A diffuse scalp neurofibroma in a 4-year-old child
- Authors: Kletskaya I.S.1, Serebrennikova P.A.1, Gassan T.A.1, Narbutov A.G.1, Makarova O.V.1
-
Affiliations:
- N.I. Pirogov Russian National Research Medical University
- Issue: Vol 28, No 4 (2024)
- Pages: 384-391
- Section: Case reports
- Submitted: 03.08.2023
- Accepted: 08.07.2024
- Published: 09.09.2024
- URL: https://jps-nmp.ru/jour/article/view/706
- DOI: https://doi.org/10.17816/ps706
- ID: 706
Cite item
Full Text
Abstract
BACKGROUND: Structures resembling Meissner's tactile corpuscles have been revealed in various peripheral nerve tumors, including schwannomas and neurofibromas, as well as in congenital melanocytic nevi and neural crest hamartomas. As a rule, Meissner's tactile corpuscles are few in number, but in rare cases they represent the predominant component of the formation tissue.
CLINICAL CASE DESCRIPTION: The authors describe a case of their observation: a 4 y.o. patient with diffuse neurofibroma consisting of structures resembling tactile corpuscles. Clinically, this fibroma looked like a defect in the occipital soft tissue region with excessive folding and alopecia. At the histological examination, the dermis and subcutaneous adipose tissue were seen involved in the pathological process. The formation tissue consisted mostly of "neuroid" structures resembling tactile corpuscles located among fibroblast-like cells with mast cell admixture in the infiltrate. An immunohistochemical examination revealed expression of S100 in them, EMA, GLUT1 in the perineuria, and CD34 in the stroma. Melanocytic marker (MelanA, HMB45) expression was not detected.
CONCLUSION: The case presented by the authors is of interest to professionals due to the rarity of this morphological variant, difficulties of clinical and histological differential diagnostics with other tumors and tumor-like processes in children.
Full Text
Обоснование
Нейрофибромы (НФ) кожи — распространённые доброкачественные опухоли периферических нервов. Они могут возникать спорадически или ассоциироваться с нейрофиброматозом I типа. Существуют следующие подтипы НФ: солитарная, диффузная, плексиформная, меланотическая.
Макроскопически НФ представляет собой плотное гомогенное образование белесоватого цвета. Диффузная НФ проявляется диффузным утолщением кожи и подкожной жировой ткани. Плексиформная НФ характеризуется наличием многочисленных утолщённых крупных сегментов периферических нервов. Диффузные и плексиформные НФ могут содержать пигмент.
Гистологически НФ — неинкапсулированные опухоли, построенные из веретеновидных клеток, коллагеновых волокон, отмечается инфильтрация лимфоцитами и тучными клетками [1]. Придатки кожи, как правило, интактны. НФ построены из веретеновидных клеток с тонкими извитыми гиперхромными ядрами и небольшим количеством слабоэозинофильной цитоплазмы. Может отмечаться наличие обильного внеклеточного муцина, фибролипоматоз стромы. Диффузная НФ инфильтрирует дерму и подкожную жировую ткань, оплетая придатки кожи. Плексиформная НФ состоит из крупных причудливо извитых нервов, расширенных за счёт пролиферации аксонов, шванновских клеток и фибробластов.
Иногда в составе НФ встречаются структуры, напоминающие осязательные (мейсснеровы) тельца, также именуемые псевдомейсснеровыми тельцами, как правило, они определяются фокально или рассеяны в структуре образования.
Осязательные тельца были впервые описаны анатомами G. Meissner и R. Wagner. Тельца представляют собой специализированные механорецепторы, расположенные в сосочках дермы акральной кожи и в структуре некоторых слизистых оболочек. Гистологически осязательные тельца представляют собой овоидные структуры диаметром 20–40 мкм и длиной 30–150 мкм. Они покрыты характерной пластинчатой капсулой, в центре структур определяется слабоэозинофильный волокнистый материал (нервные волокна), ядра располагаются на периферии. Считается, что псевдомейсснеровы тельца сформированы клетками периневрия и клетками, напоминающими шванновские. Ультраструктурные исследования показали структурную схожесть нормальных и неопластических осязательных телец, однако последние, расположенные в нетипичных местах, нефункциональны [2].
В редких случаях, НФ кожи демонстрируют более выраженную псевдомейсснерову дифференцировку [3]. Ниже представлено описание собственного наблюдения редкого случая диффузной НФ кожи, построенной практически исключительно из структур, напоминающих осязательные тельца.
Описание клинического случая
Пациент А. (4 года) в ноябре 2020 года впервые обратился в отделение микрохирургии № 1 Российской детской клинической больницы с жалобами на избыточность тканей в затылочной области, складчатость кожи, очаговую алопецию. Болен с рождения, наблюдался по месту жительства — отмечался прогрессирующий рост образования. По данным биопсии, данных за злокачественный процесс не обнаружено. Специфического лечения не получал (рис. 1).
Рис. 1. Вид пациента в возрасте 1 мес.
Fig. 1. View of the patient at the age of 1 month.
Результаты физикального, лабораторного и инструментального исследования
По данным физикального осмотра в правой височной и затылочной областях определяется участок изменённых покровных тканей размерами около 15×12 см с усиленным сосудистым рисунком, гипотрофия покровных тканей, отсутствие роста волос. Признаков воспаления нет. Других заболеваний не выявлено. Семейный анамнез не отягощён (рис. 2).
Рис. 2. Вид пациента в возрасте 6 мес.
Fig. 2. View of the patient at the age of 6 months.
Учитывая данные физикального осмотра и анамнеза поставлен предварительный клинический диагноз «редуцированная гемангиома (?) волосистой части головы; вторичная рубцовая алопеция; атрофия кожи волосистой части головы».
Лечение
Выполнен первый этап хирургического лечения — имплантация двух эндоэкспандеров под кожу головы (рис. 3). Послеоперационный период протекал без особенностей. Пациент выписан на 7 послеоперационные сутки в удовлетворительном состоянии, направлен на амбулаторный этап лечения (введение 0,9% раствора NaCl в эндоэкспандеры). На этапе тканевого растяжения отмечена гиперэластичность кожи, что проявилось коротким периодом растяжения покровных тканей без трофических нарушений.
Рис. 3. Вид пациента после первого этапа хирургического лечения — экспандерной дерматензии.
Fig. 3. View of the patient after the first stage of surgical treatment — expander dermatension.
Через 2 мес. после первой операции, в январе 2021 года, пациент повторно госпитализирован в отделение реконструктивно-пластической хирургии для этапного хирургического лечения. Вторым этапом была проведена операция — иссечение деформирующих рубцов затылочной области, пластика местными тканями. При иссечении патологических тканей отмечена сохранность костей черепа и надкостницы, что указывает на поражение исключительно покровных тканей. Иссечённый участок тканей отправлен на гистологическое исследование.
Макроскопическое описание
Участок кожи неправильной формы, размерами 16×10×1 см. Поверхность кожи бежевого цвета с рубцовыми изменениями. Подкожная жировая клетчатка утолщена.
Микроскопическое описание
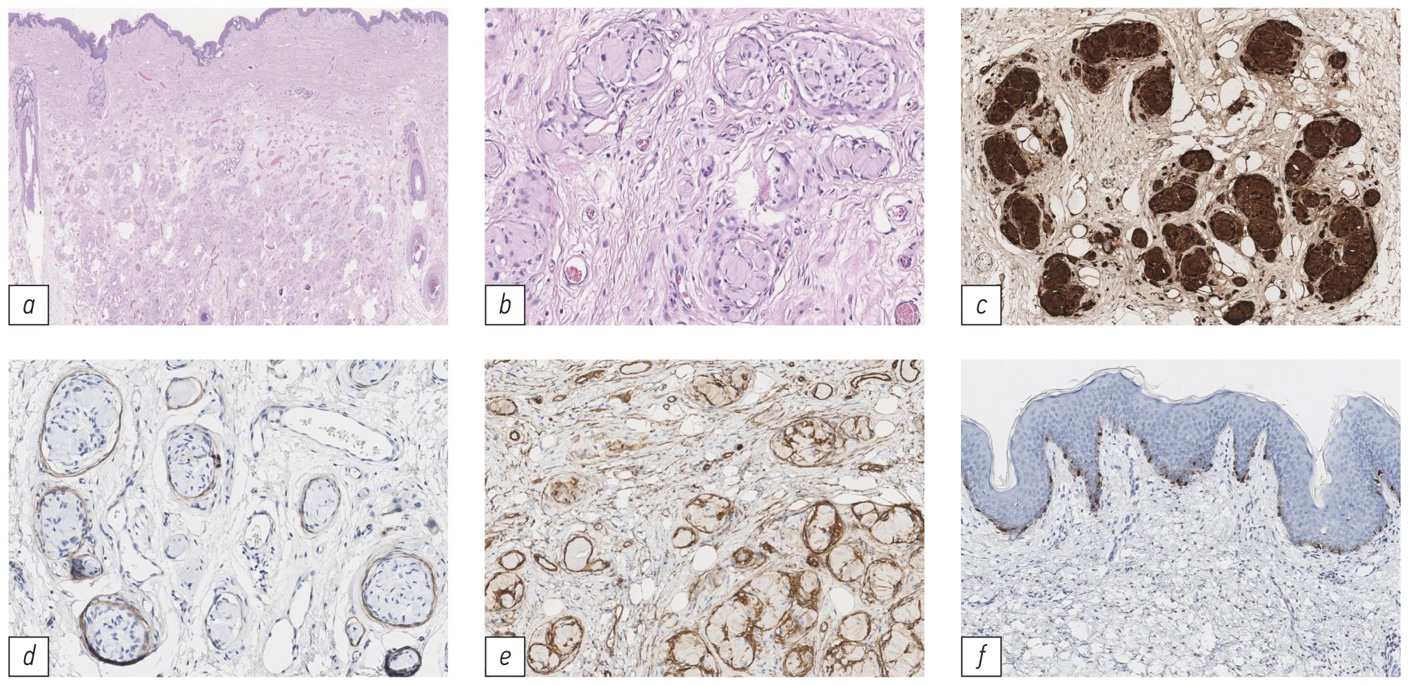
В исследованном материале участок кожи с очаговыми рубцовыми изменениями. По глубокому краю резекции распространённое продуктивное воспаление с очаговой синовиальной метаплазией. Дерма очагово замещена гипоклеточной волокнистой соединительной тканью, в структуре которой располагаются многочисленные «невроидные» структуры, напоминающие осязательные тельца. Строма с очаговым муцинозом и липоматозом, отмечается повышение количества тучных клеток. Митотическая активность не определяется. Цитологическая атипия не выявлена. Проведено иммуногистохимическое исследование с антителами к MelanA, НМВ45 (количество меланоцитов базального слоя эпидермиса не повышено, в опухоли реакция негативная), Sox10, S100 (экспрессия в строме и осязательных тельцах), эпителиальному мембранному антигену, однонаправленному белку-переносчику глюкозы (экспрессия в капсуле осязательных телец). Отмечается экспрессия CD34 в дермальных фибробластах с формированием паттерна, напоминающего «отпечаток пальца». Экспрессия панцитокератина в эпидермисе и придатках кожи (рис 4, a–e).
Рис. 4. Экспрессия панцитокератина в эпидермисе и придатках кожи: a — участок кожи с многочисленными концентрическими структурами в дерме и подкожной жировой клетчатке (окраска гематоксилином и эозином, увеличение ×40); b — многочисленные структуры, напоминающие осязательные тельца Мейснера (окраска гематоксилином и эозином, увеличение ×200); c — экспрессия S100 в «невроидных» структурах (иммуногистохимическое исследование, увеличение ×250); d — экспрессия EMA в периневрии, окружающем «невроидные» структуры (иммуногистохимическое исследование, увеличение ×350); e — экспрессия CD34 в строме с формированием паттерна, напоминающего «отпечаток пальца» (иммуногистохимическое исследование, увеличение ×250); f — экспрессия HMB45 в меланоцитах базального слоя эпидермиса, количество меланоцитов увеличено (иммуногистохимическое исследование, увеличение ×350).
Fig. 4. Expression of pancytokeratin in the epidermis and skin appendages: a — skin area with numerous concentric structures in the dermis and subcutaneous fat (hematoxylin and eosin staining, magnification ×40); b — numerous structures resembling tactile Meissner corpuscles (hematoxylin and eosin staining, magnification ×200); c — expression of S100 in “neuroid” structures (immunohistochemical staining, magnification ×250); d — EMA expression in the perineurium surrounding the “neuroid” structures (immunohistochemical study, magnification ×350); e — expression of CD34 in the stroma with the formation of a pattern resembling a “fingerprint” (immunohistochemical staining, magnification ×250); f — expression of HMB45 in melanocytes of the basal layer of the epidermis, melanocytes number is not increased (immunohistochemical staining, magnification ×350).
Исход и результаты последующего наблюдения
Пациент выписан на 3 послеоперационные сутки в удовлетворительном состоянии. Швы сняты во время планового осмотра на 7 послеоперационные сутки (рис. 5). Повторного обращения в клинику не было.
Рис. 5. Вид пациента на 7 послеоперационные сутки после второго этапа лечения.
Fig. 5. View of the patient on the 7th postoperative day after the second stage of treatment.
Таким образом, благодаря двухэтапной хирургической методике достигнут не только хороший эстетический результат с восстановлением волосяного покрова на всей площади головы, но и полностью иссечено патологическое образование затылочной области (рис. 6).
Рис. 6. Вид пациента спустя 6 мес. после завершения лечения.
Fig. 6. Patient in 6 months after the complete course of treatment.
Обсуждение
Доброкачественные образования кожи волосистой части головы у детей при сходной клинической картине могут иметь различный гистогенез. Избыток кожи в сочетании с очаговой алопецией встречается при ряде патологических состояний: невусе сальных желёз (Ядассона), врождённой аплазии кожи, менинготелиальной гамартоме (рудиментарном менингоцеле). Избыток кожи без сопутствующей алопеции может встречаться при врождённом меланоцитарном невусе (ВМН). В частности, в церебриформных внутридермальных ВМН, а также в результате инволюции инфантильной или врождённой гемангиомы [3].
В данном случае биопсия образования позволила в первую очередь исключить невус сальных желёз Ядассона, врождённую аплазию кожи, менинготелиальную гамартому, сосудистые аномалии и сузить круг дифференциальной диагностики до новообразований, потенциально способных содержать структуры, напоминающие осязательные тельца.
Существуют многочисленные описания немногочисленных псевдомейсснеровых телец в составе доброкачественных опухолей оболочек периферических нервов. Как правило, их обнаруживают в диффузных и плексиформных НФ. Аналогичные структуры были обнаружены в травматических невромах. Описаны признаки осязательной дифференцировки в некоторых шванномах, получивших название неврилеммома Вагнера-Мейсснера [4, 5]. Кроме того, признаки «невроидной» дифференцировки нередко присутствуют в глубоких участках врождённых и приобретённых меланоцитарных невусов, представляя собой результат «созревания» — приобретения невусными клетками дермального компонента веретеновидной формы и способности к синтезу коллагена («шванновской метаплазии»). Также осязательные тельца были описаны в структуре гамартомы нервного гребешка (ГНГ) [6].
ВМН встречаются у 1 из 1000 новорождённых, их размер может варьировать от малого до гигантского. ВМН имеют типичные гистологические особенности — для них характеры папилломатоз и гиперкератоз эпидермиса, линейный характер роста, глубокое распространение, тенденция к периаднексальной и периваскулярной группировке, «созревание» (снижение градиента клеточной плотности вглубь, утрата невусными клетками способности к синтезу пигмента, приобретение веретеновидной формы и способности к синтезу коллагена) [1]. Иногда в глубоких участках дермального компонента встречаются так называемые «невроидные» структуры, напоминающие осязательные тельца или симулирующие доброкачественные опухоли периферических нервов. В приведённом случае гнёзда невусных клеток в биоптате отсутствовали, в том числе при иммуногистохимическом исследовании с антителами к HMB5 и MelanA, а количество меланоцитов базального слоя эпидермиса оставалось нормальным (рис. 4, f). Кроме того, в невусах не определяется характерный для НФ напоминающий «отпечаток пальца» паттерн экспрессии CD34 (рис. 4, e) [1], формируемый за счёт расположения CD34+ периневральных фибробластов между шванновскими клетками.
ГНГ — редкое заболевание, которое может быть как врождённым, так и приобретённым. Принято считать, что ГНГ возникает в результате аберрантной дифференцировки нейромезенхимы, так как компоненты гамартомы представляют собой спектр производных нервного гребешка. Так, в состав ГНГ входят меланоциты, шванновские клетки, фибробласты. В литературе описаны случаи ГНГ, содержащих участки хрящевой и костной ткани [7], многочисленные нервные стволики и скопления шванновских клеток [8, 9], случаи с выраженной периневриальной дифференцировкой [10]. Наличие структур, напоминающих осязательные тельца, было отмечено в отдельных случаях ГНГ [6], однако случаи, в которых данный компонент преобладал, в литературе описаны не были.
Таблица 1. Дифференциальная диагностика опухолей, содержащих структуры, напоминающие осязательные тельца
Table 1. Differential diagnosis of tumors containing structures resembling tactile corpuscles
Показатели / Indicators | Нейрофибромы/ Neurofibromas | Врождённые меланоцитарные невусы с «невротизацией» / Congenital melanocytic nevi with “neurotization” | Гамартома нервного гребешка / Neural crest hamartoma |
Шванновская дифференцировка / Schwann cell differentiation | + | + | + |
Меланоцитарный компонент / Melanocytic component | − | + | + |
Юнкциональный компонент / Borderline component | − | ± | − |
«Созревание» меланоцитарного компонента / «Maturation» of the melanocytic component | − | + | − |
Снижение количества волосяных фолликулов в опухоли / Reduction of hair follicles in tumors | + | − | + |
Повышенное количество стромального муцина / Increased amount of stromal mucin | + | − | + |
Повышенное количество тучных клеток / Increased mast cell count | + | + | + |
Веррукозная гиперплазия эпидермиса / Epidermodysplasia verruciformis | − | + | + |
Осязательные тельца / Tactile corpuscles | + | + | + |
Дифференциальная диагностика между вышеописанными патологическими состояниями представлена в табл. 1. Во всех перечисленных новообразованиях содержатся элементы со шванновской дифференцировкой. Отличительной особенностью НФ в перечисленном спектре будет являться отсутствие меланоцитов (в том числе и при иммуногистохимическом исследовании с меланоцитарными маркерами HMB45 и MelanA), при этом в ВМН могут определяться невусные клетки в юнкциональной зоне (области эпидермодермального соединения), а в ГНГ меланоциты распределены интрадермально в структуре образования. По данным литературы, алопеция или снижение количества волосяных фолликулов может сопровождать опухоли периферических нервов и встречаться в ГНГ, а ВМН, напротив, часто покрыты волосами, алопеция для них не характерна. Изменения эпидермиса в виде реактивной веррукозной гиперплазии характерны для ВМН и ГНГ, но не для НФ. НФ и ГНГ, в отличие от ВМН, содержат вариабельное количество стромального муцина, выявить который можно при помощи гистохимической окраски альциановым синим. Повышенное количество тучных клеток в строме не является патогномоничным ни для одного из перечисленных новообразований.
Таким образом, был поставлен окончательный диагноз «диффузная НФ кожи, построенная из структур, напоминающих осязательные тельца кожи волосистой части головы».
Заключение
Данное клиническое наблюдение представляет особый интерес как с точки зрения хирургической тактики, так и в связи с особенностями гистологического строения — опухоль построена исключительно из псевдомейсснеровых телец, что затрудняет интерпретацию, особенно в объёме диагностической биопсии, создаёт сложности дифференциальной диагностики с клинико-морфологическими «двойниками» — врождёнными меланоцитарными невусами с «невротизацией», другими доброкачественными опухолями периферических нервов, ГНГ. Для уточнения диагноза в части случаев могут быть необходимы дополнительные исследования: иммуногистохимическое, а в части случаев — молекулярно-генетическое.
Для хирургов данная патология интересна благодаря своей малой частоте встречаемости и локализации. Несмотря на то, что показания для экстренного хирургического вмешательства отсутствуют, следует помнить, что в случае вовлечения в патологический процесс волосистой части головы (косметически значимая область), важно своевременно восстановить волосяной покров на всей площади головы, чтобы исключить негативные психологические факторы для ребёнка.
Дополнительная информация
Источник финансирования. Статья публикуется без спонсорской поддержки.
Конфликт интересов. Авторы заявляют об отсутствии явных и потенциальных конфликтов интересов.
Вклад авторов. Все авторы подтверждают соответствие своего авторства международным критериям ICMJE. Наибольший вклад распределён следующим образом: Серебренникова П.А., Клецкая И.С. — концепция и дизайн исследования, сбор и обработка материала, написание статьи, редактирование текста; Гассан Т.А. — концепция и дизайн исследования, сбор и обработка материала, редактирование текста; Нарбутов А.Г. — сбор и обработка материала, редактирование текста; Макарова О.В. — сбор и обработка материала.
Согласие на публикацию. Авторы получили письменное согласие законного представителя пациента на публикацию медицинских данных в обезличенной форме в журнале «Детская хирургия». Дата подписания 03.08.2023.
Additional information
Funding source. The publication had no sponsorship.
Competing interests. The authors claim that there is no conflict of interest in the article.
Authors’ contribution. All authors confirm compliance of their authorship with the international ICMJE criteria. The largest contribution is distributed as follows: Serebrennikova P.A., Kletskaya I.S. — concept and design of the study, collection and processing of material, manuscript writing, editing; Gassan T.A. — concept and design of the study, collection and processing of material, manuscript editing; Narbutov A.G. — collection and processing of material, manuscript editing; Makarova O.V. — collection and processing of material.
Consent for publication. Written consent was obtained from the representative of the patient for publication of relevant medical information and all of accompanying images in anonymized form within the manuscript in the journal Russian Journal of Pediatric Surgery. Date of signing 03.08.2023.
About the authors
Iryna S. Kletskaya
N.I. Pirogov Russian National Research Medical University
Author for correspondence.
Email: ikletskaya@gmail.com
ORCID iD: 0000-0002-8552-7682
SPIN-code: 1046-3870
MD
Россия, 117 Leninskiy avenue, 119571 MoscowPolina A. Serebrennikova
N.I. Pirogov Russian National Research Medical University
Email: blackbutlers@yandex.ru
ORCID iD: 0000-0002-9317-1671
SPIN-code: 7630-4720
MD
Россия, 117 Leninskiy avenue, 119571 MoscowTatiana A. Gassan
N.I. Pirogov Russian National Research Medical University
Email: tatgassan@mail.ru
ORCID iD: 0000-0001-7322-2892
MD, Dr. Sci. (Medicine), Professor
Россия, 117 Leninskiy avenue, 119571 MoscowAnton G. Narbutov
N.I. Pirogov Russian National Research Medical University
Email: anarbutov@mail.ru
ORCID iD: 0000-0003-0168-8671
MD, Cand. Sci. (Medicine)
Россия, 117 Leninskiy avenue, 119571 MoscowOlga V. Makarova
N.I. Pirogov Russian National Research Medical University
Email: makarovao77@mail.ru
ORCID iD: 0009-0002-7497-3502
MD
Россия, 117 Leninskiy avenue, 119571 MoscowReferences
- Elder D, Massi D, Scolyer R, Willemze R. WHO classification of skin tumours, 4th edition. WHO Press; 2018.
- Watabe K. Immunohistochemical and ultrastructural studies on tactile-like corpuscles in neurofibromas. No To Shinkei. 1985;37(8):799–807. (In Japan)
- Sode T, Kunzler E, Uzoma B, et al. A meissnerian neurofibroma: Case report of a rare neurofibroma variant. J Cutan Pathol. 2020;47(10):967–969. doi: 10.1111/cup.13759
- Hill RP. Neuroma of Wagner-Meissner tactile corpuscles. Cancer. 1951;4(4):879–882. doi: 10.1002/1097-0142(195107)4:4<879::aid-cncr2820040425>3.0.co;2-2
- Kaiserling E, Geerts ML. Tumour of Wagner-Meissner touch corpuscles. Wagner-Meissner neurilemmoma. Virchows Arch A Pathol Anat Histopathol. 1986;409(2):241–250. doi: 10.1007/BF00708331
- Smith KJ, Mezebish D, Williams J, et al. The spectrum of neurocristic cutaneous hamartoma: Clinicopathologic and immunohistochemical study of three cases. Ann Diagn Pathol. 1998;2(4):213–223. doi: 10.1016/s1092-9134(98)80010-5
- Stieler KM, Rowert-Huber J, Vogt A, et al. Cutaneous cephalic neurocristic hamartoma on the head with melanocytic, cartilage, blood vessel, neural, and bony tissue. Am J Dermatopathol. 2021;43(4):284–286. doi: 10.1097/DAD.0000000000001826
- Karamitopoulou-Diamantis E, Paredes B, Vajtai I. Cutaneous neurocristic hamartoma with blue naevus-like features and plexiform dermal hyperneury. Histopathology. 2006;49(3):326–328. doi: 10.1111/j.1365-2559.2006.02459.x
- Turel MK, Chacko G, Raja A, Scheithauer BW. Neurocristic cutaneous hamartoma of the scalp. J Pediatr Neurosci. 2012;7(3): 181–184. doi: 10.4103/1817-1745.106473
- Wong J, Roy SF, Kokta V. Neurocristic cutaneous hamartoma with perineuriomatous differentiation: Can it be distinguished from perineuriomatous melanocytic nevi? Am J Dermatopathol. 2021;43(10):757–758. doi: 10.1097/DAD.0000000000001934
Supplementary files









