Robot-assisted treatment of simple renal cysts
- Authors: Kozlov Y.A.1,2,3, Poloyan S.S.1,3, Sapukhin E.V.1, Strashinsky A.S.1, Makarochkina M.V.1, Marchuk A.A.1, Rozhanski A.P.3, Muravev S.A.3
-
Affiliations:
- Children's Regional Clinical Hospital
- Irkutsk State Medical Academy of Postgraduate Education
- Irkutsk State Medical University
- Issue: Vol 28, No 3 (2024)
- Pages: 298-305
- Section: Case reports
- Submitted: 21.05.2023
- Accepted: 31.05.2024
- Published: 13.07.2024
- URL: https://jps-nmp.ru/jour/article/view/673
- DOI: https://doi.org/10.17816/ps673
- ID: 673
Cite item
Full Text
Abstract
BACKGROUND: The gold standard in the surgical treatment of simple renal cysts is laparoscopic cyst fenestration. However, laparoscopic procedures have disadvantages which include poor ergonomics of the instruments hindering surgeon's work in children's small abdomen. Robot-assisted surgery has the potential to make surgeon's work easier and to improve surgical outcomes in patients with kidney cysts for the instruments have seven degrees of freedom, hand tremor is filtered. It also promotes comfortable console positioning for the surgeon, and three-dimensional wide-angle imaging of the surgical field.
AIM: To present the first experience of applying robot-assisted surgery for fenestration (decortication) of the outer portion of the cyst and argon-plasma coagulation of its inner lining.
METHODS: The author's present retrospective data of all patients with simple renal cysts operated on with robot-assisted approach at the Irkutsk State Regional Children's Clinical Hospital. The diagnosis was put after ultrasound examination of kidneys and after computed tomography with intravenous contrast agent. Surgery was performed using a new model of the Versius robotic system manufactured by Cambridge Medical Robotics (UK).
RESULTS: Patients' mean age at the time of surgery was (13±5.3) years (median 15 [11; 16] years), mean weight — (46.7±17.2) kg (median 54 [40.5; 56.5] kg), smallest body weight — 27 kg, size of cysts — (1.8±2.4) cm (median 0.4 [0.4; 2.5] cm). Cystic formations in all patients were located on the left: in the upper pole in 2 patients, in the lower pole in 1 patient. During the surgical intervention, there were no complications in the form of bleeding from the kidney parenchyma or damage to neighbouring organs. Histological analysis revealed that the lining of the cyst wall contained transitional epithelium without signs of malignancy. Duration of surgery was (136.7±72.2) min (median 95 [95; 157] min), duration of patients' stay in the intensive care unit — (19.9±2.5) hours (median21.3 [19.1; 21.4] hours), duration of hospital stay — (9.3±2.3) days (median 8 [8; 10] days). Ultrasound examination made in 1, 3 and 6 months after the surgery revealed no signs of disease recurrence in the form of residual accumulation of fluid associated with kidney parenchyma.
CONCLUSION: The experience described in the article is encouraging and confirms the reasonability and safety of robot-assisted procedures in pediatric urology.
Keywords
Full Text
ОБОСНОВАНИЕ
Почка является одним из наиболее частых органов, в которых у детей образуются кисты. Простая киста почки (ПКП) — полостное образование, находящееся вне и/или внутри почечной паренхимы, не связанное с собирательной системой почки и не ассоциированное с системными заболеваниями (например, поликистоз) [1, 2]. Встречаемость ПКП у взрослых колеблется от 5 до 41% [3], у детей — постепенно увеличивается с возрастом от 0,22 до 0,55% [4]. Большинство ПКП протекают бессимптомно и выявляются случайно, чаще всего при рутинном ультразвуковом исследовании (УЗИ) почек. Тем не менее некоторые ПКП вызывают боль в боку, артериальную гипертензию и крайне редко — почечную недостаточность.
В настоящее время оценка ПКП на предмет риска злокачественного перерождения основывается на рентгенологической классификации M. Bosniak, разработанной для взрослых пациентов и адаптированной для детей [5]. В соответствии с рентгенологическими данными и риском малигнизации ПКП классифицируется по стадиям I–IV. Стадии I–II составляют 95% всех ПКП и считаются простыми или доброкачественными. Стадии III–IV считаются сложными или потенциально злокачественными [6, 7, 10, 11]. Несмотря на редкость, кистозные опухоли почки (кистозные нефромы) были описаны в нескольких исследованиях [7]. Литература содержит неоднородные данные о хирургическом лечении неосложнённых ПКП у детей — данные демонстрируют большой разброс хирургических техник от пункционного лечения до робот-ассистированных операций [12, 13].
Робот-ассистированная хирургия все чаще применяется для лечения широкого спектра хирургических заболеваний у детей, особенно в урологии [8, 9]. Этот метод преодолевает ограничения стандартного лапароскопического доступа и позволяет проводить точное рассечение ткани почки исключительно в аваскулярной зоне. Манёвренность роботических инструментов особенно важна при работе в ограниченном пространстве детского тела и поэтому воспринимается большинством хирургов как основное преимущество робот-ассистированной хирургии. Имеется несколько статей, в которых сообщается о процедуре роботизированной хирургии кистозных поражений почек у детей.
ЦЕЛЬ
Цель исследования — представить наш первый опыт применения роботизированного метода для фенестрации (декортикации) наружной порции кисты и аргон-плазменной коагуляции внутренней выстилки кисты с использованием новой модели роботической системы Versius производства компании Cambridge Medical Robotics (Великобритания).
МЕТОДЫ
Дизайн исследования
В исследовании представлены ретроспективные данные, касающиеся всех пациентов с ПКП, прооперированных с использованием робот-ассистированной технологии в ОГАУЗ «Иркутская государственная областная детская клиническая больница».
Описание медицинского вмешательства
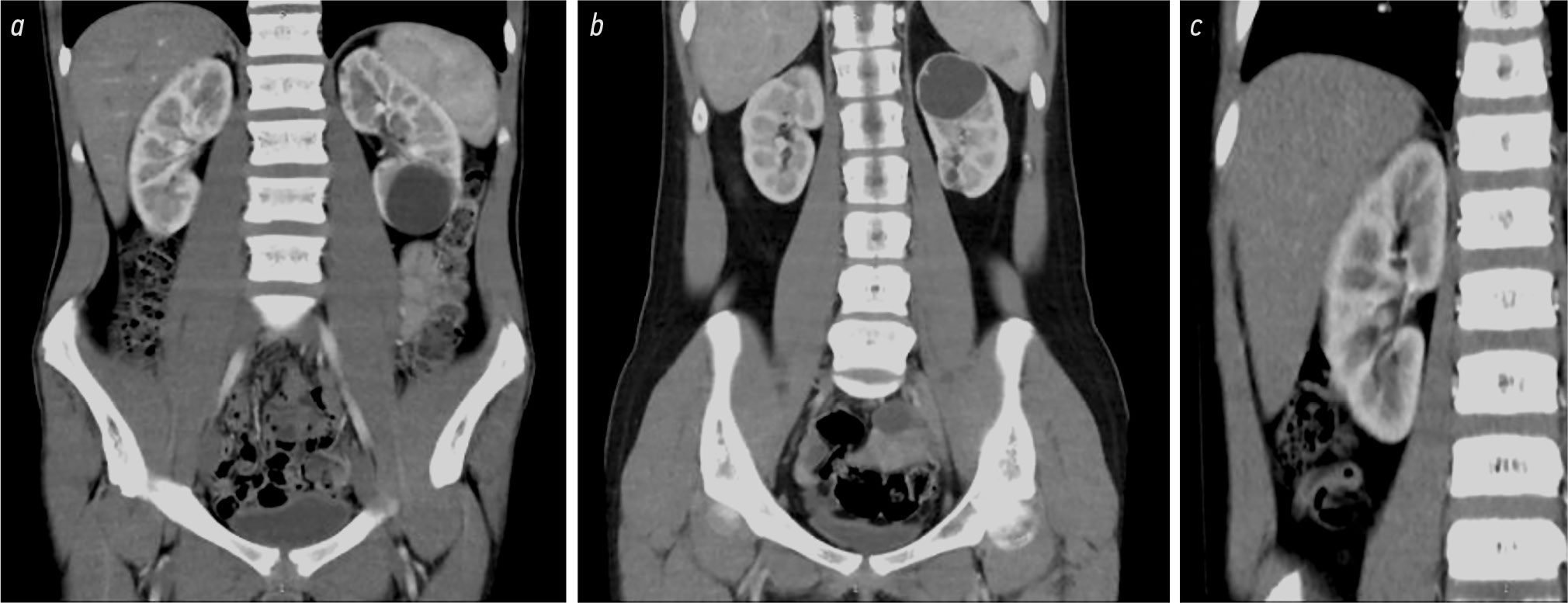
Периоперативные данные пациентов были ретроспективно собраны из историй болезни. Диагноз ПКП был установлен с помощью УЗИ почек, а также данных мультиспиральной компьютерной томографии почек с внутривенным введением контрастного вещества (рис. 1). После получения результатов компьютерной томографии (КТ) все кисты были классифицированы как ПКП II стадии. Показания к операции устанавливались на основании результатов динамического наблюдения и данных УЗИ. При появлении признаков роста ПКП или клинического ухудшения (развитие болевого синдрома, связанного с увеличением кисты), родителям пациентов предлагали операцию. Родители пациентов были информированы о предстоящей операции и дали согласие на проведение процедуры робот-ассистированной декортикации наружной части ПКП и аргон-плазменной коагуляции внутренней выстилки кисты. Технический успех операции определялся как достижение иссечения оболочек кисты почки по границе аваскулярной зоны с возможностью аргон-плазменной коагуляции внутренней выстилки внутрипочечного остатка кисты. Ниже приводится описание деталей операции.
Рис. 1. Компьютерные томограммы пациентов с кистами нижнего и верхнего полюса левой почки: a — пациент № 1, киста нижнего полюса левой почки; b — пациент № 2, киста верхнего полюса левой почки, c — пациент № 3, киста верхнего полюса левой почки.
Fig. 1. Computer tomograms of patients with cysts of the lower and upper poles of the left kidney: a — patient No. 1, cyst of the lower pole of the left kidney; b — patient No. 2, cyst of the upper pole of the left kidney, c — patient No. 3, cyst of the upper pole of the left kidney.
Хирургическая техника
Под общим наркозом пациента укладывают в положение «на боку». Под поясничную область подкладывают валик. Для манипуляций используют хирургическую систему Versius (Cambridge Medical Robotics, Великобритания). Инновационная роботизированная система Versius представляет собой модульную открытую роботическую платформу с инструментами диаметром 5 мм. Обладая несколькими уникальными и расширенными функциями, система Versius обеспечивает ряд преимуществ перед другими роботическими платформами. Инструментальные и визуализационный блоки объединены на колёсной тележке, которая обеспечивает компактность, подвижность и максимальную гибкость использования в операционных. Робот Versius оснащён открытой консолью, которая позволяет хирургам стоять или сидеть, легко общаться с бригадой, а также облегчает преподавание и обучение. Хирург управляет роботизированными манипуляторами с помощью джойстиков, расположенных на консоли. При этом он находится в 3D-очках высокого разрешения и смотрит на монитор, сидя в кресле или на стуле.
Консоль хирурга располагают в операционной так, чтобы хирург-оператор видел пациента боковым зрением постоянно; монитор для хирурга-ассистента — за спиной пациента; визуализационный блок — перед брюшной стенкой пациента. Инструментальные блоки размещают следующим образом: левый, в котором интегрирован биполярный зажим, — перед пациентом; правый, в который установлен диссекционный зажим, — позади пациента таким образом, чтобы не было конфликта между манипуляторами.
Выполняют карбоперитонеум с предустановленными параметрами инсуффляции (поток 5 л/мин, давление 10–12 мм рт. ст.), используя иглу Veress, введённую через пупочный разрез. Этот разрез используют затем для установки оптического 12-мм порта, предназначенного для введения эндоскопа. Два 5-мм инструментальных порта вводят билатерально от оптического так, чтобы соблюдался принцип триангуляции. Следует отметить, что эти два роботических порта располагают как можно дальше друг от друга, желательно так, чтобы дистанция между ними была не менее 6 см, чтобы избежать столкновения манипуляторов. В поясничной области сразу над почечной кистой вводят дополнительный 5-мм порт для установки ассистирующих инструментов — атравматичного зажима и зонда-наконечника для аргон-плазменной коагуляции.
В зависимости от стороны поражения процедуру начинают с мобилизации восходящего или нисходящего отделов толстой кишки, которую затем перемещают медиально, чтобы обнажить почку. После рассечения околопочечной фасции и обнажения кисты оболочку кисты аккуратно надсекают и аспирируют жидкость. Большую часть стенки кисты, возвышающейся над тканью почки, иссекают с помощью биполярного зажима по границе аваскулярной зоны, чтобы предупредить кровотечение из почечной паренхимы, и отправляют на гистологическое исследование (рис. 2). Внутреннюю выстилку кисты подвергают аргон-плазменной коагуляции (рис. 3). В резидуальную полость устанавливают дренажную трубку, которую удаляют, когда прекращается поступление экссудата.
Рис. 2. Робот-ассистированное лечение кисты почки: этап фенестрации наружной порции кисты.
Fig. 2. Robot-assisted treatment of renal cyst: the stage of fenestration of the outer portion of the cyst.
Рис. 3. Робот-ассистированное лечение кисты почки: этап аргон-плазменной коагуляции внутренней порции кисты.
Fig. 3. Robot-assisted treatment of renal cyst: the stage of argon-plasma coagulation of the internal portion of the cyst.
Основной исход исследования
После окончания операции пациенты находились в палате интенсивной терапии в положении на спине с приподнятым головным концом кровати. Сразу после пробуждения больным назначали энтеральную диету. Пациентов переводили в хирургическое отделение, когда они переставали нуждаться в обезболивании и могли принимать полный рацион питания.
Дети находились под наблюдением с обязательным посещением детского хирурга и нефролога через 1, 3 и 6 мес. после операции. Объективная оценка эффективности операции базировалась на остаточном размере кисты.
В ходе исследования регистрировались данные, связанные с демографическими показателями больных, длительностью операции, параметрами восстановления пациентов — длительность пребывания в палате интенсивной терапии, длительность госпитализации, осложнения, возникшие в раннем и отдалённом периоде наблюдения.
Статистический анализ
Статистический анализ данных осуществляли с применением статистического пакета IBM SPSS Statistics v. 19. Ввиду малого числа наблюдений для описания количественных данных использовали среднее арифметическое (M), стандартное отклонение (σ), медиану (Me), первый и третий квартили [Q1; Q3].
РЕЗУЛЬТАТЫ
Демографические характеристики больных представлены в табл. 1.
Таблица 1. Параметры пациентов Table 1. Patient parameters | ||||||
Характеристика | Пациент № 1 | Пациент № 2 | Пациент № 3 | M±σ | Me | [Q1; Q3] |
Возраст, лет | 17 | 15 | 7 | 13±5,3 | 15 | [11; 16] |
Маса тела, кг | 54 | 59 | 27 | 46,7±17,2 | 54 | |
Пол | М | Ж | М | — | — | — |
Диаметр кисты, см | 4,5 | 0,43 | 0,34 | 1,8±2,4 | 0,4 | |
Сторона поражения | Левая | Левая | Левая | — | — | — |
Полюс почки | Нижний | Верхний | Верхний | — | — | — |
Длительность операции, мин | 95 | 95 | 220 | 136,7±72,2 | 95 | [95; 157] |
Длительность пребывания в палате интенсивной терапии, ч | 21,5 | 21,3 | 17 | 19,9±2,5 | 21,3 | |
Длительность госпитализации, сут | 8 | 12 | 8 | 9,3±2,3 | 8 | [8; 10] |
Осложнения | Нет | Нет | Нет | — | — | — |
Примечание. M±σ — среднее арифметическое и стандартное отклонение; Me — медиана; [Q1; Q3] — первый и третий квартили; М — мужской пол; Ж — женский пол. Note. M±σ — arithmetic mean and standard deviation; Me — median; [Q1; Q3] — first and third quartiles; M — male gender; F — female gender. | ||||||
Гематурии, артериальной гипертензии, инфекции мочевыводящих путей или нарушения функции почек не было зарегистрировано до операции. В семейном анамнезе не было случаев поликистоза почек. В ходе хирургического вмешательства не отмечено осложнений в виде кровотечения из паренхимы почек или повреждения соседних органов. Содержимым кисты во всех случаях являлась прозрачная жидкость без патологических примесей. При цитологическом исследовании обнаружено низкое содержание клеток — единичные макрофаги и клетки уротелия. По результатам гистологического анализа, выстилка стенки кисты содержала эпителий переходного типа без признаков злокачественности.
Больных выписывали на амбулаторное наблюдение после того, как на контрольном УЗИ почек переставало определяться накопление патологического экссудата в ложе удалённой кисты. На протяжении всего периода наблюдения пациенты не предъявляли жалоб на дискомфорт и боли в поясничной области. По данным УЗИ, выполненного через 1, 3 и 6 мес. после операции, не обнаружены признаки рецидива заболевания в виде резидуального скопления жидкости, связанного с паренхимой почки.
ОБСУЖДЕНИЕ
ПКП, которые сопровождаются прогрессивным ростом, болью в брюшной полости и осложнениями (кровотечение, инфекция или разрыв) требуют лечения [6]. При выявлении симптоматических ПКП необходимо обязательно идентифицировать характер кисты с точки зрения масс-эффекта и сложного анатомического строения. Последнее является наиболее важным фактором, который позволяет дифференцировать ПКП от новообразований. Классификация M. Bosniak, основанная на данных УЗИ, КТ или магнитно-резонансной томографии, позволяет чётко разделять простые и сложные кисты [5, 7, 10]. Кисты III–IV стадии являются потенциально злокачественными [6, 7, 10, 11]. Вероятность обнаружения гистологических признаков злокачественного новообразования в ПКП стадии I и II незначительна, поэтому полное удаление оболочек кисты у таких пациентов не является обязательным условием.
Чрескожная аспирация под контролем УЗИ или КТ показала высокую частоту рецидивов из-за наличия эпителия, выстилающего стенку кисты и секретирующего жидкость [14, 15]. Применение склерозирующих агентов (тетрациклин, этанол гипертонический раствор натрия хлорида, доксициклин) в качестве дополнительной терапии снизило частоту рецидивов [2]. Однако были описаны серьёзные побочные эффекты этих препаратов: системная абсорбция, кальцификация и боль. Лапароскопическое удаление ПКП показало меньшую частоту рецидивов, минимальную инвазивность и более раннее восстановление пациентов по сравнению с чрескожной пункционной терапией. Аргон-плазменная коагуляция выстилки кисты позволила свести рецидивы к минимуму [14].
Робот-ассистированное лечение ПКП у детей представлено в малом числе научных работ [3, 15]. В основном это связано с тем, что только ограниченный круг детских хирургов имеет доступ к хирургическому роботу. Очевидно, что робототехника обеспечивает точное и осторожное рассечение тканей. Если проанализировать время операции, то роботизированный доступ быстрее лапароскопического, но подготовка пациента, время стыковки инструментов и их удаление все ещё больше, чем длительность подготовки к стандартной лапароскопической операции.
Впервые об успешном опыте робот-ассистированного лечения ПКП сообщили C. Esposito и соавт., выполнив хирургические вмешательства у 3 мальчиков. Средний возраст пациентов составил 10,3 года (от 6 до 15 лет). Средний диаметр кисты, измеренный до операции, составлял 70 мм (от 42 до 90 мм). Все кисты были идентифицированы как ПКП стадии II. Показаниями к операции являлись периодические боли в боку и нарастание размеров кисты. Среднее время операции составило (75±11) мин, включая длительность основного этапа хирургического вмешательства и продолжительность стыковки робота. Интра- и послеоперационных осложнений не отмечалось [16]. Позже Y. Wang и соавт. представили клинический случай успешной роботизированной декортикации кисты почки и дивертикула чашечки у подростка [3].
В этих сообщениях описывается сочетание резекционных и абляционных процедур — удаление кровли кисты и аргон-плазменная коагуляция дна кисты. Роботизированное лечение ПКП может восприниматься как избыточное использование дорогой технологии, которая может быть финансово невыгодной для таких случаев, но робот — отличный инструмент для лечения сложных случаев множественных кист почек и прекрасная стартовая площадка для освоения роботических процедур у детей.
Клинические случаи робот-ассистированного лечения ПКП у детей демонстрируют, что роботизированный подход является осуществимым и эффективным, поскольку достигнута основная цель — обеспечение 3-мерного визуального контроля целевой анатомии хирургического вмешательства и безопасное удаление патологического образования по краю аваскулярной зоны паренхимы, благодаря манёвренности роботических инструментов.
Как известно, подобных случаев в научной литературе было зарегистрировано немного из-за низкой заболеваемости у детей, поэтому наше сообщение поможет собрать дополнительные доказательства осуществимости и безопасности робот-ассистированной технологии у детей с заболеваниями мочевыделительной системы. Наше исследование имеет ограничения, связанные с малым количеством пациентов (n=3) и относительно коротким средним периодом наблюдений (6 мес.). Несмотря на это, мы представили убедительные данные о том, что роботизированный подход при резекции ПКП сопровождается приемлемыми послеоперационными результатами. Мы ожидаем, что эти результаты будут подтверждены долгосрочным наблюдением за пациентами и новыми случаями лечения.
ЗАКЛЮЧЕНИЕ
Представленные случаи открывают для читателя возможности нового продвинутого метода лечения ПКП и позволяют критически оценить возможности робот-ассистированной хирургии в исправлении аномалий мочевыделительной системы. Описанный опыт является обнадёживающим, подтверждающим целесообразность и безопасность робот-ассистированных процедур в детской урологии. Роботизированная хирургия — чрезвычайно полезный хирургический метод, отличающийся превосходной 3-мерной визуализацией и визуализацией высокого разрешения. Она обеспечивает больший, чем при лапароскопии, диапазон движений, контроль тремора рук хирурга и 7 степеней свободы движений инструментов. Тем не менее, прежде чем приступить к этому типу вмешательств, нужно овладеть навыками роботизированной хирургии на симуляторах и тщательно отбирать пациентов для первых операций.
ДОПОЛНИТЕЛЬНАЯ ИНФОРМАЦИЯ
Источник финансирования. Статья публикуется без спонсорской поддержки.
Конфликт интересов. Авторы заявляют об отсутствии явных и потенциальных конфликтов интересов.
Вклад авторов. Все авторы подтверждают соответствие своего авторства международным критериям ICMJE. Наибольший вклад распределён следующим образом: Ю.А. Козлов — хирургическое лечение пациента, сбор и анализ литературных источников, написание и редактирование статьи; С.С. Полоян, С.А. Муравьев, А.С. Страшинский — сбор и анализ литературных источников; Э.В. Сапухин — хирургическое лечение пациента; М.В. Макарочкина — курация пациента, редактирование статьи; А.А. Марчук — курация пациента; А.П. Рожанский — сбор и анализ литературных источников, написание текста и редактирование статьи.
Этическая экспертиза. Протокол исследования был одобрен локальным этическим комитетом ГБУЗ «Иркутская государственная областная детская клиническая больница» (№ 4/15/2023. Дата подписания 01.06.2023).
Согласие на публикацию. Авторы получили письменное согласие законных представителей пациентов на публикацию медицинских данных в обезличенной форме в журнале «Детская хирургия».
ADDITIONAL INFORMATION
Funding source. The publication had no sponsorship.
Competing interests. The authors claim that there is no conflict of interest in the article.
Authors’ contribution. All authors confirm compliance of their authorship with the international ICMJE criteria. The largest contribution is distributed as follows: Yu.A. Kozlov — surgical treatment of the patient, collection and analysis of literary sources, manuscript writing and editing; S.S. Poloyan, A.S. Strashinsky, S.A. Muravev — collection and analysis of literary sources; E.V. Sapukhin — surgical treatment of the patient; M.V. Makarochkina — patient supervision, manuscript editing; A.A. Marchuk — patient supervision; A.P. Rozhanski — collection and analysis of literary sources, writing the text and editing the article.
Ethics approval. The present study protocol was approved by the local Ethics Committee of the Children's Regional Clinical Hospital (No. 4/15/2023. Date of signing 06.01.2023).
Consent for publication. Written consent was obtained from the representatives of the patients for publication of relevant medical information and all of accompanying images within the manuscript.
About the authors
Yury A. Kozlov
Children's Regional Clinical Hospital; Irkutsk State Medical Academy of Postgraduate Education; Irkutsk State Medical University
Author for correspondence.
Email: yuriherz@hotmail.com
ORCID iD: 0000-0003-2313-897X
SPIN-code: 3682-0832
MD, Dr. Sci. (Medicine), Professor, Corresponding Member of the Russian Academy of Sciences
Russian Federation, Irkutsk; Irkutsk; IrkutskSimon S. Poloyan
Children's Regional Clinical Hospital; Irkutsk State Medical University
Email: simonpoloyan@ya.ru
ORCID iD: 0000-0001-7042-6646
MD
Russian Federation, Irkutsk; IrkutskEduard V. Sapukhin
Children's Regional Clinical Hospital
Email: sapukhin@yandex.ru
ORCID iD: 0000-0001-5470-7384
MD
Russian Federation, IrkutskAlexey S. Strashinsky
Children's Regional Clinical Hospital
Email: leksus-642@yandex.ru
ORCID iD: 0000-0002-1911-4468
MD
Russian Federation, IrkutskMarina V. Makarochkina
Children's Regional Clinical Hospital
Email: m.makarochkina@gmail.com
ORCID iD: 0000-0001-8295-6687
SPIN-code: 4600-4071
MD
Russian Federation, IrkutskAndrey A. Marchuk
Children's Regional Clinical Hospital
Email: maa-ped20@yandex.ru
ORCID iD: 0000-0001-9767-0454
MD
Russian Federation, IrkutskAlexander P. Rozhanski
Irkutsk State Medical University
Email: alexanderozhanski@mail.ru
ORCID iD: 0000-0001-7922-7600
MD
Russian Federation, IrkutskSergey A. Muravev
Irkutsk State Medical University
Email: muravev1999sergey@mail.ru
ORCID iD: 0000-0003-4731-7526
MD
Russian Federation, IrkutskReferences
- Akramov NR, Baibikov RS. Modern surgical approaches in treatment of simple solitary, multilocular, multiple cysts and polycystic kidney disease in children. Kazan Med J. 2016;(1):95–101. EDN: VGSRKH doi: 10.17750/KMJ2016-95
- Bisceglia M, Galliani CA, Senger C, et al. Renal cystic diseases: A review. Adv Anat Pathol. 2006;13(1):26–56. doi: 10.1097/01.pap.0000201831.77472.d3
- Wang YC, Xia JD, Zhang QJ, et al. Robotic renal cyst decortication with calyceal diverticulectomy in a toddler-technical practicalities: A case report. J Med Case Rep. 2018;12(1):284. EDN: CUGZJN doi: 10.1186/s13256-018-1830-9
- Agarwal MM, Hemal AK. Surgical management of renal cystic disease. Curr Urol Rep. 2011;12(1):3–10. doi: 10.1007/s11934-010-0152-2
- Bosniak MA. The Bosniak renal cyst classification: 25 Years later. Radiology. 2012;262(3):781–785. doi: 10.1148/radiol.11111595
- Eroglu FK, Kargın Çakıcı E, Can G, et al. Retrospective analysis of simple and stage II renal cysts: Pediatric nephrology point of view. Pediatr Int. 2018;60(12):1068–1072. doi: 10.1111/ped.13714
- Peng Y, Jia L, Sun N, et al. Assessment of cystic renal masses in children: Comparison of multislice computed tomography and ultrasound imaging using the Bosniak classification system. Eur J Radiol. 2010;75(3):287–292. doi: 10.1016/j.ejrad.2010.05.035
- Denning NL, Kallis MP, Prince JM. Pediatric robotic surgery. Surg Clin North Am. 2020;100(2):431–443. doi: 10.1016/j.suc.2019.12.004
- Shen LT, Tou J. Application and prospects of robotic surgery in children: A scoping review. World J Pediatr Surg. 2022;5(4):e000482. EDN: LSWTQW doi: 10.1136/wjps-2022-000482
- Wallis MC, Lorenzo AJ, Farhat WA, et al. Risk assessment of incidentally detected complex renal cysts in children: Potential role for a modification of the Bosniak classification. J Urol. 2008;180(1):317–321. doi: 10.1016/j.juro.2008.03.063
- Skolarikos A, Laguna MP, de la Rosette JJ. Conservative and radiological management of simple renal cysts: A comprehensive review. BJU Int. 2012;110(2):170–178. doi: 10.1111/j.1464-410X.2011.10847.x
- Vrublevskaya EN, Kovarsky SL, Vrublevsky SG, et al. Diagnostics and tactics of surgical treatment of children with solitary cortical cyst lesions. Bulletin Russ State Med Univer. 2010;(4):25–29. EDN: NHKFWH
- Wang ZT, Chan EP, Vanin Moreno N, et al. What to do with renal cysts in children? Urology. 2020;(140):138–142. doi: 10.1016/j.urology.2020.03.001
- Stalmakhovich VN, Angarkhaeva LV, Yakovchenko SN. Comparative analysis of surgical treatment outcomes in children with solitary renal cysts. Russ J Pediatric Surg Anesthesia Intensive Care. 2019;9(4):57–68. EDN: HBHMCB doi: 10.30946/2219-4061-2019-9-4-57-68
- Vrublevsky SG, Kovarsky SL, Menovshchikova LB, et al. Applicaion of the puncture method of treatment of simple renal cysts in children. Detskaya khirurgiya (Russian Journal of Pediatric Surgery). 2008;(1):16–18. EDN: TKTZTH
- Esposito C, Settimi A, del Conte F, et al. Image-guided pediatric surgery using Indocyanine Green (ICG) fluorescence in laparoscopic and robotic surgery. Front Pediatr. 2020;(8):314. EDN: SPWRYD doi: 10.3389/fped.2020.00314
Supplementary files







