Postoperative pneumoperitoneum in children: two clinical cases as an example
- Authors: Yusifova U.I.1, Chundokova M.A.1,2, Golovanev M.A.1,2, Ushakov K.V.1,2, Dondup O.M.1
-
Affiliations:
- The Russian National Research Medical University named after N.I. Pirogov
- Filatov N.F. Children's City Hospital
- Issue: Vol 28, No 4 (2024)
- Pages: 418-424
- Section: Case reports
- Submitted: 26.01.2024
- Accepted: 10.07.2024
- Published: 09.09.2024
- URL: https://jps-nmp.ru/jour/article/view/787
- DOI: https://doi.org/10.17816/ps787
- ID: 787
Cite item
Full Text
Abstract
BACKGROUND: The literature describes various causes of free gas in the abdominal cavity, or pneumoperitoneum, in the immediate postoperative period. In such cases, surgeons should find out if the residual gas is postoperative pneumoperitoneum, or it is some postoperative complication requiring surgical intervention. In the present article, the authors describe two clinical cases of pneumoperitoneum in children after elective surgeries.
CLINICAL CASE DESCRIPTION: First case: free gas was fund in a 6-year-old child at ultrasound examination and overview radiography of the abdominal organs. Perforation of some hollow organ was suspected. After conservative measures (infusion therapy with glucose-salt solution, anesthesia, cleansing enema), which did not give any positive dynamics, diagnostic laparoscopy was performed. No perforation in genital organs was detected. On the second postoperative day, the child was discharged in the satisfactory state.
Second case: ultrasound examination and overview radiography of the abdominal organs revealed free gas under the diaphragm dome in a 13-year-old patient. Taking into account the clinical picture and instrumental diagnostic findings, diagnostic laparoscopy was performed which revealed swollen intestinal loops without signs of perforation. The child was discharged on the third postoperative day. Control ultrasound examination of the abdominal cavity organs showed no any free gas; in the left iliac region, moderate edematous tissue 1×1.5 cm was seen.
CONCLUSION: Dynamic monitoring of patients with postoperative pneumoperitoneum and without signs of peritonitis should be performed. If there is no positive dynamics in child’s condition, diagnostic laparoscopy or laparotomy are recommended.
Keywords
Full Text
Обоснование
Абдоминальный болевой синдром у детей после операции на органах брюшной полости — частое явление, требующее клинического осмотра, лабораторной и инструментальной диагностики: обзорной рентгенографии (ОР), ультразвукового исследования (УЗИ), компьютерной томографии (КТ) органов брюшной полости (ОБП), а при необходимости — хирургического вмешательства.
Обнаружение свободного газа в брюшной полости после лапаротомии или лапароскопии — нередкая ситуация, однако она всегда настораживает хирурга в отношении послеоперационных осложнений, особенно если сопровождается жалобами и ухудшением состояния пациента.
В ряде случаев возникает диагностическая дилемма относительно происхождения свободного газа в брюшной полости: представляет ли это просто остаточный послеоперационный пневмоперитонеум (ПП), который не требует оперативного вмешательства, или же указывает на послеоперационные осложнения, требующие хирургического пособия. Остаточный пневмоперитонеум обычно хорошо переносится пациентами и является доброкачественным состоянием.
Цель работы — представить клинические случаи ПП у детей без перфорации полого органа и перитонита и рассмотреть оптимальную тактику ведения таких пациентов.
Описание клинических случаев
Клинический случай № 1
Больной (6 лет) был доставлен в Детскую городскую клиническую больницу им. Н.Ф. Филатова бригадой скорой помощи через 10 ч в после плановой операции по поводу пупочной грыжи (пупочное грыжесечение с пластикой апоневроза) с жалобами на боли в животе.
Результаты физикального, лабораторного и инструментального исследования
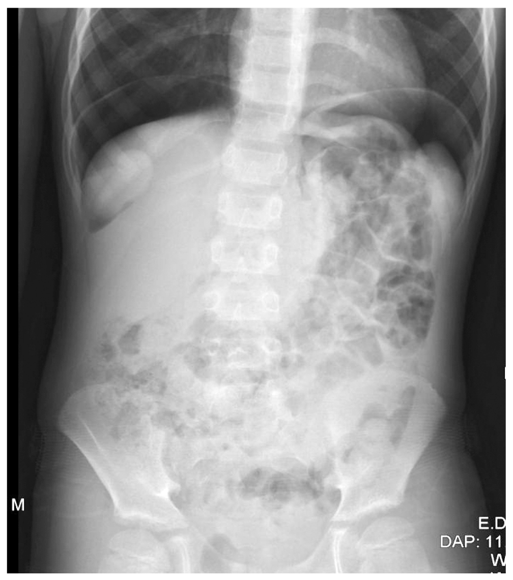
При пальпации живот мягкий, умеренно болезненный во всех отделах, симптомы раздражения брюшины (Щёткина–Блюмберга, Раздольского) отрицательные. Температура тела не повышалась. Физиологические отправления без особенностей. Клинический анализ крови, мочи, кислотно-щелочное состояние крови — в пределах возрастной нормы. Выполнена ОР ОБП, по данным которой имелись признаки свободного газа в брюшной полости, что могло указывать на перфорацию полого органа (рис. 1).
Рис. 1. Клинический случай № 1: обзорная рентгенограмма органов брюшной полости.
Fig. 1. Clinical case 1. Overview radiography of the abdominal organs.
УЗИ ОБП — картина повышенного газонаполнения петель кишечника, признаки свободного газа в брюшной полости в умеренном количестве. За время динамического наблюдения (21 ч) на фоне симптоматической (метамизол натрия, дротаверин) и инфузионной терапии глюкозо-солевыми растворами, жалобы на боли в животе сохранялись, живот оставался болезненным во всех отделах, пассивное мышечное напряжение не определялось, появились симптомы раздражения брюшины.
Лечение
На основании данных инструментальных методов диагностики и ухудшения клинической картины, решено выполнить диагностическую лапароскопию, во время которой при ревизии органов брюшной полости перфорации полого органа не выявлено, в малом тазу обнаружено умеренное количество серозного выпота. Выпот удалён.
Исход и результаты последующего наблюдения
На 2 послеоперационные сутки ребёнку проведено контрольное УЗИ ОБП — свободный газ не определялся. Ребёнок выписан домой в удовлетворительном состоянии.
Клинический случай № 2
Больной (13 лет) поступил в экстренном порядке с жалобами на боли в животе, рвоту до 4 раз и отсутствие стула в течение последних 2 сут. За сутки до поступления ребёнку была выполнена лапароскопическая перевязка яичковых вен слева.
Результаты физикального, лабораторного и инструментального исследования
При пальпации живот болезненный во всех отделах, симптомы раздражения брюшины положительные. Температура тела 37,6 ℃. По клинико-лабораторным данным выявлены признаки дегидратации (гематокрит 50,2%, концентрация лактата в плазме крови 2,9 ммоль/л, концентрация К+ в плазме крови 5,8 ммоль/л, концентрация Cl− в плазме крови 113 ммоль/л), количество лейкоцитов в периферической крови 9,2×109/л. При проведении УЗИ ОБП в мезогастральной области обнаружено большое количество свободного газа; по боковым поверхностям живота определялись расширенные петли кишечника с утолщённой стенкой и жидкостным содержимым в просвете кишечника. Перистальтика вялая, маятникообразная. При ОР ОБП выявлен свободный газ в брюшной полости (рис. 2).
Рис. 2. Клинический случай № 2: обзорная рентгенограмма органов брюшной полости.
Fig. 2. Clinical case 2. Overview radiography of the abdominal organs.
Лечение
Учитывая клиническую картину и результаты инструментальных методов диагностики, ребёнку выполнена диагностическая лапароскопия. При ревизии брюшной полости определялись раздутые петли тонкой кишки, признаков перфорации полого органа не выявлено. Подбрюшинно в месте перевязки яичковых вен обнаружена гематома незначительных размеров.
Исход и результаты последующего наблюдения
На 2 послеоперационные сутки выполнено УЗИ ОБП — в левой подвздошной области обнаружен участок умеренно отёчных тканей, размерами 1×1,5 см. Ребёнок в удовлетворительном состоянии выписан домой на 3 послеоперационные сутки.
Обсуждение
Более 90% случаев пневмоперитонеума, требующего хирургического лечения, возникает в результате перфорации органов желудочно-кишечного тракта. Перфорация желудка или двенадцатиперстной кишки из-за пептической язвы является наиболее частой причиной пневмоперитонеума. Пневмоперитонеум также может возникнуть после травмы живота или перфорации дивертикула [1].
Наиболее частым проявлением пневмоперитонеума являются признаки перитонита и свободного газа в брюшной полости на ОР, и в большинстве случаев требуется срочное обследование и хирургическое вмешательство.
Однако иногда пневмоперитонеум не связан с висцеральной перфорацией и называется спонтанным пневмоперитонеумом (СП) или нехирургическим пневмоперитонеумом. СП связан с внутригрудными, внутрибрюшными, гинекологическими, ятрогенными или другими причинами. Как правило, СП не осложняется перитонитом, протекает доброкачественно и поддаётся консервативному лечению [1, 2].
Наличие неясных признаков перитонита и пневмоперитонеума после лапаротомии или лапароскопии представляет особую сложность для хирурга. Основная причина и клинические симптомы пневмоперитонеума определяют необходимость хирургического лечения. В то время как операция неизбежна при наличии признаков и симптомов острого живота, консервативное лечение показано при лёгких симптомах без перитонита. Подробный анамнез и физикальное обследование могут помочь в дифференциации хирургического и нехирургического пневмоперитонеума, что позволит избежать ненужной лапаротомии [3].
Хотя ОР органов грудной клетки и брюшной полости являются обычными диагностическими методами выявления даже небольшого количества газа в брюшной полости, КТ ОБП более чувствительна для выявления пневмоперитонеума и дифференциальной диагностики причин острого живота [4].
В обоих случаях, приведённых в данной статье, свободный воздух в брюшной полости, определявшийся на первичной ОР, расценён как остаточный послеоперационный пневмоперитонеум.
Выбор тактики ведения напрямую зависит от клинической картины и результатов инструментальных методов диагностики, применяемых для оценки наличия свободного газа в брюшной полости. Основным методом обнаружения пневмоперитонеума является ОР ОБП.
M. Milone и соавт. из университетской клиники в Неаполе в 2013 году опубликовали одно из самых масштабных проспективных исследований, связанных с рентген-диагностикой ПП. Среди 648 пациентов, которым выполнено оперативное вмешательство, свободный воздух в брюшной полости был обнаружен у 65 (10%) больных при первой рентгенологической оценке (через 2 сут после операции) и у 51 (7,8%) — на 3 послеоперационные сутки [5].
В некоторых публикациях изучалось применение КТ в диагностике ПП. Так, в статье, опубликованной в 2022 году V.M. Ramakrishnan и соавт. [6], говорится о 31 пациенте, перенёсшем роботизированную лапароскопическую простатэктомию, которым выполнялось КТ на 3, 5 и 7 послеоперационные сутки с целью контроля остаточного газа в брюшной полости. Исследователи пришли к выводу, что через неделю после вмешательств у ⅔ пациентов отмечается клинически незначимый пневмоперитонеум, даже при больших остаточных объёмах газа. Пациенты с бÓльшим индексом массы тела, как правило, имеют меньшие остаточные явления пневмоперитонеума. Более того, ряд исследователей используют КТ не только для подтверждения факта наличия остаточного воздуха в брюшной полости, но и для количественного определения его объёма. По данным B. Malgras наличие ПП следует рассматривать как нормальную находку в течение 1 нед. после операции. При обнаружении свободного газа в более позднем послеоперационном периоде считается тревожной находкой в случае, если объём остаточного воздуха составляет 20 см3 и более [7].
Хотя ОР ОБП является наиболее практичным и доступным методом диагностики даже небольшого количества свободного газа в брюшной полости, КТ более чувствительна для выявления пневмоперитонеума, однако имеет значительно большую лучевую нагрузку и является более труднодоступным методом в силу своей высокой стоимости.
Например, в проспективном одноцентровом слепом обсервационном исследовании с когортой из 22 пациентов, проведено исследование диагностической ценности УЗИ ОБП при пневмоперитонеуме. Точность исследования составила 88,6% с чувствительностью 95,5% и специфичностью 81,8%. Авторы пришли к выводу, что ультразвуковое исследование обладает высокой точностью, но его следует использовать в качестве дополнительного метода, а не как самостоятельное исследование [8].
Ряд авторов рекомендуют отслеживать динамику объёма газа с течением времени. Например, газ, который не рассасывается или накапливается, является признаком перфорации и/или инфекции [5].
Время исчезновения газа из брюшной полости варьирует, но чаще это происходит на 4–5 сут, и почти всегда к 14 послеоперационным суткам [5, 9].
G.S. Peirce и соавт. в экспериментальной работе на животных выявили, что ПП разрешается быстрее после лапароскопических операций по сравнению с открытой операцией [10].
Почти все исследователи сходятся во мнении, что присутствие свободного газа в брюшной полости после оперативного вмешательства является допустимым, однако требует инструментального динамического наблюдения (УЗИ, ОР и КТ), а также должно соотноситься с состоянием пациента, жалобами и данными клинического осмотра. При отсутствии положительной динамики рекомендуется активная хирургическая тактика [7, 11].
В приведённых клинических случаях для первого пациента была выбрана выжидательная тактика в связи с отсутствием клиники острого живота, однако в связи с отрицательной динамикой выполнена диагностическая лапароскопия. У второго пациента при поступлении имелся выраженный болевой синдром и симптомы острого живота, в связи с чем экстренно выполнена диагностическая лапароскопия. В обоих случаях данных о перфорации полого органа не выявлено. Тем не менее данная тактика у пациентов была оправдана в связи с невозможностью исключить перфорацию полого органа.
Заключение
ОР ОБП следует использовать в качестве основного метода диагностики пневмоперитонеума. Ультразвуковое исследование можно использовать в качестве вспомогательного метода диагностики свободного газа в брюшной полости и контроля остаточного пневмоперитонеума в послеоперационном периоде. КТ считается «золотым стандартом» для распознавания и количественного определения свободного внутрибрюшинного газа, однако она экономически невыгодна и связана с высокой лучевой нагрузкой.
Динамическое наблюдение пациентов с ПП оправдано при отсутствии признаков перитонита и должно рассматриваться как предпочтительное. При отсутствии положительной динамики, рекомендована диагностическая лапароскопия.
Дополнительная информация
Источник финансирования. Статья публикуется без спонсорской поддержки.
Конфликт интересов. Авторы заявляют об отсутствии явных и потенциальных конфликтов интересов.
Вклад авторов. Все авторы подтверждают соответствие своего авторства международным критериям ICMJE. Наибольший вклад распределён следующим образом: Юсифова У.И. — идея, научное редактирование текста статьи, научное консультирование, концепция и дизайн исследования, сбор и обработка материала, написание текста, поиск литературы; Чундокова М.А. — идея, научное редактирование текста статьи, научное консультирование, концепция и дизайн исследования; Голованев М.А. —консультирование пациентов, предоставление фотоматериала; Ушаков К.В. — консультирование пациентов, предоставление фотоматериала, сбор и обработка материала, написание текста, поиск литературы; Дондуп О.М. — сбор и обработка материала, написание текста, поиск литературы.
Согласие на публикацию. Авторы получили письменное согласие законных представителей пациентов на публикацию медицинских данных в обезличенной форме в журнале «Детская хирургия». Дата подписания 13.06.2023.
Additional information
Funding source. The publication had no sponsorship.
Competing interests. The authors claim that there is no conflict of interest in the article.
Authors’ contribution. All authors confirm compliance of their authorship with the international ICMJE criteria. The largest contribution is distributed as follows: Yusifova U.I. — idea, scientific editing of the text of the article, scientific consulting, concept and design of the study, collection and processing of material, writing text, literature search; Chundokova M.A. — idea, scientific editing of the text of the article, scientific consulting, concept and design of the study; Golovanev M.A. — patient counseling, provision of photographic material; Ushakov K.V. — consulting patients, providing photographic materials, collection and processing of material, writing text, literature search; Dondup O.M. — collection and processing of material, writing text, literature search.
Consent for publication. Written consent was obtained from the representatives of the patients for publication of relevant medical information and all of accompanying images in anonymized form within the manuscript in the journal Russian Journal of Pediatric Surgery. Date of signing 13.06.2023.
About the authors
Ulviya I. Yusifova
The Russian National Research Medical University named after N.I. Pirogov
Author for correspondence.
Email: u.yusifova.u@mail.ru
ORCID iD: 0000-0001-5032-5741
MD
Россия, 9 block 4, build. 1 Geroev Panfilovtsev street, 125480 MoscowMadina A. Chundokova
The Russian National Research Medical University named after N.I. Pirogov; Filatov N.F. Children's City Hospital
Email: cmadina@yandex.ru
ORCID iD: 0000-0002-5080-4838
MD, Dr. Sci. (Medicine), Assoc. Professor
Россия, 9 block 4, build. 1 Geroev Panfilovtsev street, 125480 Moscow; MoscowMaxim A. Golovanev
The Russian National Research Medical University named after N.I. Pirogov; Filatov N.F. Children's City Hospital
Email: aesculap2001@mail.ru
ORCID iD: 0000-0002-5512-9894
MD, Cand. Sci. (Medicine), Assoc. Professor
Россия, 9 block 4, build. 1 Geroev Panfilovtsev street, 125480 Moscow; MoscowKonstantin V. Ushakov
The Russian National Research Medical University named after N.I. Pirogov; Filatov N.F. Children's City Hospital
Email: Kaskodlol@mail.ru
ORCID iD: 0000-0003-2927-8092
SPIN-code: 8997-5308
MD
Россия, 9 block 4, build. 1 Geroev Panfilovtsev street, 125480 Moscow; MoscowOlga M. Dondup
The Russian National Research Medical University named after N.I. Pirogov
Email: odondup@gmail.com
ORCID iD: 0000-0002-4307-6246
MD
Россия, 9 block 4, build. 1 Geroev Panfilovtsev street, 125480 MoscowReferences
- İflazoğlu N, Gökçe ON, Kıvrak MM, Kocamer B. Spontaneous idiopathic pneumoperitoneum with acute abdomen. Ulus Cerrahi Derg. 2015;31(2):110–112. doi: 10.5152/UCD.2013.43
- Breen ME, Dorfman M, Chan SB. Pneumoperitoneum without peritonitis: A case report. Am J Emergency Med. 2008;26(7):841.e1–841.e2. doi: 10.1016/j.ajem.2008.01.040
- Karaman A, Demirbilek S, Akin M, et al. Does pneumoperitoneum always require laparotomy? Report of six cases and review of the literature. Pediatr Surg Int. 2005;21(10):819–824. EDN: ZTJDHK doi: 10.1007/s00383-005-1489-3
- Ng CS, Watson CJ, Palmer CR, et al. Evaluation of early abdominopelvic computed tomography in patients with acute abdominal pain of unknown cause: Prospective randomised study. BMJ. 2002;325(7377):1387. doi: 10.1136/bmj.325.7377.1387
- Milone M, Di Minno MN, Bifulco G, et al. Diagnostic value of abdominal free air detection on a plain chest radiograph in the early postoperative period: a prospective study in 648 consecutive patients who have undergone abdominal surgery. J Gastroint Surg. 2013;17(9):1673–1682. EDN: VILPCC doi: 10.1007/s11605-013-2282-6
- Ramakrishnan VM, Niemann T, Maletzki P, et al. Quantifying and statistically modeling residual pneumoperitoneum after robotic-assisted laparoscopic prostatectomy: A prospective, single-center, observational study. Diagnostics (Basel). 2022;12(4):785. EDN: NDTHKG doi: 10.3390/diagnostics12040785
- Malgras B, Placé V, Dohan A, et al. Natural history of pneumoperitoneum after laparotomy: Findings on multidetector-row computed tomography. World J Surg. 2017;41(1):56–63. doi: 10.1007/s00268-016-3648-1
- Nazerian P, Tozzetti C, Vanni S, et al. Accuracy of abdominal ultrasound for the diagnosis of pneumoperitoneum in patients with acute abdominal pain: A pilot study. Crit Ultrasound J. 2015;7(1):15. doi: 10.1186/s13089-015-0032-6
- Muñoz-Serrano AJ, Delgado-Miguel C, Velayos M, et al. Postoperative pneumoperitoneum in pediatric patients: Residual air or surgical complication? A prospective study. J Laparoendosc Adv Surg Tech A. 2022;32(5):576–582. EDN: HCGLTJ doi: 10.1089/lap.2021.0680
- Peirce GS, Swisher JP, Freemyer JD, et al. Postoperative pneumoperitoneum on computed tomography: Is the operation to blame? Am J Surg. 2014;208(6):949–953; discussion 953. doi: 10.1016/j.amjsurg.2014.09.006
- Gayer G, Jonas T, Apter S, et al. Postoperative pneumoperitoneum as detected by CT: Prevalence, duration, and relevant factors affecting its possible significance. Abdom Imaging. 2000;25(3):301–305. EDN: AVKPTJ doi: 10.1007/s002610000036





