Successful treatment of cicatricial stenosis of the main, intermediate and upper lobe bronchi of the right lung complicated by total lung atelectasis in an infant: a clinical case
- Authors: Razumovskiy A.Y.1,2, Karavaeva S.A.3, Patrikeeva T.V.4, Levadnev Y.V.3,4, Kulikova N.V.2, Petrova N.N.4
-
Affiliations:
- The Russian National Research Medical University named after N.I. Pirogov
- Filatov N.F. Children's City Hospital
- North-Western State Medical University named after I.I. Mechnikov
- Children's City Multidisciplinary Clinical Specialized Center of High Medical Technologies
- Issue: Vol 28, No 3 (2024)
- Pages: 316-324
- Section: Case reports
- Submitted: 29.09.2023
- Accepted: 23.10.2023
- Published: 13.07.2024
- URL: https://jps-nmp.ru/jour/article/view/733
- DOI: https://doi.org/10.17816/ps733
- ID: 733
Cite item
Full Text
Abstract
BACKGROUND: The authors present a rare clinical case of stenosis of the main, intermediate and upper lobe bronchi of the right lung complicated by total lung atelectasis in an infant. They discuss issues of complex disease diagnostics, analyze X-ray and bronchological images, assess outcomes after multidisciplinary approach in the treatment of a premature baby as well as analyze data of catamnestic observation.
CLINICAL CASE DESCRIPTION: Girl T., one of monochorionic diamniotic twins, was born at 27 week gestation in 2021 with weight at birth 825 grams, Apgar score 4/5. Since her birth, she had artificial lung ventilation due to her deep immaturity and developed severe respiratory distress syndrome. At the age of 19 days, total atelectasis of the right lung was diagnosed in the child as a result of stenosis formation in the main, intermediate and upper lobe bronchi which was confirmed by clinical and radiological findings. A probable etiology of acquired stenosis is consequences of prolonged intubation under insufficiently formed cartilaginous framework. Chlamydial infection, detected in the child, could also support inflammatory process in the bronchi. The child was examined with the following instruments: radiography, multispiral computed tomography-angiography of the thoracic cavity, bronchofibroscopy, echocardiography. Laboratory tests: polymerase chain reaction of blood and sputum for herpes viruses type 1–6, mycoplasma, ureaplasma, Chlamydia pneumonia; blood enzyme immunoassays — antibodies to viruses of Herpesviridae type 1–6, Chlamydia trachomatis. Conservative therapy provided only temporal improvement; atelectasis was relapsing. At the age of 5 months and 20 days, the child underwent bronchoplasty with resection of damaged areas of the bronchi. Further, age-related diameter of the bronchial lumen was maintained by the staged bougienage. Catamnestic observation lasted for 3 years. Late timing of surgical intervention is explained by severe problems in a deeply premature and immature child that required immediate treatment (intraventricular hemorrhages, hydrocephalus, retinopathy, etc.). Effective surgical treatment (bronchoplasty), active growth of lung tissue at the first year of life as well as reasonable rehabilitation allowed to obtain good long-term outcomes. By the age of 1 year 2 months, normalization of right lung airiness was achieved. Currently, there is a slight reduction in right lung volume. Multispiral computed tomography-angiography revealed a few cylindrical bronchoectases in the segmental and subsegmental bronchi of the upper and middle lobes of the right lung which do not have clinical equivalents yet. The child is under pulmonologist's observation and management.
CONCLUSION: A multidisciplinary approach to the treatment of complicated patient's state and high compensatory capabilities of neonatal and infantile periods have promoted the restoration of normal lung aeration and functioning after long-lasting lung atelectasis
Full Text
ОБОСНОВАНИЕ
Впервые ателектаз лёгкого (АЛ) у новорождённого был описан в 1832 году [1, 2]. Этиология АЛ, развившихся в результате ограничения или невозможности поступления воздуха в альвеолы, разнообразна. Врождённый АЛ у новорождённых наиболее часто возникает из-за аспирации мекония, околоплодных вод, слизи и т. п. Первичные АЛ характерны для недоношенных детей, у которых отсутствует сурфактант или его образование снижено. Реже причинами врождённых АЛ становятся пороки развития лёгкого, внутричерепные родовые травмы, вызывающие угнетение дыхательного центра [3–6]. Причинами приобретённых АЛ чаще всего являются обтурация просвета бронха, компрессии лёгкого извне, рефлекторные механизмы и аллергические реакции. Обтурационный АЛ может возникать в результате попадания в бронх инородного тела, скопления в просвете бронха большого количества вязкого секрета, эндобронхиального роста опухоли или рубцового стеноза бронха. Величина ателектазированного участка прямо пропорциональна калибру обтурированного бронха [4, 7, 8]. Если лёгкое долго не расправляется, то на месте ателектаза начинаются склеротические изменения с исходом в пневмосклероз, ретенционные кисты бронхов, деформирующий бронхит и бронхоэктазы [1, 3].
ОПИСАНИЕ КЛИНИЧЕСКОГО СЛУЧАЯ
Недоношенная девочка Т. родилась от 1 беременности монохориальной диамниотической двойней от матери 34 лет с отягощённым гинекологическим анамнезом. В связи с угрозой преждевременных родов женщине была проведена гормональная профилактика синдрома дыхательных расстройств у будущих детей. Роды произошли на сроке 27 нед. путём экстренного кесарева сечения, околоплодные воды светлые. Девочка извлечена первой из двойни. Масса при рождении 825 г, оценка по шкале Апгар 4/5 баллов. При рождении состояние крайне тяжёлое за счёт дыхательной недостаточности (ДН) и крайней степени незрелости. Произведена интубация трахеи, начата искусственная вентиляция лёгких (ИВЛ) с жёсткими параметрами, введён порактант альфа. Гемодинамика стабилизирована на фоне массивной инотропной поддержки.
Результаты физикального, лабораторного и инструментального исследования
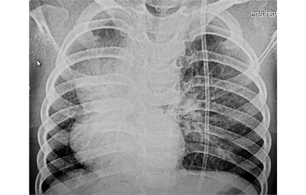
На 2 сут жизни дети были переведены в неонатальный центр на базе Детского городского многопрофильного клинического специализированного центра высоких медицинских технологий (ДГМКСЦ ВМТ) г. Санкт-Петербурга. Состояние больной требовало высокочастотной вентиляции лёгких, массивной антибактериальной терапии препаратами резерва, коррекции гипокоагуляционного синдрома и анемии. По совокупности анамнестических, клинических и лабораторных данных зарегистрирован ранний неонатальный сепсис, респираторный дистресс-синдром с выраженным снижением пневматизации обоих лёгких (рис. 1). По данным эхокардиографии выявлены открытый артериальный проток и высокая лёгочная гипертензия. К терапии добавлены ингаляции оксида азота. По данным нейросонографии выявлены внутрижелудочковые кровоизлияния 3 степени слева и 2 степени справа. Больная обследована на течение внутриутробной инфекции: выполнены анализы крови на выявление цитомегаловируса, герпес вирусов 1 и 6 типа, микоплазмы и уреаплазмы методом полимеразной цепной реакции (ПЦР) — результаты отрицательные.
Рис. 1. Рентгенограмма органов грудной полости при поступлении (2 сут жизни).
Fig. 1. Second day of life, сhest X-ray at admission.
Лечение
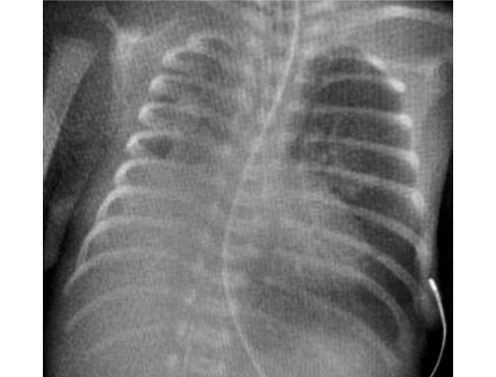
В динамике состояние было стабилизировано, получена положительная динамика со стороны лёгких, подтверждённая рентгенологически (рис. 2). На 17 сут жизни девочка была переведена на традиционную вентиляцию лёгких.
Рис. 2. Рентгенограмма органов грудной полости на 17 сут жизни: положительная динамика.
Fig. 2. X-ray of the chest organs on the 17th day of life: positive dynamics.
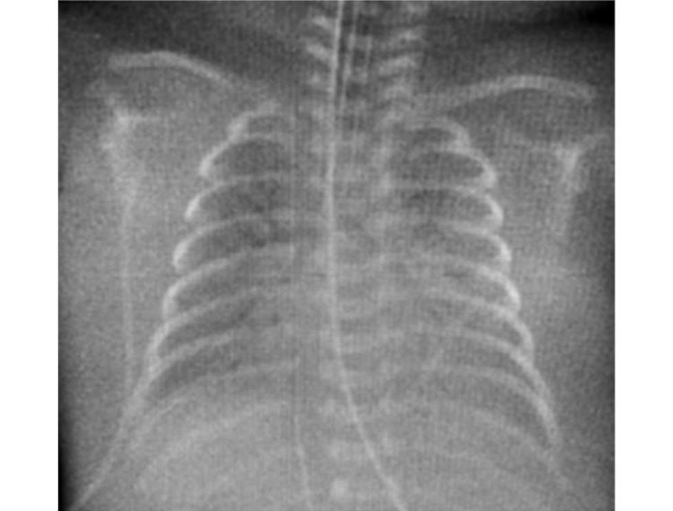
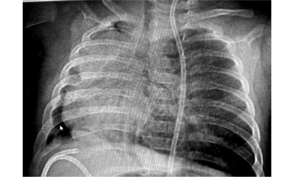
Через 2 сут клинический статус вновь ухудшился за счёт нарастания ДН, по результатам рентгенографии выявлен ателектаз нижней доли правого лёгкого (рис. 3).
Рис. 3. Рентгенограмма органов грудной полости на 19 сут жизни: ателектаз нижней доли правого лёгкого.
Fig. 3. X-ray of the chest cavity on the 19th day of life: atelectasis of the lower lobe of the right lung.
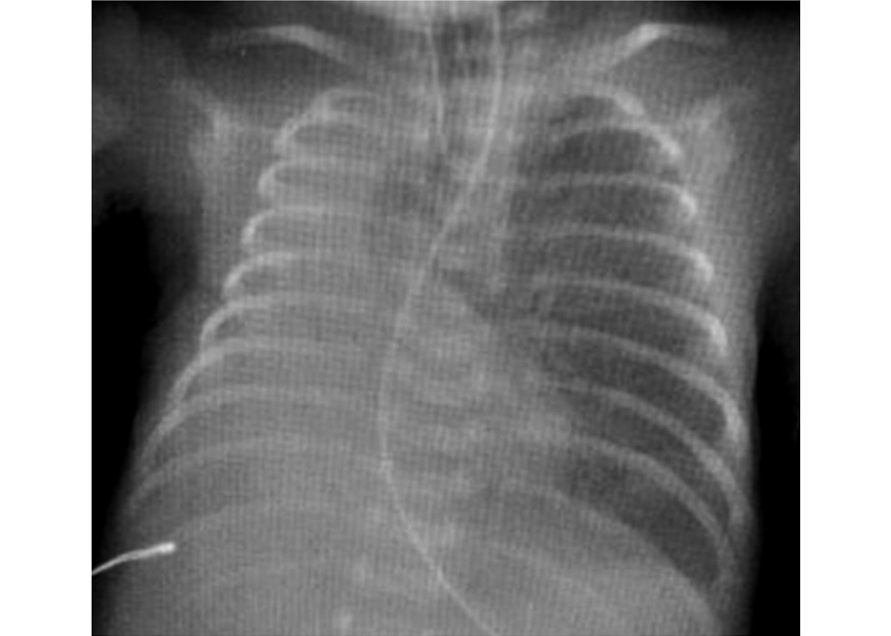
К 23 сут жизни отмечено прогрессирование ДН, отсутствие экскурсии грудной клетки справа, повышение кислородозависимости (фракция кислорода во вдыхаемой смеси до 65%). Диагностирован тотальный ателектаз правого лёгкого (ТАПЛ) с выраженным смещением органов средостения вправо (рис. 4).
Рис. 4. Рентгенограмма органов грудной полости на 23 сут жизни: тотальный ателектаз правого лёгкого.
Fig. 4. X-ray of the chest cavity on the 23rd day of life: total atelectasis of the right lung.
Попытки расправления ателектаза путём перевода на высокочастотную осцилляторную вентиляцию лёгких оказались неэффективны. Выполнена бронхоскопия (БС), при которой был обнаружен отёк слизистой главных бронхов, а в просвете правого главного бронха — большое количество слизисто-гнойной мокроты. Произведена санация трахеобронхиального дерева, выполнены посевы мокроты для определения микрофлоры и чувствительности микроорганизмов к антибиотикам. Несмотря на БС, ТАПЛ сохранился. С противовоспалительной, бронходилатационной и муколитической целью была начата ингаляционная терапия: в респираторный контур добавлены ипратропия бромид + фенотерол в дозе 0,075 мг + 0,15 мг в сут, будесонид в дозе 750 мкг в сут, тиамфеникол + глицинат ацетилцистеинат в дозе 125 мг в сут. На фоне этого лечения и повторных санационных БС получено улучшение пневматизации правого лёгкого (рис. 5).
Рис. 5. Рентгенограмма органов грудной полости на 1 мес. жизни: положительная динамика.
Fig. 5. X-ray of the chest organs at 1 month of life: positive dynamics.
Однако в возрасте 1 мес. 5 дней вновь диагностирован ТАПЛ с развитием эмфиземы левого лёгкого и медиастинальной грыжи. Ребёнок находился на ИВЛ с умеренными параметрами, получал бронхолитики, ингаляционную терапию глюкокортикоидами, ингаляции 3% раствора хлорида натрия с последующей санацией трахеобронхиального дерева. Для исключения поражения лёгких атипичной флорой были проведены анализы мокроты методом ПЦР и анализы крови методом иммуноферментного анализа. Выявлено повышенное содержание IgМ к Chlamidia trachomatis (иммунный ответ при хламидийной инфекции может стимулировать рост соединительной ткани), ПЦР мокроты отрицательный. Девочка получила курс антибактериальной терапии азитромицином в дозе 10 мг/кг в сут. Для профилактики бронхолёгочной дисплазии и с целью усиления выработки собственного сурфактанта начата терапия 0,4% раствором дексаметазона в дозе 0,3 мг/кг со снижением дозы на 0,05 мг/кг через каждые 3 дня. В динамике рентгенологическая картина не изменилась, однако состояние ребёнка оставалось стабильным, постепенно снижалась кислородозависимость, отсутствовали маркеры инфекционного процесса.
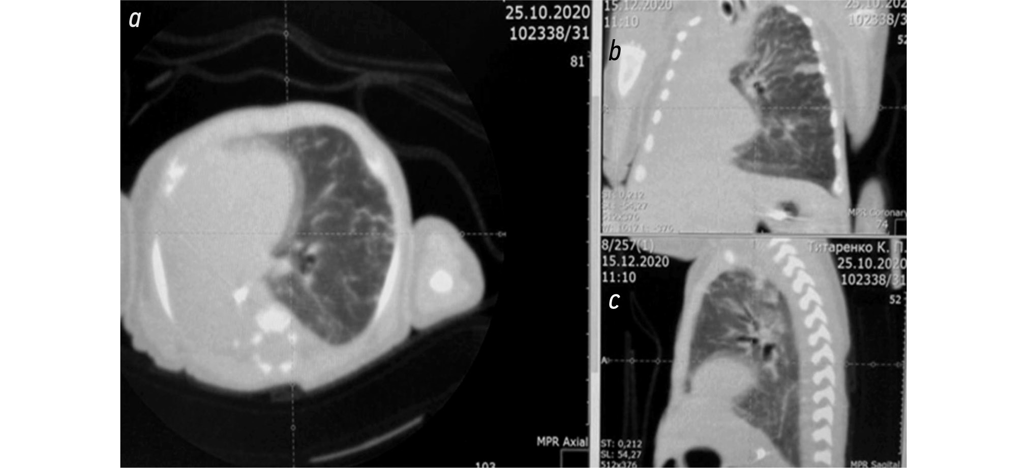
С целью исключения врождённых пороков развития лёгких — подковообразное лёгкое, трахеобронхомаляция, лобарная эмфизема, гипоплазия лёгкого, бронхогенная киста, объёмное образование в грудной полости — в возрасте 1,5 мес. была выполнена мультиспиральная компьютерная томография-ангиография (МСКТА) органов грудной полости (рис. 6).
Рис. 6. Мультиспиральная компьютерная томография-ангиография органов грудной полости на 1,5 мес. жизни: тотальный ателектаз правого лёгкого (a — аксиальная реконструкция, b — фронтальная реконструкция; c — сагиттальная реконструкция).
Fig. 6. Multispiral computed tomography-angiography of the chest organs at 1.5 months of life: total atelectasis of the right lung (a — axial reconstruction, b — frontal reconstruction; c — sagittal reconstruction).
Выявлена картина ТАПЛ с компенсаторным вздутием ткани левого лёгкого и формированием передней парамедиастинальной грыжи. Органы средостения резко смещены вправо. Обнаружены признаки дистонии трахеи, а также деформация и обструкция устьев обоих главных бронхов, более выраженная справа. Другие возможные причины хронического ателектаза правого лёгкого — гипоплазия правой лёгочной артерии, нарушение васкуляризации лёгочной ткани правого лёгкого — не обнаружены.
Состояние ребёнка в этот период было относительно стабильным — проводилась вспомогательная ИВЛ с преимущественным участием пациента в акте дыхания, концентрация кислорода в газовой смеси снизилась до 30%. Больная экстубирована в возрасте 1 мес. 26 дней и на полном энтеральном питании переведена в отделение патологии новорождённых с минимальной респираторной поддержкой через кислородную воронку. Однако при повторной БС выявлена гиперплазия слизистой правого главного бронха с субтотальной обструкцией просвета. При дыхании отмечалась асимметрия и снижение экскурсии правой половины грудной клетки, при этом ДН не прогрессировала. В этот период в состоянии ребёнка на первый план вышли неврологические и офтальмологические проблемы: нарастала окклюзионная гидроцефалия, что потребовало срочного этапного нейрохирургического лечения; прогрессировала ретинопатия. В возрасте 4,5 мес. при БС выявлен фиброзный стеноз правого главного бронха. По МСКТА органов грудной полости — сохранялся ТАПЛ (рис. 7).
Рис. 7. Мультиспиральная компьютерная томография-ангиография органов грудной полости на 4,5 мес. жизни: сохраняется тотальный ателектаз правого лёгкого (a — аксиальная реконструкция, b — фронтальная реконструкция; c — сагиттальная реконструкция).
Fig. 7. Multispiral computed tomography-angiography of the chest organs at 4.5 months of life: total atelectasis of the right lung persists (a — axial reconstruction, b — frontal reconstruction; c — sagittal reconstruction).
На данном этапе возможности консервативного расправления ателектаза правого лёгкого были исчерпаны. На консилиуме совместно с пульмонологами и хирургами было принято решение о необходимости хирургического лечения. Ребёнок был консультирован торакальным хирургом, чл.-кор. Российской академии наук, проф. А.Ю. Разумовским — рекомендовано проведение органосохраняющей пластической операции. В возрасте 5 мес. 20 дней в ДГМКСЦ ВМТ проф. А.Ю. Разумовский выполнил резекцию зон стеноза правого главного, промежуточного и верхнедолевого бронха с бронхопластикой, сформировав анастомоз между промежуточным, верхнедолевым и главным бронхом. Ниже резецированных участков бронхи были проходимы. При анестезиологическом обеспечении учитывались не только сложность операции, но и наличие вентрикулоперитонеального шунта. Предоперационная подготовка заключалась в катетеризации мочевого пузыря, двух периферических вен, подключичной вены на стороне операции и в катетеризации лучевой артерии, для контроля прямого артериального давления и лабораторных данных. Учитывая наличие у ребёнка гидроцефалии, мы отказались от установки эпидурального катетера в грудной отдел позвоночника и ограничились однократным введением 1% раствора морфина из каудального доступа в дозе 0,1 мг/кг. С помощью эндоскопической техники введена армированная эндотрахеальная трубка 3,0 в левый главный бронх, для однолёгочной вентиляции. Время подготовки составило 90 мин. Наркоз обеспечивался внутривенным введением фентанила в дозе 30 мкг/(кг×ч) и мидазолама в дозе 0,6 мг/(кг×ч), миорелаксация достигалась внутривенным введением атракурия безилата однократно в дозе 0,6 мг/кг, в дальнейшем — в дозе 0,3 мг/(кг×ч). Однако во время операции из-за неэффективности однолёгочной вентиляции произведена переинтубация трахеи эндотрахеальной трубкой 4,5. Проводилась конвекционная (традиционная) ИВЛ в режиме нормовентиляции. Инфузионная терапия состояла из стерофундина в дозе 8,6 мл/(кг×ч), 10% альбумина в дозе 10 мл/кг в течение 2 ч. Учитывая высокий уровень метаболизма, внутривенно микроструйно вводился 5% раствор глюкозы в дозе 2 мг/(кг×мин). С заместительной целью проводилась гемотрансфузия в объёме 15 мл/кг. Диурез составил 3 мл/(кг×ч). Концентрация лактата и глюкозы в плазме крови сохранялась примерно на одном уровне и к концу операции составила 0,6 ммоль/л и 5,9 ммоль/л соответственно. Инотропная терапия не потребовалась.
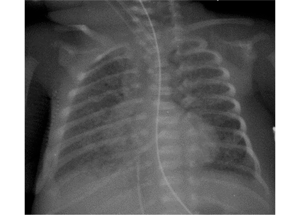
Послеоперационный период протекал без осложнений. Больная экстубирована на 2 сут после операции, плевральные дренажи удалены на 7 сут. Трижды проводились санационные БС. В динамике отмечено улучшение пневматизации правого лёгкого (рис. 8).
Рис. 8. Рентгенограмма органов грудной полости на 21 сут после операции.
Fig. 8. Chest X-ray on day 21 after surgery.
Девочка выписана через 28 дней после операции в удовлетворительном состоянии без признаков ДН. Однако справа по задней поверхности грудной клетки сохранялось ослабленное дыхание (частота дыхательных движений до 50 в мин), а также асимметрия грудной клетки и смещение органов средостения вправо.
Реабилитационный период проводился специалистами двух центров — Детской городской клинической больницы им. Н.Ф. Филатова (г. Москва) и ДГМКСЦ ВМТ. Для проведения обследования, плановой дилатации и бужирования бронхов ребёнка неоднократно госпитализировали в отделение торакоабдоминальной хирургии (заведующий отделением проф. А.Ю. Разумовский). При первой госпитализации: через 1 мес. после операции рентгенологически определялось резкое снижение пневматизации правого лёгкого, левое лёгкое без очаговых и инфильтративных изменений. При БС было обнаружено, что правый главный бронх укорочен, в устье бронха видны рубцовые ткани, которые мешали визуализации просвета; устье левого главного бронха тоже имело субкомпенсированное рубцовое сужение с просветом до 2,5 мм. В течение следующих 2 мес. девочке было произведено 3 бужирования левого главного бронха и правого промежуточного бронха. Стеноз слева был устранён, справа начал определяться просвет, ведущий к базальным бронхам.
В возрасте 8 мес. ребёнку выполнена контрольная МСКТ органов грудной полости: правое лёгкое уменьшено в объёме, пневматизация неоднородно снижена; калибр ветвей лёгочных артерий и вен уменьшен; правый главный бронх на протяжении 5,2 мм сужен до 2,5×1,1 мм за счёт неоднородного утолщения верхней полуокружности просвета; долевые, субсегментарные и сегментарные бронхи сужены и деформированы, в их просветах находится мокрота; средняя доля почти полностью ателектазирована; левый главный бронх несколько деформирован, проходим. Состояние девочки оставалось удовлетворительным, без признаков ДН. Продолжен курс ингаляционных глюкокортикоидов (будесонид в дозе 750 мкг в сут) и азитромицина в дозе 10 мг/кг в сут в течение 6 нед.
Исход и результаты последующего наблюдения
В настоящее время ребёнок находится на диспансерном учёте у пульмонолога ДГМКСЦ ВМТ.
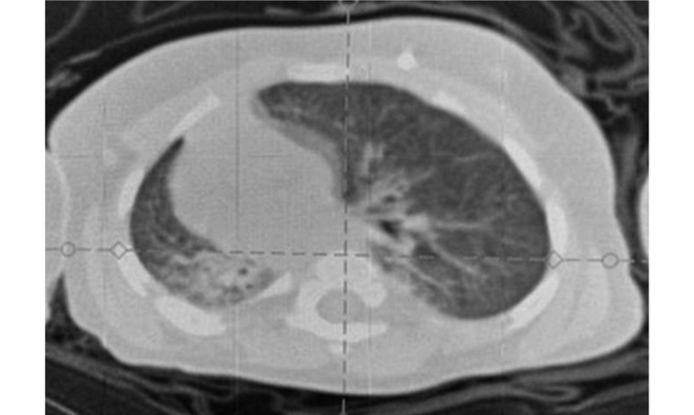
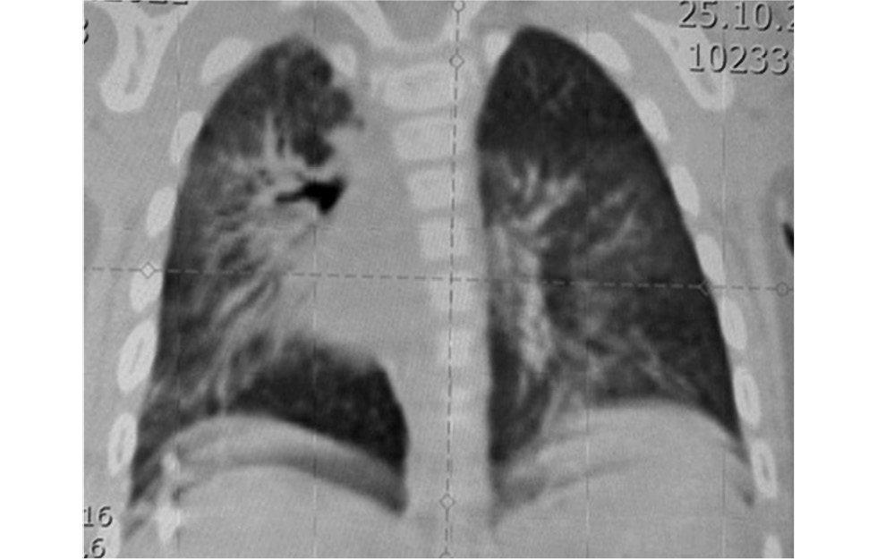
По данным МСКТА органов грудной полости, выполненной в возрасте 1 г. 2 мес., определяется картина гипоплазии с умеренными фиброзными изменениями паренхимы правого лёгкого, в также умеренное компенсаторное вздутие левого лёгкого с дислокацией органов средостения вправо. В сегментарных и субсегментарных бронхах верхней и средней доли правого лёгкого обнаружены единичные цилиндрические бронхоэктазы (рис. 9, рис. 10).
Рис. 9. Мультиспиральная компьютерная томография- ангиография органов грудной полости в возрасте 1 г. 2 мес.
Fig. 9. Multispiral computed tomography-angiography of the thoracic cavity at the age of 1 year 2 months.
Рис. 10. Мультиспиральная компьютерная томография- ангиография органов грудной полости в возрасте 1 г. 2 мес.
Fig. 10. Multispiral computed tomography-angiography of the thoracic cavity at the age of 1 year 2 months.
В возрасте 1 г. 4 мес. выполнена плановая БС: левый главный бронх не изменён; правый главный бронх укорочен, просвет широкий, проходимость долевых и сегментарных бронхов не нарушена.
В течение последних 2 лет на фоне острых респираторных вирусных инфекций у девочки отмечались 3 эпизода бронхиальной обструкции. Кроме того, она перенесла лёгкую форму новой коронавирусной инфекции, лечение которой проводилось в стационаре. В дыхательной поддержке ребёнок не нуждался. Плановая рентгенограмма выполнена в возрасте 2,5 лет: оба лёгких пневматизированы (рис. 11).
Рис. 11. Рентгенограмма органов грудной полости в возрасте 2,5 лет.
Fig. 11. Chest X-ray at the age of 2.5 years.
В настоящее время ребёнок имеет задержку в психомоторном и физическом развитии. Особенности нев-рологического статуса обусловлены перенесённым в перинатальном периоде гипоксически-геморрагическим поражением центральной нервной системы. С момента выписки из стационара имеется дефицит массы тела около 19% относительно корригированного возраста.
ОБСУЖДЕНИЕ
Представлен случай длительного ТАПЛ у глубоко недоношенного ребёнка в результате стеноза левого главного, промежуточного и верхнедолевого бронха. Вероятная этиология приобретённого стеноза связана с последствиями длительной интубации крайне незрелого ребёнка на фоне недостаточно сформированного хрящевого каркаса. Внутриутробная хламидийная инфекция усугубила воспалительный процесс в стенках повреждённых бронхов и способствовала формированию фиброзных изменений.
ЗАКЛЮЧЕНИЕ
Методы консервативного лечения оказались неэффективны. Однако мультидисциплинарный подход к лечению множества проблем глубоко недоношенного ребёнка сохранили девочке жизнь. Органосохраняющая пластическая операция рубцово-изменённых бронхов и высокие компенсаторные возможности неонатального и младенческого периода позволили восстановить нормальную аэрацию длительно ателектазированного лёгкого без развития хронической ДН.
ДОПОЛНИТЕЛЬНАЯ ИНФОРМАЦИЯ
Благодарности. Врачам Детского городского многопрофильного клинического специализированного центра высоких медицинских технологий: заведующей отделения патологии новорождённых Соловьевой Ольге Александровне, врачу пульмонологу Старевской Светлане Валерьевне, заведующей отделения эндоскопии Корниловой Анне Борисовне и реаниматологам отделения реанимации новорождённых Шашилеву Валерию Алексеевичу и Ноздрину Федору Владимировичу.
Источник финансирования. Статья публикуется без спонсорской поддержки.
Конфликт интересов. Авторы заявляют об отсутствии явных и потенциальных конфликтов интересов.
Вклад авторов. Все авторы подтверждают соответствие своего авторства международным критериям ICMJE. Наибольший вклад распределён следующим образом: Разумовский А.Ю. — редактирование; Караваева С.А. — концепция и дизайн исследования, редактирование, написание текста; Патрикеева Т.В. — концепция и дизайн исследования, редактирование, сбор и обработка материалов, написание текста; Леваднев Ю.В. — написание текста; Куликова Н.В. — редактирование; Петрова Н.Н. — редактирование, сбор и обработка материалов, статистическая обработка, написание текста.
Согласие на публикацию. Авторы получили письменное согласие законного представителя пациента на публикацию медицинских данных в обезличенной форме в журнале «Детская хирургия». Дата подписания 04.09.2023.
ADDITIONAL INFORMATION
Acknowledgments. To the doctors of the Children's City Multidisciplinary Clinical Specialized Center of High Medical Technologies: Olga Alexandrovna Solovieva, head of the Department of Neonatal Pathology, Svetlana Valeryevna Starrevskaya, pulmonologist, Anna Borisovna Kornilova, head of the Endoscopy department, and Valery Alekseevich Shashilev and Fyodor Vladimirovich Nozdrin, resuscitators of the neonatal intensive care unit.
Funding source. The publication had no sponsorship.
Competing interests. The authors claim that there is no conflict of interest in the article.
Authors’ contribution. All authors confirm compliance of their authorship with the international ICMJE criteria. The largest contribution is distributed as follows: Razumovskiy A.Yu. — editing; Karavaeva S.A. — research concept and design, editing, manuscript writing; Patrikeeva T.V. — research concept and design, editing material collection and processing, manuscript writing; Levadnev Yu.V. — manuscript writing; Kulikova N.V. — editing; Petrova N.N. — editing, material collecting and processing, statistical processing, manuscript writing.
Consent for publication. Written consent was obtained from the representative of the patient for publication of relevant medical information and all of accompanying images in anonymized form within the manuscript in the journal Russian Journal of Pediatric Surgery. Date of signing 04.09.2023.
About the authors
Aleksander Y. Razumovskiy
The Russian National Research Medical University named after N.I. Pirogov; Filatov N.F. Children's City Hospital
Email: 1595105@mail.ru
ORCID iD: 0000-0002-9497-4070
SPIN-code: 3600-4701
MD, Dr. Sci. (Medicine), Professor
Россия, Moscow; MoscowSvetlana A. Karavaeva
North-Western State Medical University named after I.I. Mechnikov
Email: swetl.karawaewa2015@yandex.ru
ORCID iD: 0000-0001-5884-9128
SPIN-code: 4224-5532
MD, Dr. Sci. (Medicine), Professor
Россия, Saint PetersburgTatiana V. Patrikeeva
Children's City Multidisciplinary Clinical Specialized Center of High Medical Technologies
Author for correspondence.
Email: tv_omelchenko@mail.ru
ORCID iD: 0000-0002-5247-836X
SPIN-code: 3823-4340
MD, Cand. Sci. (Medicine)
Россия, Saint PetersburgYuri V. Levadnev
North-Western State Medical University named after I.I. Mechnikov; Children's City Multidisciplinary Clinical Specialized Center of High Medical Technologies
Email: yu-lev@yandex.ru
ORCID iD: 0000-0003-4087-9462
SPIN-code: 5639-6315
MD, Cand. Sci. (Medicine)
Россия, Saint Petersburg; Saint PetersburgNadezhda V. Kulikova
Filatov N.F. Children's City Hospital
Email: dr.kulikovan.v@gmail.com
ORCID iD: 0000-0003-0834-2630
SPIN-code: 4687-1558
MD, Cand. Sci. (Medicine)
Россия, MoscowNatalya N. Petrova
Children's City Multidisciplinary Clinical Specialized Center of High Medical Technologies
Email: penany@yandex.ru
ORCID iD: 0009-0006-6571-7696
MD
Россия, Saint PetersburgReferences
- Pavlenko VV. Main clinical syndromes in respiratory diseases: methodical manual. In: StudFiles [Internet]. Stavropol: Stavropol State Medical University; 2008 [cited 2024 Apr 23]. Available from: https://studfile.net/preview/2704889/ (In Russ.)
- Weerakkody Y, Bell D, Kabbani AL, et al. Lung atelectasis. In: Radiopaedia [Internet]. Radiopaedia.org; 2005–2024 [cited 2023 Sep 09]. Available from: https://radiopaedia.org/articles/lung-atelectasis
- Zykova NV. Atelectasis of the lung. In: Beauty and Medicine [Internet]. Beauty and Medicine; 2024 [cited 2024 Apr 23]. Available from: http://krasotaimedicina.ru/ (In Russ.)
- Atelectasis. In: The National Heart, Lung, and Blood Institute [Internet]. Bethesda: NHLBI; 2024 [cited 2024 Apr 23]. Available from: https://web.archive.org/web/20190330163255/https://www.nhlbi.nih.gov/health-topics/atelectasis
- Peroni DG. Atelectasis: Mechanisms, diagnosis and management. Paediatr Respir Rev. 2000;1(3):274–278. doi: 10.1053/prrv.2000.0059
- Woodring JH. Types and mechanisms of pulmonary atelectasis. J Thorac Imaging. 1996;11(2):92–108. doi: 10.1097/00005382-199621000-00002
- Hansell DM, Bankier AA, MacMahon H, et al. Society: Glossary of terms for thoracic imaging. Radiology. 2008;246(3):697–722. doi: 10.1148/radiol.2462070712
- Madappa T. Atelectasis differential diagnoses. In: Medscape [Internet]. WebMD LLC; 1994–2024 [cited 2020 Oct 22]. Available from: https://emedicine.medscape.com/article/296468-differential?form=fpf
Supplementary files














