Stab wounds of the neck in children
- Authors: Gumerov A.A.1, Galimov I.I.1, Gumerov R.A.1,2, Islamov S.A.1, Khidiyatov I.I.1, Alibaev A.K.2, Valitov I.O.1, Kolodko S.V.2
-
Affiliations:
- Bashkir state medical university
- Republican children clinical hospital, Ufa
- Issue: Vol 28, No 3 (2024)
- Pages: 325-331
- Section: Case reports
- Submitted: 10.10.2023
- Accepted: 06.02.2024
- Published: 13.07.2024
- URL: https://jps-nmp.ru/jour/article/view/741
- DOI: https://doi.org/10.17816/ps741
- ID: 741
Cite item
Full Text
Abstract
BACKGROUND: Stab wounds in children are very rare and are described as isolated cases. Sharp metal foreign bodies in the neck pose a real threat to trachea, esophagus, large vessels and nerves. The risk of damage is still present when specialists try to remove foreign bodies, especially if they are fixed.
CLINICAL CASES DESCRIPTION: The aim of the study is to demonstrate outcomes after treating patients with neck injuries. We have two observations of stab wounds in the neck (with a knitting needle and a sewing needle) in children. To put diagnosis, we used clinical, laboratory, radiation and endoscopic methods. Surgery was done under general anesthesia, and the knitting needle and the sewing needle were removed from deep structures of the neck. Patients were discharged from the hospital in satisfactory state.
CONCLUSION: The described observations may be of interest to specialists because we could remove foreign bodies penetrated into the neck without damage to internal organs, vessels and nerves. To prevent complications, foreign bodies in the neck have to be removed by experienced specialists in an operating room under general anesthesia with artificial ventilation. In case of complications, radical surgery is indicated.
Keywords
Full Text
ОБОСНОВАНИЕ
Колотые ранения шеи (КРШ) у детей встречаются редко и описаны в виде единичных наблюдений [1, 2]. Проникающие ранения шеи, вследствие её топографо-анатомических особенностей, могут привести к повреждению трахеи, пищевода, крупных сосудов и нервов [3]. Своевременное использование всего диагностического арсенала позволяет точно верифицировать диагноз, максимально рационально спланировать тактику и минимизировать хирургическую агрессию [4, 5].
ОПИСАНИЕ КЛИНИЧЕСКИХ СЛУЧАЕВ
Клиническое наблюдение № 1
Больной Р., 2 лет 11 мес., доставлен бригадой скорой медицинской помощи в хирургическое отделение Республиканской детской клинической больницы (РДКБ) через час после травмы 06.10.2019. Со слов матери, мальчик, играя, неудачно упал на вязальную спицу, которая лежала на диване, и получил ранение шеи. С момента получения травмы прошло около 1 ч.
Результаты физикального, лабораторного и инструментального исследования
При поступлении состояние больного удовлетворительное. Поведение беспокойное, возбуждён, разговаривает, голос не изменен. Кожные покровы чистые, обычной окраски. Температура тела 37,3°С. Дыхание свободное, везикулярное, одышки нет. Тоны сердца чистые, частота сердечных сокращений 102 в мин, пульс удовлетворительного наполнения. Артериальное давление 120/60 мм рт. ст. Живот мягкий, безболезненный.
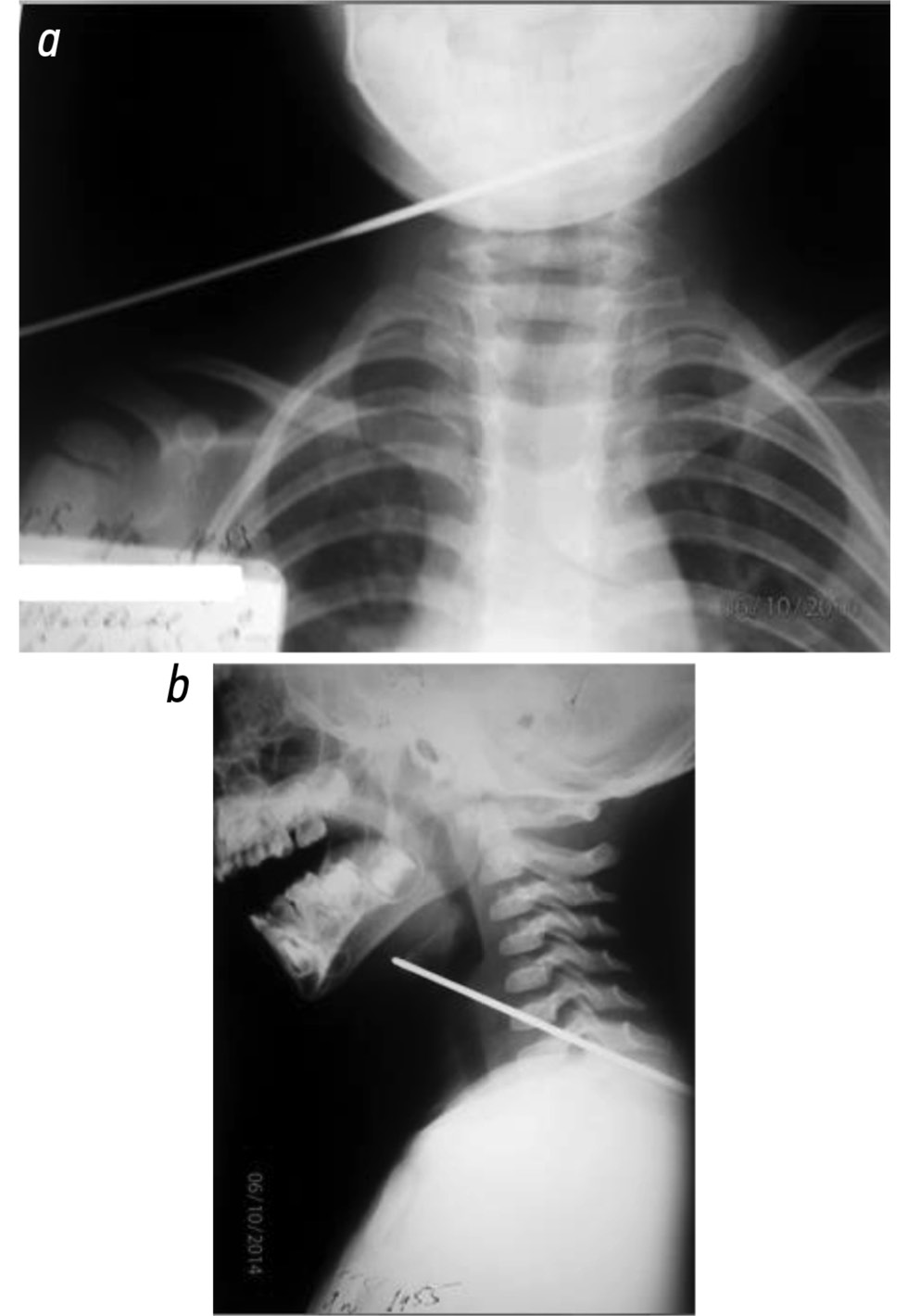
При осмотре определяется, что вязальная спица прошла справа по переднебоковой поверхности шеи в косо-восходящем направлении (рис. 1). При пальпации отмечается болезненность. Конец спицы определяется под кожей левой половины шеи без признаков кровотечения и подкожной эмфиземы (рис. 2). На рентгенограмме шейного отдела позвоночника определяется тень металлического инородного тела (спица), проходящая в косо-восходящем направлении справа налево в проекции от СVI до СVII (рис. 3, a, b).
Рис. 1. Ранение шеи вязальной спицей.
Fig. 1. Wounded neck with a knitting needle.
Рис. 2. Кончик спицы пальпируется в мягких тканях верхней трети шеи слева.
Fig. 2. The needle tip is palpated in soft tissues of the upper third of the neck on the left.
Рис. 3. Рентгенограмма шейного отдела позвоночника: тень металлического инородного тела (спица), проходящая в косо- восходящем направлении (a — прямая, b — боковая проекция).
Fig. 3. Cervical spine x-ray: shadow of a metallic foreign body (pin), passing in the obliquely ascending direction (a — direct projection, b — lateral projection).
Общий анализ крови: концентрация гемоглобина 120 г/л; количество эритроцитов 3,8×1012/л, лейкоцитов — 6,4×109/л.
Общий анализ мочи: без патологии.
Эзофагогастродуоденоскопия (ЭГДС): кровотечения и признаков повреждения стенки пищевода не выявлено.
Предварительный диагноз: КРШ без повреждения внутренних органов.
Больной проконсультирован отоларингологом, челюстно- лицевым хирургом и неврологом — патологических изменений не обнаружено.
Лечение
До операции мы не могли полностью исключить сопутствующие повреждения крупных сосудов и развитие кровотечения в момент удаления спицы, а также ранения пищевода и органов средостения. Мы были готовы выполнить радикальное оперативное вмешательство, поэтому проводили манипуляцию под эндотрахеальным наркозом с искусственной вентиляцией лёгких. Вязальная спица была извлечена из глубины шеи. Признаки повреждения органов и сосудисто-нервного пучка не выявлены (рис. 4). Кровотечение в момент извлечения инородного тела и после операции не наблюдалось.
Рис. 4. Удалённая вязальная спица длиной 75 мм.
Fig. 4. Removed knitting needle 75 mm long.
Исход и результаты последующего наблюдения
После операции больной получал антибактериальную терапию и анальгетики. Признаков воспалительных изменений в области раны и признаков воспаления в клинических анализах крови не отмечено. На 3 сут больной выписан домой. Осмотрен через 3, 6 и 12 мес. — здоров, жалоб не предъявляет.
Клиническое наблюдение № 2
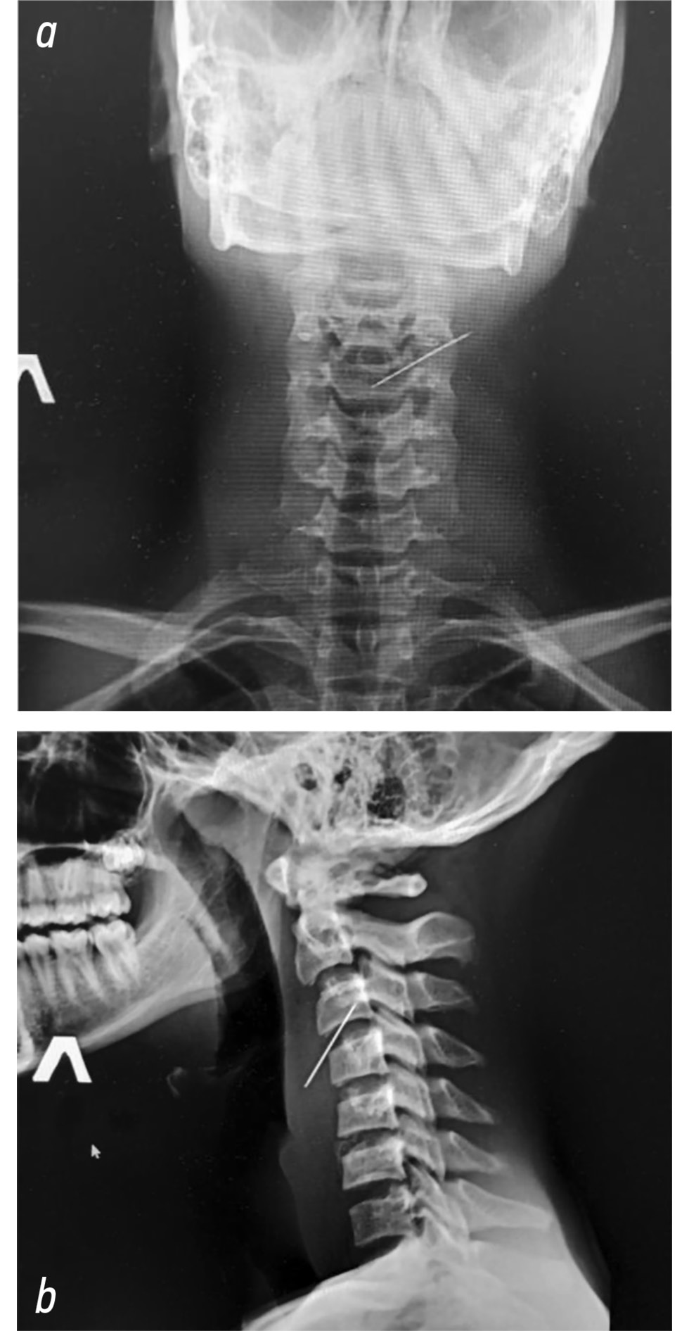
Больной Ю., 16 лет 10 мес., поступил в хирургическое отделение РДКБ с жалобами на боли в шее, гиперсаливацию, вынужденное положение головы и невозможность проглотить пищу. Мальчик чистил кариозный зуб швейной иглой и случайно вдохнул её. Больной обратился к хирургу по месту жительства и после рентгенографии грудной клетки был направлен в РДКБ с диагнозом «инородное тело пищевода» (рис. 5).
Рис. 5. Обзорная рентгенограмма шеи в прямой и боковой проекции: на уровне СIII–СIV определяется тень инородного тела — швейной иглы (a — прямая, b — боковая проекция).
Fig. 5. Plain X-ray of the neck in frontal and lateral projections: at the СIII–СIV level one can see the foreign body shadow — a sewing needle (a — direct projection, b — lateral projection).
Результаты физикального, лабораторного и инструментального исследования
При поступлении общее состояние мальчика удовлетворительное. Температура тела 37,2°С. Дыхание проводится по всем лёгочным полям, хрипов нет. Тоны сердца ритмичные, частота сердечных сокращений 109 в мин, артериальное давление 110/60 мм рт. ст. Язык чистый, влажный. Живот не вздут, мягкий, безболезненный. Печень и селезёнка не пальпируются. Стул и мочеиспускание не нарушены.
При осмотре на правой половине шей определяется небольшой отёк мягких тканей; пальпаторно — болезненность; гематомы и эмфиземы нет.
Общий анализ крови: концентрация гемоглобина 130 г/л; количество эритроцитов 4×1012/л, лейкоцитов — 8×109/л.
Общий анализ мочи: показатели в пределах нормы.
Обзорная рентгенограмма шейного отдела позвоночника в прямой и боковой проекциях: на уровне СIII–СIV определяется тень инородного тела — швейная игла (см. рис. 5).
ЭГДС: патологических изменений пищевода не выявлено.
Предварительный диагноз: инородное тело (швейная игла) шеи справа.
Лечение
Под общим обезболиванием и искусственной вентиляцией лёгких выполнено оперативное лечение — удаление швейной иглы. Выполнен поперечный разрез по складке шеи над проекцией инородного тела. Под грудино- ключично-сосцевидной мышцей на глубине 4–6 см от поверхности кожи обнаружена и удалена швейная игла. Осложнений не было (рис. 6, 7).
Рис. 6. Этап операции: удаление швейной иглы.
Fig. 6. Surgery: the stage of sewing needle removal.
Рис. 7. Удалённая швейная игла.
Fig. 7. Removed sewing needle.
Исход и результаты последующего наблюдения
В послеоперационном периоде проводилась антибактериальная и инфузионная терапия (1 сут) и обезболивание. Послеоперационное течение гладкое. Ребенок выписан домой в удовлетворительном состоянии на 12-е сут, осмотрен через 1 и 2 года после лечения и признан здоровым.
ОБСУЖДЕНИЕ
Ранения шеи у детей всегда создают реальную угрозу повреждения внутренних структур шеи [2]. Публикации, посвящённые данной проблеме, единичны и являются описаниями отдельных клинических наблюдений.
Так, М. Abdelmasasih и соавт. описывают девочку 11 лет, которая получила повреждение сосудов шеи, упав на карандаш [6]. За последние 20 лет увеличилось число пулевых ранений шеи, в том числе огнестрельных [1, 2]. Так, по данным L.R. Vick среди 18 детей с проникающими ранениями шеи только у троих выявлено повреждение пищевода [1]. Повреждения внутренних структур шеи у взрослых встречаются в 38,6% случаев от всех травм шеи. Наиболее часто встречаются ранение сосудов, трахеи, глотки [7, 8, 9]. Травмы шеи у детей встречаются реже.
Определённые трудности вызывает выявление до операции повреждения внутренних структур шеи. Особое место в предоперационном обследовании занимают тщательный сбор анамнеза, применение современных методов обследования: лабораторной диагностики, ЭГДС, ларингоскопии, рентгенографии, компьютерной томографии и ангиографии [4, 7–11].
Данные литературы и наши клинические наблюдения показывают, что даже глубокое, практически сквозное, ранение шеи не всегда сопровождается повреждением жизненно важных органов [2, 8, 12].
ЗАКЛЮЧЕНИЕ
Подводя итоги по представленным наблюдениям, необходимо отметить, что целью нашей работы является необходимость в очередной раз привлечь внимание практических врачей к одному из редких и коварных видов повреждений — КРШ у детей. Обследование и лечение детей с указанными травмами должно проводиться в специализированном стационаре с круглосуточной эндоскопической службой, детскими хирургами и реаниматологами, имеющими опыт работы с такими детьми.
ДОПОЛНИТЕЛЬНАЯ ИНФОРМАЦИЯ
Источник финансирования. Статья публикуется без спонсорской поддержки.
Конфликт интересов. Авторы заявляют об отсутствии явных и потенциальных конфликтов интересов.
Вклад авторов. Все авторы подтверждают соответствие своего авторства международным критериям ICMJE. Наибольший вклад распределён следующим образом: Гумеров А.А. — хирургическое лечение пациента, редактирование рукописи; Галимов И.И., Исламов С.А. — сбор и анализ литературных источников; Гумеров Р.А. — обследование больных, написание рукописи; Хидиятов И.И. — сбор и обработка материала; Алибаев А.К. — хирургическое лечение и курация пациентов; Хидиятов И.И., Валитов И.О. — сбор и обработка материала, изучение отдалённых результатов; Колодко С.В. — обработка материала и написание текста.
Согласие на публикацию. Авторы получили письменное согласие законных представителей пациентов на публикацию медицинских данных в обезличенной форме в журнале «Детская хирургия». Дата подписания 22.05.2023.
ADDITIONAL INFORMATION
Funding source. The publication had no sponsorship.
Competing interests. The authors claim that there is no conflict of interest in the article.
Authors’ contribution. All authors confirm compliance of their authorship with the international ICMJE criteria. The largest contribution is distributed as follows: Gumerov A.A. — surgical treatment of the patients, manuscript editing; Galimov I.I., Islamov S.A. — collection and analysis of literary sources; Gumerov R.A. — examination of patients, manuscript writing; Khidiyatov I.I. — collection and processing of material; Alibaev I.A. — surgical treatment and supervision of the patient; Khidiyatov I.I., Valitov I.О. — collection and processing of material, study of long-term results; Kolodko S.C. — processing of material and manuscript writing.
Consent for publication. Written consent was obtained from the representatives of the patients for publication of relevant medical information and all of accompanying images in anonymized form within the manuscript in the journal Russian Journal of Pediatric Surgery. Date of signing 22.05.2023.
About the authors
Aitbai A. Gumerov
Bashkir state medical university
Author for correspondence.
Email: prof.gumerov@mail.com
ORCID iD: 0000-0001-6183-8286
SPIN-code: 7615-7568
MD, Dr. Sci. (Medicine), Professor
Russian Federation, UfaIldar I. Galimov
Bashkir state medical university
Email: pedsurg@bk.ru
ORCID iD: 0000-0002-3970-9338
SPIN-code: 3353-2048
MD, Cand. Sci. (Medicine), Assoc. Professor
Russian Federation, UfaRamil A. Gumerov
Bashkir state medical university; Republican children clinical hospital, Ufa
Email: r.a.gumerov@gmail.com
ORCID iD: 0000-0001-9991-6630
SPIN-code: 4921-3280
MD, Dr. Sci. (Medicine)
Russian Federation, Ufa; UfaSalavat A. Islamov
Bashkir state medical university
Email: islamovsalavat@rambler.ru
ORCID iD: 0000-0003-1349-791X
SPIN-code: 9517-5314
MD, Cand. Sci. (Medicine)
Russian Federation, UfaIldar I. Khidiyatov
Bashkir state medical university
Email: hidiatoff.ildar@yandex.ru
ORCID iD: 0000-0003-1749-795X
SPIN-code: 1174-8850
MD, Dr. Sci. (Medicine), Professor
Russian Federation, UfaAybulat K. Alibaev
Republican children clinical hospital, Ufa
Email: pedsurg@bk.ru
SPIN-code: 4374-8493
MD, Cand. Sci. (Medicine)
Russian Federation, UfaIldar O. Valitov
Bashkir state medical university
Email: valitovio@yandex.ru
ORCID iD: 0009-0004-3999-8717
SPIN-code: 8512-2674
MD, Cand. Sci. (Medicine)
Russian Federation, UfaSabina V. Kolodko
Republican children clinical hospital, Ufa
Email: gab.sabina04@gmail.com
SPIN-code: 9573-7401
MD
Russian Federation, UfaReferences
- Vick LR, Islam S. Adding insult to injury: Neck exploration for penetrating pediatric neck trauma. Am Surg. 2008;74(11):1104–1106.
- Kim MK, Buckman R, Szeremeta W. Penetrating neck trauma in children: an urban hospital's experience. Otolaryngol Head Neck Surg. 2000;123(4):439–443. doi: 10.1067/mhn.2000.109760
- Britt L, Peyser M. Penetrating and blunt neck trauma. In: Feliciano DV, Mattox KL, Moore EE, editors. Trauma. 4th ed. McGraw-Hill; 2000. P. 437–450. doi: 10.1067/mva.2001.111692
- Gonzalez R, Falimirski M, Holevar M, Turk B. Penetrating zone II neck injury: Does dynamic computed tomographic scan contribute to the diagnostic sensitivity of physical examination for surgically significant injury? A prospective blinded study. J Trauma Inj Infect Crit Care. 2003;54(1):61–65. doi: 10.1097/00005373-200301000-00008
- Carol AL, Hanson MS, Smith RN. Penetrating neck injuries in children. J Trauma Nursing. 2007;14(1):12–16. doi: 10.1097/01.JTN.0000264138.25642.63
- Abdelmasasih M, Kayssi A, Roche-Nagle G. Penetrating paediatric neck trauma. BMJ Case Rep. 2019;12(5):e226436. doi: 10.1136/bcr-2018-226436
- Munera F, Cohn S, Rivas L. Penetrating injuries of the neck: Use of helical computed tomographic angiography. J Trauma Inj Infect Crit Care. 2005;58(2):413–418. doi: 10.1097/01.ta.0000141892.07192.55
- Korovkina EN. Neck injuries. N.I. Pirogov J Surg. 2014;(11):92–94. EDN: RISFCX
- Abakumov MM. Multiple and concomitant injuries of the neck, chest, abdomen. Moscow: Binom; 2013. 105 р. (In Russ.)
- Munera F, Soto J, Palacio D, et al. Penetrating neck injuries: helical CT angiography for initial evaluation. Radiology. 2002;224(2):366–372. doi: 10.1148/radiol.2242010973
- Woo K, Magner D, Wilson M, Margulies D. CT angiography in penetrating neck trauma reduces the need for operative neck exploration. Am Surg. 2005;71(9):754–758.
- Mosyagin VB, Rylkov VF, Karpatsky IV, Tymkiv EA. Neck injury without damage to vital structures: Features of surgical tactics. Grekov's Bulletin Surg. 2013;172(4):075–077. EDN: QYWXZJ doi: 10.24884/0042-4625-2013-172-4-075-077
Supplementary files










