Jadassohn's nevus in a newborn: surgical treatment or conservative tactics
- Authors: Karyakina I.A.1, Rekhviashvili M.G.2,3, Bazina I.G.1, Bogatyreva N.N.1, Propletkina K.D.4
-
Affiliations:
- Morozov Children's Municipal Clinical Hospital
- Moscow Regional Center for Maternal and Child Health
- Russian University of Medicine
- The Russian National Research Medical University named after N.I. Pirogov
- Issue: Vol 28, No 2 (2024)
- Pages: 231-238
- Section: Case reports
- Submitted: 05.10.2023
- Accepted: 06.12.2023
- Published: 30.05.2024
- URL: https://jps-nmp.ru/jour/article/view/738
- DOI: https://doi.org/10.17816/ps738
- ID: 738
Cite item
Full Text
Abstract
BACKGROUND: Jadassohn's nevus (seborrheic nevus, nevus of the sebaceous glands) is a hamartoma which is mainly localized on the scalp and face skin. At birth, it looks like a barely noticeable light yellow plaque which significantly increases at the puberty period under androgenic stimulation. The histological picture of Jadasson's nevus is characterized by changes in the epidermis in the form of acanthosis, papillomatosis, hyperkeratosis, and a large number of hyperplastic sebaceous glands. Pluripotent epithelial cells, which are part of the hamartoma, may provoke the growth of secondary benign and malignant tumors. This nevus may be manifested by Schimmelpenning–Feuerstein–Mims syndrome which can damage the nervous system and eyes. Currently, there are no uniform recommendations for the management of patients with Jadassohn's nevus.
CLINICAL CASE DESCRIPTION: In this article, we present our own experience of treating two children discussed pathology. The first boy had a radical surgery at the age of 16 days of life because of large dimensions of the nevus and a significant cosmetic defect. Removal of the formation at the neonatal period has prevented the development of rough postoperative scars and promoted good cosmetic outcome due to high elastic and regenerative properties of baby's skin. In the second child, Jadasson's nevus looked like a barely noticeable light yellow plaque; therefore, conservative tactics was chosen for this patient. Both children were consulted by a neurologist and an ophthalmologist who found no pathology in the nervous system and in the vision organs.
CONCLUSION: The described two clinical examples demonstrate the need for individual and multidisciplinary approaches in the management of patients with Jadasson's nevus. Active surgical tactics should be applied because of a significant cosmetic defect rather than for the prevention of malignant transformation which is met in less than 1% of cases.
Full Text
ОБОСНОВАНИЕ
Невус Ядассона (НЯ, себорейный невус, невус сальных желёз) — врожденная кожная гамартома, содержащая эпидермальный, фолликулярный, апокринный или сальный компонент и относящаяся к органоидным невусам [1, 2]. Встречается у 0,3% новорожденных, при этом заболеваемость среди мальчиков и девочек одинакова [3, 4]. Наиболее часто НЯ локализуется на коже волосистой части головы, лице, шее, однако в редких случаях, возможно поражение туловища или конечностей [5]. Характерно распределение вдоль линий Блашко, в результате чего невус принимает форму овала или запятой [1, 2, 6, 7].
Возникновение данной гамартомы связано с постзиготными соматическими мутациями в сигнальном пути последовательностей ДНК, ассоциированных с ретровирусом: были обнаружены специфические активирующие мутации в генах HRAS и KRAS, которые приводят к усилению клеточной пролиферации [1, 7–9].
У новорождённых НЯ имеет вид малозаметной лишенной волос гладкой бляшки от светло-жёлтого до оранжевого цвета. Гистологически отмечаются недостаточно развитые сальные железы, изменения эпидермиса в виде незначительного акантоза и умеренного папилломатоза [3, 8, 10]. В период полового созревания очаги увеличиваются. Невус приобретает бородавчатый или узловатый вид с бархатистой или бугристой поверхностью, цвет варьирует от темно-жёлтого до коричневого [1, 2, 10, 11]. Эта эволюция отражает гистологическую дифференцировку сальных желёз кожи, папилломатозную эпидермальную гиперплазию и созревание апокринных желёз на фоне гормональных изменений в организме ребёнка, прежде всего, андрогенной стимуляции [3, 7, 9].
В пределах НЯ возможно развитие многочисленных вторичных опухолей, частота возникновения которых увеличивается с возрастом пациента, особенно после полового созревания [7]. Большинство опухолей являются доброкачественными. Наиболее часто встречаются трихобластома и сосочковая сирингоцистаденома [6, 8, 12, 13]. В более редких случаях (менее 1% наблюдений) обнаруживается злокачественная трансформация невуса сальных желёз и развитие базальноклеточной карциномы [3]. Неопластический потенциал себорейного невуса обусловлен плюрипотентностью клеточных элементов, входящих в его состав и способных давать начало различным опухолевым структурам [8].
НЯ может быть ассоциирован с синдромом линейного сального невуса (синдром Шиммелпеннинга– Фейерштейна–Мимса), для которого характерны следующие внекожные проявления: поражение центральной нервной системы, включающее судороги и умственную отсталость; аномалии глаз и скелета [5, 8]. Развитие данного синдрома преимущественно связано с наличием гигантского невуса сальных желёз, в связи с чем необходимо комплексное обследование пациентов, а при наличии поражения площадью более 1% поверхности тела — обязательная оценка неврологического статуса [6, 14].
В настоящее время нет единых рекомендаций для ведения пациентов с НЯ. Ряд отечественных и зарубежных авторов считают необходимым радикальное хирургическое удаление образования в период новорожденности, другие же придерживаются консервативной тактики. В данной статье мы хотим представить собственный опыт лечения двух пациентов с себорейным невусом.
ОПИСАНИЕ КЛИНИЧЕСКИХ СЛУЧАЕВ
Клинический случай № 1
Доношенный мальчик Х. поступил в стационар в возрасте 3-х сут. Родители предъявляли жалобы на объёмное образование в области головы и правой ушной раковины, которое было диагностировано на 18-ой нед. беременности по данным ультразвукового скрининга.
Результаты физикального, лабораторного и инструментального исследования
При осмотре на волосистой части головы в правой височно-теменной области определялось папилломатозное образование бледно-розового цвета неправильной формы размерами 11×5 см, возвышающееся над поверхностью кожи, переходящее на правую ушную раковину и заушную область (рис. 1). Ближе к сагиттальному шву участок образования покрыт корками. При пальпации образование мягко-эластической консистенции с мелкобугристой поверхностью, безболезненное.
Рис. 1. Внешний вид пациента в возрасте 5 сут.: a — правая височная область; b — правая височно-теменная область.
Fig. 1. View of the patient at 5 day age: a — the right temporal region; b — the right temporoparietal region.
Лечение
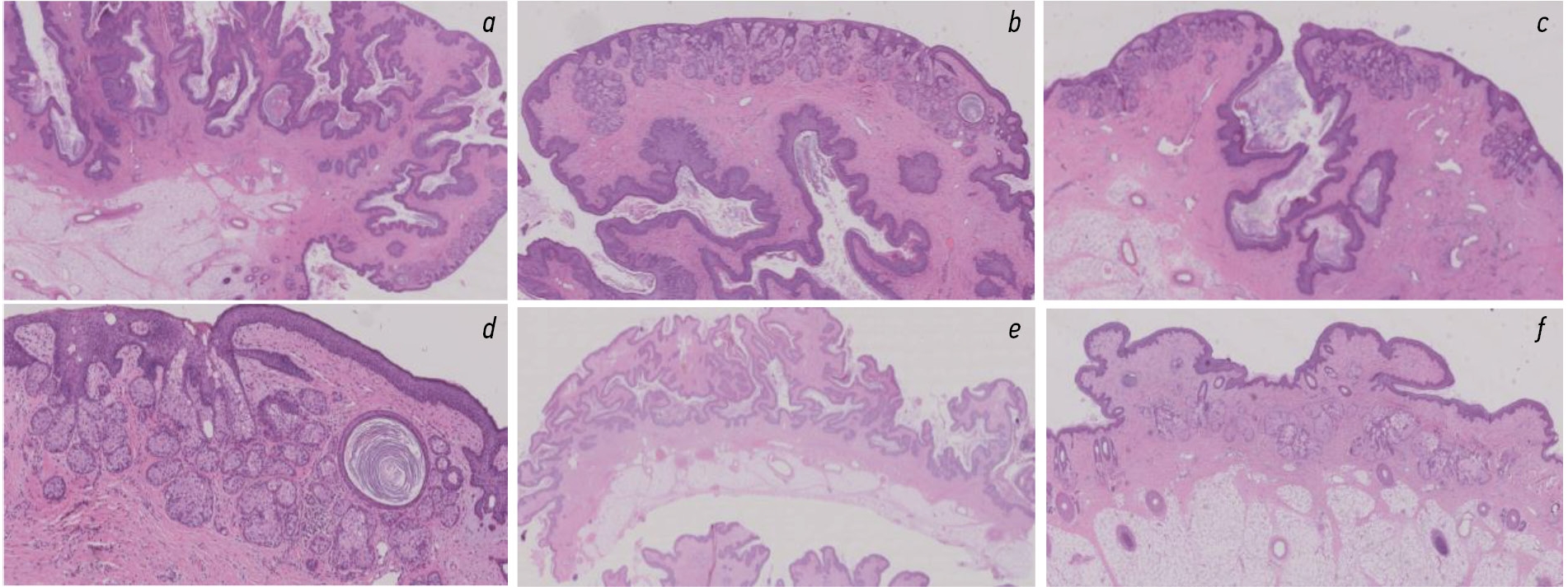
После предоперационного общеклинического обследования образование было частично удалено с целью гистологической верификации (рис. 2, рис. 3). По данным микроскопического исследования полученного материала, определялись изменения эпидермиса в виде выраженного папилломатоза (рис. 4, a, b, e), акантоза и гиперкератоза с образованием кератиновых псевдокист (рис. 4, a, b, d). Отмечалось наличие фокусов изъязвления эпидермиса и реактивной воспалительной инфильтрации (рис. 4, d, e). Особо обращало на себя внимание наличие большого количества гиперплазированных сальных желёз, расположенных интрадермально и значительно превышающих по количеству волосяные фолликулы (рис. 4, b–d, f). Таким образом, было сделано заключение о соответствии морфологической картины НЯ.
Рис. 2. Внешний вид пациента после биопсии: a — правая височная область; b — правая височно-теменная область, образование частично удалено.
Fig. 2. View of the patient after biopsy: a — the right temporal region; b — the right temporoparietal region, the formation has been partially removed.
Рис. 3. Макроскопическая картина удалённого фрагмента образования.
Fig. 3. Macroscopic picture of the removed fragment of the formation.
Рис. 4. Микроскопическая картина биоптата: a, b, e — эпидермис с выраженным папилломатозом; a, b, d — эпидермис с выраженным акантозом и гиперкератозом с образованием кератиновых псевдокист; b, c — фокусы изъязвления и реактивной воспалительной инфильтрации; b–d, f — большое количество интрадермальных гиперплазированных сальных желёз; окраска гематоксилинэозином; увеличение ×10 (a–c, e, f), ×40 (c).
Fig. 4. Microscopic picture of the bioptat: a, b, e — epidermis with pronounced papillomatosis; a, b, d — epidermis with pronounced acanthosis and hyperkeratosis, formation of keratin pseudocysts; b, c — ulcerative foci and reactive inflammatory infiltration; b–d, f — large number of intradermal hyperplastic sebaceous glands; hematoxylin-eosin staining; magnification ×10 (a–c, e, f), ×40 (c).
В связи с большими размерами невуса с целью исключения синдрома Шиммелпеннинга–Фейерштейна–Мимса ребёнок был консультирован неврологом и офтальмологом, проведена магнитно-резонансная томография головного мозга и мягких тканей с внутривенным контрастированием. По результатам обследования патологий со стороны нервной системы и глаз выявлено не было.
В возрасте 16-ти сут проведено радикальное удаление НЯ и выполнена реконструктивная пластика кожи головы на лоскутах с широким основанием (рис. 5). Послеоперационный период протекал гладко. При микроскопическом исследовании удалённых фрагментов образования отмечались патологические изменения, идентичные обнаруженным в раннее взятых биоптатах.
Рис. 5. Внешний вид пациента после операции.
Fig. 5. Patient after surgery.
Исход и результаты последующего наблюдения
При осмотре ребёнка в возрасте 2 лет в волосистой части головы справа визуализируется нормотрофический рубец лямбдовидной формы, каждая из сторон которого длиной 4,5–6 см (рис. 6). Рубец не гиперемирован, над поверхностью кожи не выступает, лишён волосяного покрова, при привычном положении головы скрыт волосами. Конфигурация лица и шеи не изменена.
Рис. 6. Внешний вид ребёнка в возрасте 2 лет: a — при привычном положении головы рубец прикрыт волосами; b — нормотрофический рубец лямбдовидной формы в правой височно-теменной области.
Fig. 6. A child at the age of 2 years: a — the scar is covered with the hair under usual head position; b — the normotrophic lambdoid scar in the right temporoparietal region.
Клинический случай № 2
Доношенный мальчик Х. поступил в стационар в возрасте 3-х сут. Родители предъявляли жалобы на наличие образования на волосистой части головы.
Результаты физикального, лабораторного и инструментального исследования
При осмотре в правой височной области определяется слегка приподнятая над уровнем кожи бляшка светло-жёлтого цвета неправильной формы размерами 5×3 см с мелкими полушаровидными папулами. Бляшка лишена волос, переходит на правую скуловую область (рис. 7). При пальпации мягко-эластической консистенции, гладкая, безболезненная.
Рис. 7. Вид пациента в возрасте 6 сут.
Fig. 7. Patient at the age of 6 days.
С целью гистологической верификации образования ребёнку была проведена биопсия. Микроскопическая картина соответствовала НЯ. Ребёнок был консультирован неврологом и офтальмологом, по заключениям которых патологий со стороны нервной системы и органа зрения выявлено не было.
Исход и результаты последующего наблюдения
В связи с отсутствием выраженного косметического дефекта было принято решение о консервативной тактике ведения пациента. В настоящий момент ребёнок наблюдается амбулаторно.
ОБСУЖДЕНИЕ
В конце XX века основным методом лечения НЯ было его полное иссечение в младенчестве ввиду высокого риска малигнизации, достигавшего 22% [15]. В настоящее время проведены ретроспективные исследования с подробным изучением гистологического материала, которые показывают, что большинство опухолей, ранее диагностированных как базальноклеточная карцинома, на самом деле были доброкачественными новообразованиям — трихобластомами. В результате частота истинной злокачественной трансформации очень низка и составляет менее 1%. [2, 10, 16]. В связи с этим ряд зарубежных авторов предлагает консервативный подход в ведении пациентов с невусом сальных желёз, основанный на периодическом клиническом обследовании и биопсии подозрительных участков [6]. Хирургическое лечение рекомендовано пациентам со значимыми эстетическими проблемами. При этом радикальное удаление НЯ предпочтительно в младенческом возрасте, что связано с высокой эластичностью кожи младенцев и лучшими косметическими результатами в послеоперационном периоде [10, 14].
ЗАКЛЮЧЕНИЕ
В данной статье представлено клиническое наблюдение двух пациентов с невусом сальных желёз. Радикальное хирургическое удаление невуса у первого пациента в младенческом возрасте позволило уменьшить косметический дефект и предотвратить развитие грубых послеоперационных рубцов за счёт высоких эластических и регенеративных свойств кожи новорождённого. У второго пациента себорейный невус имел вид малозаметной светло-жёлтой бляшки, не причинявшей ребёнку выраженного дискомфорта, что позволило выбрать консервативный метод лечения.
Таким образом, описанные клинические примеры демонстрируют необходимость индивидуального и мультидисциплинарного подхода при лечении пациентов с НЯ. Радикальное удаление образования рекомендовано в младенческом возрасте пациентам со значимыми эстетическими проблемами и не должно являться основным методом лечения с целью профилактики злокачественной трансформации, встречающейся менее чем в 1% случаев.
ДОПОЛНИТЕЛЬНАЯ ИНФОРМАЦИЯ
Источник финансирования. Статья публикуется без спонсорской поддержки.
Конфликт интересов. Авторы заявляют об отсутствии явных и потенциальных конфликтов интересов.
Вклад авторов. Все авторы подтверждают соответствие своего авторства международным критериям ICMJE. Наибольший вклад распределён следующим образом: И.А. Карякина, И.Г. Базина, Н.Н. Богатырева, М.Г. Рехвиашвили — редактирование статьи; К.Д. Проплеткина — сбор и обработка материала, написание текста.
Согласие на публикацию. Авторы получили письменное согласие законных представителей пациентов на публикацию медицинских данных в обезличенной форме в журнале «Детская хирургия». Дата подписания 11.09.2023.
ADDITIONAL INFORMATION
Funding source. The publication had no sponsorship.
Competing interests. The authors claim that there is no conflict of interest in the article.
Authors’ contribution. All authors confirm compliance of their authorship with the international ICMJE criteria. The largest contribution is distributed as follows: I.A. Karyakina, I.G. Bazina, N.N. Bogatyreva, M.G. Rekhviashvili — editing; K.D. Propletkina — collecting and processing the material, manuscript writing.
Consent for publication. Written consent was obtained from the representatives of the patients for publication of relevant medical information and all of accompanying images in anonymized form within the manuscript in the journal Russian Journal of Pediatric Surgery. Date of signing 11.09.2023.
About the authors
Irina A. Karyakina
Morozov Children's Municipal Clinical Hospital
Author for correspondence.
Email: kariyakina@mail.ru
ORCID iD: 0009-0002-4034-8776
SPIN-code: 9711-9742
MD, Dr. Sci. (Medicine)
Россия, 4th Dobryninsky Lane 1/9, buil. 21, 119049 MoscowMikhail G. Rekhviashvili
Moscow Regional Center for Maternal and Child Health; Russian University of Medicine
Email: dr.rekhviashvili@yandex.ru
ORCID iD: 0000-0003-2256-6198
SPIN-code: 8467-3155
MD, Cand. Sci. (Medicine)
Россия, 6 Mira street, 140014 Lyubertsy, Moscow region; MoscowIrina G. Bazina
Morozov Children's Municipal Clinical Hospital
Email: mdgkb-facial@morozdgkb.ru
ORCID iD: 0000-0003-1116-2729
SPIN-code: 1698-9752
MD, Cand. Sci. (Medicine)
Россия, 4th Dobryninsky Lane 1/9, buil. 21, 119049 MoscowNina N. Bogatyreva
Morozov Children's Municipal Clinical Hospital
Email: centrpath@yandex.ru
ORCID iD: 0000-0002-7786-5075
SPIN-code: 2609-9662
MD
Россия, 4th Dobryninsky Lane 1/9, buil. 21, 119049 MoscowKristina D. Propletkina
The Russian National Research Medical University named after N.I. Pirogov
Email: kislinka2000@yandex.ru
ORCID iD: 0009-0000-4095-7614
MD
Россия, 1 street Ostrovityanova, 117997 MoscowReferences
- Garcias-Ladaria J, Cuadrado Rosón M, Pascual-López M. Epidermal nevi and related syndromes: Part 2: Nevi derived from adnexal structures. Actas Dermosifiliogr (Engl Ed). 2018;109(8):687–698. doi: 10.1016/j.ad.2018.05.004
- Wali GN, Felton SJ, McPherson T. Management of naevus sebaceous: A national survey of UK dermatologists and plastic surgeons. Clin Exp Dermatol. 2018;43(5):589–591. doi: 10.1111/ced.13422
- Baigrie D, Troxell T, Cook C. Nevus sebaceus. In: StatPearls [Internet]. Treasure Island (FL): StatPearls Publishing, 2023. Available from: https://www.ncbi.nlm.nih.gov/books/NBK482493/
- Zhuchkov MV, Bolshakova EE, Sonin DB, Rodionova SA. Dermatoscopic diagnostics of nevus sebaceous of Jadassohn. Vestnik dermatologii i venerologii. 2018;94(3):39–44. EDN: XXFTDN doi: 10.25208/0042-4609-2018-94-3-39-44
- Gu AK, Zhang XJ, Zhang LT, Ma FK. Nevus sebaceous at an unusual location: A rare presentation. Chin Med J (Engl). 2017;130(23):2897–2898. doi: 10.4103/0366-6999.219147
- Chepla KJ, Gosain AK. Giant nevus sebaceus: definition, surgical techniques, and rationale for treatment. Plastic Reconstruct Surg. 2012;130(2):296e–304e. doi: 10.1097/PRS.0b013e3182589df2
- Patel P, Malik K, Khachemoune A. Sebaceus and Becker’s nevus: Overview of their presentation, pathogenesis, associations, and treatment. Am J Clin Dermatol. 2015;16(3):197–204. doi: 10.1007/s40257-015-0123-y
- Maldonado D, Hanson F, Layher H, Tarbox M. Neurofibroma within a nevus sebaceus: A case report. Cureus. 2022;14(8):e28645. EDN: ZERHQC doi: 10.7759/cureus.28645
- Lihua J, Feng G, Shanshan M, et al. Somatic KRAS mutation in an infant with linear nevus sebaceous syndrome associated with lymphatic malformations: A case report and literature review. Medicine (Baltimore). 2017;96(47):e8016. doi: 10.1097/MD.0000000000008016
- Kamyab-Hesari K, Seirafi H, Jahan S, et al. Nevus sebaceus: A clinicopathological study of 168 cases and review of the literature. Int J Dermatol. 2015;55(2):193–200. doi: 10.1111/ijd.12845
- Gaidina TA, Dvornikov AS, Skripkina PA, Arutyunyan GB. Rationale for removing nevus sebaceus of jadassohn in young patients. Bulletin Russ State Med University. 2018;(3):80–83. EDN: VBFWJQ doi: 10.24075/vrgmu.2018.033
- Morimura S, Tomita Y, Ansai S, Sugaya M. Secondary malignant tumors arising in nevus sebaceus: Two case reports. Diagnostics. 2022;12(6):1448. EDN: SXLQOM doi: 10.3390/diagnostics12061448
- Lobato-Berezo A, Aguilera-Peiró P, Pujol-Vallverdú RM. Tumor collision over sebaceous nevus: Clues for dermoscopic diagnosis. Actas Dermosifiliogr (Engl Ed). 2018;109(7):647–648. doi: 10.1016/j.ad.2017.04.034
- El Ezzi O, de Buys Roessingh AS, Bigorre M, Captier G. Syndromic sebaceous nevus: Current findings. Int J Dermatol. 2018;57(5):599–604. doi: 10.1111/ijd.13942
- Westfried M, Mikhail GR. Multifocal basal-cell carcinomas in a nevus sebaceus of Jadassohn. J Dermatol Surg Oncol. 1981;7(5):420–422. doi: 10.1111/j.1524-4725.1981.tb00668.x
- Idriss MH, Elston DM. Secondary neoplasms associated with nevus sebaceus of Jadassohn: A study of 707 cases. J Am Academ Dermatol. 2014;70(2):332–337. doi: 10.1016/j.jaad.2013.10.004
Supplementary files










