Robot-assisted Heller myotomy in the treatment of achalasia in children
- Authors: Kozlov Y.A.1,2,3, Poloyan S.S.1,3, Sapukhin E.V.1, Strashinsky A.S.1, Makarochkina M.V.1, Marchuk A..1, Rozhanski A.P.3, Byrgazov A.A.1, Muravev S.A.3, Narkevich A.N.4,5
-
Affiliations:
- Children's Regional Clinical Hospital
- Irkutsk State Medical Academy of Postgraduate Education
- Irkutsk State Medical University
- South-Ural State Medical University
- Professor V.F. Voino-Yasenetsky Krasnoyarsk State Medical University
- Issue: Vol 28, No 2 (2024)
- Pages: 215-223
- Section: Case reports
- Submitted: 11.04.2023
- Accepted: 20.12.2023
- Published: 30.05.2024
- URL: https://jps-nmp.ru/jour/article/view/647
- DOI: https://doi.org/10.17816/ps647
- ID: 647
Cite item
Full Text
Abstract
BACKGROUND: Esophageal achalasia in children is a rare disease. Heller myotomy combined with Dor fundoplication remains the treatment of choice for this disease. Surgical interventions include open, laparoscopic and robotic approaches. This article describes the first experience of Heller robot-assisted myotome in a child. It also presents a literature review on this topic.
CLINICAL CASE DESCRIPTION: The authors present retrospective data of a 10-year-old adolescent boy who was operated on for esophageal achalasia with the robot-assisted approach. The patient was admitted to the surgical department of Irkutsk State Regional Children's Clinical Hospital in satisfactory condition with complaints of dysphagia, frequent regurgitation after meals, and delayed weight gain. The diagnosis of cardia achalasia was put after contrast examination of the esophagus and after endoscopic examination of the upper gastrointestinal tract and after esophageal manometry. Heller robot-assisted myotomy was performed with surgical robot Versius (manufactured by CMR, UK). Patient's weight was 30 kg. His age was 10 years. This disease lasted for 3 years. Robot-assisted Heller myotomy was done in a minimally invasive manner without conversion to an open surgery. Total myotomy length was 7 cm; duration of surgical intervention — 125 minutes; duration of patient's stay in the hospital — 4 days; duration of follow-up — 4 months. In the late follow-up, no significant complications, like symptom recurrence or reflux, were seen.
CONCLUSION: Robotic-assisted Heller myotomy for esophageal achalasia in children is safe and effective technique. It is also good alternative to open and laparoscopic surgeries.
Keywords
Full Text
ОБОСНОВАНИЕ
Ахалазия представляет собой нарушение моторики пищевода, характеризующееся потерей релаксации нижнего пищеводного сфинктера в ответ на глотание и нарушением продвижения пищи по пищеводу. Её причины остаются неизвестными. Ахалазия пищевода встречается со средней частотой 0,11 случаев на 100 000 детей [1]. Симптомы заболевания состоят из дисфагии, которая может оказать серьёзное влияние на общее состояние ребёнка, включая значительную потерю веса. Диагноз «ахалазия» подтверждают результатами эзофагографии, манометрии пищевода и эзофагогастродуоденоскопии. Миотомия Хеллера в сочетании с фундопликацией по Дору остаётся методом выбора лечения этого заболевания. Хирургические подходы включают открытый, лапароскопический и роботизированный доступы [1]. Наиболее эффективным методом лечения ахалазии у детей является лапароскопическая миотомия Хеллера [2]. Этот минимально инвазивный подход обеспечивает стойкие долгосрочные результаты, лишённые недостатков классической открытой миотомии Хеллера: послеоперационной боли, неэстетичных рубцов и длительного восстановления пациентов после операции.
Однако на разных этапах лапароскопической процедуры могут возникать осложнения, в частности, перфорация слизистой оболочки [3, 4]. Роботизированная (робот- ассистированная) миотомия Хеллера (РМХ) недавно показала себя как безопасное и эффективное лечение ахалазии пищевода у взрослых. На сегодня описано 26 случаев применения этого подхода в лечении детей [5–14]. Мы представляем описание случая лечения пациента с ахалазией пищевода, в котором мы впервые в России применили роботизированный подход.
ОПИСАНИЕ КЛИНИЧЕСКОГО СЛУЧАЯ
Мальчик, 10 лет, поступил в хирургическое отделение ОГАУЗ «Иркутская государственная областная детская клиническая больница» в удовлетворительном состоянии с диагнозом «гастроэзофагеальная рефлюксная болезнь». Больной жаловался на дисфагию, частые срыгивания после приёма пищи, задержку в наборе массы тела. Масса тела пациента составляла 30 кг, длительность симптомов — 3 г., суммарное давление расслабления нижнего пищеводного сфинктера — 35 мм рт. ст., оценка по шкале V. Eckardt — 9 баллов. Эндоскопическая баллонная дилатация не выполнялась.
Результаты физикального, лабораторного и инструментального исследования
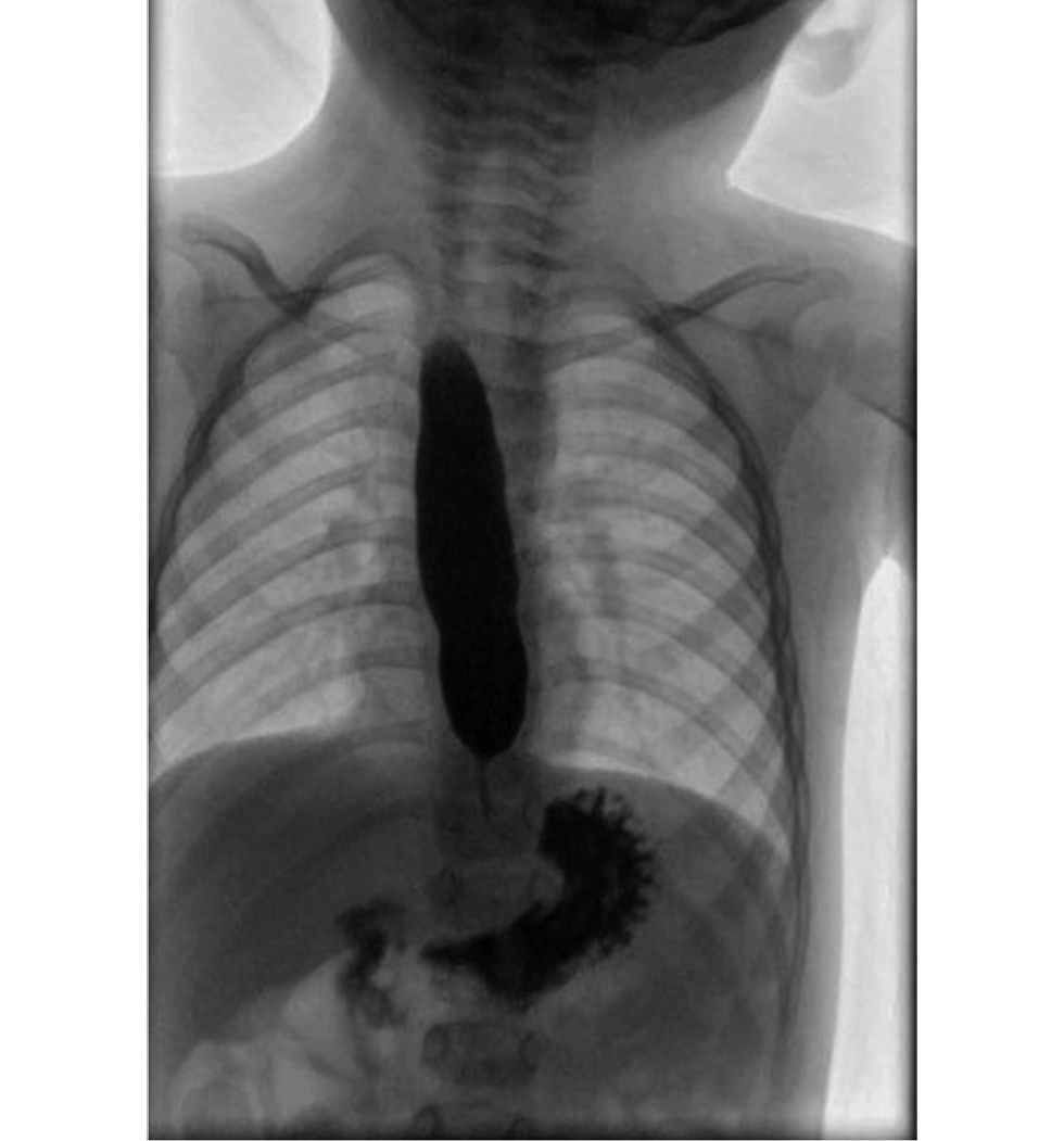
На основании эзофагографии, эзофагогастродуоденоскопии и манометрии пищевода был поставлен диагноз «ахалазия кардии» (рис. 1). Решено выполнить хирургическое вмешательство с использованием роботизированной технологии.
Рис. 1. Эзофагография пациента с ахалазией пищевода.
Fig. 1. Esophagography of the patient with esophageal achalasia.
Описание хирургического вмешательства
РМХ выполняли с помощью хирургического робота Versius производства компании CMR (Великобритания). Новейшая роботизированная система Versius представляет собой модульную открытую роботическую платформу с инструментами, способными проходить через 5-мм лапароскопические порты.
Операцию выполняют под общим наркозом. Пациента укладывают на спину. Консоль хирурга располагают в операционной так, чтобы хирург-оператор видел пациента боковым зрением постоянно. Монитор для хирурга- ассистента размещают справа от пациента. Визуализационный блок располагают с правой стороны от пациента. Инструментальные блоки размещают каудально с правой и левой стороны от пациента таким образом, чтобы не было конфликта между манипуляторами.
Выполняют карбоперитонеум с предустановленными параметрами инсуффляции (поток 5 л/мин, давление 12 мм рт. ст.), используя иглу Veress, введённую через пупочный разрез. Этот разрез используют затем для установки оптического 12-мм порта для введения эндоскопа. Два 5-мм инструментальных порта вводят билатерально от оптического так, чтобы соблюдался принцип триангуляции. Следует отметить, что эти два роботических порта располагают как можно латеральнее и каудальнее, чтобы избежать столкновения манипуляторов робота снаружи. В субксифоидальной области вводят дополнительный порт диаметром 3 мм для ретракции печени. Между оптическим портом и портом с левой стороны устанавливают дополнительный 5-мм порт для ассистенции.
Процедура начинается с рассечения френоперикардиальной связки. Короткие желудочные сосуды не лигируются. Идентифицируются и сохраняются передний и задний блуждающие нервы. Продольную миотомию выполняют с помощью электрохирургического крючка, начиная с желудочно-пищеводного перехода и продвигаясь вверх на 5 см, затем продолжают разрез вниз на 2 см в сторону угла желудка (рис. 2).
Рис. 2. Роботизированная миотомия Хеллера: этап продольного рассечения мышечного слоя пищевода.
Fig. 2. Heller robot-assisted myotomy: the stage of longitudinal dissection of muscular layer of the esophagus.
После адекватной миотомии через назогастральный зонд выполняют аэропробу с инсуффляцией воздуха для проверки герметичности слизистой оболочки. Кончик зонда в это время находится в пищеводе над местом хирургического вмешательства. Затем дно желудка перемещают к разрезу пищевода и выполняют частичную переднюю фундопликацию по Дору путём подшивания дна желудка к краям миотомии нитями PDS II 2–0 (рис. 3, рис. 4).
Рис. 3. Роботизированная миотомия Хеллера: этап фундопликации по Дору (фиксация латерального края манжеты).
Fig. 3. Heller robot-assisted myotomy: Dor fundoplication stage (fixation of the lateral edge of the cuff).
Рис. 4. Роботизированная миотомия Хеллера: этап фундопликации по Дору (фиксация медиального края манжеты).
Fig. 4. Heller robot-assisted myotomy: Dor fundoplication stage (fixation of the medial edge of the cuff).
Исход и результаты последующего наблюдения
После окончания операции пациент находился в палате интенсивной терапии в положении на спине с приподнятым головным концом кровати и не получал питание через рот на протяжении 24 ч. Позже было разрешено принимать жидкость и протёртую пищу в течение 1 нед. На 2-й нед. пациент переведён на полужидкую диету. Через 1 мес. после операции разрешено перейти на твёрдую пищу.
В течение 3 мес. после вмешательства пациент перорально принимал ингибиторы протонной помпы и находился под наблюдением гастроэнтеролога с обязательным посещением врача через 1, 3 и 6 мес. Технический успех вмешательства определялся как достижение продольного рассечения мышечного слоя на всем протяжении поражённого сегмента пищевода с возможностью полного укрытия мышечного разреза тканью передней стенки желудка. Для оценки степени ахалазии использовали симптоматическую шкалу V. Eckardt [15]. Оценку выполняли до операции и через 4 мес. после вмешательства.
РМХ была выполнена минимально инвазивным способом без конверсии в открытую процедуру. Общая длина миотомии 7 см. Продолжительность хирургического вмешательства 125 мин. Операция не сопровождалась такими интраоперационными осложнениями, как кровотечение, повреждение слизистой оболочки пищевода, травма соседних анатомических структур. Длительность госпитализации составила 4 дня, длительность наблюдения — 4 мес. В отдалённом послеоперационном периоде не отмечено значимых осложнений в виде рецидива симптомов или возникновения гастроэзофагеального рефлюкса. Клинический успех, оцениваемый на основании шкалы V. Eckardt, составил 0 баллов (≤3 баллов).
ОБСУЖДЕНИЕ
Ахалазия пищевода — редкое нервно-мышечное заболевание пищевода неизвестной этиологии, проявляющееся нарушением расслабления нижнего пищеводного сфинктера и, как следствие, снижением перистальтики пищевода [16, 17]. Клиническими симптомами болезни являются дисфагия, рвота, ночной кашель, недостаточное питание и задержка развития [17]. Цель лечения этого заболевания состоит в облегчении симптомов и восстановлении транзита пищи через пищевод [5]. Существует несколько вариантов лечения, включая инъекцию ботулинического токсина в нижний пищеводный сфинктер, эндоскопическую баллонную дилатацию пищевода, пероральную эндоскопическую миотомию (ПОЭМ) и хирургическую миотомию Хеллера [2, 16]. Редкость этого заболевания у детей, наличие множества методов лечения и отсутствие рандомизированных контролируемых исследований в этой области не позволяют определить наиболее эффективный способ исправления аномалии [18].
На протяжении последних двух десятилетий лапароскопическая миотомия Хеллера использовалась в качестве первой линии лечения ахалазии не только у взрослых, но и у детей, обеспечивая хорошие долгосрочные результаты, на что указывают отсутствие рецидивов и необходимости повторного вмешательства [19]. Кроме того, лапароскопический подход значительно улучшает послеоперационные результаты — сокращает продолжительность пребывания в стационаре и снижает интенсивность послеоперационной боли. Некоторые авторы выступают за торакоскопический подход, хотя метаанализ литературы по этой теме не показал различий в отдалённых результатах, длительности госпитализации и времени операции по сравнению с лапароскопическим доступом [20].
В качестве альтернативы была представлена эндоскопическая ПОЭМ, которую в 2008 г. впервые провёл H. Inoe взрослому пациенту [21]. О первом применении ПОЭМ у детей сообщено в 2012 г. Эта инновационная процедура была выполнена 3-летней девочке с ахалазией пищевода и синдромом Дауна [22]. С тех пор было опубликовано несколько исследований об использовании ПОЭМ для лечения детей [23]. В сравнительном исследовании T. Caldaro и соавт. пришли к выводу, что лапароскопическая миотомия Хеллера и ПОЭМ одинаково безопасны и эффективны для детей [24]. Однако ПОЭМ в детской хирургии до сих пор не популярна из-за редкости заболевания и отсутствия потока пациентов, необходимого для того, чтобы эта процедура стала такой же простой и эффективной, как в руках взрослых эндоскопических хирургов. Поэтому в настоящее время эту операцию детям обычно выполняют врачи-эндоскописты, обладающие значительным опытом в области подслизистого туннелирования и эндоскопической резекции органов, по приглашению детских хирургов, склонных видеть в ПОЭМ сдвиг парадигмы хирургии в сторону элективного использования у детей трансоральных операций.
По этой причине лапароскопическая миотомия Хеллера считается методом выбора с отличными долгосрочными результатами лечения ахалазии у детей [16]. Однако традиционным лапароскопическим приборам не хватает гибкости и высококачественной трёхмерной визуализации, которые свойственны современным роботам, особенно при работе в узком анатомическом пространстве с необходимостью наложения сложных интракорпоральных швов [8]. Кроме этих преимуществ роботизированная хирургия обеспечивает масштабирование движений и устраняет тремор рук. Точная визуализация с высоким разрешением позволяет хирургу видеть все мышечные волокна пищевода, что снижает вероятность перфорации слизистой оболочки [13, 14]. Как лапароскопическая, так и роботизированная миотомия пищевода сопоставимы по выполнимости, безопасности и долгосрочному облегчению симптомов. В сравнительном исследовании 121 миотомии Хеллера, выполненной взрослым пациентам, в группе роботизированных миотомии не было случаев перфорации слизистой оболочки, а в группе лапароскопических вмешательств перфорации произошли у 16% пациентов [23].
В большом ретроспективном сравнительном исследовании, включавшем 2683 взрослых пациента, перенёсших РМХ, открытую или лапароскопическую миотомию, A. Shaligram и соавт. не обнаружили различий между лапароскопическими и роботизированными процедурами с точки зрения заболеваемости, смертности, длительности госпитализации или частоты повторных госпитализаций [25]. И лапароскопические, и роботизированные операции превосходили открытую миотомию в отношении послеоперационных результатов, касающихся ускоренного восстановления пациентов после выполненных хирургических вмешательств [25].
Добавление антирефлюксной процедуры к миотомии Хеллера до сих пор вызывает споры [26]. Хотя исследования, проведённые с участием взрослых пациентов, поддерживают выполнение антирефлюксной процедуры при миотомии Хеллера, до сих пор неясно, следует ли всем детям выполнять сопутствующую антирефлюксную операцию [27]. Антирефлюксная процедура значительно снижает риск гастроэзофагеального рефлюкса, но увеличивает риск дисфагии. По этой причине продолжаются дебаты о том, какой симптом легче лечить — рефлюкс или дисфагию [27].
В литературе опубликовано несколько сообщений о РМХ у детей (табл. 1) [5–14]. Общее количество пациентов, которым выполнена РМХ, включая нашего больного, составляет 26 случаев. Средний возраст пациентов составил (9,5±4,2) года, средний вес — (27,7±17,1) кг, длительность операции — (188,0±60,2) мин. Большинству пациентов была проведена сопутствующая антирефлюксная процедура по Дору. Во всех зарегистрированных случаях не представлены данные о конверсиях в лапароскопию или открытую операцию.
Таблица 1. Данные пациентов из опубликованных серий роботизированного лечения ахалазии пищевода Table 1. Patient data from the published series of robot-assisted treatment of esophageal achalasia | ||||
Публикация | n | Средний возраст пациентов, г. | Масса тела пациентов, кг | Длительность операции, мин |
R. Chaer и соавт. | 2 | 15,0±1,4 | — | 117,5±17,7 |
A. Lorincz и соавт. | 1 | 14,0 | — | 150,0 |
C. Knight и соавт. | 1 | 4,3 | 13 | 195,0 |
M. Klein и соавт. | 1 | — | — | 179,0 |
A. Najmaldin и соавт. | 1 | 10,2 | — | 205,0 |
J. Meehan и соавт. | 2 | 8,4±2,1 | 27,9±3,0 | 157,0±14,4 |
J. Camps | 4 | 6,2±2,9 | — | — |
Q. Ballouhey и соавт. | 2 | 12,5±2,1 | — | 260,0±56,6 |
T. Altokhais и соавт. | 6 | 7,1±4,4 | 20,0±16,1 | 204,0±23,1 |
P. Ferrero и соавт. | 5 | 12,0±4,2 | 43,1±19,1 | 197,2±74,6 |
Ю.А. Козлов и соавт. | 1 | 10,0 | 30 | 125 |
Средние значения | — | 9,5±4,2 | 27,7±17,1 | 188,0±60,2 |
Всего | 26 | — | — | — |
Роботизированные инструменты с 7 степенями свободы позволяют выполнять диссекцию по касательной, что снижает риск рассечения слизистой оболочки. Поэтому роботизированный подход признан современным и безопасным методом лечения взрослых пациентов [28]. Существует предположение, что риск повреждения слизистой связан с перпендикулярным воздействием стандартных режущих лапароскопических инструментов. Насколько нам известно, сообщалось только об одном случае перфорации пищевода (у взрослых) в роботизированной серии [4], в то время как частота перфорации слизистой варьирует от 1 до 15% в больших когортах пациентов, перенёсших стандартную лапароскопическую миотомию Хеллера [12].
Особенностью нашего случая является то, что РМХ была выполнена на роботической платформе нового поколения Versius. Обладая несколькими уникальными и расширенными функциями, система Versius обеспечивает ряд преимуществ перед другими роботическими платформами. Инструментальные и визуализационный блоки имеют собственную колёсную тележку, образуя компактный и подвижный прикроватный блок, что обеспечивает максимальную гибкость использования в операционных. Versius предлагает конструкцию с открытой консолью, которая позволяет хирургам работать стоя и сидя, легко общаться с бригадой. Конструкция также облегчает преподавание и обучение. Хирург управляет роботизированными манипуляторами системы с помощью контроллеров в виде джойстиков, расположенных на консоли. При этом он находится в 3D-очках высокого разрешения и смотрит в монитор.
Таким образом, с внедрением роботизированных хирургических платформ был сделан значительный шаг в эволюции хирургии пищевода. Робот обеспечивает многократно увеличенное трёхмерное изображение, большую манёвренность при работе инструментами, высокую точность и масштабирование движений, облегчая точное интракорпоральное наложение швов и рассечение тканей, что может сократить частоту осложнений операций на пищеводе.
ЗАКЛЮЧЕНИЕ
РМХ при ахалазии пищевода у детей безопасна, эффективна и является хорошей альтернативой открытому и лапароскопическому доступу. Даже в отсутствии статистических данных у детей, можно предполагать, что использование робота во время РМХ снижает риск перфорации слизистой оболочки пищевода благодаря улучшенной трёхмерной визуализации и большей степени свободы инструментов. Ожидается, что более крупные серии подтвердят эффективность и безопасность робота у детей с ахалазией пищевода.
ДОПОЛНИТЕЛЬНАЯ ИНФОРМАЦИЯ
Источник финансирования. Статья публикуется без спонсорской поддержки.
Конфликт интересов. Авторы заявляют об отсутствии явных и потенциальных конфликтов интересов.
Вклад авторов. Все авторы подтверждают соответствие своего авторства международным критериям ICMJE. Наибольший вклад распределён следующим образом: Ю.А. Козлов — анализ литературных источников, написание и редактирование статьи; С.С. Полоян, А.С. Страшинский, Э.В. Сапухин, М.В. Макарочкина, А.А. Марчук, А.А. Быргазов, С.А. Муравьев, А.Н. Наркевич — сбор и анализ литературных источников; А.П. Рожанский — редактирование статьи.
Согласие на публикацию. Авторы получили письменное согласие законного представителя пациента на публикацию медицинских данных в обезличенной форме в журнале «Детская хирургия». Дата подписания 11.01.2023.
ADDITIONAL INFORMATION
Funding source. The publication had no sponsorship.
Competing interests. The authors claim that there is no conflict of interest in the article.
Authors’ contribution. All authors confirm compliance of their authorship with the international ICMJE criteria. The largest contribution is distributed as follows: Yu.A. Kozlov — analysis of literary sources, manuscript writing and editing; S.S. Poloyan, E.V. Sapukhin, A.S. Strashinsky, M.V. Makarochkina, A.A. Marchuk, A.A. Byrgazov, S.A. Muravyov, A.N. Narkevich — collection and analysis of literary sources; A.P. Rozhansky — collection and analysis of literary sources, manuscript editing.
Consent for publication. Written consent was obtained from the representative of the patient for publication of relevant medical information and all of accompanying images in anonymized form within the manuscript in the journal Russian Journal of Pediatric Surgery. Date of signing 11.01.2023.
About the authors
Yury A. Kozlov
Children's Regional Clinical Hospital; Irkutsk State Medical Academy of Postgraduate Education; Irkutsk State Medical University
Email: yuriherz@hotmail.com
ORCID iD: 0000-0003-2313-897X
SPIN-code: 3682-0832
MD, Cand. Sci. (Medicine), Professor, Corresponding Member of the Russian Academy of Sciences
Russian Federation, 4 Gagarina boulevard, 664022 Irkutsk; Irkutsk; IrkutskSimon S. Poloyan
Children's Regional Clinical Hospital; Irkutsk State Medical University
Email: simonpoloyan@ya.ru
ORCID iD: 0000-0001-7042-6646
MD
Russian Federation, 4 Gagarina boulevard, 664022 Irkutsk; IrkutskEduard V. Sapukhin
Children's Regional Clinical Hospital
Email: sapukhin@yandex.ru
ORCID iD: 0000-0001-5470-7384
MD, Cand. Sci. (Medicine)
Russian Federation, 4 Gagarina boulevard, 664022 IrkutskAlexey S. Strashinsky
Children's Regional Clinical Hospital
Email: strashinskiia.s@gmail.ru
ORCID iD: 0000-0002-1911-4468
MD
Russian Federation, 4 Gagarina boulevard, 664022 IrkutskMarina V. Makarochkina
Children's Regional Clinical Hospital
Email: m.makarochkina@gmail.com
ORCID iD: 0000-0001-8295-6687
SPIN-code: 4600-4071
MD
Russian Federation, 4 Gagarina boulevard, 664022 IrkutskAndrey A. Marchuk
Children's Regional Clinical Hospital
Author for correspondence.
Email: maa-ped20@yandex.ru
ORCID iD: 0000-0001-9767-0454
MD
Russian Federation, 4 Gagarina boulevard, 664022 IrkutskAlexander P. Rozhanski
Irkutsk State Medical University
Email: alexanderozhanski@mail.ru
ORCID iD: 0000-0001-7922-7600
SPIN-code: 4012-7120
MD
Russian Federation, IrkutskAnton A. Byrgazov
Children's Regional Clinical Hospital
Email: byrgazov.ant-doc38@yandex.ru
ORCID iD: 0000-0002-9195-5480
MD
Russian Federation, 4 Gagarina boulevard, 664022 IrkutskSergey A. Muravev
Irkutsk State Medical University
Email: muravev1999sergey@mail.ru
ORCID iD: 0000-0003-4731-7526
MD
Russian Federation, IrkutskArtem N. Narkevich
South-Ural State Medical University; Professor V.F. Voino-Yasenetsky Krasnoyarsk State Medical University
Email: narkevichart@gmail.com
ORCID iD: 0000-0002-1489-5058
MD
Russian Federation, Chelyabinsk; KrasnoyarskReferences
- Nicolas A, Aumar M, Tran LC, et al. Comparison of endoscopic dilatation and heller's myotomy for treating esophageal achalasia in children: A multicenter study. J Pediatr. 2022;(251):134–139.e2. doi: 10.1016/j.jpeds.2022.07.010
- Campos GM, Vittinghoff E, Rabl C, et al. Endoscopic and surgical treatments for achalasia: A systematic review and meta-analysis. Ann Surg. 2009;249(1):45–57. doi: 10.1097/SLA.0b013e31818e43ab
- Esposito C, Mendoza-Sagaon M, Roblot-Maigret B, et al. Complications of laparoscopic treatment of esophageal achalasia in children. J Pediatr Surg. 2000;35(5):680–683. doi: 10.1053/jpsu.2000.5942
- Zhang LP, Chang R, Matthews BD, et al. Incidence, mechanisms, and outcomes of esophageal and gastric perforation during laparoscopic foregut surgery: A retrospective review of 1,223 foregut cases. Surg Endosc. 2014;28(1):85–90. doi: 10.1007/s00464-013-3167-1
- Chaer RA, Jacobsen G, Elli F, et al. Robotic-assisted laparoscopic pediatric Heller's cardiomyotomy: Initial case report. J Laparoendosc Adv Surg Tech A. 2004;14(5):270–273. doi: 10.1089/lap.2004.14.270
- Lorincz A, Langenburg S, Klein MD. Robotics and the pediatric surgeon. Curr Opin Pediatr. 2003;15(3):262–266. doi: 10.1097/00008480-200306000-00006
- Knight CG, Lorincz A, Gidell KM, et al. Computer-assisted robot-enhanced laparoscopic fundoplication in children. J Pediatr Surg. 2004;39(6):864–866; discussion 864–866. doi: 10.1016/j.jpedsurg.2004.02.022
- Klein MD, Langenburg SE, Kabeer M, et al. Pediatric robotic surgery: Lessons from a clinical experience. J Laparoendosc Adv Surg Tech A. 2007;17(2):265–271. doi: 10.1089/lap.2006.0034
- Najmaldin A, Antao B. Early experience of tele-robotic surgery in children. Int J Med Robot. 2007;3(3):199–202. doi: 10.1002/rcs.150
- Meehan JJ, Sandler A. Pediatric robotic surgery: A single-institutional review of the first 100 consecutive cases. Surg Endosc. 2008;22(1):177–182. EDN: JAOVRH doi: 10.1007/s00464-007-9418-2
- Camps JI. The use of robotics in pediatric surgery: My initial experience. Pediatr Surg Int. 2011;27(9):991–996. doi: 10.1007/s00383-011-2901-9
- Ballouhey Q, Dib N, Binet A, et al. How robotic-assisted surgery can decrease the risk of mucosal tear during Heller myotomy procedure? J Robot Surg. 2017;11(2):255–258. doi: 10.1007/s11701-016-0658-9
- Altokhais T, Mandora H, Al-Qahtani A, Al-Bassam A. Robot-assisted Heller's myotomy for achalasia in children. Comput Assist Surg (Abingdon). 2016;21(1):127–131. doi: 10.1080/24699322.2016.1217352
- Ferrero PA, Blanc T, Binet A, et al. The potential and the limitations of esophageal robotic surgery in children. Eur J Pediatr Surg. 2022;32(2):170–176. doi: 10.1055/s-0040-1721770
- Eckardt VF, Gockel I, Bernhard G. Pneumatic dilation for achalasia: Late results of a prospective follow up investigation. Gut. 2004;53(5):629–633. doi: 10.1136/gut.2003.029298
- Franklin AL, Petrosyan M, Kane TD. Childhood achalasia: A comprehensive review of disease, diagnosis and therapeutic management. World J Gastrointest Endosc. 2014;6(4):105–111. doi: 10.4253/wjge.v6.i4.105
- Sharp NE, Peter SD. Treatment of idiopathic achalasia in the pediatric population: A systematic review. Eur J Pediatr Surg. 2016;26(2):143–149. doi: 10.1055/s-0035-1544174
- Pachl MJ, Rex D, Decoppi P, et al. Paediatric laparoscopic Heller's cardiomyotomy: A single centre series. J Pediatr Surg. 2014;49(2):289–292; discussion 292. doi: 10.1016/j.jpedsurg.2013.11.042
- Paidas C, Cowgill SM, Boyle R, et al. Laparoscopic Heller myotomy with anterior fundoplication ameliorates symptoms of achalasia in pediatric patients. J Am Coll Surg. 2007;204(5):977–983; discussion 983–986. doi: 10.1016/j.jamcollsurg.2006.12.046
- Hughes MJ, Chowdhry MF, Walker WS. Can thoracoscopic Heller's myotomy give equivalent results to the more usual laparoscopic Heller's myotomy in the treatment of achalasia? Interact Cardiovasc Thorac Surg. 2011;13(1):77–81. doi: 10.1510/icvts.2011.268169
- Inoue H, Minami H, Kobayashi Y, et al. Peroral endoscopic myotomy (POEM) for esophageal achalasia. Endoscopy. 2010;42(4):265–271. doi: 10.1055/s-0029-1244080
- Maselli R, Inoue H, Misawa M, et al. Peroral endoscopic myotomy (POEM) in a 3-year-old girl with severe growth retardation, achalasia, and Down syndrome. Endoscopy. 2012;44 (Suppl. 2 UCTN):E285-7. doi: 10.1055/s-0032-1309924
- Galvani C, Gorodner MV, Moser F, et al. Laparoscopic Heller myotomy for achalasia facilitated by robotic assistance. Surg Endosc. 2006;20(7):1105–1112. EDN: PSMQPU doi: 10.1007/s00464-005-0272-9
- Caldaro T, Familiari P, Romeo EF, et al. Treatment of esophageal achalasia in children: Today and tomorrow. J Pediatr Surg. 2015;50(5):726–730. doi: 10.1016/j.jpedsurg.2015.02.047
- Shaligram A, Unnirevi J, Simorov A, et al. How does the robot affect outcomes? A retrospective review of open, laparoscopic, and robotic Heller myotomy for achalasia. Surg Endosc. 2012;26(4):1047–1050. EDN: DKKQSY doi: 10.1007/s00464-011-1994-5
- Midya S, Ghosh D, Mahmalat MW. Fundoplication in laparoscopic Heller's cardiomyotomy for achalasia. Cochrane Database Syst Rev. 2022;12(12):CD013386. doi: 10.1002/14651858.CD013386.pub2
- Pandian TK, Naik ND, Fahy AS, et al. Laparoscopic esophagomyotomy for achalasia in children: A review. World J Gastrointest Endosc. 2016;8(2):56–66. doi: 10.4253/wjge.v8.i2.56
- Afaneh C, Finnerty B, Abelson JS, Zarnegar R. Robotic-assisted Heller myotomy: A modern technique and review of outcomes. J Robot Surg. 2015;9(2):101–108. doi: 10.1007/s11701-015-0506-3
Supplementary files







