Per oral endoscopic myotomy in esophageal achalasia in children. First endoscopic procedures
- Authors: Podkamenev A.V.1, Korolev M.P.1, Smirnov A.A.2, Fedotov L.E.1,3, Kopyakov A.L.1, Meshkov A.V.1, Ivanov A.P.1, Kiriltseva M.M.2, Hodos K.G.1, Glushkova V.A.1
-
Affiliations:
- St. Petersburg State Pediatric Medical University
- Academician I.P. Pavlov First St. Petersburg State Medical University
- City Mariinsky Hospital
- Issue: Vol 28, No 3 (2024)
- Pages: 253-263
- Section: Original Study Articles
- Submitted: 12.02.2024
- Accepted: 17.05.2024
- Published: 13.07.2024
- URL: https://jps-nmp.ru/jour/article/view/791
- DOI: https://doi.org/10.17816/ps791
- ID: 791
Cite item
Full Text
Abstract
BACKGROUND: Achalasia is an esophagus lesion which is characterized by disorders of its motility. It is met extremely rare in childhood. Among the existing techniques of achalasia management, Heller's laparoscopic myotomy is a procedure of choice. Peroral endoscopic myotomy (POEM) is an endoscopic method for AP treating proposed by P. Pasricha in 2007.
AIM: To describe the experience of per oral endoscopic myotomy in children.
METHODS: The authors performed a retrospective analysis of data taken from the patients with confirmed esophageal achalasia who had had POEM. Clinical efficacy was assessed using the Eckard scale.
RESULTS: In 2018–2021, 8 children with average age 14.4 years were treated with POEM surgery. Before POEM, 2 children underwent balloon dilatation of the cardia. The surgery was technically performed in all children. Dysphagia was eliminated in all patients, and none of them required any additional intervention. A significant decrease in Eckard scale scores was registered in all children after surgery.
CONCLUSION: Our results confirm findings that POEM is an effective procedure for treating esophageal achalasia. However, a longer follow-up period and a larger group of patients are needed to confirm POEM role in the management of children with esophageal achalasia.
Full Text
ОБОСНОВАНИЕ
Ахалазия пищевода (АП) — нейродегенеративное заболевание с первичным поражением мышечных сплетений пищевода, нижнего пищеводного сфинктера (НПС), стволов блуждающего нерва и дорсальных ядер блуждающего нерва. АП характеризуется неспособностью НПС к расслаблению и нарушением перистальтики пищевода, что приводит к основным клиническим проявлениям: дисфагии и регургитации. Предположительно, генетические факторы, аутоиммунная реакция организма и факторы внешней среды способствуют воспалительному нейродегенеративному процессу, конечным результатом которого становится снижение количества ганглионарных клеток межмышечных сплетений и НПС [1].
Клинические и экспериментальные данные свидетельствуют о том, что нейродегенеративные изменения не ограничиваются пищеводом (валлеровское перерождение), т. к. подобные изменения выявлены в стволах блуждающего нерва [2, 3].
АП — редкое заболевание. Данные о частоте встречаемости у детей ограничены, но согласно последним эпидемиологическим исследованиям она составляет 0,1–0,3 случая в год на 100 000 детского населения [4, 5].
Для оценки тяжести заболевания, оценки эффективности лечения и контроля отдалённых результатов используют балльную шкалу Экардта [6, 7].
Клинические симптомы АП у детей включают типичные (прогрессирующую дисфагию, боли в грудной клетке, регургитацию и потерю массы тела) и атипичные симптомы, особенное выраженные в возрасте от 1 года до 7 лет (рецидивирующая пневмония, кашель, охриплость голоса), которые интерпретируются как проявления гастроэзофагеального рефлюкса (ГЭР) и приводят к поздней диагностике [8, 9].
Терапевтические подходы к лечению АП включают фармакологические, интервенционные и хирургические методы, целью которых является снижение градиента давления на уровне НПС, купирование дисфагии и минимизация развития ГЭР. Однако ни один из методов не восстанавливает нормальную мышечную активность пищевода и НПС.
В Российской Федерации наибольшее распространение получила классификация Б.В. Петровского (1962 год), основанная на рентгенологической картине заболевания. Согласно этой классификации болезнь протекает в 4 стадии — от функциональных нарушений до фиброзного медиастинита[10].
Пероральная эндоскопическая миотомия (ПОЭМ), впервые описанная P. Pasricha и соавт. в 2007 году как эксперимент [11], а впоследствии внедрённая в клиническую практику [12], подтвердила безопасность и эффективность лечения АП в сравнении с лапароскопической миотомией у взрослых пациентов [13].
Детская хирургическая практика насчитывает небольшое количество публикаций, посвящённых ПОЭМ в лечении АП [14–16]. Однако имеющиеся данные свидетельствуют о безопасности и эффективности ПОЭМ у детей [17, 18].
Первая в России операция ПОЭМ при лечении АП у ребёнка выполнена в 2017 году в клинике Санкт-Петербургского государственного педиатрического медицинского университета[19].
ЦЕЛЬ
Целью работы является оценка эффективности выполнения ПОЭМ у детей на базе клиники Санкт-Петербургского государственного педиатрического медицинского университета.
МЕТОДЫ
Дизайн исследования
Проведено ретроспективное исследование.
Критерии соответствия
Рассматривались пациенты с подтверждённым диагнозом «АП», которым выполнена операция ПОЭМ в период с 2016 по 2021 год. Демографические и периоперационные данные были проанализированы на основании историй болезни.
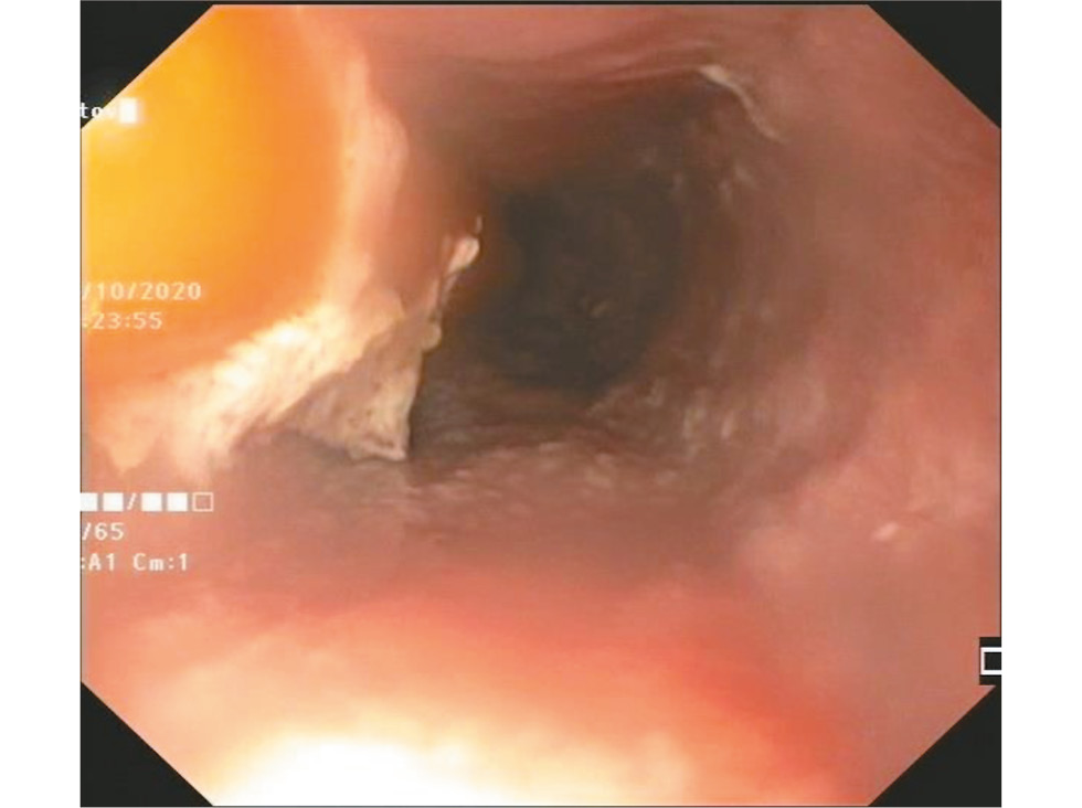
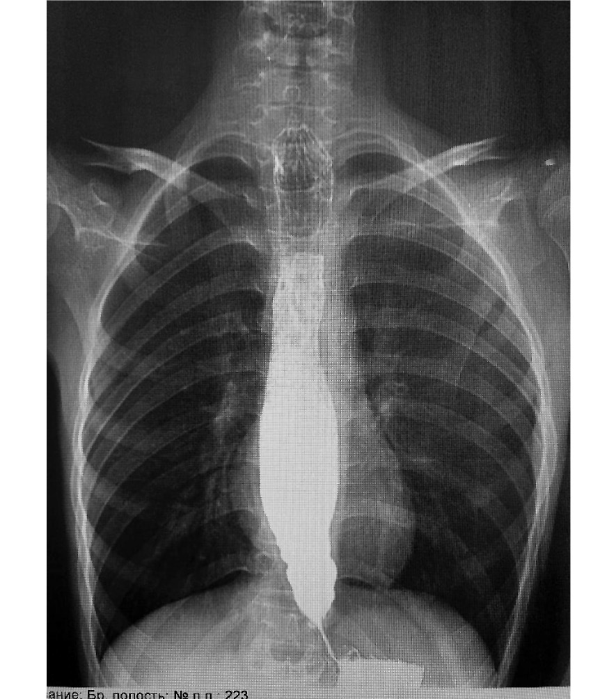
Всем пациентам диагноз был поставлен на основании клинических данных и дополнительных методов обследования. Клинические данные включали жалобы и срок заболевания. Основными методами обследования, которые подтвердили диагноз, являлись эзофагогастродуоденоскопия (ЭГДС) (рис. 1) и эзофагография (рис. 2).
Рис. 1. Эзофагогастродуоденоскопия: эзофагит и выраженное сужение пищевода.
Fig. 1. Esophagogastroduodenoscopy: esophagitis and narrowing of esophagus.
Рис. 2. Контрастная эзофагография: расширение пищевода, симптом «птичьего клюва».
Fig. 2. Preoperative esophagogram, showing dilating esophagus and “Beak sign”.
Описание медицинского вмешательства
Всем детям вмешательство выполняли в условиях операционной, под комбинированным эндотрахеальным наркозом с миорелаксантами. Перед хирургическим лечением всем пациентам назначали профилактические антибактериальные препараты и ингибиторы протонной помпы.
Во время операции использовали эндоскопическую систему EVISEXERA III с гастроскопом GIF-H185 с прозрачным колпачком на дистальном конце. Углекислый газ подавали через инсуффлятор (Olympus, Япония). Для рассечения слизистой оболочки, диссекции подслизистого слоя и пересечения циркулярных мышечных волокон использовали нож эндоскопический электрохирургический ClearCut (FM-EK0004); для гемостаза и для обработки крупных сосудов — гемостатические щипцы Coagrasper (Olympus, Япония) и электрохирургический блок VIO 300D (ERBE, Германия); для окончательного закрытия дефекта слизистой оболочки — клипатор и гемостатические клипсы (Olympus, Япония) и (EndoStars, Россия).
Методика ПОЭМ состояла из 3 этапов:
- Создание тоннеля в подслизистом слое пищевода. В подслизистый слой пищевода выполняли инъекцию 6% раствора гидроксиэтилкрахмала (6 детям) или гиалуроновой кислоты (2 детям), окрашенных индигокармином до светло-синего цвета. Затем на расстоянии 25–28 см от загубника и 13–15 см от пищеводно-желудочного перехода производили продольный разрез слизистой оболочки грудного отдела пищевода длиной от 1,5 до 2,5 см. Далее путём диссекции в режиме спрей-коагуляции создавали длинный тоннель в подслизистом слое, который своим дистальным слепым концом заканчивался на уровне субкардиального отдела желудка (рис. 3). В ходе диссекции через нож дополнительно вводили необходимое количество красящего раствора в подслизистый слой. Для обработки крупных сосудов или остановки кровотечения использовали мягкую диатермокоагуляцию.
- Миотомия циркулярных волокон. Начиная на 2 см дистальнее нижней границы доступа в подслизистый слой пищевода поэтапно пересекали циркулярные мышечные волокна пищевода, нижнего пищеводного сфинктера и кардиального отдела желудка в режиме спрей-коагуляции. Миотомию распространяли на 2 см дистальнее пищеводно-желудочного перехода. После её завершения тщательно контролировали гемостаз и целостность слизистой оболочки пищевода, покрывающей данный тоннель (рис. 4).
- Ушивание оперативного доступа. Начиная с дистального края разреза дефект слизистой оболочки последовательно укрывался 5–8 клипсами с полным сопоставлением краёв разреза. В конце вмешательства эндоскоп беспрепятственно проходил через пищеводно-желудочный переход, патологические сокращения пищевода отсутствовали.
Рис. 3. Пероральная эндоскопическая миотомия: создание подслизистого тоннеля.
Fig. 3. Peroral endoscopic myotomy: creating of submucosal tunnel.
Рис. 4. Пероральная эндоскопическая миотомия: выполнение миотомии.
Fig. 4. Peroral endoscopic myotomy: performing a myotomy.
Методы регистрации исходов
В послеоперационном периоде всем пациентам выполняли контрольную эзофагографию. Энтеральную нагрузку возобновляли на 2 сут после ПОЭМ. Контрольную ЭГДС выполняли через 6 мес. Операцию считали эффективной, если оценка по шкале Экардта не превышала 3 баллов.
Статистический анализ
Принципы расчёта размера выборки: размер выборки предварительно не рассчитывался.
Методы статистического анализа данных: в представленной работе статистический анализ не проводился, так он не предусматривался целью и задачами работы.
РЕЗУЛЬТАТЫ
За указанный период ПОЭМ выполнена 8 детям в возрасте от 11 до 17 лет (средний возраст 14,4 г.). Все дети имели выраженные проявления болезни: дисфагию, регургитацию и загрудинную боль, что соответствовало 5–10 баллам по шкале Экардта. Клинико-демографические показатели пациентов представлены в табл. 1.
Таблица 1. Периоперационные данные пациентов Table 1. Perioperative data of patients | ||||||||
Случай | 1 | 2 | 3 | 4 | 5 | 6 | 7 | 8 |
Пол | Ж | М | М | Ж | М | М | Ж | Ж |
Возраст, лет | 16 | 13 | 14 | 17 | 11 | 14 | 16 | 14 |
Длительность симптомов, мес. | 36 | 24 | 18 | 18 | 9 | 12 | 7 | 6 |
Протяжённость подслизистого тоннеля, см | 12 | 11 | 11 | 13 | 10 | 12 | 11 | 12 |
Протяжённость миотомии, см | 9 | 8 | 8 | 9 | 7 | 9 | 8 | 9 |
Длительность операции, мин | 90 | 155 | 75 | 90 | 85 | 110 | 75 | 60 |
Побочные эффекты инсуффляции углекислого газа | Подкожная эмфизема | Подкожная эмфизема, пневмоторакс слева | Нет | Подкожная эмфизема | Нет | Подкожная эмфизема, пневмоторакс слева | Нет | Нет |
Оценка по шкале Экардта до операции | 9 | 10 | 7 | 9 | 5 | 6 | 9 | 7 |
Оценка по шкале Экардта после операции | 1 | 2 | 1 | 0 | 0 | 1 | 1 | 1 |
Длительность наблюдения, мес. | 48 | 24 | 12 | 24 | 36 | 3 | 2 | 2 |
До ПОЭМ 2 пациентам выполняли баллонную дилатацию кардии с клиническим эффектом от 2 до 11 мес. и последующим рецидивом, что подтверждено дополнительными методами обследования. Длительность симптомов до ПОЭМ составила от 6 до 36 мес.
На этапе клинического обследования 4 пациентам выполнили манометрию пищевода, которая показала повышение суммарного давления расслабления НПС более чем в 2 раза, что соответствовало АП II манометрического типа согласно 4 версии Чикагской классификации (31,1–43,3 мм. рт. ст.).
Во всех случаях вмешательство закончили эндоскопически. Длительность операций составила от 60 до 155 мин (среднее 92,5 мин); длина подслизистого тоннеля — 10–13 см (среднее 11,5 см); общая протяжённость миотомии — 7–9 см (среднее 8,4 см), при этом примерно 80% этого расстояния распространялось на пищевод, а 20% — на желудок. Интраоперационных осложнений в виде перфорации слизистой пищевода или кровотечения не было.
У 4 больных в 1 сут после операции развились подкожная эмфизема и пневмоторакс, которые не потребовали дополнительных хирургических вмешательств.
Контрольную эзофагографию проводили на 2 сут после операции — затёков контрастного вещества за пределы пищевода выявлено не было. После контрастного исследования возобновляли энтеральную нагрузку с переходом на протёртую пищу к 3–4 сут после оперативного лечения.
Ближайшие и отдалённые результаты оценены в срок от 3 мес. до 4 лет. Для оценки эффективности вмешательства использовали шкалу Экардта — после операции все пациенты набрали менее 3 баллов (рис. 5). Контрольную ЭГДС проводили через 6 мес. после оперативного лечения. У 7 детей отмечена положительная динамика, характеризующаяся проходимостью кардии и отсутствием эзофагита. У 1 ребёнка на основании данных ЭГДС и эзофагографии выявлен желудочно-пищеводный рефлюкс. В настоящее время ребёнок наблюдается гастроэнтерологом и получает консервативную терапию блокаторами протонной помпы.
Рис. 5. Оценка по шкале Экардта: ПОЭМ — пероральная эндоскопическая миотомия.
Fig. 5. Eckardt score: ПОЭМ — peroral endoscopic myotomy.
ОБСУЖДЕНИЕ
АП — редкое детское заболеванием, поэтому данных для определения наилучшего метода лечения недостаточно. Отсутствуют единые подходы в диагностике и тактике лечения, а характерные симптомы не рассматриваются как проявление заболевания, что приводит к позднему выявлению. В настоящее время лечение АП у детей основано на опыте лечения взрослых пациентов, о чем свидетельствует Консенсус Международного общества болезней пищевода 2018 года [7]. В последние годы появляется всё больше публикаций, свидетельствующих об эффективности и безопасности ПОЭМ в лечении АП у детей [17, 18, 20–22]. Кроме того, эффективность подтверждают опубликованные за последние 3 г. систематические обзоры и метаанализы [23–25]. Анализ методов лечения показал, что положительный результат миотомии составляет 78%, эндоскопической дилатации пищевода — 44,9%, а ПОЭМ — 99,3% (p=0,001). В тоже время отмечено, что частота осложнений миотомии составила 12,8%, эндоскопической дилатации — 5%, ПОЭМ — 24,4%. Несмотря на то, что процедура ПОЭМ показала самый высокий результат, её внедрение является сложной задачей, т. к. требует специального оборудования и высоких эндоскопических навыков. Кроме того, отсутствуют среднесрочные и долгосрочные данные, которые бы позволили более убедительно судить о предложенном методе [24].
Основной целью метаанализа Z. Nabi и соавт. являлась оценка клинической эффективности ПОЭМ, набравшей 3 балла и менее по шкале Экардта. Вторичные результаты включали технический успех процедуры, её продолжительность, осложнения и ГЭР. В обзор включено 14 исследований, в которых в общей сложности участвовали 419 детей. Совокупный анализ показал успешное техническое исполнение 97,1% операций, снижение средней оценки по шкале Экардта (на 6,71 балла после ПОЭМ); частота осложнений составила 12,9%, эрозивный эзофагит развивался в 26,3% случаев. Акцентируя внимание на развитие ГЭР после ПОЭМ, авторы показывают, что данные ЭГДС, клинические симптомы и нарушение кислотности имели место в 26%, 14% и 35% случаев соответственно. Также было отмечено, что у детей, как и у взрослых, рефлюкс после ПОЭМ, как правило, протекает бессимптомно, что обуславливает необходимость регулярного наблюдения за данной группой пациентов [25].
При сравнении ПОЭМ с дилатацией пищевода Y. Tan и соавт. показали, что через 3, 6 и 12 мес. после лечения эффективность была сопоставима: 100% против 100%, 100% против 89%, 100% против 66,7% соответственно. Однако при оценке через 24 и 36 мес. эффективность ПОЭМ была значительно лучше, чем эффективность дилатации пищевода: 100% против 44,4%, 100% против 33,3% соответственно [26]. У взрослых пациентов ПОЭМ тоже показала более высокую клиническую эффективность через 24 мес. — 92% против 54% [27].
Недавние исследования свидетельствуют, что почти в 25% случаев состояние детей после лапароскопической миотомии потребовало дополнительных вмешательств [28–30]. Схожие результаты были получены и при анализе лечения детей методом ПОЭМ. Неэффективность ПОЭМ наблюдалась в 14% случаев: 13 из 21 пациента потребовалось более 2,1 повторных вмешательств в течение первого года наблюдения [21].
Из нашего опыта ПОЭМ у детей можно выделить несколько важных моментов.
- Всем пациентам диагноз был поставлен на основании клинической картины заболевания и данных дополнительных методов обследования:
- контрастной эзофагографии, которая выявила характерные рентгенологические признаки АП: значительное расширение просвета пищевода, наличие в пищеводе остаточного содержимого, отсутствие отчётливого газового пузыря в желудке и признак «птичьего клюва»;
- ЭГДС, на котором выявлено стойкое сужение кардиального жома, ослабление перистальтики пищевода, отсутствие расслабления НПС и сужение пищевода на уровне НПС;
- манометрии пищевода, которая выявила повышение суммарного давления расслабления НПС более чем в 2 раза во всех случаях. Необходимо отметить, что основными диагностическим критериями АП при манометрии являются повышение давление НПС, отсутствие или низкоамплитудная перистальтика, отсутствие расслабления НПС до возникновения акта глотания. Однако отсутствие этих данных не исключает диагноз АП. Согласно C. Morera и соавт., у детей с АП может наблюдаться частичное или нормальное расслабление НПС [31].
- Ход операции идентичен технике, описанной для взрослых пациентов, и включает несколько этапов: подслизистая инъекция и создание подслизистого тоннеля, миотомия циркулярных волокон и ушивание оперативного доступа. Учитывая возраст и физиологическую длину пищевода, длительность миотомии у детей обычно короче, чем у взрослых. Стенка пищевода у детей значительно тоньше. Это необходимо учитывать при создании подслизистого тоннеля, чтобы исключить перфорацию слизистой оболочки. В наших наблюдениях подобных осложнений не возникло. Все операции были закончены эндоскопически.
- При оценке клинической эффективности операции во всех случаях наблюдалось снижение оценки по шкале Экардта (см. рис. 5), что свидетельствует об эффективности хирургического лечения. Однако в литературе широко обсуждается оценка отдалённых результатов лечения. По данным C. Zhong и соавт., через 3 г. и более клиническая эффективность составляет 92,3–100% [32–33]. Анализируя данные манометрии в сроки от 15 до 38 мес. после ПОЭМ показано снижение давления в НПС с 31,6 до 12,9 мм. рт. ст. (p <0,01) [9].
- В наших наблюдениях произошло 4 случая накопления газа в плевральной полости и в подкожной жировой клетчатке в первые сутки после операции. Эти состояния не потребовали дополнительных хирургических вмешательств и купировались самостоятельно. Большинство авторов рассматривают накопление газа не как осложнение ПОЭМ, а как временный побочный эффект [32, 33]. Наиболее частым осложнением операции является нарушение целостности слизистой пищевода, частота которого доходит 9,7% случаев. При этом тактика зависит от сроков распознавания: при интраоперационном выявлении производится эндоскопическая коррекция, а при выявлении в послеоперационном периоде — консервативное лечение [24].
- При анализе ближайших результатов, на основании контрольного обследования у одного ребёнка в нашем исследовании, выявлены признаки ГЭР. Основную тревогу вызывает развитие ГЭР после ПОЭМ, так как данная процедура не подразумевает выполнение антирефлюксной операции. Метаанализ, проведённый C. Zhong и соавт. показал сводную частоту ГЭР после ПОЭМ 17,8%, что авторы расценили как высокий показатель [32]. В тоже время указывается, что послеоперационная ГЭР эффективно контролируется консервативными мероприятиями [33]. Лапароскопическая миотомия и ПОЭМ нарушают целостность НПС, поэтому возникновение ГЭР ожидаемо при данных методах лечения. Традиционные показания для фундопликации после лапароскопической миотомии у взрослых пациентов основаны на работе W. Richards и соавт. В рандомизированном исследовании авторы показали, что лапароскопическая миотомия в сочетании с антирефлюксной процедурой по Дору имеет преимущества в отношении развития ГЭР по сравнению с чистой лапароскопической миотомией [34]. Однако, анализируя отдалённые результаты лечения этой же когорты больных, авторы делают вывод, что результаты лапароскопической миотомии и лапароскопической миотомии с фундопликацией по Дору были сопоставимы [35].
- В настоящее время в мире общепринята Чикагская классификация нарушений моторики пищевода (впервые предложена в 2008 году, пересмотрена в 2021 году), основанная на данных, полученных при манометрии высокого разрешения [36–38]. Согласно этой классификации, выделяют 3 типа АП в зависимости от преобладания моторных нарушений пищевода: диффузный спазм пищевода, неспецифическая и неэффективная моторика пищевода. В опубликованных в 2016 году клинических рекомендациях Российской гастроэнтерологической ассоциации манометрия высокого разрешения указана как «золотой стандарт» обследования пациентов с подозрением на АП [39]. Проведение манометрии высокого разрешения до операции позволяет уточнить характер АП, что значительно влияет на протяжённость миотомии, и определить эффективность лечения в ближайшие и отдалённые сроки.
ЗАКЛЮЧЕНИЕ
АП является редким детским заболеванием, что обусловливает недостаточное количество данных для определения наилучшего метода лечения. По нашему опыту пероральная эндоскопическая миотомия является безопасным и эффективным методом лечения АП у детей. Ясно, что результаты ПОЭМ при АП можно сравнивать с более часто выполняемой детям лапароскопической миотомией. Однако опыт выполнения ПОЭМ растёт и появляются данные о долгосрочных результатах. Независимо от типа выполненной хирургической миотомии необходимо длительное наблюдение за детьми.
ДОПОЛНИТЕЛЬНАЯ ИНФОРМАЦИЯ
Источник финансирования. Статья публикуется без спонсорской поддержки.
Конфликт интересов. Авторы заявляют об отсутствии явных и потенциальных конфликтов интересов.
Вклад авторов. Все авторы подтверждают соответствие своего авторства международным критериям ICMJE. Наибольший вклад распределён следующим образом: Подкаменев А.В., Королев М.П., Смирнов А.А. — концепция и дизайн исследования, редактирование, утверждение окончательного варианта статьи, ответственность за целостность всех частей статьи; Мешков А.В., Копяков А.Л., Ходос К.Г., Глушкова В.А. — сбор и обработка материала, написание текста; Федотов Л.Е., Иванов А.П., Кирильцева М.М. — сбор и обработка материала, редактирование.
Согласие на публикацию. Авторы получили письменное согласие законных представителей пациентов на публикацию медицинских данных в обезличенной форме в журнале «Детская хирургия». Дата подписания : 20.04.22; 14.03.22; 10.03.22; 12.08.21; 17.12.21; 18.11.20; 26.10.17; 16.12.16.
ADDITIONAL INFORMATION
Funding source. The publication had no sponsorship.
Competing interests. The authors claim that there is no conflict of interest in the article.
Authors’ contribution. All authors confirm compliance of their authorship with the international ICMJE criteria. The largest contribution is distributed as follows: Podkamenev A.V., Korolev M.P., Smirnov A.A. — concept and design of the study, editing, approval of the final version of the article, responsibility for the integrity of all parts of the article; Meshkov A.V., Kopyakov A.L., Khodos K.G., Glushkova V.A. — collection and processing of the material, writing the text; Fedotov L.E., Ivanov A.P., Kiriltseva M.M. — collection and processing of material, editing.
Consent for publication. Written consent was obtained from the representatives of the patients for publication of relevant medical information and all of accompanying images within the manuscript. Date of signing : 20.04.22; 14.03.22; 10.03.22; 12.08.21; 17.12.21; 18.11.20; 26.10.17; 16.12.16.
About the authors
Alexey V. Podkamenev
St. Petersburg State Pediatric Medical University
Author for correspondence.
Email: podkamenev@hotmail.com
ORCID iD: 0000-0001-6006-9112
SPIN-code: 7052-0205
MD, Dr. Sci. (Medicine), Associate Professor
Россия, Saint PetersburgMichail P. Korolev
St. Petersburg State Pediatric Medical University
Email: korolevmp@yandex.ru
ORCID iD: 0000-0001-5061-0139
SPIN-code: 9966-8125
MD, Dr. Sci. (Medicine), Professor
Россия, Saint PetersburgAlexander A. Smirnov
Academician I.P. Pavlov First St. Petersburg State Medical University
Email: smirnov-1959@yandex.ru
ORCID iD: 0000-0002-6440-2370
SPIN-code: 3730-7099
MD, Dr. Sci. (Medicine)
Россия, Saint PetersburgLeonid E. Fedotov
St. Petersburg State Pediatric Medical University; City Mariinsky Hospital
Email: fedotov-le@yandex.ru
ORCID iD: 0000-0003-4013-003X
SPIN-code: 7482-8639
MD, Dr. Sci. (Medicine), Professor
Россия, Saint Petersburg; Saint PetersburgAlexander L. Kopyakov
St. Petersburg State Pediatric Medical University
Email: alexander_spb@mail.ru
MD
Россия, Saint PetersburgAlexey V. Meshkov
St. Petersburg State Pediatric Medical University
Email: alexey.v.meshkov@gmail.com
ORCID iD: 0000-0003-1563-3057
SPIN-code: 8947-9873
MD
Россия, Saint PetersburgAndrey P. Ivanov
St. Petersburg State Pediatric Medical University
Email: ap.ivanov@gpmu.org
ORCID iD: 0000-0003-0194-5674
SPIN-code: 8876-2938
MD, Cand. Sci. (Medicine)
Россия, Saint PetersburgMaya M. Kiriltseva
Academician I.P. Pavlov First St. Petersburg State Medical University
Email: kiriltseva@mail.ru
ORCID iD: 0000-0003-3821-3805
MD
Россия, Saint PetersburgKsenya G. Hodos
St. Petersburg State Pediatric Medical University
Email: puzl_otsutstvuet@mail.ru
ORCID iD: 0000-0001-8442-5003
MD
Россия, Saint PetersburgVictoria A. Glushkova
St. Petersburg State Pediatric Medical University
Email: pedsurgspb@yandex.ru
ORCID iD: 0009-0002-4768-1539
SPIN-code: 8703-3966
MD
Россия, Saint PetersburgReferences
- Park W, Vaezi MF. Etiology and pathogenesis of achalasia: The current understanding. Am J Gastroenterol. 2005;100(6):1404–1414. doi: 10.1111/j.1572-0241.2005.41775.x
- Cassella RR, Brown AL, Sayre GP, Ellis FH. Achalasia of the esophagus pathologic and etiologic considerations. Ann Surg. 1964;160(3):474–486. doi: 10.1097/00000658-196409000-00010
- Khajanchee YS, Van Andel R, Jobe BA, et al. Electrical stimulation of the vagus nerve restores motility in an animal model of achalasia. J Gastrointest Surg. 2003;7(7):843–849; discussion 849. EDN: WRCWTX doi: 10.1007/s11605-003-0028-6
- Marlais M, Fishman JR, Fell JM, et al. UK incidence of achalasia: An 11-year national epidemiological study. Arch Dis Child. 2011;96(2):192–194. doi: 10.1136/adc.2009.171975
- Smits M, van Lennep M, Vrijlandt R, et al. Pediatric achalasia in the Netherlands: Incidence, clinical course, and quality of life. J Pediatr. 2016;(169):110–115.e3. doi: 10.1016/j.jpeds.2015.10.057
- Eckardt VF, Aignherr C, Bernhard G. Predictors of outcome in patients with achalasia treated by pneumatic dilation. Gastroenterology. 1992;103(6):1732–1738. doi: 10.1016/0016-5085(92)91428-7
- Zaninotto G, Bennett C, Boeckxstaens G, et al. The 2018 ISDE achalasia guidelines. Dis Esophagus. 2018;31(9):doy071. doi: 10.1093/dote/doy071
- Franklin AL, Petrosyan M, Kane TD. Childhood achalasia: A comprehensive review of disease, diagnosis and therapeutic management. World J GastrointestEndosc. 2014;6(4):105–111. doi: 10.4253/wjge.v6.i4.105
- Chen WF, Li QL, Zhou PH, et al. Long-term outcomes of peroral endoscopic myotomy for achalasia in pediatric patients: A prospective, single-center study. GastrointestEndosc. 2015;81(1):91–100. doi: 10.1016/j.gie.2014.06.035
- Chubko DM, Razumovsky AY, MitupovZB, et al. Achalasia of cardia in children (literature review). Detskaya khirurgiya (Russian Journal of Pediatric Surgery). 2021;25(6):392–398. EDN: ICZJAF doi: 10.55308/1560-9510-2021-25-6-392-398
- Pasricha PJ, Hawari R, Ahmed I, et al. Submucosal endoscopic esophageal myotomy: A novel experimental approach for the treatment of achalasia. Endoscopy. 2007;39(9):761–764. doi: 10.1055/s-2007-966764
- Inoue HH, Minami H, Kobayashi Y, et al. Peroral endoscopic myotomy (POEM) for esophageal achalasia. Endoscopy. 2010;42(4):265–271. doi: 10.1055/s-0029-1244080
- Werner YB, Hakanson B, Martinek J, et al. Endoscopic or surgical myotomy in patients with idiopathic achalasia. N Engl J Med. 2019;381(23):2219–2229. doi: 10.1056/NEJMoa1905380
- Razumovsky AY, Mitupov Z, Alkhasov AB, Chubko DM. Achalasia of the cardia in allgrove syndrome in an 8-year-old child. Detskaya khirurgiya (Russian Journal of Pediatric Surgery). 2021;25(2):121–126. EDN: NIFAVP doi: 10.18821/1560-9510-2021-25-2-121-126
- Kozlov Y, Smirnov AA, Rasputin AA, et al. Peroral endoscopic myotomy in treatment of the esophageal achalasia at children. Pediatriya: Zhurnal imeni G.N. Speranskogo. 2020;99(6):241–246. EDN: UPNJSO doi: 10.24110/0031-403X-2020-99-6-241-246
- Kharitonova AY, Shishin KV, Karaseva OV, et al. A case of peroral endoscopic myotomy for paediatric oesophageal achalasia. Doktor.Ru. 2021;20(3):60–65. EDN: YJLVWA doi: 10.31550/17272378-2021-20-3-60-65
- Petrosyan M, Mostammand S, Shah AA, et al. Per oral endoscopic myotomy (POEM) for pediatric achalasia: Institutional experience and outcomes. J Pediatr Surg. 2022;57(11):728–735. EDN: DRDNYH doi: 10.1016/j.jpedsurg.2022.02.017
- Saez J, Mejia R, Pattillo JC, et al. Per oral endoscopic myotomy (POEM) in pediatric patients with esophageal achalasia: First Latin-American experience. J Pediatr Surg. 2021;56(4):706–710. doi: 10.1016/j.jpedsurg.2020.06.007
- Korolev MP, Fedotov LE, Ogloblin AL, et al. Russia’s first poem in the treatment of achalasia in children. Pediatrician. 2017;8(2):94–98. EDN: YPSABL doi: 10.17816/PED8294-98
- Miao S, Wu J, Lu J, et al. Peroral endoscopic myotomy in children with achalasia: A relatively long-term single-center study. J Pediatr Gastroenterol Nutr. 2018;66(2):257–262. doi: 10.1097/MPG.0000000000001675
- Wood LS, Chandler JM, Portelli KE, et al. Treating children with achalasia using per-oral endoscopic myotomy (POEM): Twenty-one cases in review. J Pediatr Surg. 2020;55(6):1006–1012. doi: 10.1016/j.jpedsurg.2020.02.028
- Nabi Z, Ramchandani M, Chavan R, et al. Outcome of peroral endoscopic myotomy in children with achalasia. Surg Endosc. 2019;33(11):3656–3664. EDN: DGPNNX doi: 10.1007/s00464-018-06654-1
- Lee Y, Brar K, Doumouras AG, Hong D. Peroral endoscopic myotomy (POEM) for the treatment of pediatric achalasia: A systematic review and meta-analysis. Surg Endosc. 2019;33(6):1710–1720. EDN: VHIRLA doi: 10.1007/s00464-019-06701-5
- Goneidy A, Cory-Wright J, Zhu L, Malakounides G. Surgical management of esophageal achalasia in pediatrics: A systematic review. Eur J Pediatr Surg. 2020;30(01):013–020. doi: 10.1055/s-0039-1697958
- Nabi Z, Talukdar R, Chavan R, et al. Outcomes of per-oral endoscopic myotomy in children: A systematic review and meta-analysis. Dysphagia. 2022;37(6):1468–1481. EDN: JGIPHA doi: 10.1007/s00455-022-10409-5
- Tan Y, Zhu H, Li C, et al. Comparison of peroral endoscopic myotomy and endoscopic balloon dilation for primary treatment of pediatric achalasia. J Pediatr Surg. 2016;51(10):1613–1618. doi: 10.1016/j.jpedsurg.2016.06.008
- Ponds FA, Fockens P, Lei A, et al. Effect of peroral endoscopic myotomy vs pneumatic dilation on symptom severity and treatment outcomes among treatment-naive patients with achalasia: A randomized clinical trial. JAMA. 2019;322(2):134–144. doi: 10.1001/jama.2019.8859
- Askegard-Giesmann JR, Grams JM, Hanna AM, et al. Minimally invasive Heller’s myotomy in children: Safe and effective. J Pediatr Surg. 2009;44(5):909–911. doi: 10.1016/j.jpedsurg.2009.01.022
- Corda L, Pacilli M, Clarke S, et al. Laparoscopic oesophagealcardiomyotomy without fundoplication in children with achalasia: A 10-year experience. SurgEndosc. 2010;24(1):40–44. doi: 10.1007/s00464-009-0513-4
- Pandian TK. Laparoscopic esophagomyotomy for achalasia in children: A review. World J Gastrointest Endosc. 2016;8(2):56. doi: 10.4253/wjge.v8.i2.56
- Morera C, Nurko S. Heterogeneity of lower esophageal sphincter function in children with achalasia. J Pediatr Gastroenterol Nutr. 2012;54(1):34–40. doi: 10.1097/MPG.0b013e3182293d8c
- Zhong C, Tan S, Huang S, et al. Clinical outcomes of peroral endoscopic myotomy for achalasia in children: A systematic review and meta-analysis. Dis Esophagus. 2021;34(4):doaa112. doi: 10.1093/dote/doaa112
- Nabi Z, Reddy DN, Ramchandani M. Adverse events during and after per-oral endoscopic myotomy: Prevention, diagnosis, and management. Gastrointestinal Endoscopy. 2018;87(1):4–17. doi: 10.1016/j.gie.2017.09.029
- Richards WO, Torquati A, Holzman MD, et al. Heller myotomy versus heller myotomy with dor fundoplication for achalasia. Ann Surg. 2004;240(3):405–415. doi: 10.1097/01.sla.0000136940.32255.51
- Broman KK, Phillips SE, Faqih A, et al. Heller myotomy versus Heller myotomy with dor fundoplication for achalasia: Long-term symptomatic follow-up of a prospective randomized controlled trial. Surg Endosc. 2018;32(4):1668–1674. EDN: AMDKJB doi: 10.1007/s00464-017-5845-x
- Carlson DA, Pandolfino JE. High-resolution manometry in clinical practice. Gastroenterol Hepatol (NY). 2015;11(6):374–384.
- Pandolfino JE, Kwiatek MA, Nealis T, et al. Achalasia: A new clinically relevant classification by high-resolution manometry. Gastroenterol. 2008;135(5):1526–1533. doi: 10.1053/j.gastro.2008.07.022
- Yadlapati R, Kahrilas PJ, Fox MR, et al. Esophageal motility disorders on high-resolution manometry: Chicago classification version 4.0. Neurogastroenterology Motil. 2021;33(1):e14058. doi: 10.1111/nmo.14058
- Ivashkin VT, Trukhmanov AS, Gogello EA, et al. Diagnostics and treatment of cardiac achalasia and cardiospasm: guidelines of the Russian gastroenterological association. Russ J Gastroenterol Hepatol Coloproctol. 2016;26(4):36–54. EDN: YHTFVX doi: 10.22416/1382-4376-2016-26-4-36-54
Supplementary files








