The effectiveness of video-assisted thoracoscopic sanitation of the pleural cavity in combination with local proteolytic therapy in children with acute pleural empyema
- Authors: Barova N.K.1,2, Egiev I.K.1,2, Grigorova A.N.1, Ubilava I.A.2, Stryukovsky A.E.1, Nadgeriev V.M.1, Starchenko V.M.1
-
Affiliations:
- Kuban State Medical University
- Children's Regional Clinical Hospita
- Issue: Vol 28, No 2 (2024)
- Pages: 133-142
- Section: Original Study Articles
- Submitted: 06.08.2023
- Accepted: 04.10.2023
- Published: 30.05.2024
- URL: https://jps-nmp.ru/jour/article/view/707
- DOI: https://doi.org/10.17816/ps707
- ID: 707
Cite item
Full Text
Abstract
BACKGROUND: A positive experience of the local applicationof proteolytic enzymes for treating purulent-inflammatory processes of various localizations has motivated the researchers to study this challenging topic and to assess the effectiveness of proteolytic enzymes in combination with video thoracoscopic sanitation and ultrasonic cavitation of the lungs and pleural cavity in children with acute pleural empyema.
AIM: To assess the effectiveness of complex treatment of acute pleural empyema in children.
METHODS: In 2020–2022, 26 children, aged 1–17 (15 boys, 57.7% and 11 girls, 42.3%), were under observation. All children were operated on for video thoracoscopic sanitation of the pleural cavity and ultrasonic cavitation of the lungs and pleural cavity. Patients were divided into two groups: main group — 12 (46.2%) children who were injected proteolytic enzymes into their pleural cavity intraoperatively and at the postoperative period; control group — 14 (53.8%) children who had no any proteolytic enzyme injections. The developed technique (Method for the treatment of acute pleural empyema in children, Patent RU2770663) was used at the surgical intervention.
RESULTS: The results obtained by the identified criteria have shown that proteolytic enzymes applied perioperatively is an effective technique what was confirmed by X-ray findings: fibrinothorax regression in the main group occurred earlier than in the control group by (2±0.4) days.
CONCLUSION: Thus, we consider that proteolytic enzymes used intraoperatively and at the early postoperative period in combination with video thoracoscopic sanitation and ultrasound cavitation of the lungs and pleural cavity is a promising and effective method for treating acute pleural empyema and can be recommended for implementation into clinical practice.
Full Text
ОБОСНОВАНИЕ
В настоящее время наиболее тяжёлым гнойно-септическим заболеванием органов грудной клетки у детей остаётся острая эмпиема плевры (ОЭП) [1, 2, 3]. Заболевание характеризуется воспалением листков плевры с накоплением инфицированного выпота в плевральной полости из-за тяжёлого гнойно-воспалительного процесса в лёгочной ткани [4, 5]. Основными проявлениями данной нозологии являются выраженный интоксикационный синдромом и дыхательная недостаточность. Сохраняющаяся летальность 2–13% от грозного осложнения — респираторного сепсиса — характеризует ОЭП как одну из самых серьёзных проблем в педиатрии и детской хирургии [6, 7]. Выбор тактики лечения детей с ОЭП до сих пор остаётся трудной задачей, поскольку изменилась структура этиологических причин, создались предпосылки к пересмотру лечебной тактики, появились новые возможности в лечении данной патологии с применением современных технологий, а именно видеоторакоскопии (ВТС) плевральной полости и лёгких [8, 9, 10]. Эффективность и малая травматичность ВТС в достижении санации плевральной полости не вызывает сомнений [11, 12, 13], но в зависимости от стадии плеврита механическое разделение шварт и удаление фибриновых плёнок с костальной и висцеральной плевры остаётся процессом травматичным и не всегда радикальным [14, 15].
За последние годы несколько авторов представили результаты клинических исследований применения комбинаций ВТС с ультразвуком низкой частоты (УЗНЧ) или гидрохирургическим скальпелем [16], направленных на повышение эффективности санации [17, 18].
Однако ни один из этих методов не предотвращает формирование фибриноторакса, лежащего в основе образования внутриплевральных осумкований и спаек, констрикции лёгочной ткани в послеоперационном периоде. Учитывая положительный опыт местного применения протеолитических ферментов (ПФ) в лечении гнойно-воспалительных процессов различной локализации, считаем актуальной тему применения комбинации ПФ, ВТС и ультразвуковой кавитации (УЗК) лёгких и плевры в лечении ОЭП.
ЦЕЛЬ
Цель исследования — определение эффективности периоперационного применения ПФ в комбинации с ВТС и УЗК лёгких и плевры в комплексном лечении детей с ОЭП.
МЕТОДЫ
Дизайн исследования
Проведено обсервационное неконтролируемое рандомизированное одноцентровое исследование с выборочным набором пациентов в исследуемые группы.
Критерии соответствия
Критерии включения: клинические проявления заболеваний дыхательной системы; диагноз «пневмония», подтверждённый данными лабораторных и инструментальных методов диагностики; согласие законного представителя пациента на медицинское вмешательство, участие в исследовании и использование медицинских данных в научных целях.
Критерии исключения: специфическая этиология эмпиемы плевры, стадия организация эмпиемы плевры.
Условия проведения
В период с ноября 2020 г. по декабрь 2022 г. на базе хирургического отделения № 1 ГБУЗ «Детской краевой клинической больницы» Министерства здравоохранения Краснодарского края (ДККБ) под нашим наблюдением находились 26 детей: 11 (42,3%) — в возрасте 1–3 г., 9 (34,6%) — 4–7 лет, 6 (23,1%) — 8–17 лет. Мальчиков было 15 (57,7%), девочек — 11 (42,3%). У всех больных имели место острое начало заболевания, фебрильная или субфебрильная температура тела, клинические признаки острой пневмонии и ОЭП (диагнозы подтверждены лучевыми методами исследований). Острая респираторная вирусная инфекция в дебюте заболевания и амбулаторное лечение по поводу неё зафиксированы у 23 (88,5%) пациентов; 2 (7,7%) пациента не обращались за медицинской помощью; об 1 (3,8%) пациенте сведений нет. После ухудшения состояния 25 (96,2%) пациентов были направлены на госпитализацию в инфекционные отделения г. Краснодара и центральные районные больницы края. Первичное обращение в ДККБ имело место в 1 (3,8%) случае — пациент доставлен бригадой скорой медицинской помощи с подозрением на острый аппендицит.
Описание медицинского вмешательства
Всех пациентов консультировали детские хирурги — по результатам клинико-рентгенологической картины решено перевести пациентов в специализированное детское хирургическое отделение. Для устранения синдрома внутригрудного напряжения 6 (23,1%) пациентам перед транспортировкой выполнено дренирование плевральной полости, 7 (26,9%) пациентам дренирование выполнено после перевода в ДККБ.
Сроки от начала заболевания до перевода в хирургическое отделение: 12 (46,2%) детей — до 10 сут, 6 (23,1%) детей — 11–30 сут, 8 (30,7%) детей — свыше 30 сут. Для верификации диагноза использовали полипозиционную рентгенографию и компьютерную томографию органов грудной клетки, ультразвуковое исследование органов грудной клетки с оценкой выпота в плевральных синусах. Лечебно-диагностические фибробронхоскопии выполнены всем пациентам для уточнения наличия и степени эндобронхита, санации бронхиального дерева и забора материала для бактериологического исследования. Тяжесть состояния 3 (11,5%) пациентов потребовала госпитализации в реанимационное отделение. Всем пациентам по результатам обследования установлена эмпиема плевры.
Всем детям проведено оперативное вмешательство: ВТС плевральной полости в сочетании с УЗК лёгких и плевральной полости. В основную группу включены 12 (46,2%) детей, которым вмешательство выполняли с применением протеолитических ферментов интраоперационно и в послеоперационном периоде. В контрольную группу включены 14 (53,8%) детей, для лечения которых не использовали протеолитические ферменты.
Оперативное вмешательство в обеих группах заключалось в обеспечении доступа в плевральную полость: сначала устанавливали оптический торакопорт в 5 межреберье по лопаточной линии, затем под визуальным контролем устанавливали 2 рабочих торакопорта — в 6–7 межреберье по передней подмышечной линии и в 7 межреберье по задней подмышечной или лопаточной линии. При наличии дренажного канала оптический торакопорт устанавливали вместо дренажа — 6 (23,1%) больных. Затем проводили ревизию плевральной полости с механическим разделением плевральных спаек и шварт (рис. 1). После эвакуации гноя и основной массы фибрина проводили УЗК плевральной полости и лёгкого, последовательно используя все имеющиеся доступы. Фибриновые массы по завершении этапа кавитации эвакуировали электроотсосом. Кавитацию проводили ультразвуковым аппаратом «SONOCA-190» (Soring, Германия) с частотой 25 кГц. Продолжительность и интенсивность режима воздействия определялись стадией плеврита, физическими характеристиками фибриновых плёнок, выраженностью деструктивных изменений в лёгочной ткани и возрастом пациента. В среднем время экспозиция УЗНЧ составляла 5–7 мин в режиме 40–60%. Заканчивали операцию установкой двух дренажей из нижних точек диафрагмальных синусов через рабочие доступы по направлению к верхней апертуре грудной клетки для оптимальной эвакуации плеврального выпота. Случаи внутрилёгочных абсцессотомий завершали постановкой дополнительного спирального дренажа в полость абсцесса.
Пациентам основной группы после кавитации УЗНЧ последовательно вводили аспиратор-ирригатор через рабочие торакопорты и орошали плевральную полость и лёгкие раствором препарата «Химопсин» (ООО «Самсон-Мед», Россия) — 0,01 мг лиофилизата в 0,2–0,5 л. изотонического раствора натрия хлорида; экспозиция 10 мин (Способ лечения ОЭП у детей, Патент RU2770663). Затем аспирировали раствор и отделившиеся фибриновые массы, под визуальным контролем промывали плевральную полость изотоническим раствором натрия хлорида (рис. 2). Контрольную рентгенограмму грудной клетки проводили в 1-е сут после операции. На 2-е сут после операции через плевральные дренажи орошали плевральную полость 0,1–0,2 л. раствора препарата «Проурокиназа» (ООО НПП «Техноген», Россия) в концентрации 5000 МЕ при температуре 36,6°С; экспозиция раствора 180 мин. Затем аспирировали содержимое плевральной полости шприцем и промывали плевральную полость 1,0 л изотонического раствора натрия хлорида. У всех детей использовалась активная аспирация.
По результатам бактериологического исследования плеврального выпота, у 1 (3,8%) больного обнаружен Pseudomonas aeruginosa, у 2 (7,0%) — метициллин- резистентный Staphylococcus epidermidis, у 1 (3,8%) — анаэробные грамположительные кокки. У 1 (3,8%) пациента в результате посева отделяемого из дренажа выявлен умеренный рост Acinetobacter baumannii, а в лаважной жидкости — сплошной рост Pseudomonas aeruginosa. У 21 (80,7%) пациента посев не дал роста.
Пациенты обеих групп получали одинаковое комплексное интенсивное лечение: антибактериальную, дезинтоксикационную, противогрибковую, бронхомуколитическую, антикоагулянтную, симптоматическую терапию, физиотерапевтические методы и кинезотерапию.
Статистический анализ
Статистическая обработка результатов исследований проведена с помощью программ Microsoft Excel 2010 и Statistica 10.0.
РЕЗУЛЬТАТЫ
Рис. 1. Интраоперационная картина ревизии плевральной полости с последующим механическим разделением плевральных спаек и шварт.
Fig. 1. Intraoperative picture of pleural cavity revision with subsequent mechanical separation of pleural adhesions and moorings.
Рис. 2. Интраоперационная картина эффективности применения препарата «Химопсин».
Fig. 2. Intraoperative picture demonstrating Khymopsin effectiveness.
Рис. 3. Сроки купирования болевого синдрома: данные представлены абсолютным и относительным (в скобках) числом пациентов.
Fig. 3. Terms of pain relief: data are presented as absolute and relative (in parentheses) numbers of patients.
Для сравнительного анализа эффективности изучаемого метода мы использовали наиболее демонстративные критерии: сроки купирования болевого синдрома (рис. 3), сроки купирования интоксикационного синдрома (рис. 4), сроки купирования плеврального выпота (рис. 5), сроки купирования дыхательной недостаточности (рис. 6), динамику расправления лёгочной ткани (рис. 7), длительность антибиотикотерапии (рис. 8), длительность стационарного лечения.
Рис. 4. Сроки купирования гипертермии: данные представлены абсолютным и относительным (в скобках) числом пациентов.
Fig. 4. Terms of hyperthermia control: data are presented as absolute and relative (in parentheses) numbers of patients.
Рис. 5. Сроки купирования плеврального выпота: данные представлены абсолютным и относительным (в скобках) числом пациентов.
Fig. 5. Terms of pleural effusion relief: data are presented as absolute and relative (in parentheses) numbers of patients.
Рис. 6. Сроки купирования дыхательной недостаточности: данные представлены абсолютным и относительным (в скобках) числом пациентов.
Fig. 6. Terms of respiratory failure control: data are presented as absolute and relative (in parentheses) numbers of patients.
Рис. 7. Сроки полной реэкспансии лёгкого: данные представлены абсолютным и относительным (в скобках) числом пациентов.
Fig. 7. Time frame for complete lung reexpansion: data are presented as absolute and relative (in parentheses) number of patients.
Анализ показал, что полученные результаты по первым 5 критериям (см. рис. 3–7) свидетельствуют об эффективности комбинации ПФ, ВТС и УЗК лёгких и плевральной полости.
При отсутствии выраженного диапазона в корреляции числовых показателей по перечисленным критериям, подтверждением результативности метода являются сокращение длительности антибактериальной терапии (см. рис. 8) и сроков пребывания в стационаре: (19,6±1,1) в основной и (22,6±1,4) в контрольной группе.
Рис. 8. Длительность антибактериальной терапии: данные представлены абсолютным и относительным (в скобках) числом пациентов.
Fig. 8. Duration of antibacterial therapy: data are presented as absolute and relative (in parentheses) number of patients.
Сроки бактериологической санации у пациентов в основной и контрольной группе произошли в равный промежуток времени.
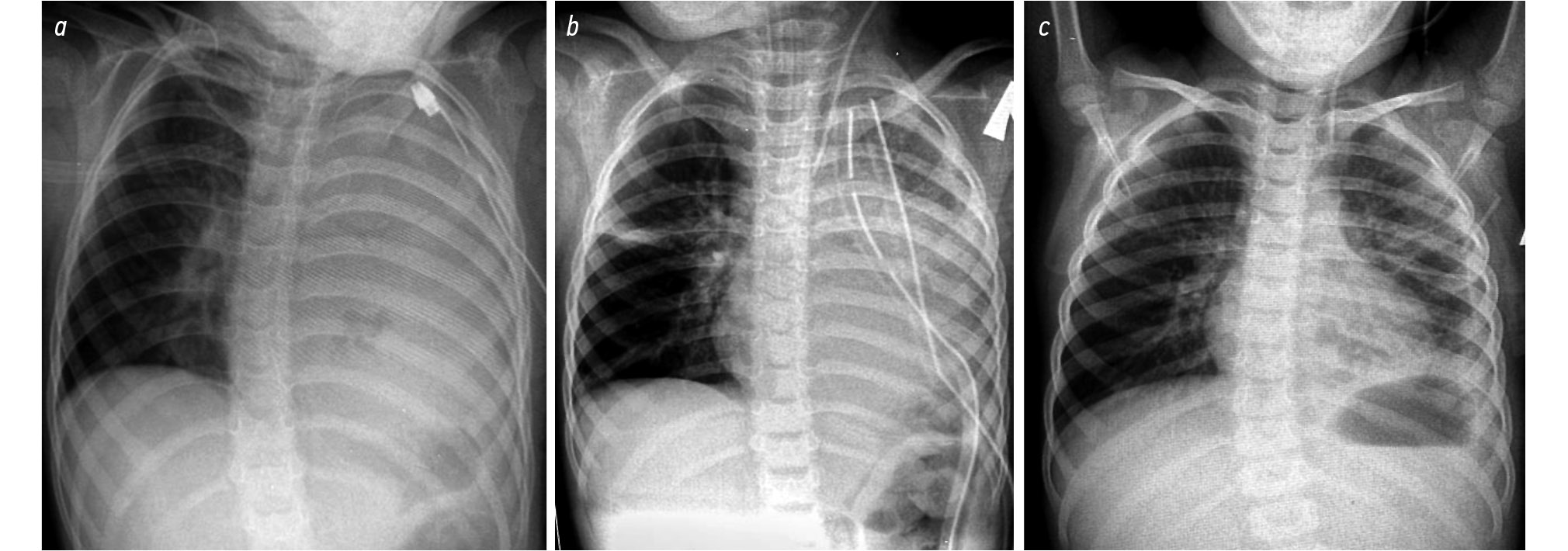
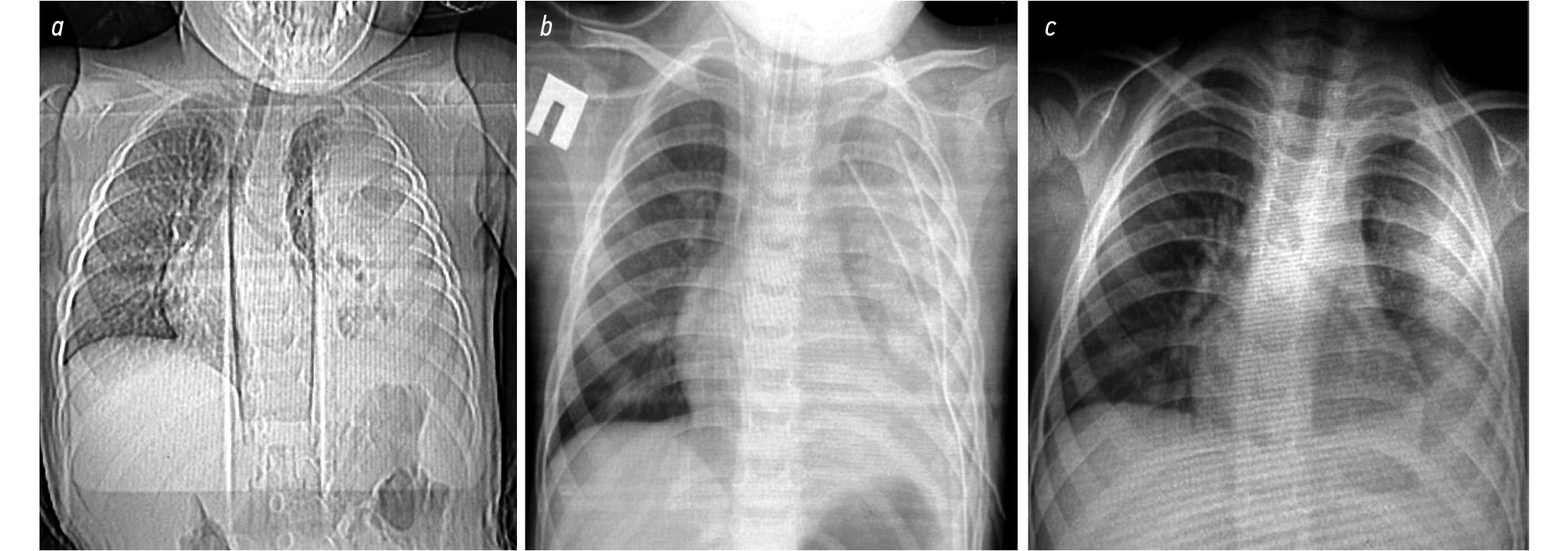
Наиболее демонстративным признаком эффективности применения ПФ послужила динамика рентгенологической картины. Если по критерию реэкспансии лёгкого в 1-е сут после операции значимого различия между пациентами двух групп не выявлено, то рентгенологические признаки регресса фибриноторакса в основной группе констатировались раньше: на (2±0,4) день лечения (рис. 9, 10) и на 3–12 мес. после лечения.
Рис. 9. Рентгенограммы органов грудной клетки больной К., 5 лет (основная группа): a — до операции, b — на 1-е сут после операции; c — на 7-е сут после операции.
Fig. 9. Radiographs of the chest organs of patient K., 5 years old (main group): a — before surgery, b — on day 1 after surgery; c — on day 7 after surgery.
Рис. 10. Рентгенограммы органов грудной клетки больной Г., 3 лет (контрольная группа): a — до операции, b — на 1-е сут после операции; c — на 7-е сут после операции.
Fig. 10. Radiographs of the chest organs of patient G., 3 years old (control group): a — before surgery, b — on day 1 after surgery; c — on day 7 after surgery.
Нежелательные явления
За время исследования нежелательных эффектов не выявлено, но необходимо учитывать техническую сложность проведения оперативного и анестезиологического пособия, сопутствующие заболевания и тяжесть ОЭП.
ОБСУЖДЕНИЕ
С 1990 г. в литературе стали появляться работы о применении ВТС для лечения эмпиемы плевры [19, 20]. С.М. Merry и соавт. показали высокую эффективность ВТС у детей с деструктивной пневмонией по сравнению с традиционными методами лечения [21]. А.С. Кашин соавт. при лечении ОЭП использовали торакоскопическую санацию, при которой достигли полного очищения плевральной полости, разделения лёгочно-плевральных сращений и полного удаления фибринозных напластований у детей раннего возраста [22]. Д.Г. Амарантов отметил, что у больных острой пара- и метапневмонической эмпиемой плевры ВТС позволит определить характер внутриплевральных изменений и степени обратимости гнойного процесса. В последующие годы российские хирурги отдают предпочтение малоинвазивным методам лечении ОЭП, что перестало быть дискуссионным вопросом [23]. Вопрос об интраоперационном применении ферментативных препаратов также прослеживается в ряде сравнительных исследований, которые показали их эффективность. С.Х. Батаев и соавт. показали высокий потенциал комбинации гидрохирургических и аргон-плазменных технологий при лечении детей с ОЭП, что видно и в результатах зарубежных исследованиях [24, 25, 26, 27]. Применение ВТС и дополнительных лечебных мероприятий на разных стадиях плеврита направлено на эффективную санацию плевральной полости, предотвращение внутриплеврального спайкообразования и профилактику хронизации процесса.
Ограничения исследования
Ограничениями являются малый размер выборки. На этапе оперативного вмешательства ограничениями могут быть техническое оснащение операционной и навыки хирурга.
ЗАКЛЮЧЕНИЕ
Результаты исследования свидетельствуют о том, что комбинация ВТС, УЗНЧ и обработки плевральной полости ПФ более эффективна в лечении больных ОЭП, чем оперативное вмешательство без применения ПФ.
Таким образом, мы считаем, что применение ПФ интраоперационно и в раннем послеоперационном периоде в комбинации с ВТС и УЗК лёгких и плевры является перспективным и эффективным методом лечения ОЭП и может быть рекомендовано для внедрения в клиническую практику.
ДОПОЛНИТЕЛЬНАЯ ИНФОРМАЦИЯ
Благодарности. Авторы выражают благодарность доктору медицинских наук, проф. Виктору Александровичу Тараканову за поддержку проведения данной работы, а также за помощь с внедрением видеоторакоскопической санации плевральной полости в детскую хирургическую практику.
Источник финансирования. Статья публикуется без спонсорской поддержки.
Конфликт интересов. Авторы заявляют об отсутствии явных и потенциальных конфликтов интересов.
Вклад авторов. Все авторы подтверждают соответствие своего авторства международным критериям ICMJE. Наибольший вклад распределён следующим образом: Н.К. Барова, И.Х. Егиев, И.А. Убилава — хирургическое лечение, написание текста и редактирование статьи; И.Х. Егиев — сбор и анализ литературных источников; А.Н. Григорова — курация; А.Н. Григорова, В.М. Надгериев, В.М. Старченко — обзор литературы, сбор и анализ литературных источников, написание текста и редактирование статьи; А.Е. Стрюковский — обзор литературы, сбор и анализ литературных источников, подготовка и написание текста статьи.
Этическая экспертиза. Протокол исследования был одобрен локальным этическим комитетом ФГБОУ ВО «Кубанский государственный медицинский университет» МЗ РФ (№ 6 от 19.09.2019).
ADDITIONAL INFORMATION
Acknowledgments. The authors would like to thank Dr. Med. Sciences, Professor Viktor Aleksandrovich Tarakanov for his support in conducting the research of this work. Thank you for your help in introducing video-assisted thoracoscopic sanitation of the pleural cavity into pediatric surgical practice.
Funding source. The publication had no sponsorship.
Competing interests. The authors claim that there is no conflict of interest in the article.
Authors’ contribution. All authors confirm compliance of their authorship with the international ICMJE criteria. The largest contribution is distributed as follows: N.K. Barova, I.Kh. Egiev, I.A. Ubilava — surgical treatment, writing the text and editing the article; I.Kh. Egiev — collection and analysis of literary sources; A.N. Grigorova — supervision; A.N. Grigorova, V.M. Nadgeriev, V.M. Starchenko — literature review, collection and analysis of literary sources, writing the text and editing the article; A.E. Stryukovsky — literature review, collection and analysis of literary sources, preparation and writing of the article.
Ethics approval. The present study protocol was approved by the local Ethics Committee of the Kuban State Medical University (N 6 by 19.09.2019).
About the authors
Natusya K. Barova
Kuban State Medical University; Children's Regional Clinical Hospita
Email: nbarova@yandex.ru
ORCID iD: 0000-0001-5857-2296
SPIN-code: 5365-0960
MD, Cand. Sci. (Medicine)
Russian Federation, 4 Mitrofan Sedina street, 350063 Krasnodar; KrasnodarIvan Kh. Egiev
Kuban State Medical University; Children's Regional Clinical Hospita
Email: ivan.egiev@mail.ru
ORCID iD: 0009-0000-5586-8657
MD
Russian Federation, 4 Mitrofan Sedina street, 350063 Krasnodar; KrasnodarAlina N. Grigorova
Kuban State Medical University
Author for correspondence.
Email: alina.mashchenko@mail.ru
ORCID iD: 0000-0001-5020-232X
SPIN-code: 1762-8310
MD, Cand. Sci. (Medicine)
Russian Federation, 4 Mitrofan Sedina street, 350063 KrasnodarIrma A. Ubilava
Children's Regional Clinical Hospita
Email: irmaybilava@mail.ru
ORCID iD: 0009-0002-0453-6913
MD
Russian Federation, KrasnodarAndrey E. Stryukovsky
Kuban State Medical University
Email: an-str@bk.ru
ORCID iD: 0000-0002-3267-2739
SPIN-code: 7303-4713
MD, Cand. Sci. (Medicine)
Russian Federation, 350063, Краснодар, ул. Митрофана Седина, д. 4Valery M. Nadgeriev
Kuban State Medical University
Email: vmn53@yandex.ru
SPIN-code: 8840-6369
MD, Cand. Sci. (Medicine)
Russian Federation, 4 Mitrofan Sedina street, 350063 KrasnodarValery M. Starchenko
Kuban State Medical University
Email: mishana61@mail.ru
SPIN-code: 1802-3407
MD, Cand. Sci. (Medicine)
Russian Federation, 4 Mitrofan Sedina street, 350063 KrasnodarReferences
- Pritulo LF. Particular issues of acute purulent destructive pneumonia in children. Tavricheskiy mediko-biologicheskiy vestnik. 2010;13(4):138−143. (In Russ).
- Rokitsky MR. Surgical diseases of the lungs in children. Leningrad: Medicine; 1988. 286 р. (In Russ).
- Razumovsky AY, Allaberganov KO, Alkhasov AB. Video-assisted thoracoscopic surgery for the bullous form of purulent-inflammatory lung diseases in children. Russian Journal of Pediatric Surgery. 2005;(4):46−47. (In Russ).
- Krenke K, Sadowy E, Podsiadły E, et al. Etiology of parapneumonic effusion and pleural empyema in children. The role of conventional and molecular microbiological tests. Respir Med. 2016;(116):28–33. doi: 10.1016/j.rmed.2016.05.009
- Barova NK, Tarakanov VA, Ubilava IA, Eredzhibokova MYu. Complex therapy, rehabilitation in the treatment of acute destructive pneumonia in children. Russ J Pediat Surg Anesthesia Intensive Care. 2020;10(S):29. EDN: SOALDD
- Livingston MH, Mahant S, Connolly B, et al. Effectiveness of intrapleural tissue plasminogen activator and dornase alfa vs tissue plasminogen activator alone in children with pleural empyema: A randomized clinical trial. JAMA Pediatr. 2020;174(4):332–340. doi: 10.1001/jamapediatrics.2019.5863
- Domej W, Wenisch C, Demel U, Tilz GP. Vom pneumonischen Infiltrat zum parapneumonischen Erguss--vom Erguss zum Pleuraempyem: Internistische Aspekte parapneumonischer Ergussbildung und des Pleuraempyems. Wien Med Wochenschr. 2003;153(15-16):349−353. doi: 10.1007/s10354-003-0008-1
- Fedotova MA, Egiev IK. The method of combination of vat sanitation and the using of proteolytic enzymes in treatment of acute pleural empyema in children. Forcipe. 2022;5(S1):18. EDN: DAZZWM
- Arnold DT, Hamilton FW, Elvers KT, et al. Pleural fluid super levels predict the need for invasive management in parapneumonic effusions. Am J Respir Crit Care Med. 2020;201(12):1545−1553. doi: 10.1164/rccm.201911-2169OC
- Khasanov RR, Gumerov AA, Mamleev IA, Sataev VU. Economic efficacy of thoracoscopic treatment for pleural empyema in children. N.I. Pirogov J Surg. 2009;(11):42–47. EDN: LBEJNL
- Barova NK, Tarakanov VA, Cipris AA, et al. The modern medical technologies for treatment of acute destructive pneumonia in children. Kuban Sci Med Bulletin. 2013;(7):58−59. EDN: RSKHIJ
- Kashin AS, Mamleev IA, Sataev VU, et al. Diagnostics and thoracoscopic treatment of pleural empyema in younger children. N.I. Pirogov J Surg. 2009;(11):38−41 EDN: LBEJMR
- Balfour-Lynn IM, Abrahamson E, Cohen G, et al. BTS guidelines for the management of pleural infection in children. Thorax. 2005;60(Suppl 1):11–21. doi: 10.1136/thx.2004.030676
- Egiev IKh, Tarakanov VA, Barova NK, Ubilava IA. Surgical treatment of acute pleural empyema in children using the method of combination of videothoracoscopic sanation and local application of proteolytic enzymes. Russ J Pediatr Surg Anesthesia Intensive Care. 2022;12(S):56. EDN: VQYABV
- Razumovsky AY, Allaberganov KO, Alkhasov AB. Thoracoscopic surgeries for complicated forms of purulent inflammatory lung diseases in children. Ann Surg. 2006;(6):43−45. (In Russ).
- Altmann ES, Crossingham I, Wilson S, Davies HR. Intra-pleural fibrinolytic therapy versus placebo, or a different fibrinolytic agent, in the treatment of adult parapneumonic effusions and empyema. Cochrane Database Syst Rev. 2019.2019;(10):CD002312. doi: 10.1002/14651858.CD002312.pub4
- Singh G, Pitoyo CW, Nasir AU, et al. Update on the role of intrapleural fibrinolytic therapy in the management of complicated parapneumonic effusions and empyema. Acta Med Indones. 2012;44(3):258−264.
- Majid A, Ochoa S, Chatterji S, et al. Safety and efficacy of tissue plasminogen activator and DNase for complicated pleural effusions secondary to abdominal pathology. Ann Am Thorac Soc. 2017;14(3):342−346. doi: 10.1513/AnnalsATS.201608-594BC
- Scharm SC, Dettmer S. Erkrankungen der Pleura, der Thoraxwand und des Zwerchfells. Radiologe. 2022;62(2):91−98. doi: 10.1007/s00117-021-00958-5
- Bataev SM, Ignatyev RO, Zurbaev NT, et al. Hydrosurgical technology in the treatment of a child with complicated pneumonia secondary to scarlet fever. Pediatriya: Zhurnal imeni G.N. Speranskogo. 2018;97(2):113−117. EDN: YTCBBG doi: 10.24110/0031-403X-2018-97-2-113-117
- Merry C.M., Bufo A.J., Shah R.S. Early defi nitive intervention by thoracoscopy in pediatric empyema. J Pediatr Surg. 1999;34:178–181.
- Kashin AS, Mamleev IA, Sataev VU, et al. Thoracoscopic treatment of pulmonary-pleural complications of acute necrotizing pneumonia in new born and infants. Children's Med North-West. 2012;3(4):23−28. EDN: RUESSR
- Amarantov D.G. Programmed staged thoracoscopy in the treatment of patients with acute para- and metapneumonic pleural empyema [dissertation abstract]. Saratov, 2005. 21 p. (In Russ.)"
- Bataev SM, Zurbaev NT, Molotov RS, et al. The first experience of the use of hydro-surgical technologies in the treatment of children with pulmatic-pleural complications of destructive pneumonia. N.I. Pirogov J Surg. 2019;(7):15−23. EDN: AMMQBC doi: 10.17116/hirurgia201907115
- Knisely BL, Broderick LS, Kuhlman JE. MR imaging of the pleura and chest wall. Magn Reson Imaging Clin N Am. 2000;8(1):125−141.
- Ravaglia C, Gurioli C, Tomassetti S, et al. Is medical thoracoscopy efficient in the management of multiloculated and organized thoracic empyema? Respiration. 2012;84(3):219−224. doi: 10.1159/000339414
- Tassi GF, Marchetti GP, Pinelli V, Chiari S. Practical management of pleural empyema. Monaldi Arch Chest Dis. 2010;73(3):124−129. doi: 10.4081/monaldi.2010.296
Supplementary files













