Thoracoabdominal localization of a teratodermoid tumor in a child
- Authors: Bessarabov V.I.1
-
Affiliations:
- Volgograd State Medical University
- Issue: Vol 28, No 2 (2024)
- Pages: 245-248
- Section: CLINICAL PRACTICE. GOLDEN ARCHIVE
- Submitted: 03.10.2023
- Accepted: 17.04.2024
- Published: 30.05.2024
- URL: https://jps-nmp.ru/jour/article/view/737
- DOI: https://doi.org/10.17816/ps737
- ID: 737
Cite item
Full Text
Abstract
BACKGROUND: A benign teratodermoid tumor of thoracoabdominal localization is a rare condition in which one half of the formation is located in the pleural cavity, and covered with the visceral pleura of the right lung lower lobe and the other half is located in the right liver lobe The incidence of teratodermoid tumors of the thoracic-abdominal location is unknown; no such publications are found in the literature .
CLINICAL CASE DESCRIPTION: This article describes a clinical case of a child with a benign teratodermoid tumor of thoraco-abdominal localization, which was detected during X-ray examination of the chest organs because of respiratory disease. It is believed that surgical intervention is the only effective treatment for this pathology. During surgery, it was found out that the tumor had a dumbbell shape; its upper part was located in the chest cavity, and the symmetrical lower part-via a congenital hole in the diaphragm — was located in the right liver lobe. Despite of such unusual location, all tumor was enucleated.
CONCLUSION: This clinical case demonstrates the only described complete surgical removal of the tumor with rare thoracoabdominal location.
Full Text
ОБОСНОВАНИЕ
В Клинике детской хирургии Больницы № 7 Волгоградского государственного медицинского института, за период с 1971 по 2013 г. было единственное наблюдение тератодермоидной опухоли грудобрюшной локализации.
ОПИСАНИЕ КЛИНИЧЕСКОГО СЛУЧАЯ
Больной К., 2-х лет, поступил 07.07.1971 с диагнозом «объёмное образование в нижней доле правого лёгкого». Мальчик родился в срок, рос и развивался нормально. Профилактические прививки выполнены в соответствии с возрастом. Трижды болел острыми респираторными вирусными инфекциями. Объёмное образование в грудной полости обнаружено случайно по результатам рентгенографии [1]. Сразу же ребёнок был направлен в клинику детской хирургии.
Результаты физикального, лабораторного и инструментального исследования
Состояние ребёнка при поступлении удовлетворительное, пациент жалоб не предъявлял. Кожа и видимые слизистые чистые, физиологической окраски. Периферические лимфоузлы не увеличены. Над лёгкими выслушивается везикулярное дыхание, хрипов нет, перкуторный звук легочный. Частота дыхательных движений 26 в мин. Тоны сердца чистые, ясные. Пульс 94 в мин., удовлетворительных качеств. Артериальное давление 97/60 мм рт. ст. Живот симметричный, при пальпации мягкий, безболезненный. Физиологические отправления в норме. Клинические анализы крови и мочи без особенностей. Реакция Касони слабоположительная.
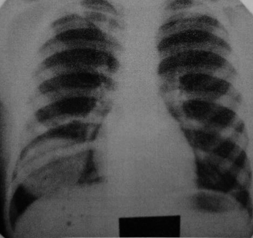
Рентгенография органов грудной клетки. Справа в области нижней доли на фоне неизмененной легочной ткани имеется объёмное образование округлой формы с ровной, гладкой поверхностью диаметром около 6 см; нижней полуокружностью образование касается купола диафрагмы [2]. Других изменений не обнаружено (рис. 1).
Рис. 1. Рентгенограмма органов грудной клетки: опухоль видна как шаровидное образование над диафрагмой справа.
Fig. 1. X-ray of the chest organs: the tumor is visible as a spherical formation above the diaphragm on the right.
Диагноз
На основании клинико-рентгенологических данных поставлен диагноз «эхинококковая(?) киста нижней доли правого лёгкого».
Лечение
Ребёнок прооперирован 11.07.1971 — выполнена правосторонняя переднебоковая торакотомия в VI межреберье. При ревизии над диафрагмой обнаружено объёмное образование размерами 6,5×5,0 см, рыхло окутанное нижней поверхностью лёгкого; местами висцеральная плевра нижней доли спаяна с капсулой образования. Спайки устранены, а нижняя доля слегка приподнята кверху. На этом этапе стало ясно, что образование не имеет отношения к лёгкому, но остаётся значительно ограниченным в подвижности и его невозможно отделить от диафрагмы. При дальнейшей ревизии выяснилось, что от нижнего полюса образования отходит мощный, плотный тяж диаметром около 4 см, но очень короткий. Тяж «уходит» в брюшную полость через врождённое отверстие в зоне купола диафрагмы и тут же переходит в другое объёмное образование, то есть другой узел, который располагается в правой доле печени. На этом этапе операции стало ясно, что мы имеем дело с пороком развития — гантелевидная форма опухоли удивительно редкой грудобрюшной локализации. К тому же важно, что половина опухоли располагалась не просто в брюшной полости, а внутрипечёночно — в правой доле печени [3].
Отверстие в диафрагме, диаметр которого составлял 4 см, расширено вправо и влево до 8 см. После этого осторожно, методично удалось произвести энуклеацию второй половины опухоли из печени без малейшего кровотечения. После удаления внутрипечёночной части опухоли выяснилось, что паренхима печени по всему периметру отделялась от опухоли тончайшей пленочной оболочкой белесоватого цвета. Внутрипечёночная полость значительно уменьшилась в размерах, поэтому не было необходимости её тампонировать. Сам процесс энуклеации второго узла из печени проходил без малейших технических затруднений. Более того, по ходу операции создавалось впечатление, что узел чем-то подталкивается, поэтому на тракцию этого узла из печени мы практически не затратили никаких усилий. Капсула печени была ушита с оставлением микроирригатора (отделяемого не было), затем восстановлена диафрагма и послойно ушита плевральная полость.
Рис. 2. Тератодермоидная опухоль: a — рентгенограмма опухоли (в нижней половине видны зубы); b — рисунок расположения опухоли (автор Калмыков, г. Воронеж).
Fig. 2. Teratodermoid tumor: a — tumor X-ray picture (teeth are visible in the lower half); b — a drawing of the location of the tumor (author Kalmykov, Voronezh).
Макропрепарат. Удаленная опухоль имела форму гантели с примерно одинаковыми размерами обеих половин (6,0×6,5×5,5 см), плотную толстостенную капсулу с ровной гладкой поверхностью. На разрезе опухоль солидно-кистозного строения, серовато-розового цвета (рис. 2). В узле, который располагался внутрипечёночно, обнаружен 21 зуб (все они одинаковые, белоснежные, размерами около 0,5×0,5 см).
Исход и результаты последующего наблюдения
Ребёнок выписан домой 25.07.1971 в удовлетворительном состоянии. При изучении обзорных рентгенограмм после операции никаких признаков внутрибрюшинного (внутрипечёночного) расположения второго узла тератодермоидной опухоли обнаружить не удалось, несмотря на наличие зубов в этой половине «гантели».
ЗАКЛЮЧЕНИЕ
Топография врождённой тератодермоидной опухоли у ребёнка в нашем редком клиническом наблюдении имеет большой интерес для широкого круга врачей, особенно для хирургов, поэтому мы решили его опубликовать. Подобного в доступной литературе мы не нашли.
ДОПОЛНИТЕЛЬНАЯ ИНФОРМАЦИЯ
Источник финансирования. Статья публикуется без спонсорской поддержки.
Конфликт интересов. Авторы заявляют об отсутствии явных и потенциальных конфликтов интересов.
ADDITIONAL INFORMATION
Funding source. The publication had no sponsorship.
Competing interests. The authors claim that there is no conflict of interest in the article.
About the authors
Viktor I. Bessarabov
Volgograd State Medical University
Author for correspondence.
Email: yura.bessarabov.96@mail.ru
MD, Cand. Sci. (Medicine)
Россия, 1 Pavshikh Bortsov square, 400066 VolgogradReferences
- Neimark MI. Diagnosis of teratodermoid masses of the mediastinum. Bulletin Surg I.I. Grekov. 1980;124(2):14–19. (In Russ).
- Saryeva OP, Zolotukhina AO, Protsenko EV, Sharygin SA. Congenital immature teratomas. Two case reports. Arch Pathology. 2021;83(2):37–33. EDN: VGAIMP doi: 10.17116/patol20218302133
- Borisov AE, Kubachev KG, Kukushkin AV, et al. Diaphragmatic hernias. Diagnosis and surgical treatment. Bulletin Surg I.I. Grekov. 2012;171(6):38–42. EDN: PFPOIH
Supplementary files





