Рецидив ложной левосторонней диафрагмальной грыжи, осложнённой ущемлением и некрозом ободочной кишки, перфорацией слепой кишки и перитонитом, у ребёнка 2 лет
- Авторы: Гумеров Р.А.1,2, Валитов И.О.1,2, Смирнов Е.А.2, Колодко С.В.2
-
Учреждения:
- Башкирский государственный медицинский университет
- Республиканская детская клиническая больница
- Выпуск: Том 28, № 2 (2024)
- Страницы: 239-244
- Раздел: Клинические случаи
- Дата подачи: 10.10.2023
- Дата принятия к публикации: 04.02.2024
- Дата публикации: 30.05.2024
- URL: https://jps-nmp.ru/jour/article/view/740
- DOI: https://doi.org/10.17816/ps740
- ID: 740
Цитировать
Полный текст
Аннотация
Обоснование. Несмотря на большое количество работ, посвященных диафрагмальной грыже у детей, эта проблема до настоящего времени является одной из самых актуальных в детской хирургии. Диагностика и лечение осложнений у пациентов с диафрагмальной грыжей до сих пор — одна из самых сложных задач в детской хирургии среди осложнений. Наиболее опасным является ущемление рецидивной грыжи, которое приводит к некрозу желудка и кишечника. Многие исследователи указывают на трудности диагностики ущемлённой диафрагмальной грыжи. Поздняя диагностика связана с недостаточным знанием практическими врачами особенностей клинического течения данного заболевания. Интенсивное развитие видеоэндоскопической хирургии в педиатрической практике способствует активному внедрению современных технологий для лечения пациентов с диафрагмальной грыжей, что значительно улучшает результаты лечения.
Описание клинического случая. Мы представляем редкий клинический случай: ребенку в возрасте 3 дней провели торакоскопическую коррекцию врожденной диафрагмальной грыжи Бохдалека. После перенесенной операции периодически возникали приступообразные боли в животе, рвота. Проводилось лечение у разных специалистов с диагнозом «аппендицит, кишечная колика, гастрит». Из-за отсутствия эффекта от проводимой терапии в возрасте 2 лет пациент был доставлен в клинику, где диагностировано ущемление рецидивной диафрагмальной грыжи, осложнённое некрозом ободочной кишки, перфорацией слепой кишки и перитонитом. Ребёнку была проведена лапаротомия, резекция ободочной кишки с анастомозом «конец в конец», пластика купола диафрагмы, ушивание перфорации слепой кишки, санация брюшной полости. Послеоперационный период протекал без осложнений. Пациент выписан домой на 12-е сут в удовлетворительном состоянии, осмотрен через 10 мес. — здоров, жалоб нет.
Заключение. Проблема ущемлённой диафрагмальной грыжи заслуживает внимания, потому что эта патология может приводить к серьёзным осложнениям. Своевременная диагностика и оперативное лечение врождённой диафрагмальной грыжи позволит добиться полного выздоровления пациентов и предотвратить развитие осложнений.
Полный текст
ОБОСНОВАНИЕ
Диагностика ущемлённых диафрагмальных грыж (ДГ) порой представляет собой весьма трудную задачу [1, 2, 4]. До сих пор имеет место запоздалая диагностика ущемлённых ДГ. Это часто происходит не потому, что отсутствуют характерные клинические признаки заболевания, а потому, что врачи не всегда помнят о возможности такого осложнения и неправильно расценивают отдельные симптомы, что порождает немало ошибок [3–6]. В настоящее время достигнуты значительные успехи в хирургическом лечении врождённых ДГ [3–5]. Несмотря на это, до сих пор в послеоперационном периоде наблюдаются такие осложнения, как хилоторакс, желудочно-пищеводный рефлюкс, рецидив грыжи, ущемление грыжи и спаечная кишечная непроходимость [6–10]. В связи с этим врождённая ДГ по-прежнему остаётся одной из актуальных проблем детской хирургии [1, 4, 11].
ОПИСАНИЕ КЛИНИЧЕСКОГО СЛУЧАЯ
Больной Г., 2 лет, 20.03.2023 переведён из Нефтекамской городской больницы в хирургическое отделение Республиканской детской клинической больницы (г. Уфа) с диагнозом «кишечная непроходимость (?)». Жалобы (со слов родителей): на тошноту, многократную рвоту с застойным содержимым, боли в животе, отсутствие стула.
Анамнез. В возрасте 3 дней ребёнку проведена торакоскопическая коррекция врождённой ДГ грыжи Бохдалека. Со слов матери выявлено, что ребёнка изредка беспокоили боли в животе. Однако ни родители, ни врачи не обратили на это особого внимания. Мальчик стал жаловаться на сильные приступообразные боли в животе и задержку стула 10.03.2023. Ребёнок получал ненаркотические обезболивающие препараты по назначению фельдшера. Через 6 дней возобновились боли в животе, многократная рвота. Бригадой скорой медицинской помощи ребёнок доставлен в приёмное отделение городской больницы по месту жительства. Однако был отпущен из приёмного покоя, так как, по мнению дежурного хирурга, в госпитализации ребёнок не нуждался. Через 8 ч температура тела повысилась до 38℃, усилилась боль в животе, продолжилась многократная рвота. Родители больного самостоятельно обратились в инфекционное отделение, и ребёнок был госпитализирован. В течение суток проводилось консервативное лечение (инфузионная терапия, антибиотики, обезболивающие). Несмотря на лечение, состояние ребёнка постепенно ухудшалось. В связи с этим через сутки больной доставлен в Республиканскую детскую клиническую больницу с диагнозом «кишечная непроходимость».
Физикальное обследование
При поступлении общее состояние пациента тяжёлое, кожные покровы бледные, температура тела 38–39℃. При аускультации над лёгкими везикулярное дыхание, тоны сердца приглушены, артериальное давление 110/70 мм рт. ст. Язык обложен белым налётом, сухой. Живот резко вздут, больше в верхней половине, периодически определяется видимая перистальтика кишечника. При пальпации отмечается резкая болезненность, напряжение мышц передней брюшной стенки. Перкуторный звук — тимпанический, притупление звука в отлогих местах живота не определяется. Печёночная тупость сохранена. Симптом Щёткина–Блюмберга слабо положительный. Перистальтика кишечника не выслушивается. Мочеиспускание свободное, безболезненное. При исследовании per rectum патологии не выявлено.
Лабораторная и инструментальная диагностика
Общий анализ крови: эритроциты 3,6×1012/л, гемоглобин 95 г/л, лейкоциты 14,9×109/л.
Биохимический анализ крови: общий билирубин 14,9 мкмоль/л, аланинаминотрансфераза 12,3 Ед/л, аспартатаминотрансфераза 23 Ед/л, общий белок 58,3 г/л, мочевина 3,72 ммоль/л.
Общий анализ мочи: показатели в пределах нормы.
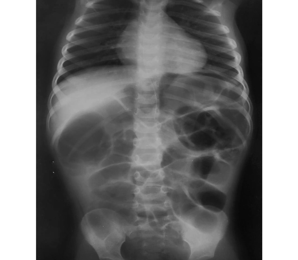
Обзорная рентгенограмма органов брюшной полости: выявлены неравномерное наполнение кишечника, растянутые газом петли кишечника, чаши Клойбера и свободный газ под куполом диафрагмы не выявлены (рис. 1).
Рис.1. Обзорная рентгенография брюшной полости: перерастянутые петли кишечника.
Fig. 1. Overview radiography of the abdominal cavity: overgrown intestinal loops.
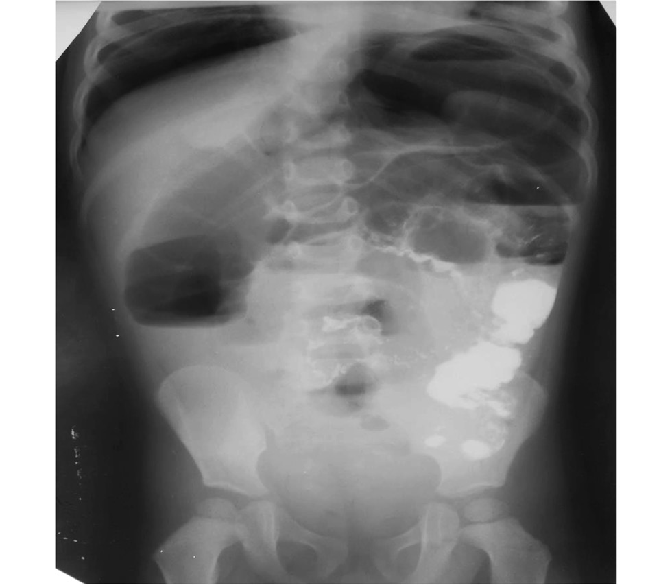
Рентгеноскопия кишечника: через 6 ч после перорального введения бариевой взвеси выявлены множественные чаши Клойбера, следы контраста в кишечнике, свободный газ под куполом диафрагмы (рис. 2).
Рис. 2. Картина непроходимости и перфорации полого органа: выявлен свободный воздух под куполом диафрагмы.
Fig. 2. Obstruction and perforation of the hollow organ is visible: free air under the dome of the diaphragm is revealed.
Ультразвуковое исследование органов брюшной полости: осмотр затруднён из-за повышенного содержания газов в кишечнике.
Предварительный диагноз: перфорация кишечника, перитонит, кишечная непроходимость, рецидив ДГ (?).
Оперативное лечение
После предоперационной подготовки выполнена верхнесрединная лапаротомия под эндотрахеальным наркозом. Выделилось большое количество мутного выпота. При ревизии обнаружены раздутые петли кишечника, червеобразный отросток не изменён. В области купола слепой кишки выраженный воспалительный процесс, стенка кишки отёчна, истончена «как пергаментная бумага», покрыта фибрином. После удаления фибрина в центре истончённого участка кишки выявлена перфорация размером 7×5 мм.
Декомпрессия кишечника проводилась путём отсасывания содержимого кишечника тонким катетером, установленным в дефект кишки (рис. 3). Перфорационное отверстие ушито Z-образным узловым швом (нить PDS 6/0).
Рис. 3. Перфорация слепой кишки, декомпрессия.
Fig. 3. Perforation of the cecum, decompression.
При осмотре в полости малого таза выявлено небольшое количество гноя. Проведена санация полости малого таза. При дальнейшей ревизии брюшной полости в области левого подреберья под куполом диафрагмы обнаружен воспалительный инфильтрат, состоящий из петли тонкой кишки и раздутой толстой кишки, ниже инфильтрата — кишка в спавшемся состоянии. После разделения инфильтрата и спаек обнаружено ущемление толстой кишки и сальника. После рассечения ущемляющего кольца диафрагмы осуществлялось низведение поперечной ободочной кишки и сальника из плевральной полости в брюшную.
Рис. 4. Некроз ободочной кишки.
Fig. 4. Necrosis of the colon.
Толстая кишка и сальник — темно-багрового цвета на протяжении 11 см (рис. 4, рис. 5). Дефект диафрагмы (4,5×3,5 см) ушит однорядными узловыми швами. Проведено дренирование плевральной полости. Затем выполнена резекция сальника и толстой кишки в пределах здоровых тканей, наложен анастомоз «конец в конец» двухрядным швом, наложены послойные швы на рану.
Рис. 5. Некротизированный участок большого сальника (резецирован).
Fig. 5. Necrotic area of the large omentum (resected).
Результат лечения. Послеоперационный период протекал без осложнений. Больной выписан на 12-е сут после операции, осмотрен через 10 мес. — жалоб нет.
Окончательный диагноз: ущемление левосторонней рецидивной ДГ, осложнённой некрозом ободочной кишки, перфорацией слепой кишки и перитонитом.
ОБСУЖДЕНИЕ
Лечение врождённых ДГ является одной из актуальных проблем детской хирургии [1, 4, 12, 13]. В настоящее время в отечественной и зарубежной литературе накоплен большой опыт лечения врождённых ДГ у детей [1–3]. Несмотря на внедрение новых технологий в послеоперационном периоде до сих пор наблюдаются такие осложнения, как хилоторакс, желудочно-пищеводный рефлюкс, непроходимость кишечника, рецидив грыжи [6–10]. По данным ряда авторов, рецидивы грыжи наблюдаются у 2,5–7% прооперированных больных [8–10]. Необходимо отметить, что приблизительно у половины этих пациентов рецидивы возникают в течение первого года после операции [5–7]. Кроме перечисленных осложнений наиболее опасным является ущемление [8, 10]. Н.Б. Киреева и соавт. описали редкий случай ложной ДГ, осложнённой ущемлением и некрозом подвздошной кишки у ребёнка 1 г. 7 мес. [14]. В нашем клиническом наблюдении представлено ущемление рецидивной ДГ, осложнённой некрозом ободочной кишки, перфорацией слепой кишки и перитонитом.
ЗАКЛЮЧЕНИЕ
Таким образом ущемление рецидивной ДГ — чрезвычайно редкое осложнение, которое приводит к целому ряду проблем во время лечебно-диагностического процесса. Только своевременная диагностика заболевания и оперативное вмешательство позволят уменьшить количество осложнений и ускорят выздоровление пациентов.
ДОПОЛНИТЕЛЬНАЯ ИНФОРМАЦИЯ
Источник финансирования. Статья публикуется без спонсорской поддержки.
Конфликт интересов. Авторы заявляют об отсутствии явных и потенциальных конфликтов интересов.
Вклад авторов. Все авторы подтверждают соответствие своего авторства международным критериям ICMJE. Наибольший вклад распределён следующим образом: А.А. Гумеров — редактирование; И.И. Валитов, Е.А. Смирнов — сбор и обработка материала; Р.А. Гумеров, С.В. Колодко — обработка материала и написание текста.
Согласие на публикацию. Авторы получили письменное согласие законного представителя пациента на публикацию медицинских данных в обезличенной форме в журнале «Детская хирургия». Дата подписания 15.03.2024.
ADDITIONAL INFORMATION
Funding source. The publication had no sponsorship.
Competing interests. The authors claim that there is no conflict of interest in the article.
Authors’ contribution. All authors confirm compliance of their authorship with the international ICMJE criteria. The largest contribution is distributed as follows: A.A. Gumerov — text editing; I.O. Valitov, E.A. Smirnov — collection and processing of material; R.A. Gumerov, S.V. Kolodko — processing of the material and writing the text.
Consent for publication. Written consent was obtained from the representatives of the patients for publication of relevant medical information and all of accompanying images in anonymized form within the manuscript in the journal Russian Journal of Pediatric Surgery. Date of signing 15.03.2024.
Об авторах
Рамиль Ахметович Гумеров
Башкирский государственный медицинский университет; Республиканская детская клиническая больница
Автор, ответственный за переписку.
Email: pedsurg@bk.ru
ORCID iD: 0000-0001-9991-6630
SPIN-код: 4921-3280
доктор медицинских наук
Россия, 450000, Республика Башкирия, Уфа, ул. Ленина, д. 3; УфаИльдар Октябревич Валитов
Башкирский государственный медицинский университет; Республиканская детская клиническая больница
Email: valitovio@yandex.ru
SPIN-код: 8512-2674
кандидат медицинских наук
Россия, 450000, Республика Башкирия, Уфа, ул. Ленина, д. 3; УфаЕвгений Александрович Смирнов
Республиканская детская клиническая больница
Email: smirnov79@bk.ru
MD
Россия, УфаСабина Вилевна Колодко
Республиканская детская клиническая больница
Email: gab.sabina04@gmail.com
MD
Россия, УфаСписок литературы
- Разумовский А.Ю., Мокрушина О.Г., Беляева И.Д., и др. Сравнительный анализ лечения новорожденных с врожденной диафрагмальной грыжей после пластики диафрагмы открытым и эндоскопическим способами // Детская хирургия. Журнал им. Ю.Ф. Исакова. 2012. № 3. С. 4–8. EDN: PGEPZT
- Козлов Ю.А., Новожилов В.А., Распутин А.А., и др. Торакоскопическая реконструкция врожденной диафрагмальной грыжи у новорожденных и детей раннего грудного возраста: сравнительное исследование // Российский вестник детской хирургии, анестезиологии и реаниматологии. 2013. № S. С. 71–72.
- Разумовский А.Ю., Мокрушина О.Г., Шумихин В.С., и др. Эндохирургические операции на диафрагме у новорожденных: первый опыт в России // Российский вестник детской хирургии, анестезиологии и реаниматологии. 2012. Т. 2, № 1. С. 80–86. EDN: OZPIRF
- Bennett A.J., Driver C.P., Munro M.B. Bilateral congenital diaphragmatic hernia // Ped Surg Int. 2005. Vol. 21, N 9. P. 739–741. doi: 10.1007/s00383-005-1468-8
- Becmeur F., Jamali R.R., Moog R., et al. Thoracoscopic treatment for delayed presentation of congenital diaphragmatic hermia in infant. A report of three cases // Surg Endosc. 2001. Vol. 15, N 10. P. 1163–1166. doi: 10.1007/s004640090064
- Соколов Ю.Ю., Хаспеков Д.В., Топилкин О.Г., и др. Опыт торакоскопии у детей с грыжами диафрагмы // Российский вестник детской хирургии, анестезиологии и реаниматологии. 2017. № S. С. 156.
- Joshi S., Sen S., Chacko J., et al. Abdominal muscle flap repair for large defects of the diaphragm // Pediatr Surg Int. 2005. Vol. 21, N 8. P. 677–680. doi: 10.1007/s00383-005-1438-1
- Parikh D.H., Crabbe D.C., Auldist A.W., Rothenberg S.S. Pediatric thoracic surgery. London, 2009. Р. 483–499.
- Гуз В.И., Полюдов С.А., Веровский В.А., и др. Пороки развития дафрагмы: поздняя диагностика и результаты лечения // Российский вестник детской хирургии, анестезиологии и реаниматологии. 2017. № S. С. 60.
- Гумеров А.А., Парамонов В.А., Гумеров Р.А., Алибаев А.К. Диагностика и лечение ущемленной грыжи собственно диафрагмы у детей // Российский вестник детской хирургии, анестезиологии и реаниматологии. 2014. № S. С. 48.
- Петрова Л.В., Мокрушина О.Г., Разумовский А.Ю., и др. Торакоскопическая коррекция врожденной диафрагмальной грыжи у новорожденных // Российский вестник детской хирургии, анестезиологии и реаниматологии. 2014. № S. С. 84.
- Гопиенко М.А., Караваева С.А., Щебеньков М.В., и др. Опыт лечения врожденных диафрагмальных грыж у новорожденных в ДКБ № 1 г. Санкт-Петербурга (2009–2016) // Российский вестник детской хирургии, анестезиологии и реаниматологии. 2017. № S. С. 53.
- Паршиков В.В., Карпова И.Ю., Обрядов В.П., Рожденкин Е.А. Лапароскопическая коррекция диафрагмальной грыжи у ребенка 5 лет // Российский вестник детской хирургии, анестезиологии и реаниматологии. 2016. Т. 6, № 3. С. 81–84. EDN: XCNYKR
- Киреева Н.Б., Заугаров М.Ю., Ясковец А.А. Редкий случай ложной диафрагмальной грыжи, осложненной ущемлением с некрозом подвздошной кишки, у ребенка 1 года 7 месяцев // Российский вестник детской хирургии, анестезиологии и реаниматологии. 2013. № S. С. 65–66.
Дополнительные файлы








