Difficulties of the stage-by-stage surgical treatment of a teenager with bilateral advanced fibrotic-cavernous tuberculosis. Сlinical case
- Authors: Tarasov R.V.1,2,3, Lepekha L.N.1, Sadovnikova S.S.1, Krasnikova E.V.1, Asoyan G.A.1, Zakharova A.M.2, Bagirov M.A.1,3
-
Affiliations:
- Central Research Institute of Tuberculosis
- Medical University "Reaviz"
- Russian Medical Academy of Continuous Professional Education
- Issue: Vol 28, No 3 (2024)
- Pages: 306-315
- Section: Case reports
- Submitted: 24.08.2023
- Accepted: 16.10.2023
- Published: 13.07.2024
- URL: https://jps-nmp.ru/jour/article/view/725
- DOI: https://doi.org/10.17816/ps725
- ID: 725
Cite item
Full Text
Abstract
BACKGROUND: To achieve success in the management of adolescents with tuberculosis, a comprehensive approach including surgical intervention is needed so as to eliminate disease clinical manifestations, to achieve persistent healing of tuberculous changes with restoration of bodily functions and complete social rehabilitation
CLINICAL CASE DESCRIPTION: In patient U., 17 y.o., sudden and acute onset of the disease broke out after her contacts with her aunt who had tuberculosis. The initial form was infiltrative pulmonary tuberculosis in the decay phase. A course of anti-tuberculosis therapy was prescribed considering the bacteria sensitivity to antibiotics. After the course, fibrous lesions and cavities were detected in both lungs at computed tomography examination of the chest organs. A personalized therapy was developed for the patient with consideration of her body weight and sensitivity to bacteria. In 7 months, an endobronchial valve was inserted at the bronchus mouth in the right superior lobe because of the large cavity in the right upper lung lobe and lack of changes in the cavity size. In six more months, the blocker was removed due to the lack of dynamics, and a video-assisted thoracoscopic combined resection of the right lung (upper lobectomy with resection of part SV, anatomical resection SVI with part SVIII) was performed. On analyzing surgical material, it was found out that the patient was resistant to Isoniazid, Rifampicin and fluoroquinolones, so therapy was corrected. In six months, a video–assisted thoracoscopy combined resection of the left lung (SI–III anatomical resection and marginal resection of SVI part) was made.
CONCLUSION: After the performed treatment, patient's oxygenation improved, persistent abacillation was achieved, due to which the patient could return to normal lifestyle.
Full Text
ОБОСНОВАНИЕ
Одной из причин позднего выявления источника туберкулёзной инфекции является тот факт, что значительная часть заболевших туберкулёзом детей независимо от эпидемической ситуации не охвачена противотуберкулёзными мероприятиями [1, 2].
Успех в лечении больных туберкулёзом детей и подростков по критериям ликвидации клинических проявлений заболевания, стойкого заживления туберкулёзных изменений с восстановлением функций организма и полной социальной реабилитацией, определяется комплексным подходом, включающим хирургическое лечение [3]. По данным детско-подросткового отдела ФГБНУ «Центральный научно-исследовательский институт туберкулёза» (ЦНИИТ), показанием к хирургическому лечению детей и подростков с деструктивным туберкулёзом, является сохранение каверны без динамики в течение 3 мес. или увеличение размеров каверны. В процессе лечения данные показания возникают у 22,2% впервые выявленных пациентов и у 60,6% пациентов, поступивших на повторное лечение [4]. Видео- ассистированная торакоскопическая (ВАТС) техника операций позволяет добиться эффективности хирургического лечения органов дыхания у детей и подростков до 99,5%. При этом наибольшее число послеоперационных осложнений связано с нарушением расправления лёгкого после обширных резекций. Из 12 послеоперационных осложнений: 7 — замедленное расправление лёгкого, 2 — формирование остаточной полости. Резекции более 3 сегментов верхних отделов лёгкого у подростков старше 14 лет в условиях множественной лекарственной устойчивости, широкой лекарственной устойчивости (ШЛУ) возбудителя и обширного очагового обсеменения сопровождаются высоким риском реактивации туберкулёзного процесса и, соответственно, нуждаются в коллапсохирургической коррекции гемиторакса (одномоментная интраплевральная или отсроченная экстраплевральная торакопластика) [5].
Выбор объёма и последовательности этапов хирургического лечения, решение вопроса о необходимости хирургической коррекции гемиторакса после обширной резекции у подростка с распространённым двусторонним фиброзно-кавернозным туберкулёзом (ФКТ), тотальной очаговой диссеминацией и ШЛУ микобактерии туберкулёза (МБТ) представляет существенную сложность.
ОПИСАНИЕ КЛИНИЧЕСКОГО СЛУЧАЯ
Пациентка У. 17 лет заболела остро после контакта с тётей, больной туберкулёзом. Поставлен диагноз «инфильтративный туберкулёз лёгких в фазе распада». Проведён курс противотуберкулёзной терапии согласно данным чувствительности возбудителя, полученного от контактного лица, к антибиотикам.
После курса лечения на контрольной компьютерной томографии (КТ) органов грудной клетки (ОГК) в обоих лёгких обнаружены каверны и нарастание фиброзных изменений. Направлена в ЦНИИТ для продолжения лечения.
Результаты физикального, лабораторного и инструментального исследования
При поступлении состояние средней степени тяжести. Аускультация лёгких: дыхание ослаблено справа ниже V ребра от задней подмышечной до передней подмышечной линии; по остальным лёгочным полям справа и слева дыхание жёсткое, выслушиваются влажные хрипы (преимущественно по околопозвоночной линии справа на уровне угла лопатки). Частота дыхательных движений 26 в мин. Тоны сердца ритмичные, частота сердечных сокращений 130 в мин. Артериальное давление 105/65 мм рт. ст. Антитела к вирусу иммунодефицита человека не обнаружены.
Компьютерная томография органов грудной клетки
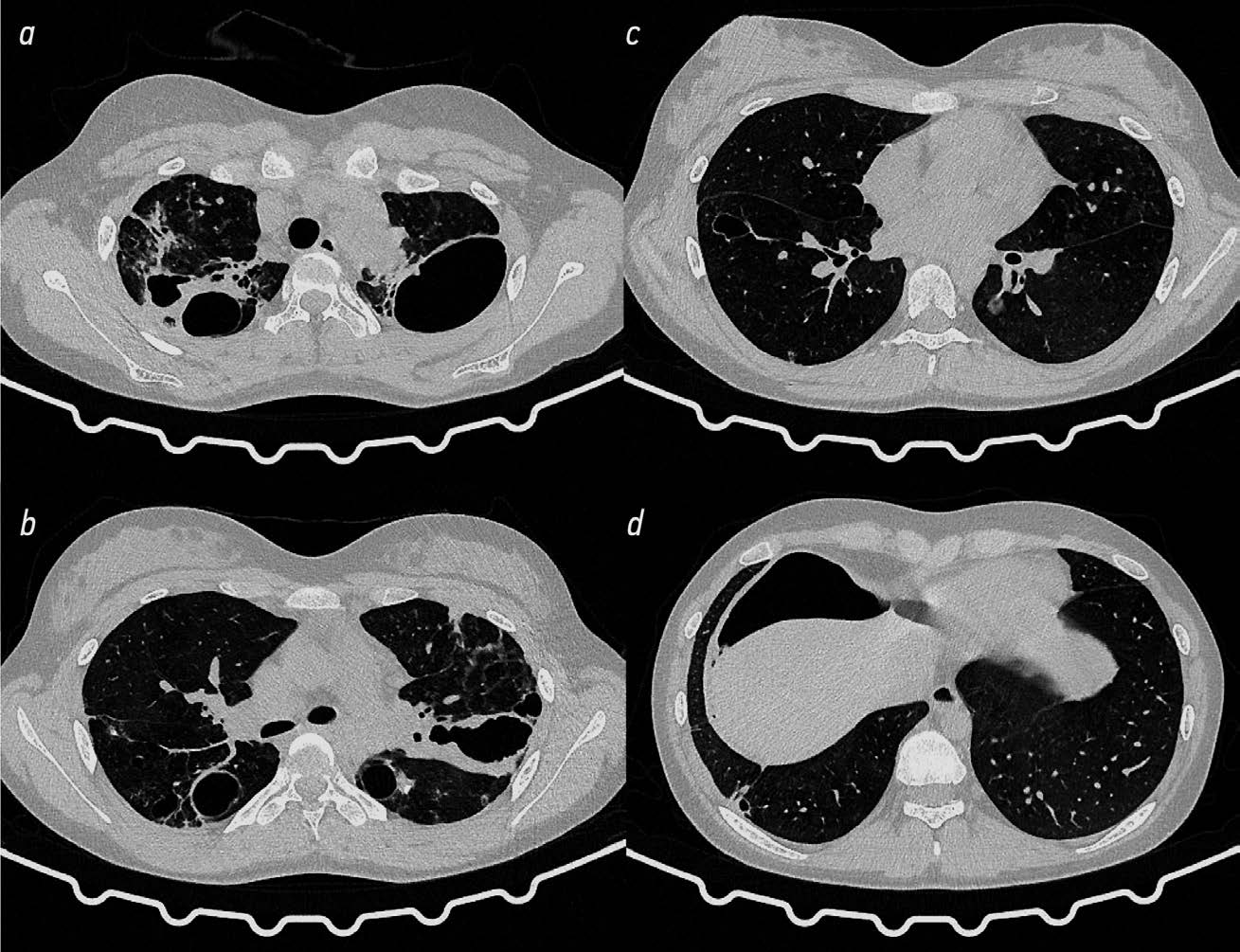
Верхние доли и SVI обоих лёгких уменьшены в объёме. Просветы трахеи и главных бронхов не изменены.
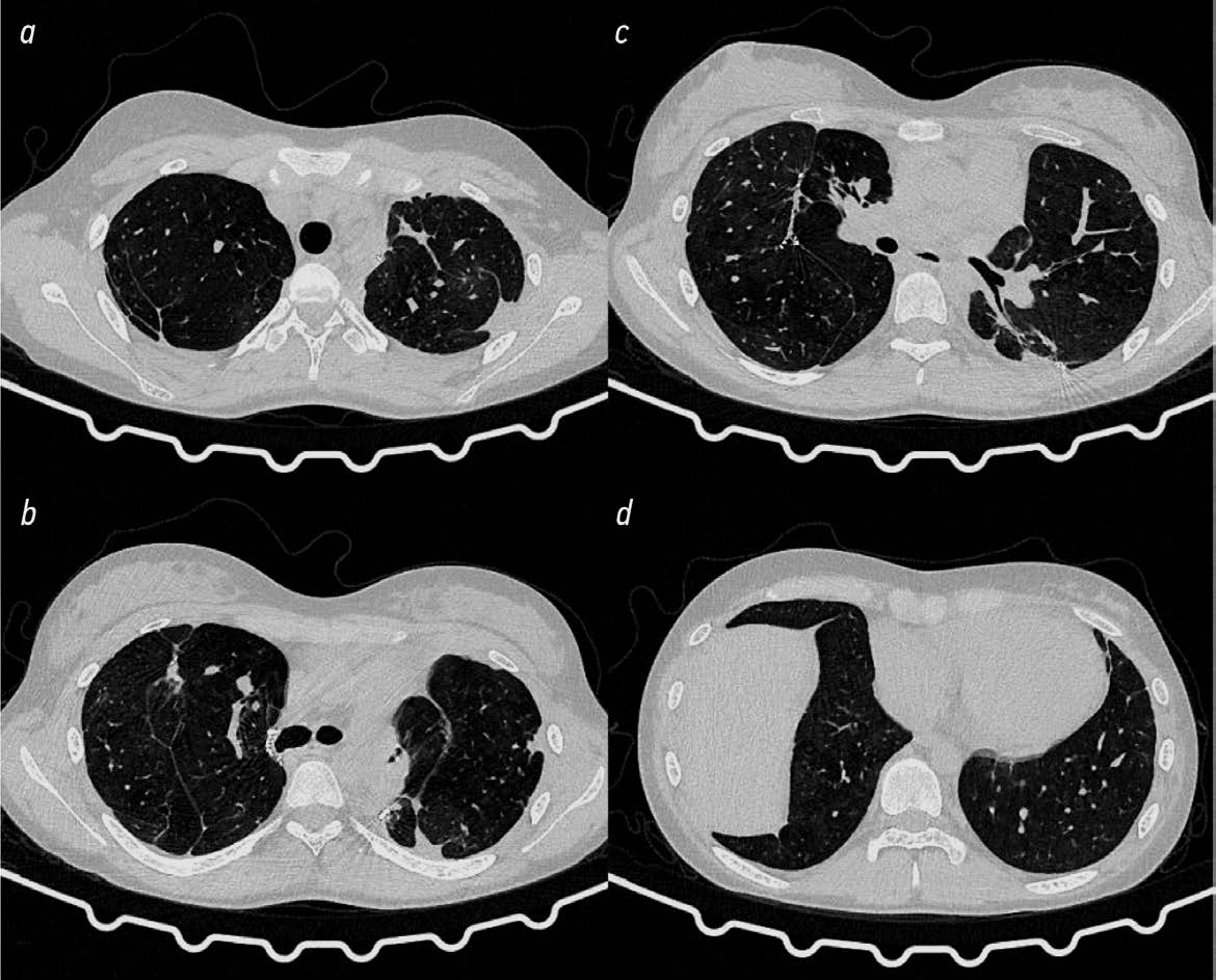
Правое лёгкое. В верхней доле определяются множественные разнокалиберные воздушные полости, участки пневмосклероза с мелкими бронхоэктазами (рис. 1, a). Аналогичные изменения имеются в апикальной части SVI (рис. 1, c), где размеры наиболее крупной полости составляют 44×46×46 мм. В SVIII (рис. 1, d) субплеврально — тонко- стенная полость 18×17×20 мм с мелкими кальцинатами в стенке. Вентиляция сохранной лёгочной ткани неравномерная за счёт участков панлобулярной эмфиземы. Во всех сегментах рассеянные плотные очаги.
Рис. 1. Компьютерная томография органов грудной клетки при поступлении: фиброзно-кавернозный туберкулёз лёгких с гигантскими кавернами в обоих лёгких — SI–III, VI, VIII справа и SI, II, VI слева (описание в тексте).
Fig. 1. Computed tomography of the chest organs upon admission: fibrous-cavernous pulmonary tuberculosis, giant cavities in both lungs — SI–III, VI, VIII on the right and SI, II, VI on the left (description in the text).
Левое лёгкое. В SI–III (рис. 1, a) и апикальной части SVI (рис. 1, b) определяются множественные разнокалиберные воздушные полости, участки пневмосклероза с мелкими бронхоэктазами. Каверны в SII 60×54×63 мм (рис. 1, a). Парамедиастинально в SI, II участок консолидации 35×20×28 мм с единичными мелкими кальцинатами и участками разрежённой структуры (наиболее вероятно конгломерат лимфатических узлов). В верхней части SVI парамедиастинально полость 36×30×17 мм (рис. 1, b). Во всех сегментах сохраняются рассеянные плотные очаги.
Заключение: КТ-признаки ФКТ лёгких в фазе обсеменения — SI–III, VI, VIII справа и SI–II, VI слева, с наличием гигантских каверн в обоих лёгких.
Исследование мокроты
При исследовании мокроты методом полимеразной цепной реакции обнаружена дезоксирибонуклеиновая кислота МБТ, при люминесцентной микроскопии обнаружены кислотоустойчивые микобактерии +++. Методом тест системы «СИНТОЛ» определена устойчивость МБТ к изониазиду, рифампицину, фторхинолонам. Методом «BACTEC MGIT» мокроты выявлен рост МБТ, определена устойчивость к изониазиду, рифампицину, пиразинамиду, этамбутолу, этионамиду, амикацину, капреомицину, левофлоксацину, моксифлоксацину, аминосалицилату натрия.
Поставлен диагноз «ФКТ лёгких в фазе обсеменения, МБТ (+) преШЛУ МБТ».
Лечение
Решением консилиума развёрнута терапия по индивидуальному режиму согласно данным чувствительности: циклосерин в дозе 250 мг 2 раза в сут, спарфлоксацин — 200 мг 1 раз в сут, линезолид — 600 мг 1 раз в сут, бедаквилин — 200 мг 1 раз в сут перорально по понедельникам, средам и пятницам. После приёма 4-х доз больная стала жаловаться на боли в области сердца. По данным электрокардиографии отмечено удлинение интервала QT, в связи с чем бедаквилин заменён на имипенем в дозе 1000 мг 2 раза в сут перорально. На фоне приёма имипенема, отмечались жалобы на тошноту и рвоту — препарат отменен.
На фоне улучшения частоты сердечных сокращений и интервала QT по данным суточного мониторирования кардиолог рекомендовал вернуть в схему химиотерапии бедаквилин в прежней дозе. Через 7 мес. лечения, в связи с наличием крупной каверны в верхней доле правого лёгкого и отсутствием изменений размеров каверны, в устье правого верхнедолевого бронха установлен эндобронхиальный клапан. Признаки специфического воспаления бронхов не выявлены. Пациентка перенесла процедуру удовлетворительно, осложнения не отмечены.
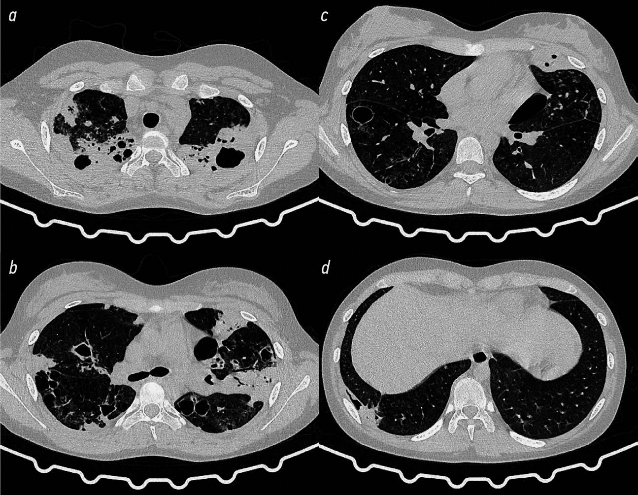
На КТ ОГК через 6 мес. (рис. 2) верхние доли и SVI обоих лёгких уменьшены в объёме. В верхней доле правого лёгкого определяются множественные разнокалиберные воздушные полости и участки пневмосклероза с мелкими бронхоэктазами. Аналогичные изменения имеются в апикальной части SVI, где размеры наиболее крупной полости составляют 44×46×46 мм. В SVIII субплеврально определяется тонкостенная полость 18×17×20 мм с мелкими кальцинатами в стенке. Пневматизация лёгочной ткани неравномерная за счёт участков панлобулярной эмфиземы. Во всех сегментах сохраняются рассеянные плотные очаги. Положительная динамика по сравнению с КТ ОГК при поступлении в виде закрытия одной из полостей в SVI левого лёгкого.
Рис. 2. Компьютерная томография органов грудной клетки через 6 мес. после клапанной бронхоблокации: положительная динамика в виде закрытия одной из полостей в SVI левого лёгкого (описание в тексте).
Fig. 2. Computed tomography of the chest organs 6 months after valvular bronchoblocation: positive dynamics when one of the cavities in SVI of the left lung was closed (description in the text).
Спирометрия через 6 мес.: функциональная жизненная ёмкость лёгких (ФЖЕЛ) 57,7% долж., объем форсированного выдоха за первую секунду (ОФВ1) 47,0% долж., индекс Тиффно (ОФВ1/ЖЕЛ) 82,4% долж.
Клапанный бронхоблокатор удалён из-за отсутствия изменений размера каверны в верхней доле правого лёгкого на фоне лечения.
Пациентка обсуждена на хирургическом консилиуме — решено провести этапное хирургическое лечение. На 1 этапе, ввиду распространённости процесса, решено выполнить операцию со стороны большего объёма поражения — комбинированную резекцию (КР) правого лёгкого с возможным расширением объёма до плевропневмонэктомии. Выполнение пневмонэктомии являлось крайне нежелательным, учитывая возраст пациентки, наличие обширного деструктивного процесса в противоположном лёгком и существенное увеличение риска развития дыхательной недостаточности. Объём 2 этапа (вмешательство на левом лёгком) зависел от объёма и результатов 1 этапа. В случае КР правого лёгкого, слева тоже можно было выполнить КР. При выполнении пневмонэктомии справа, операция на левом лёгком, вероятнее, носила бы характер коллапсохирургического вмешательства (экстраплевральный пневмолиз с установкой силиконового импланта). Также не исключалась вероятность отсроченной торакопластики справа, что крайне нежелательно у подростка, так как обширная КР могла сопровождаться неполным расправлением лёгкого и формированием остаточной полости.
Со значительными техническими сложностями, обусловленными выраженным спаечным процессом в плевральной полости, пациентке выполнен 1 этап хирургического лечения — ВАТС КР правого лёгкого (верхняя лобэктомия с резекцией части SV, анатомическая резекция SVI с частью SVIII) с частичной плеврэктомией.
Ход 1 этапа хирургического лечения
Плевральная полость тотально облитерирована, лёгкое выделено частично в экстраплевральном слое, частично интраплеврально. При ревизии верхняя доля уменьшена в объёме. В верхней доле, в SVI и SX определяются множественные полостные образования, очаговая диссеминация в SV, казеомы плевры в наддиафрагмальной области и по передней грудной стенке в проекции VIII ребра по средней подмышечной линии. Выполнена верхняя лобэктомия, анатомическая резекция SVI, резекция частей SV и SVIII. Удалён участок париетальной плевры в проекции VIII ребра. При удалении выделилось около 10 мл казеозных масс — удалены казеомы плевры.
На рис. 3 представлена удалённая верхняя доля правого лёгкого — фрагмент лёгочной ткани 10×6×3 см. На разрезе лёгочная ткань сероватого цвета с полями фиброза, инкапсулированного казеоза диаметром до 0,6 см, толстостенной каверной диаметром до 1,8 см.
Рис. 3. Макропрепарат удалённого участка лёгкого.
Fig. 3. Macro-preparation of the removed lung area.
Гистологическое исследование операционного материала правого лёгкого
Ткань лёгкого с участками выраженного склероза интерстиция, полями фиброзной ткани, умеренным склерозом плевры. Имеются участки уплотнённого и/или рыхлого казеоза с клеточным детритом, местами с микрокальцинатами, окружёнными склерозированной тканью лёгкого (рис. 4, a). В большом количестве имеются увядающие и склерозирующиеся гранулёмы (рис. 4, b). Стенка каверны представлена фиброзной тканью с островками грануляционной ткани, выраженными проявлениями гранулематозной реакции. По внутреннему слою определяются очаги лейкоцитарной инфильтрации и прилегающий казеоз (рис. 4, с). Край резекции с единичным склерозирующимися гранулёмами. Остальная лёгочная ткань с очагами склероза, неравномерно усеяна лимфо-макрофагальными элементами с примесью эозинофилов (большей частью в области межальвеолярных перегородок). Видны проявления реактивного васкулита. Плевра с признаками склероза и очагами казефицирующегося гранулематозного воспаления (рис. 4, d).
Рис. 4. Гистологическая картина операционного материала правого лёгкого: a — уплотнённый казеоз с микрокальцинатами (МК), окружённый склерозированной тканью лёгкого (окраска гематоксилином и эозином, увеличение ×320); b — конгломерат из увядающих и склерозирующихся эпителиоидно-клеточных гранулём (ЭГ) (окраска гематоксилином и эозином, увеличение ×220); c — очаг казеозного некроза (КН), окружённый грануляционной тканью с проявлениями гранулематозной реакции и многоядерными макрофагами (ММ) (окраска гематоксилином и эозином, увеличение ×120); d — очаг гранулематозного (Гр) воспаления в плевре (окраска гематоксилином и эозином, увеличение ×360).
Fig. 4. Histological picture of surgical material of the right lung: a — compacted caseosis with microcalcinates (МК) surrounded by sclerosed lung tissue (staining with hematoxylin and eosin, magnification ×320); b — conglomerate of withering and sclerosing epithelioid cell granulomas (ЭГ) (hematoxylin and eosin staining, magnification ×220); c — a focus of caseous necrosis (КН) surrounded by granulation tissue with manifestations of granulomatous reaction, multinucleated macrophages (ММ) (staining with hematoxylin and eosin, magnification ×120); d — a focus of granulomatous (Гр) inflammation in the pleura (staining with hematoxylin and eosin, magnification ×360).
Заключение: ФКТ с признаками выраженной активности туберкулёзного процесса. Туберкулёзный плеврит.
Методом ПЦР в операционном материале обнаружена дезоксирибонуклеиновая кислота МБТ. Методом люминесцентной микроскопии обнаружены кислотоустойчивые микобактерии ++++. Методом тест-системы «СИНТОЛ» установлена устойчивость к изониазиду, рифампицину, фторхинолонам.
Послеоперационный период
Послеоперационный период протекал без осложнений. Оперированное лёгкое расправилось в 1 сут, воздухотечения не отмечалось. Дренажи удалены на 5 сут, швы сняты на 14 сут после операции. При контрольном рентгенологическом исследовании оставшиеся отделы правого лёгкого расправлены. В связи с неосложнённым течением послеоперационного периода, принято решение воздержаться от отсроченной торакопластики.
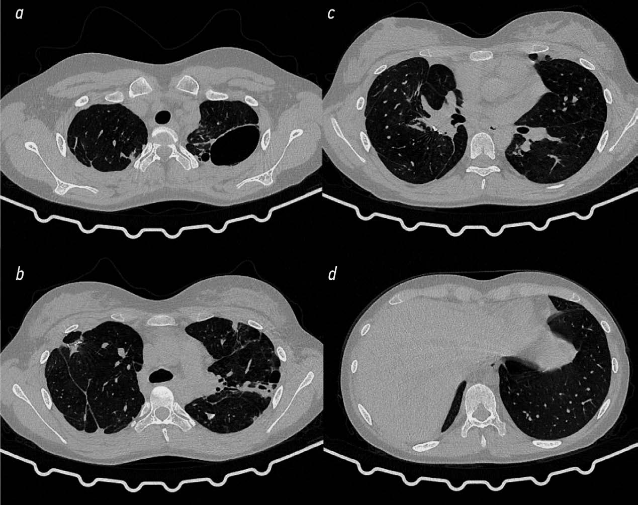
КТ ОГК через 3 мес. после операции: состояние после верхней лобэктомии с резекцией SVI, частей SV и SVIII правого лёгкого; слабовыраженная двусторонняя инфильтрация; инфильтративно-ателектатическое уплотнение оставшихся частей SV и SVIII правого лёгкого; ФКТ SI–II, VI левого лёгкого с наличием гигантской каверны; положительная динамика в виде закрытия одной из полостей в SVI левого лёгкого (рис. 5).
Рис. 5. Компьютерная томография органов грудной клетки через 3 мес. после комбинированной резекции правого лёгкого: фиброзно- кавернозный туберкулёз SI, II, VI левого лёгкого с гигантской каверной (описание в тексте).
Fig. 5. Computed tomography of the chest organs 3 months after combined resection of the right lung: fibrotic cavernous tuberculosis SI, II, VI of the left lung with a giant cavern (description in text).
Спирометрия: ФЖЕЛ 54,2% долж., ОФВ1 41,5% долж., ОФВ1/ЖЕЛ 77,4% долж. По сравнению с показателями перед операцией значительных изменений не выявлено.
Ход 2 этапа хирургического лечения
Через 6 мес. после 1 этапа пациентка повторно представлена на хирургическом консилиуме: учитывая положительную рентгенологическую динамику и функциональную сохранность решено выполнить 2 этап хирургического лечения — КР левого лёгкого.
Пациентке выполнена ВАТС анатомическая резекция SI–III, краевая резекция части SVI левого лёгкого. Операция сопровождалась значительными техническими сложностями в связи с выраженным спаечным процессом в плевральной полости. Плевральная полость тотально облитерирована. Лёгкое выделено частично в экстраплевральном слое. При ревизии верхняя доля лёгкого уменьшена в размере, в SI–III определяется каверна размерами 5×10 см, окружённая 2 округлыми образованиями размерами 1,5×1,5 см, плотными очагами диаметром до 0,5 см; в SVI определяется туберкулёма размерами 1,5×1,5 см, плотные очаги диаметром до 0,5 см, в области аорты определяется прорастание медиастинальной плевры. Выполнена КР левого лёгкого (анатомическая резекция SI–III, резекция SV, VI).
Послеоперационный период протекал без осложнений. Дренажи удалены на 4 сут, швы сняты на 14 сут после операции.
Гистологическое исследование операционного материала левого лёгкого
В ткани левого лёгкого определяется кавернозная полость с казеозными массами. Стенки каверны представлены внутренним слоем из грануляционной ткани и наружным слоем из волокнистой соединительной ткани (рис. 6, a). На остальном протяжении в лёгочной паренхиме наблюдается большое количество очагов плотного казеозного некроза, часть из которых расположены в стенках крупного хрящевого бронха. Большинство очагов отграничены соединительно-тканными капсулами (рис. 6, b). Между очагами казеоза имеются обширные поля фиброза, множество эпителиоидно- клеточных гранулём с гигантскими многоядерными клетками и очагово-диффузная лимфоидная воспалительная инфильтрация.
Рис. 6. Гистологическая картина операционного материала левого лёгкого: a — очаг казеозного некроза (КН), окруженный грануляционной (ГТ) и фиброзной тканью (ФТ), наличие эпителиоидно-клеточных гранулём (ЭГ) в перифокальной лёгочной ткани (окраска гематоксилином и эозином, увеличение ×120); b — очаги казеозного некроза (КН), окруженные соединительнотканной капсулой (К) в стенке бронха (окраска гематоксилином и эозином, увеличение ×180).
Fig. 6. Histological picture of the surgical material of the left lung: a — a focus of caseous necrosis (КН) surrounded by granulation (ГТ) and fibrous tissue (ФТ), the presence of epithelioid cell granulomas (ЭГ) in the perifocal lung tissue (hematoxylin and eosin staining, magnification ×120); b — foci of caseous necrosis (КН) surrounded by a connective tissue capsule (K) in the bronchial wall (staining with hematoxylin and eosin, ×180).
Заключение: морфологическая картина соответствует клиническому диагнозу ФКТ лёгких с признаками умеренной активности.
Исход и результаты последующего наблюдения
КТ ОГК через 3 мес. после 2 этапа хирургического лечения (рис. 7): состояние после верхней лобэктомии с резекцией SVI и частей SV, IX правого лёгкого, резекции SI–III с частью SVI левого лёгкого; справа видна пневматизированная зона цепочек танталовых скоб, слева — перигилярная инфильтрация; в зоне танталовых скоб определяется инфильтративно-ателектатический участок уплотнения лёгочной ткани сегментарной протяжённости.
Рис. 7. Компьютерная томография органов грудной клетки через 3 мес. после комбинированной резекции левого лёгкого (описание в тексте).
Fig. 7. Computed tomography of the chest organs 3 months after combined resection of the left lung (description in the text).
Показатели спирометрии и газового состава крови на всех этапах лечения приведены в табл. 1.
Таблица 1. Динамика показателей спирометрии и газового состава крови Table 1. Dynamics of spirometry and blood gases indicators | |||
Функциональные показатели | Перед 1 этапом | Через 4 мес. после 1 этапа | Через 3 мес. после 2 этапа |
ЖЕЛ, л (% долж.) | 1,92 (57,0) | 1,80 (53,5) | 1,93 (57,3) |
ФЖЕЛ, л (% долж.) | 1,92 (57,7) | 1,80 (54,2) | 1,93 (58,0) |
ОФВ1, л/с (% долж.) | 1,33 (47,0) | 1,17 (41,5) | 1,11 (39,1) |
ОФВ1/ЖЕЛ, % | 82,4 | 77,4 | 68,3 |
PaCO2, мм рт. ст. | 44,6 | 41,6 | 41 |
PaO2, мм рт. ст. | 68 | 72 | 74 |
SO2, % | 92 | 94 | 96 |
Примечание. ЖЕЛ — жизненная ёмкость лёгких; ФЖЕЛ — форсированная жизненная ёмкость лёгких; ОФВ1 — объем форсированного выдоха за первую секунду; ОФВ1/ЖЕЛ — индекс Тиффно; PaCO2 — парциальное давление углекислого газа в артериальной крови; PaO2 — парциальное давление кислорода в артериальной крови; SO2 — насыщение артериальной крови кислородом. Note. ЖЕЛ — vital capacity of the lungs; ФЖЕЛ — forced vital capacity of lungs; ОФВ1 — volume of forced exhalation in first second; ОФВ1/ЖЕЛ —Tiffno Index; PaCO2 — partial pressure of carbon dioxide in arterial blood; PaO2 — partial oxygen pressure in arterial blood; SO2 —saturation of blood with oxygen. | |||
По сравнению с дооперационными показателями ФЖЕЛ не изменилась, а ОФВ1 незначительно снизилось — с 47,0 до 39,1% долж., что может свидетельствовать о высоких компенсаторных возможностях организма в подростковом возрасте, а также об отсутствии вентиляции («воздушные ловушки») в удалённых отделах лёгких (кавернах). Повышение парциального давления кислорода с 68 до 74 мм рт. ст. говорит об улучшении оксигенации лёгочной ткани.
Пациентка завершила лечение по рекомендациям ЦНИИТ, вернулась к привычному образу жизни, чувствует себя удовлетворительно.
ОБСУЖДЕНИЕ
Хроническое течение туберкулёзного процесса у детей и подростков сопровождается формированием распространённых деструктивных процессов, в том числе двусторонних. Возможности консервативного лечения в этих случаях значительно ограничены. Ликвидация каверн и стойкое прекращение бактериовыделения может быть достигнуто комплексным лечением, включающим хирургические методы. ФКТ является наиболее частым показанием к оперативному лечению детей и подростков, поступивших на повторное лечение. У 61,8% прооперированных пациентов, основными видами операций являются обширные резекции лёгких (34,4%) и пневмонэктомии (40,0%), а 13,3% операций являются этапными [6]. Выбор этапа и объёма оперативного вмешательства крайне важен для излечения и функциональной реабилитации пациента.
ЗАКЛЮЧЕНИЕ
Данный клинический пример демонстрирует сложности комплексного этапного хирургического лечения подростка с распространённым двусторонним ФКТ с ШЛУ МБТ. Правильно выбранная хирургическая тактика с применением двусторонних обширных КР лёгкого на фоне химиотерапии с учётом лекарственной чувствительности возбудителя, позволили добиться эффективности лечения и избежать выраженных нарушений дыхательной функции у пациентки подросткового возраста.
ДОПОЛНИТЕЛЬНАЯ ИНФОРМАЦИЯ
Источник финансирования. Работа выполнена в рамках темы НИР 0515–2019–0017 «Разработка хирургических методов лечения распространённого туберкулёза органов дыхания и костно-суставной системы».
Конфликт интересов. Авторы заявляют об отсутствии явных и потенциальных конфликтов интересов.
Вклад авторов. Все авторы подтверждают соответствие своего авторства международным критериям ICMJE. Наибольший вклад распределён следующим образом: Тарасов Р.В. — сбор и анализ литературных источников, подготовка и написание текста статьи, обследование пациента; Лепеха Л.Н. — анализ гистологического материала, Садовникова С.С., Красникова Е.В. — редактирование статьи; Асоян Г.А. — хирургическое лечение пациента; Захарова А.М. — обзор литературы, подготовка текста статьи; Багиров М.А. — хирургическое лечение и контроль ведения пациента.
Согласие на публикацию. Авторы получили письменное согласие законного представителя пациента на публикацию медицинских данных в обезличенной форме в журнале «Детская хирургия». Дата подписания 08.06.2022.
ADDITIONAL INFORMATION
Funding source. The work was carried out within the framework of the research topic 0515–2019–0017 "Development of surgical methods for the treatment of widespread tuberculosis of the respiratory system and the osteoarticular system".
Competing interests. The authors claim that there is no conflict of interest in the article.
Authors’ contribution. All authors confirm compliance of their authorship with the international ICMJE criteria. The largest contribution is distributed as follows: Tarasov R.V. — collection and analysis of literature, preparation and writing of text of article, examination of patient; Lepekha L.N. — analysis of histological material; Sadovnikova S.S., Krasnikova E.V. — editing of article; Asoyan G.A. — surgical treatment of patient; Zakharova A.M. — literature review and preparation of text for article; Bagirov M.A. — surgical intervention and management of patient.
Consent for publication. Written consent was obtained from the representative of the patient for publication of relevant medical information and all of accompanying images in anonymized form within the manuscript in the journal Russian Journal of Pediatric Surgery. Date of signing 22.06.2022.
About the authors
Ruslan V. Tarasov
Central Research Institute of Tuberculosis; Medical University "Reaviz"; Russian Medical Academy of Continuous Professional Education
Author for correspondence.
Email: etavnai@yandex.ru
ORCID iD: 0000-0001-9498-1142
SPIN-code: 4245-1560
Scopus Author ID: 211623482
ResearcherId: AGK-3113-2022
MD, Cand. Sci. (Medicine), Associate Professor
Россия, Moscow; Moscow; MoscowLarisa N. Lepekha
Central Research Institute of Tuberculosis
Email: lep3@yandex.ru
ORCID iD: 0000-0002-6894-2411
SPIN-code: 6228-8382
Dr. Sci. (Biology), Professor
Россия, MoscowSvetlana S. Sadovnikova
Central Research Institute of Tuberculosis
Email: sadovnikova.sv@mail.ru
ORCID iD: 0000-0002-6589-2834
MD, Dr. Sci. (Medicine)
Россия, MoscowElena V. Krasnikova
Central Research Institute of Tuberculosis
Email: el.krasn@gmail.com
ORCID iD: 0000-0002-5879-7062
SPIN-code: 4252-8340
MD, Dr. Sci. (Medicine)
Россия, MoscowGenrik A. Asoyan
Central Research Institute of Tuberculosis
Email: henoasoyan@gmail.com
ORCID iD: 0000-0003-2927-7495
SPIN-code: 6213-7691
MD
Россия, MoscowAlexandra M. Zakharova
Medical University "Reaviz"
Email: alexandra-turunen@yandex.com
ORCID iD: 0000-0001-5450-2610
MD
Россия, MoscowMammad A. Bagirov
Central Research Institute of Tuberculosis; Russian Medical Academy of Continuous Professional Education
Email: bagirov60@gmail.com
ORCID iD: 0000-0001-9788-1024
SPIN-code: 8820-5448
MD, Dr. Sci. (Medicine), Professor
Россия, Moscow; MoscowReferences
- Ovsyankina ES, Panova LV, Khiteva AY, Viechelli EA. Reasons for late diagnostics of tuberculosis in adolescents. Russ Bull Perinatol Pediatr. 2019;64(1):76–80. EDN: YZDVTF doi: 10.21508/1027-4065-2019-64-1-76-80
- Ovsyankina ES, Panova LV, Poluektova FG, et al. Adolescent tuberculosis: A medico-social portrait taking into account the epidemic risk factor of disease development. Clinical practice in pediatrics. 2018;13(2):32–38. EDN: XQKJTN doi: 10.20953/1817-7646-2018-2-32-38
- Ergeshov AE, Ovsyankina ES, Gubkina MF. Tuberculosis of the respiratory organs in children and adolescents. Guide for doctors. Moscow: Mireya i Ko; 2019. 520 p. (In Russ).
- Panova LV, Ovsyankina ES, Giller DB, et al. Role of surgical methods in the treatment of destructive lungs tuberculosis in children and adolescents. Tuberculosis Lung Dis. 2010;(8):18–22. EDN: OFXZED
- Giller DB, Ogay IV, Martel II, et al. Long-term results of surgical treatment of respiratory tuberculosis in children and adolescents. Tuberculosis Lung Dis. 2012;(1):345–346. EDN: CDIDHG
- Ovsyankina ES, Panova LV, Firsova VA, et al. The structure of clinical forms and features of the course of tuberculosis with lung tissue destruction in older children and adolescents. Tuberculosis Lung Dis. 2012;89(1):10–13. EDN: PIGIGB
Supplementary files










