён наружу через один из роботических портов (рис. 4).
Рис. 3. Робот-ассистированная аппендэктомия: этап коагуляции брыжейки червеобразного отростка.
Fig. 3. Robot-assisted appendectomy: stage of coagulation of the mesentery of the vermiform appendix.
Рис. 4. Робот-ассистированная аппендэктомия: этап удаления червеобразного отростка с использованием степлера.
Fig. 4. Robot-assisted appendectomy: stage of appendix removal using a stapler.
После завершения процедуры места стояния роботических портов закрывались с использованием отдельных абсорбирующихся швов. Пациент после окончания операции находился в палате интенсивной терапии на протяжении периода, когда у него восстанавливалось сознание и он начинал самостоятельно принимать пищу. Контрольное УЗИ органов брюшной полости производилось на следующий день после операции.
Общее время операции составило 30 мин, из них время инсталляции робота — 10 мин, основное консольное время — 20 мин. Процедура выполнена полностью интракорпорально и без конверсии в лапароскопическую или открытую операцию.
Исход последующего наблюдения. Операция прошла удачно, без интраоперационных трудностей и осложнений. Кормление пациента начато в тот же день. Пациент выписан из отделения на 3-й день после операции. УЗИ брюшной полости через 1 мес после операции не показало признаков отклонений от нормы, наблюдаемых в этом возрасте. Пациент не предъявлял жалоб со стороны органов пищеварения на протяжении всего периода наблюдения — 3 мес после выполненной операции.
ОБСУЖДЕНИЕ
ОА — одно из наиболее частых детских хирургических неотложных состояний, с риском возникновения в течение всей жизни 7–8%, а в период детства — 2,5% и распространённостью среди детского населения примерно 1:700 [4]. Следовательно, аппендэктомия входит в число наиболее распространённых хирургических процедур [5]. Высокая частота ОА и связанная с ним заболеваемость, сохраняющаяся летальность и сопутствующие финансовые затраты на хирургическое лечение накладывают значительное бремя на систему детского здравоохранения.
Своевременное оперативное лечение ОА остаётся краеугольным камнем лечения, центральным принципом которого является аппендэктомия, которая служит для предотвращения развития осложнённого аппендицита и перитонита. Благодаря своей хорошей эффективности и безопасности открытая аппендэктомия превратилась в предпочтительный стандарт лечения ОА и оставалась практически неизменной в течение последних 100 лет, пока в 1983 г. K. Semm не выполнил первую ЛА [5]. Начиная с этого момента минимально инвазивный подход постепенно приобрёл популярность в лечении ОА. На сегодняшний день ЛА считается золотым стандартом лечения аппендицита из-за её преимуществ перед открытой операцией, включая меньший риск раневых инфекций, меньшую боль после операции и более короткое пребывание пациентов в больнице [1].
Появление РАХ ознаменовало собой дальнейшее развитие минимально инвазивных технологий [12]. Со временем продемонстрировано, что это развитие приводит, по крайней мере, к результатам, которые не уступают или даже превосходят результаты, полученные при аналогичных лапароскопических процедурах, благодаря улучшенной маневренности инструментов и непревзойдённой визуализации [12–13]. За последние два десятилетия использование и важность РАХ в минимально инвазивной хирургии у детей возросли. В различных хирургических специальностях роботическая технология приобрела популярность благодаря 3D-визуализации, оптимальному эргономичному позиционированию и точной манипуляции инструментами. Этот растущий интерес также наблюдается в общей и экстренной хирургии, где лапароскопические процедуры используются чаще, чем в плановой. Несмотря на популярность РАХ в области неотложной хирургии, существует очень мало исследований о пользе робототехники с точки зрения её влияния на результаты лечения и экономической эффективности. Текущая литература указывает на ценность использования роботических технологий при определённых срочных процедурах, таких как холецистэктомия, фундопликация и герниопластика ущемлённых грыж, по крайней мере у взрослых пациентов, несмотря на то что аналогичные данные отсутствуют в детской популяции [14]. Однако высокая стоимость РАХ сдерживает её применение при других хирургических процедурах, которые часто проводятся в экстренных случаях, включая аппендэктомию [15].
Сообщения о РАА во взрослой и особенно в детской хирургии встречаются очень редко. По данным, представленным в исследовании T. Becker, использование РАА во взрослой популяции составляет менее 0,1% всех минимально инвазивных аппендэктомий [10]. Это значительно меньше, чем частота выполнения роботических процедур в общей хирургии в целом. Некоторые исследования показали, что до 15% всех процедур в общей хирургии проводились с помощью робота [11].
Широкое внедрение робототехники для лечения ОА может быть затруднено по нескольким причинам. Одним из частых критических замечаний по поводу её использования в общей хирургии является то, что роботические методы не дают значительных клинических преимуществ, но значительно дороже стандартных процедур. Действительно, общие операции, выполняемые роботическим способом, как правило, дороже выполняемых лапароскопически. Но необходимо понимать, что хирурги и их пациенты не ощущают на себе добавленной стоимости по сравнению с лапароскопической хирургией.
Другая причина состоит в том, что многие хирурги подвергают сомнению ценность роботической технологии при лечении ОА, для которого лапароскопическая хирургия уже достаточно оптимизирована. Эти суждения похожи на реакцию хирургов, практикующих открытую хирургию, которая возникла на внедрение лапароскопии десятилетия назад. Тем не менее ЛА стала золотым стандартом хирургического лечения ОА, несмотря на более длительное время операции в сравнении с открытой хирургией. Однако скептикам использования лапароскопии в течение очень короткого времени стало понятно, что лапароскопия вызывала у пациента меньшую послеоперационную боль и приводила к более короткому пребыванию в больнице.
Проведено несколько исследований, оценивающих эффекты РАА у детей и подчеркивающих её преимущества и недостатки. Первоначально А. Alqahtani сообщил о 4 роботических аппендэктомиях, выполненных в рамках программы освоения роботической хирургии [8]. Все операции закончились благополучно, без конверсий и осложнений, сопровождаясь временем, сопоставимым с ЛА. Затем в научной работе, выполненной в рамках старта программы РАХ в Канаде на примере первого 41 пациента, был представлен случай интервальной аппендэктомии, который также закончился благополучно, без технических затруднений [9]. Все процедуры завершены без необходимости перехода на открытую или лапароскопическую хирургию. Исследователи обнаружили, что использование роботизированной системы дало им значительные преимущества по сравнению с лапароскопической хирургией — масштабирование изображения и трёхмерную визуализацию, повышенную маневренность инструментов и улучшенную точность движений, а также простоту наложения швов.
Другие исследования, анализирующие РАА, выполнены у взрослых пациентов и продемонстрировали увеличение длительности РАА в сравнении с ЛА. По данным T. Becker, РАА занимает больше времени на операцию по сравнению с ЛА, но послеоперационное пребывание в больнице короче у пациентов, получивших лечение с помощью робота [10]. У пациентов после РАА послеоперационное пребывание в стационаре короче (0,7 дня против 1,3 дня, p <0,01), но среднее время операции больше (71,0 мин против 46,0 мин, p <0,01).
В свою очередь, A. Rifai обнаружил обратное: фактическое время операции для лапароскопических и роботических (консольное время) методов было одинаковым — 1,36 часа против 1,4 часа (р=0,304) [16]. Автор также подтвердил выводы прежних исследований, что время восстановления больных после РАА заметно короче — 28,35 ч против 38,26 ч (р=0,010), хотя эти данные означают, что РАА может оказывать положительное влияние на время восстановления пациентов после выполненной аппендэктомии.
Увеличение времени операции для аппендэктомии с использованием робота задокументировано в литературе, однако следует отметить, что многие из этих исследований включали хирургов, которые только начали осваивать интересующую технологию [10]. Можно предположить, что время операции, вероятно, сократится с накоплением опыта робототехники. Стоит ожидать, что кривая обучения этой процедуры будет значительно короче, чем для других роботических процедур.
Исследование M. Aki подтвердило безопасность и эффективность РАА в качестве комбинированной процедуры при выполнении операций при гинекологических заболеваниях [17]. Все 107 аппендэктомий выполнены с помощью робота в сочетании с другими гинекологическими процедурами. Среднее время, отведённое на этап аппендэктомии, составило 3,4 мин. Авторы пришли к выводу, что РАА не изменяет общее время гинекологических процедур и не требует перехода на обычную лапароскопию. Таким образом, РАА можно интегрировать в более сложные операции без ущерба для безопасности и увеличения длительности операции.
В другой научной работе D. Kelkar продемонстрировал успешное завершение экстренных РАА на примере 4 операций с минимальной потерей крови во время операции и продолжительностью вмешательства от 80 до 135 мин [18]. Кроме того, S. Orcutt отдельно изучил использование роботической хирургии для лечения пациентов с мукоцеле аппендикса [4]. Он предположил, что РАА, как и в случае ОА, обеспечивает безопасность и эффективность, сопоставимые с традиционной лапароскопией, а также дополнительные преимущества, состоящие в улучшенной визуализации и повышенной маневренности инструментов.
Высокая стоимость роботизированной хирургии по сравнению с лапароскопической или открытой хирургией остаётся одним из её основных ограничений при лечении ОА. Систематический обзор статей, в которых сравниваются результаты РАА и ЛА, проведённый S. Reddy [5], рассмотрел траты, связанные с операциями. Выводы показали, что средние прямые и общие расходы на 1 случай аппендэктомии при РАА значительно выше, чем при ЛА. По сравнению с ЛА, финансовые траты на которую оценивались как 3081 и 7709 долларов соответственно, расходы на РАА имели среднюю стоимость 7894 и 13 210 долларов на 1 случай [18]. В целом исследование подтвердило, что как роботические, так и лапароскопические операции хорошо подходят для аппендэктомии, но роботическая хирургия имеет преимущества в виде более короткого пребывания пациентов в больнице и их более быстрого восстановления.
Таким образом, РАА подразумевает несколько уникальных преимуществ при выполнении аппендэктомии, поскольку многочисленные источники указывают на более короткий период госпитализации и ускоренное время восстановления пациентов по сравнению с операциями ЛА. Очевидно, что это может значительно улучшить послеоперационные результаты и уменьшить длительность последующего наблюдения. Растущее предпочтение этого метода аппендэктомии подразумевает именно эти преимущества РАА по сравнению с ЛА. Очевидно, что необходимы дополнительные исследования, чтобы полностью понять достоинства и недостатки роботической хирургии при ОА у детей, особенно в отношении экономической эффективности и изучения ближайших и отдалённых результатов лечения.
ЗАКЛЮЧЕНИЕ
РАА имеет свои преимущества и недостатки при лечении ОА — обеспечивает более быстрое послеоперационное восстановление пациентов, но требует больше времени для выполнения операции и является дорогостоящей методикой. Очевидно, что вместе с усовершенствованием модели здравоохранения и снижения затрат на робототехнику РАА с течением времени может стать экономически эффективной процедурой, которая будет успешно использоваться всеми хирургами, как это произошло с ЛА несколько десятилетий назад.
ДОПОЛНИТЕЛЬНАЯ ИНФОРМАЦИЯ
Источник финансирования. Авторы заявляют об отсутствии внешнего финансирования при проведении исследования и подготовке публикации.
Конфликт интересов. Авторы заявляют об отсутствии конфликтов интересов.
Вклад авторов. Все авторы подтверждают соответствие своего авторства международным критериям ICMJE (все авторы внесли существенный вклад в разработку концепции, проведение исследования и подготовку статьи, прочли и одобрили финальную версию перед публикацией). Наибольший вклад распределён следующим образом: Ю.А. Козлов, М.В. Макарочкина — концепция и дизайн исследования; Э.В. Сапухин, А.С. Страшинский, А.А. Марчук, А.О. Ряхина, А.О. Баракин — сбор и обработка материала; Ю.А. Козлов, А.П. Рожанский, Е.Г. Григорьев — написание текста; Ю.А. Козлов — редактирование.
Информированное согласие на публикацию. Авторы получили письменное согласие пациента на анализ и публикацию медицинских данных (дата подписания: 20.11.2024).
ADDITIONAL INFORMATION
Funding source. The authors declare that they have not received any external funding for the study and publication preparation.
Competing interests. The authors declare that they have no obvious or potential conflicts of interest related to the publication of this article.
Аuthors’ сontribution. All authors made a substantial contribution to the conception of the work, acquisition, analysis, interpretation of data for the work, drafting and revising the work, final approval of the version to be published and agree to be accountable for all aspects of the work. The largest contribution is distributed as follows: Y.A. Kozlov, M.V. Makarochkina — concept and design of the study; E.V. Sapukhin, A.S. Strashinsky, A.A. Marchuk, A.O. Ryakhina, A.O. Barakin — collection and processing of material; Y.A. Kozlov, A.P. Rozhansky, E.G. Grigoriev — writing the text; Y.A. Kozlov — editing.
Patient’s consent. The legal representatives of the study participant gave informed voluntary written consent to participate in the study (date of signing 20.11.2024).
About the authors
Yury A. Kozlov
Irkutsk State Regional Children’s Clinical Hospital; Irkutsk State Medical Academy of Postgraduate Education; Irkutsk State Medical University
Author for correspondence.
Email: yuriherz@hotmail.com
ORCID iD: 0000-0003-2313-897X
SPIN-code: 3682-0832
MD, Cand. Sci. (Medicine), Professor, Corresponding Member of the RAS
Россия, Irkutsk; Irkutsk; IrkutskAlexander P. Rozhanski
Irkutsk State Regional Children’s Clinical Hospital
Email: alexanderozhanski@mail.ru
ORCID iD: 0000-0001-7922-7600
MD
Россия, IrkutskMarina V. Makarochkina
Irkutsk State Regional Children’s Clinical Hospital
Email: m.makarochkina@gmail.com
ORCID iD: 0000-0001-8295-6687
SPIN-code: 4600-4071
MD
Россия, IrkutskEduard V. Sapukhin
Irkutsk State Regional Children’s Clinical Hospital
Email: sapukhin@yandex.ru
ORCID iD: 0000-0001-5470-7384
MD
Россия, IrkutskAlexey S. Strashinsky
Irkutsk State Regional Children’s Clinical Hospital
Email: leksus-642@yandex.ru
ORCID iD: 0000-0002-1911-4468
MD
Россия, IrkutskAnna O. Ryakhina
Irkutsk State Regional Children’s Clinical Hospital
Email: romahka.yansa@yandex.ru
ORCID iD: 0009-0006-0340-1186
Россия, Irkutsk
Alexander O. Barakin
Irkutsk State Regional Children’s Clinical Hospital, Irkutsk; Irkutsk State Medical Academy of Postgraduate Education
Email: pacemaker@mail.ru
ORCID iD: 0000-0003-1767-811X
Россия, Irkutsk; Irkutsk
Andrey A. Marchuk
Irkutsk State Regional Children’s Clinical Hospital
Email: maa-ped20@yandex.ru
ORCID iD: 0000-0001-9767-0454
MD
Россия, IrkutskEvgeni G. Grigorev
Irkutsk State Medical University
Email: grigorjevzhenechka@yandex.ru
ORCID iD: 0009-0001-0942-557X
Россия, Irkutsk
References
- Rey R, Gualtieri R, La Scala G, Posfay Barbe K. Artificial Intelligence in the Diagnosis and Management of Appendicitis in Pediatric Departments: A Systematic Review. Eur J Pediatr Surg. 2024;34(5):385–391. doi: 10.1055/a-2257-5122
- Lee WH, O’Brien S, McKinnon E, et al. Study of pediatric appendicitis scores and management strategies: A prospective observational feasibility study. Acad Emerg Med. 2024;31(11):1089–1099. doi: 10.1111/acem.14985
- Froehlich M, Karunungan K, Jen HC, et al. Non-Operative Management of Uncomplicated Appendicitis in Children: Can Patients Be Discharged From the Emergency Department? J Pediatr Surg. 2024:161643. doi: 10.1016/j.jpedsurg.2024.07.028
- Adams SE, Perera MRS, Fung S, et al. Non-operative management of uncomplicated appendicitis in children: a randomized, controlled, non-inferiority study evaluating safety and efficacy. ANZ J Surg. 2024;94(9):1569–1577. doi: 10.1111/ans.19119
- Reddy S, Tote D, Zade A, et al. Comparative Analysis of Robotic-Assisted Versus Laparoscopic Appendectomy: A Review Cureus. 2024;16(6):e63488. doi: 10.7759/cureus.63488
- Orcutt ST, Anaya DA, Malafa M. Minimally invasive appendectomy for resection of appendiceal mucocele: Case series and review of the literature. Int J Surg Case Rep. 2017;37:13–16. doi: 10.1016/j.ijscr.2017.05.027
- Arang H, El Boghdady M. Robotic Appendicectomy: A review of feasibility. Sultan Qaboos Univ Med J. 2023;23(4):440–446. doi: 10.18295/squmj.7.2023.043
- Alqahtani A, Albassam A, Zamakhshary M, et al. Robot-assisted pediatric surgery: how far can we go? World J Surg. 2010;34(5):975–978. doi: 10.1007/s00268-010-0431-6
- Bütter A, Merritt N, Dave S. Establishing a pediatric robotic surgery program in Canada. J Robot Surg. 2017;11(2):207–210. doi: 10.1007/s11701-016-0646-0
- Becker T, DeLeon G, Rao V, Pei KY. A comparison of outcomes between laparoscopic and robotic appendectomy among ACS-NSQIP hospitals. Laparosc Endosc Robot Surg. 2023, 6:39–42. doi: 10.1016/j.lers.2023.04.003
- Alemzadeh H, Raman J, Leveson N, et al. Adverse Events in Robotic Surgery: A Retrospective Study of 14 Years of FDA Data. PLoS One. 2016;11(4):e0151470. doi: 10.1371/journal.pone.0151470
- Shen LT, Tou J. Application and prospects of robotic surgery in children: a scoping review. World J Pediatr Surg. 2022;5(4):e000482. doi: 10.1136/wjps-2022-000482
- Mei H, Tang S. Robotic-assisted surgery in the pediatric surgeons’ world: Current situation and future prospectives. Front Pediatr. 2023;11:1120831. doi: 10.3389/fped.2023.1120831
- Lunardi N, Abou-Zamzam A, Florecki KL, et al. Robotic Technology in Emergency General Surgery Cases in the Era of Minimally Invasive Surgery. JAMA Surg. 2024;159(5):493–499. doi: 10.1001/jamasurg.2024.0016
- Myla K, Bou-Ayash N, Kim WC, et al. Is implementation of robotic-assisted procedures in acute care general surgery cost-effective? J Robot Surg. 2024;18(1):223. doi: 10.1007/s11701-024-01912-y
- Rifai AO, Rembetski EM, Stutts LC, et al. Retrospective analysis of operative time and time to discharge for laparoscopic vs robotic approaches to appendectomy and cholecystectomy. J Robot Surg. 2023;17(5):2187–2193. doi: 10.1007/s11701-023-01632-9
- Akl MN, Magrina JF, Kho RM, Magtibay PM. Robotic appendectomy in gynaecological surgery: technique and pathological findings. Int J Med Robot. 2008;4(3):210–213. doi: 10.1002/rcs.198
- Kelkar D, Borse MA, Godbole GP, et al. Interim safety analysis of the first-in-human clinical trial of the Versius surgical system, a new robot-assisted device for use in minimal access surgery. Surg Endosc. 2021;35(9):5193–5202. doi: 10.1007/s00464-020-08014-4
Supplementary files








