Surgical treatment of diaphragmatic hernia in a 3-year-old child
- Authors: Chepurnoy M.G.1, Novoshinov G.V.2, Romaneev A.B.2, Kivva .N.1, Sizonov V.V.1
-
Affiliations:
- Rostov State Medical University
- Regional Children's Clinical Hospital
- Issue: Vol 28, No 3 (2024)
- Pages: 292-297
- Section: Case reports
- Submitted: 16.02.2023
- Accepted: 01.04.2024
- Published: 13.07.2024
- URL: https://jps-nmp.ru/jour/article/view/618
- DOI: https://doi.org/10.17816/ps618
- ID: 618
Cite item
Full Text
Abstract
BACKGROUND: Congenital diaphragmatic hernia (CDH) is a serious condition associated with abnormal development of the diaphragm. Its occurrence among newborns ranges from 1 per 2000 to 1 per 4000. Depending on location, CDH can be divided into four types: diaphragmatic-pleural, parasternal, diaphragmatic-pericardial, and hernias at the esophageal opening of the diaphragm. Hernias can be classified as true or false depending on the presence or absence of the hernia sac. In case of diaphragmatic-pleural hernias, when the intestine, spleen, and stomach almost completely protrude into the pleural cavity, symptoms manifest early in the form of severe cardiorespiratory and gastrointestinal disorders.
CLINICAL CASE DESCRIPTION: The article discusses a case of a three-year-old child with a congenital diaphragmatic pleural hernia. From birth, the child experienced difficulty breathing at feeding, coughing; he also had recurrent pneumonia. X-ray examination and computed tomography of the chest revealed a left-sided hernia. Surgery was done via a left-sided thoracotomy, no complications. In four months after the surgery, X-ray examination showed straightened lungs and normal mediastinum; left diaphragm cupula was also normal. The child is considered to be completely healthy due to the absence of symptoms and normal chest X-ray findings. The authors' main goal was to raise awareness among doctors about rare congenital diseases such as CDH. Also, they would like to draw attention to the fact that congenital malformations of the lungs, intestines, and other organs can be unexpectedly manifested at any age. Children with frequent respiratory problems or cardiorespiratory conditions have to be X-rayed as soon as possible to detect congenital malformations of the diaphragm or other chest organs for timely surgical intervention.
CONCLUSION: As the authors have noted, in recent years X-ray examination of children often reveals undiagnosed at an early age "findings" related to diaphragm pathology, such as false and true diaphragmatic hernias and dome relaxation. CDH is rare in children older than 3 years and has no specific symptoms. It often leads to delayed diagnostics, often visits to pediatricians because of respiratory infections, retardation in physical development and, as a result, to late surgical treatment.
Keywords
Full Text
ОБОСНОВАНИЕ
Врождённая диафрагмальная грыжа (ВДГ) встречается у 1 из 4000 новорождённых. При учёте большой группы мертворождённых с пороками развития диафрагмы частота ВДГ составляет 1 на 2000 рождений [1]. Несмотря на широкое обсуждение, разработку и принятие консенсуса [2] по пре- и постнатальному ведению пациентов, по данным канадских исследователей, летальность при лечении детей с ВДГ остаётся на высоком уровне 20–50% [3].
Дети с ВДГ являются пациентами высокой степени риска. Тяжесть состояния у этой категории пациентов обусловлена респираторной дисфункцией, патологическими расстройствами со стороны сердечно-сосудистой, центральной нервной системы и желудочно-кишечного тракта [4]. По локализации ВДГ разделяют на диафрагмально-плевральные, парастернальные, диафрагмально-перикардиальные и грыжи пищеводного отверстия диафрагмы. ВДГ могут быть истинными и ложными в зависимости от наличия грыжевого мешка [3–5].
Особую опасность представляют острые проявления заболевания, которые могут развиться в любом возрасте. Часто они протекают под маской кишечной непроходимости, пневмоторакса и других заболеваний. От 5 до 30% ВДГ остаются недиагностированными до 3-х летнего возраста, а в отдельных случаях являются случайной находкой [6–9].
ОПИСАНИЕ КЛИНИЧЕСКОГО СЛУЧАЯ
Больная Я., 3 лет, поступила в хирургическое отделение Областной детской клинической больницы г. Ростова-на-Дону 26.06.2022. Из анамнеза жизни: ребёнок от 4 беременности, 1 родов. Масса тела при рождении 3400 г, рост 52 см. Оценка по шкале Апгар 7/8 баллов. Физиологическая желтуха не отмечалась. Девочка росла и развивалась в соответствии с возрастом. Болела вирусными инфекциями, протекающими без осложнений. С 2 лет ребёнка неоднократно осматривал педиатр по поводу сухого грубого кашля, затруднённого дыхания, одышки при физической нагрузке. Дифференциальную диагностику проводили между острым ларинготрахеитом, назофарингитом и острым бронхитом. Противовирусное и симптоматическое лечение было неэффективно.
Результаты физикального, лабораторного и инструментального исследования
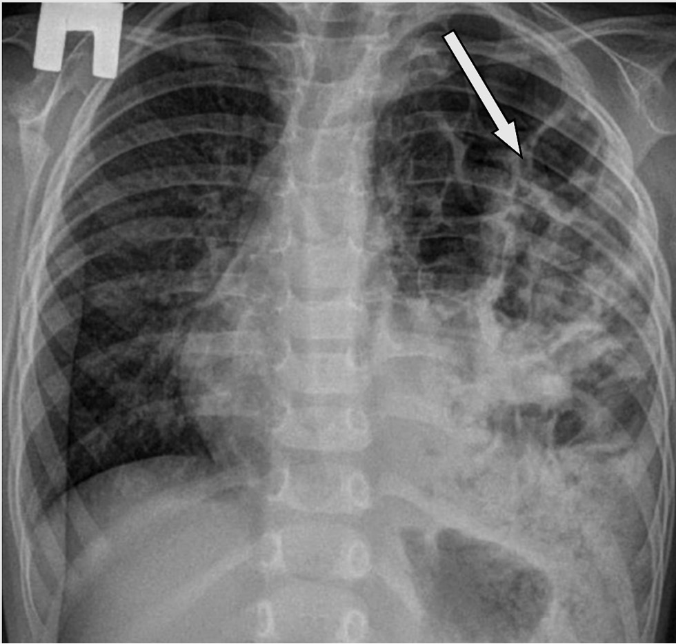
При рентгенологическом обследовании органов грудной клетки, выполненном впервые в июне 2022 года в 3-летнем возрасте, выявлены петли кишечника, лоцируемые в левой половине грудной полости (рис. 1).
Рис. 1. Обзорная рентгенограмма (прямая проекция): грыжа левого купола диафрагмы (указана стрелкой).
Fig. 1. Plain-film X-ray (direct projection): hernia of the left diaphragm dome (indicated by the arrow).
При компьютерной томографии (КТ) органов грудной клетки линия диафрагмы не визуализировалась слева, обнаружено смещение средостения вправо, в левой плевральной полости — петли тонкой и толстой кишки, селезёнка и часть желудка. Диагноз «диафрагмальная грыжа слева» был подтверждён (рис. 2, a–c). Учитывая наличие сомнений в диагнозе (на КТ не визуализировалась диафрагма), возникло подозрение на аплазию диафрагмы, было принято решение провести боковую торакотомию слева. При выборе оперативного доступа, хирурги решили провести боковую торакотомию слева.
Рис. 2. Мультиспиральная компьютерная томограмма органов грудной клетки с контрастированием: a — фронтальный срез; b — сагиттальный срез; c — аксиальный срез.
Fig. 2. Multislice computer tomogram of chest organs with contrast: a — frontal section; b — sagittal section; c — axial section.
Лечение
На операции (28.06.2022) в левой плевральной полости визуализировались дно желудка, селезёнка, петли тонкой и толстой кишки. Грыжевой мешок не определялся. Левое лёгкое обычного макроскопического вида, развито удовлетворительно, имеет две доли. При ревизии в заднебоковой части диафрагмы выявлен щелевидный дефект длиной около 4 см. Постепенно петли кишки и селезёнка были погружены в брюшную полость. Дефект диафрагмы ушит отдельными узловыми швами капроном № 5. В углу дефекта диафрагма фиксирована к VII ребру по левой средней подмышечной линии. Торакотомная рана послойно ушита. Длительность операции составила 65 мин. После операции ребёнок находился на продлённой искусственной вентиляции лёгких в течение 6 сут, а после восстановления самостоятельного дыхания, был экстубирован.
В послеоперационном периоде ребёнок получал инфузионную, симптоматическую и антибактериальную терапию. На 6 сут после операции выполнена контрольная обзорная рентгенограмма органов грудной клетки: лёгкие расправлены, средостение не смещено, контур левого купола диафрагмы прослеживается на всём протяжении (рис. 3). При аускультации дыхание пуэрильное, симметричное, с некоторым ослаблением слева в нижних отделах.
Рис. 3. Контрольная обзорная рентгенограмма органов грудной клетки после операции.
Fig. 3. Control plain-film X-ray of chest organs after surgery.
Исход и результаты последующего наблюдения
На 20 сут после операции ребёнок выписан из хирургического отделения в удовлетворительном состоянии под наблюдение хирурга и педиатра по месту жительства.
ОБСУЖДЕНИЕ
ВДГ — сложный и опасный для жизни порок, который представляет собой не просто анатомический дефект диафрагмы, но и сложный набор функциональных нарушений лёгкого, лёгочной сосудистой сети и связанных с ними структур. Позднее проявление ВДГ (после неонатального периода) встречается реже и представляет реальную диагностическую проблему. Диагностика дефекта затруднена, симптомы неспецифичны и могут вводить в заблуждение. Позднее проявление этой аномалии необходимо учитывать при дифференциальной диагностике хронических желудочно-кишечных или респираторных симптомов. Таким пациентам обычно ошибочно диагностируют пневмонию до тех пор, пока по поводу ухудшения респираторных симптомов не будет выполнено рентгенологическое исследование или КТ, при котором выявится хирургическая патология. Наш случай подчёркивает важность дифференциальной диагностики ВДГ у детей старше 1 г., страдающих рецидивирующими пневмониями или респираторными симптомами, не реагирующими на антибиотики. В такой ситуации врачу-педиатру следует проконсультироваться с детским хирургом для подтверждения или исключения диагноза ВДГ. Ряд авторов подчёркивает, что торакоскопия является предпочтительным доступом в лечении ВДГ — она не требует рассечения большого массива мышц, которое может нарушить дыхательную функцию в послеоперационном периоде [6–7]. Наш выбор боковой торакотомии был основан на диагностических сомнениях, которые не позволили выполнить торакоскопию.
ЗАКЛЮЧЕНИЕ
Таким образом, у ребёнка 3-х лет с врождённой левосторонней диафрагмальной грыжей имело место гладкое течение заболевания. После оперативного лечения состояние больной осталось стабильным. Приведённое клиническое наблюдение показывает, что вместо ВДГ может быть ошибочно диагностирован напряженный пневмоторакс, приводящий к ятрогенным осложнениям. В послеродовом периоде обычная рентгенография органов грудной клетки, в отдельных случаях дополненная КТ, может быть очень полезна для дифференциальной диагностики ВДГ. Также важно тщательное, систематическое наблюдение педиатра, детского хирурга и неонатолога, поскольку проблемы могут быть распознаны и устранены на более ранней стадии.
ДОПОЛНИТЕЛЬНАЯ ИНФОРМАЦИЯ
Источник финансирования. Статья публикуется без спонсорской поддержки.
Конфликт интересов. Авторы заявляют об отсутствии явных и потенциальных конфликтов интересов.
Вклад авторов. Все авторы подтверждают соответствие своего авторства международным критериям ICMJE. Наибольший вклад распределён следующим образом: Чепурной М.Г. — формирование идеи, ключевых целей и задач, написание статьи; Сизонов В.В. — редактирование статьи; Новошинов Г.В. — подготовка иллюстраций; Романеев А.Б. — анализ и интерпретация полученных данных; Кивва А.Н. — дизайн исследования, сбор данных.
Информированное согласие на публикацию. Авторы получили письменное согласие законного представителя пациента на публикацию медицинских данных в обезличенной форме в журнале «Детская хирургия». Дата подписания 20.07.2022.
ADDITIONAL INFORMATION
Funding source. The publication had no sponsorship.
Competing interests. The authors claim that there is no conflict of interest in the article.
Authors’ contribution. All authors confirm compliance of their authorship with the international ICMJE criteria. The largest contribution is distributed as follows: Chepurnoy M.G. — formation of the idea, key goals and objectives, manuscript writing; Sizonov V.V. — editing; Novoshinov G.V. — preparation of illustrations; Romaneev A.B. — analysis and interpretation of the obtained data; Kivva A.N. — research design, data collection.
Consent for publication. Written consent was obtained from the representative of the patient for publication of relevant medical information and all of accompanying images in anonymized form within the manuscript in the journal Russian Journal of Pediatric Surgery. Date of signing 20.07.2022.
About the authors
Mikhail G. Chepurnoy
Rostov State Medical University
Author for correspondence.
Email: m.g.2012@yandex.ru
ORCID iD: 0000-0002-7703-1097
SPIN-code: 6297-1493
MD, Dr. Sci. (Medicine), Associate Professor
Россия, Rostov-on-DonGleb V. Novoshinov
Regional Children's Clinical Hospital
Email: novoshinov51@mail.ru
ORCID iD: 0000-0001-7870-5519
SPIN-code: 1366-5012
MD
Россия, Rostov-on-DonAlexey B. Romaneev
Regional Children's Clinical Hospital
Email: borisrom@mail.ru
ORCID iD: 0000-0002-8525-8953
SPIN-code: 1864-9441
MD, Cand. Sci. (Medicine)
Россия, Rostov-on-DonAndrey N. Kivva
Rostov State Medical University
Email: kivva1@mail.ru
ORCID iD: 0000-0002-0802-9364
SPIN-code: 6064-2130
MD, Dr. Sci. (Medicine), Professor
Россия, Rostov-on-DonVladimir V. Sizonov
Rostov State Medical University
Email: vsizonov@list.ru
ORCID iD: 0000-0001-9145-8671
SPIN-code: 2155-5534
MD, Dr. Sci. (Medicine), Professor
Россия, Rostov-on-DonReferences
- Razumovsky AY, Mokrushina OG, Alkhasov AB, et al. Endosurgical operations in newborns. Moscow: Meditsinskoe informatsionnoe agentstvo; 2015. Р. 37–55. (In Russ). EDN: RSVZOI
- Kozlov YA, Novozhilov VA, Rasputin AA, et al. Comparison of open and thoracoscopic surgery of congenital diaphragmatic hernias in newborns and young children. Detskaya khirurgiya (Russian Journal of Pediatric Surgery). 2013;(5):29–35. EDN: RVLLIB
- Razumovsky AY, Mokrushina OG, Belyaeva ID, et al. Comparative analysis of the treatment of newborn infants with congenital diaphragmatic hernia after open and endoscopic diaphragmoplasty. Detskaya khirurgiya (Russian Journal of Pediatric Surgery). 2012;(3):4–8. EDN: PGEPZT
- Reiss I, Schaible T, van den Hout L, et al. CDH EURO Consortium. Standardized postnatal management of infants with congenital diaphragmatic hernia in Europe: The CDH EURO Consortium consensus. Neonatology. 2010;98(4):354–364. doi: 10.1159/000320622
- Puligandla PS, Skarsgard ED, Offringa M, et al. Canadian congenital diaphragmatic hernia collaborative: Diagnosis and management of congenital diaphragmatic hernia. A clinical practice guideline. CMAJ. 2018;190(4):103–112. doi: 10.1503/cmaj.170206
- Chepurnoy MG, Rozin BG, Chepurnoy GI, et al. Toracoabdominal access in surgical treatment of congenital left-sided diaphragmal hernas. Med News North Caucasus. 2019;14(1-1):9–12. EDN: LECIRO doi: 10.14300/mnnc.2019.14036
- Ashcraft KW, Holder TM. Paediatric surgery. Vol. 2. Saint Petersburg; 1997. Р. 229–243. (In Russ).
- Craigie RJ, Mullassery D, Kenny SE. Laparoscopic repair of late presenting congenital diaphragmatic hernia. Hernia. 2007;11(1):79–82. doi: 10.1007/s10029-006-0156-5
- Goetz DM, Burns C, Segura BJ, Weiner DJ. Late presentation of congenital diaphragmatic hernia in patients with cystic fibrosis. Pediatr Pulmonol. 2010;45(4):403–405. doi: 10.1002/ppul.21173
- Taylor GA, Atalabi OM, Estroff JA. Imaging of congenital diaphragmatic hernias. Pediatr Radiol. 2009;39(1):1–16. EDN: OXOKCG doi: 10.1007/s00247-008-0917-7
Supplementary files






