Robot-assisted ureterolithotomy and ureteroplasty in a child with a ureteral stone
- Authors: Kozlov Y.A.1,2,3, Rozhansky A.P.1,3, Sapukhin E.V.1, Strashinsky A.S.1, Ryakhina A.O.1, Makarochkina M.V.1
-
Affiliations:
- Irkutsk State Regional Children’s Clinical Hospital
- Irkutsk State Medical Academy of Postgraduate Education
- Irkutsk State Medical University
- Issue: Vol 29, No 2 (2025)
- Pages: 130-138
- Section: Case reports
- Submitted: 26.12.2024
- Accepted: 24.03.2025
- Published: 05.06.2025
- URL: https://jps-nmp.ru/jour/article/view/848
- DOI: https://doi.org/10.17816/ps848
- EDN: https://elibrary.ru/ALMSEA
- ID: 848
Cite item
Abstract
BACKGROUND. Urolithiasis is a very common disease in all age groups. The incidence of urolithiasis in children is rapidly increasing worldwide. In this study, we describe a case of robotic ureteral stone removal and present a literature review on robotic-assisted surgeries for treating urolithiasis in children.
CLINICAL CASE DESCRIPTION. An 11-year-old boy was admitted to the children’s hospital with complaints of recurrent urinary tract infection and pain on the left side for the last year. Computed tomography revealed a stone located at the level of the proximal left ureter and the ureteral stricture located right above the stone. The child had robot-assisted ureterolithotomy and ureteroplasty. During the surgery, intraoperative contact ultrasound examination was used to locate the stone. After dissection of the ureteral wall above the stone, the calculus was grasped with a clamp and removed externally. Longitudinal ureterotomy was closed transversely with interrupted absorbable sutures. No postopreative complications were registered after the surgery. The surgery lasted for 135 minutes. Foley catheter was removed next postoperative day. The drainage catheter was removed on the 2nd postoperative day. The patient was discharged home on the 5th postoperative day. The stent was removed in 4 weeks after the surgery. Repeated ultrasound examination performed 6 months after demonstrated less dilation of the renal pelvis and ureter, and no signs of stone formation.
CONCLUSION. Our study has demonstrated that robotic-assisted surgery is a feasible, safe and effective option for treating urinary tract stones in children in some cases, such as upper urinary tract stones which are accompanied by urinary tract obstruction and require simultaneous ureterolithotomy and ureteroplasty.
Full Text
ОБОСНОВАНИЕ
Мочекаменная болезнь (МКБ) — распространённое заболевание во всех возрастных группах. Частота детского уролитиаза стремительно растёт во всём мире [1, 2]. Лечение камней мочевых путей у детей, как правило, схоже с методиками, применяемыми у взрослых, и включает в себя уретерореноскопию, ретроградную внутрипочечную хирургию, экстракорпоральную ударно-волновую литотрипсию и чрескожную нефролитотомию [3–5]. Перспективные эндоурологические методы могут оказаться неэффективными для пациентов с крупными камнями, вколоченными в лоханку почки или мочеточник, коралловидными камнями, а также при аномально развитой собирательной системе почки или осложнениях МКБ, например, обструкции пиелоуретерального сегмента или стриктуре мочеточника [6]. В таких случаях более подходящий вариант лечения — открытая или лапароскопическая операция [7–8]. Рекомендации Европейской ассоциации урологов (EAU) по лечению МКБ у детей также указывают на то, что в некоторых случаях необходимо прибегнуть к открытой или лапароскопической операции [9]. Несмотря на некоторые преимущества, открытая хирургия может сопровождаться значительной заболеваемостью [10]. Лапароскопическая хирургия МКБ также имеет свои недостатки, среди которых проблемы со стентированием мочеточника, необходимость проведения диссекции и наложения швов в ограниченном пространстве, а также повышенная вероятность осложнений, например, утечки мочи [11]. Недавно разработанные роботизированные платформы позволили преодолеть многие технические ограничения традиционной лапароскопии, обеспечив трёхмерное изображение области вмешательства, точное рассечение тканей и удобство наложения швов за счёт семи степеней свободы движения роботизированных рук и превосходной эргономики хирургического процесса [12, 13]. У взрослых пациентов робот-ассистированная хирургия (РАХ) успешно применяется для лечения камней, расположенных в лоханке и сопровождающихся вторичной обструкцией пиелоуретерального сегмента (ПУС), а также для первичного лечения коралловидных камней [14, 15]. Роботическая пиелолитотомия и роботическая уретеролитотомия в настоящее время являются частью арсенала взрослого уролога для лечения камней большого размера и очень полезны в условиях, требующих одновременной реконструкции верхних мочевых путей [16, 17]. Однако данные относительно роли РАХ в лечении МКБ у детей ограничены [18]. R. Lee продемонстрировал безопасное и эффективное использование робот-ассистированной пиелолитотомии у 5 подростков с большим количеством камней, расположенных в лоханке почки. Однако это одно из немногих исследований, посвящённых хирургическому лечению МКБ роботическим методом у детей. В этом исследовании представлен случай удаления камня из мочеточника с помощью робота, а также проведён обзор литературы, посвящённый применению РАХ в лечении МКБ у детей. В обзоре особое внимание уделяется тактике симультантного лечения МКБ, когда хирургическое вмешательство выполняется в рамках лечения других заболеваний, например, обструкции пиелоуретерального сегмента или мочеточника. Также мы проанализируем последние успехи в области робототехники, применяемые для лечения МКБ как у детей, так и у взрослых.
КЛИНИЧЕСКИЙ СЛУЧАЙ
Авторы настоящего исследования провели ретроспективный обзор истории болезни ребёнка с МКБ, сопровождающейся обструктивным поражением левого мочеточника. Хирургическое вмешательство выполнено с помощью робот-ассистированной техники.
Мальчик в возрасте 11 лет поступил в Иркутскую государственную областную детскую клиническую больницу с жалобами на рецидивирующие инфекции мочевыводящих путей и боль в левом боку на протяжении последнего года жизни. Сбор данных включал анамнез болезни пациента и демографические данные, диагноз, тип хирургического вмешательства, длительность операции, исход операции и анатомо-функциональное состояние почки при последующем наблюдении. Исследование выполнено после получения разрешения локального этического комитета больницы и информированного согласия родителей на обработку данных ребёнка.
Результаты физикального, лабораторного и инструментального исследования
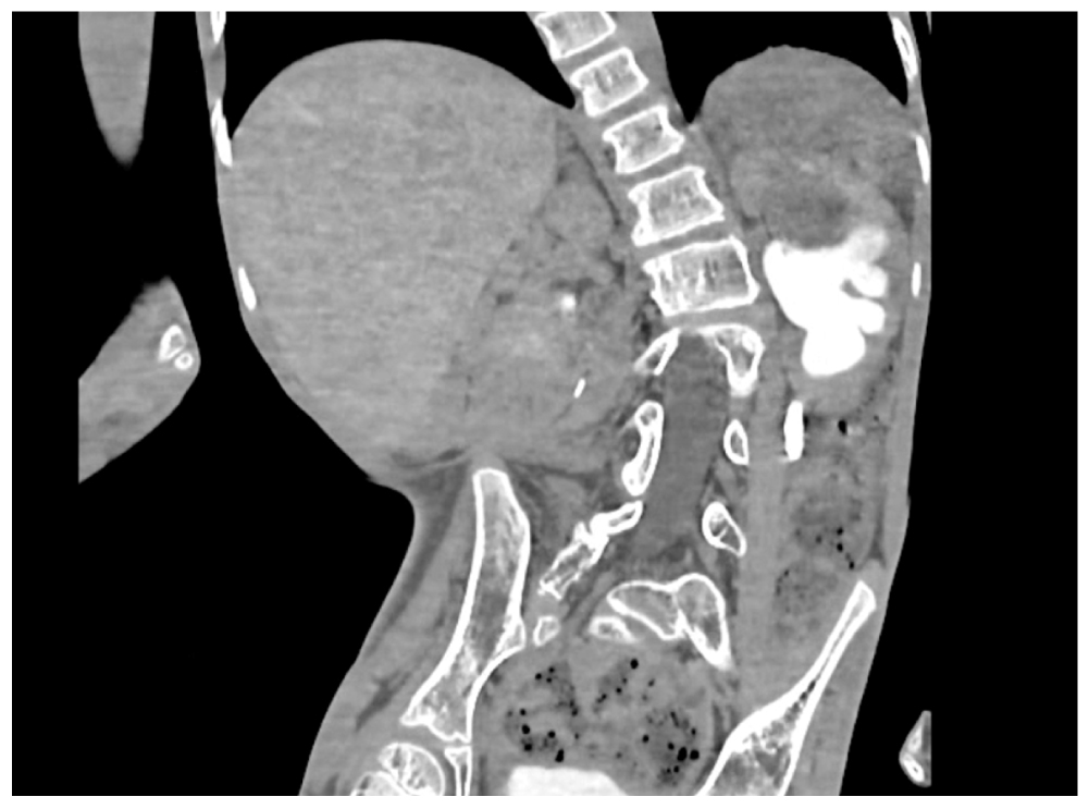
Ребёнок с рождения страдал неврологическими расстройствами в виде спастической квадриплегии в результате перенесённой во время родов асфиксии. Заболевание сопровождалось выраженной деформацией скелета в виде сколиоза и нейрогенными нарушениями отведения мочи. Предоперационная рентгенологическая оценка анатомии и функции почек включала ультразвуковое исследование (УЗИ) почек и мочевого пузыря, контрастную компьютерную томографию (КТ) почек и микционную цистоуретрографию (МЦУГ). С помощью УЗИ, КТ и МЦУГ оценили степень дилатации почечной лоханки и мочеточника левой почки, а также наличие камня на уровне проксимального отдела мочеточника. Лоханка левой почки была расширена до 50 мм, как и мочеточник, отходящий от неё, диаметром до 15 мм. Размеры камня составляли 18 × 10 мм. Предполагалось, что камень образовался на фоне периодических задержек мочеиспускания на фоне основного заболевания поражения центральной нервной системы. Детальное изучение КТ-сканов указало на наличие стриктуры мочеточника, расположенной сразу над камнем (рис. 1). Мочеточник ниже камня не был расширен. По данным МЦУГ везикоренальный рефлюкс не определялся. Данные радионуклидного исследования обнаружили снижение почечной функции слева до 40%.
Рис. 1. Изображения компьютерной томографии урографии, демонстрирующие наличие камня в левом мочеточнике и наличие стриктуры, расположенной выше него.
Fig. 1. Computed tomography urography images showing the stone in the left ureter and stricture located above it.
Предварительный диагноз
Пациенту выставлен диагноз: МКБ, камень проксимального отдела левого мочеточника, гидронефроз 3-й степени слева.
Лечение
Показанием для робот-ассистированной уретеролитотомии было наличие камня, полностью перекрывающего просвет мочеточника и сопровождающегося стриктурой. Родителям пациента предложена одновременная робот-ассистированная уретеролитотомия и уретеропластика. Мы руководствовались при выборе роботического метода лечения теми соображениями, что чрескожный доступ и нефролитотомия будут технически сложными и вряд ли окончательно вылечат сопутствующую стриктуру мочеточника. Кроме того, мы исходили из того, что выполнение ригидной восходящей уретероскопии будет затруднено из-за грубой деформации скелета нашей пациентки, и предпочтения родителей в выборе наиболее радикальной терапии. Поэтому принято решение провести робот-ассистированное удаление камня и одновременную уретеропластику стриктуры.
Робот-ассистированную лапароскопическую уретеролитотомию выполняли с помощью хирургического робота Versius (CMR, Великобритания). Роботизированная система Versius представляет собой модульную открытую роботическую платформу с инструментами, способными проходить через 5-мм лапароскопические порты. Она состоит из комбинации модулей — одного визуализационного и нескольких инструментальных, позволяющих свободно располагать их вокруг пациента, обеспечивая доступ к больному в любое время.
Консоль хирурга располагалась в операционной так, чтобы хирург-оператор видел пациента боковым зрением постоянно. Монитор для хирурга-ассиcтента размещался со стороны спины пациента. Визуализационный модуль располагался со стороны передней брюшной стенки пациента. Инструментальные модули размещались краниально с правой и левой стороны от визуализационного блока таким образом, чтобы не было конфликта между манипуляторами.
Пациент располагался на операционном столе первоначально в положении для литотомии с целью проведения цистоскопии, при выполнении которой JJ-стент помещался в мочеточник левой почки до уровня обструкции, за который его невозможно было продвинуть. После окончания цистоскопии в мочевой пузырь устанавливался катетер Foley и пациента укладывали в положение на боку так, чтобы левая сторона, где обнаружен камень, была ориентирована вверх. Выполнялся карбоперитонеум с предустановленными параметрами инсуффляции (поток 5 л/мин, давление 10 мм рт. ст.), используя иглу Veress, введённую через пупочный разрез. После нагнетания углекислого газа в брюшную полость размещались роботические порты. Позиции портов соответствовали рекомендациям, которых мы придерживаемся при выполнении роботической пиелопластики. Оптический порт диаметром 12 мм устанавливался в мезогастрии на удалении 5 см вверх от пупка. Два других роботических порта диаметром 5 мм, предназначенных для введения инструментов, устанавливались справа и слева от оптического троакара в левом эпигастрии и левой подвздошной области. Дополнительно использовался лапароскопический порт диаметром 5 мм, который был необходим для ассистенции в ходе операции. Он вводился между оптическим и правым инструментальным портами и был предназначен для аспирации мочи в ходе выполнения процедуры и доставки к месту операции хирургических нитей.
Для начала выполнялась мобилизация левого отдела ободочной кишки. После рассечения фасции идентифицировался мочеточник. Контактный лапароскопический ультразвуковой зонд — дополнительный инструмент, который может помочь в определении локализации камней. При размещении датчика на передней стенке мочеточника определено местонахождение камня внутри мочеточника (рис. 2).
Рис. 2. Интраоперационное контактное ультразвуковое исследование с целью поиска расположения камня внутри просвета мочеточника.
Fig. 2. Intraoperative contact ultrasound examination for locating the stone inside the ureteral lumen.
На переднюю стенку мочеточника наложено 2 транспариетальных якорных шва, предназначенных для его стабилизации. Затем сразу над камнем с использованием холодных ножниц выполнялась продольная уретеротомия длиной 2 см с заходом вверх за стриктуру мочеточника (рис. 3).
Рис. 3. Робот-ассистированная уретеролитотомия. Этап рассечения мочеточника.
Fig. 3. Robot-assisted ureterolithotomy. Ureter dissection.
Камень размером 18 × 10 мм визуализирован и извлечён из просвета мочеточника с использованием окончатого атравматичного зажима (рис. 4). Затем он погружён в палец латексной перчатки, доставленной к месту выполнения процедуры, и извлечён наружу. Через катетер, введённый через просвет мочеточника, промывался сам мочеточник и почечная лоханка физиологическим раствором, чтобы удалить фрагменты камней. Конец стента, установленного в мочеточнике, продвинут вверх до уровня почечной лоханки. Продольная уретеротомия закрыта в поперечном направлении путём наложения отдельных абсорбирующихся швов (рис. 5). Рядом с линией швов оставляли дренажный катетер.
Рис. 4. Робот-ассистированная уретеролитотомия. Этап извлечения камня.
Fig. 4. Robot-assisted ureterolithotomy. Stone extraction.
Рис. 5. Робот-ассистированная уретеролитотомия. Этап поперечной уретеропластики.
Fig. 5. Robot-assisted ureterolithotomy. Transverse urethroplasty.
После окончания операции фасция Gerota восстановлена отдельными швами. Отверстия в местах стояния роботических портов герметизированы с использованием отдельных абсорбирующихся швов.
Процедура выполнена без периоперационных трудностей и осложнений. Продолжительность операции составила 135 мин, из них длительность инсталляции робота (время докинга) занимала 15 мин. Основное консольное время — 120 мин. В ходе операции не отмечено осложнений, включая интраоперационное кровотечение или повреждение соседних органов.
Исход и результаты последующего наблюдения
Кормление пациента начато в тот же день после выполненной операции. Катетер Foley удалили на следующий послеоперационный день. В послеоперационном периоде пациент находился в палате интенсивной терапии на протяжении 12 ч. Дренажный катетер удалён на 2-е сутки после операции после контрольного УЗИ. Пациент выписан домой на 5-е сутки после операции, поскольку хорошо переносил назначенную диету и послеоперационная боль отсутствовала. Стент оставался в мочеточнике до его удаления через 4 нед. после операции. Продолжительность наблюдения за пациентом составила 6 мес. Контрольное УЗИ почек и мочевыводящих путей проводилось при повторных визитах через 1, 3 и 6 мес. после операции. Больной на протяжении всего времени контроля был бессимптомен. Повторное УЗИ, выполненное через 6 мес. после операции, продемонстрировало уменьшение расширения лоханки и мочеточника до 10 и 6 мм соответственно, а также отсутствие признаков формирования камней.
ОБСУЖДЕНИЕ
За последние годы наблюдается устойчивый рост заболеваемости МКБ у детей. В настоящее время один случай госпитализации по диагнозу МКБ приходится на каждые 685 детей, находящихся в стационаре [19]. Лечение конкрементов мочевыводящих путей у детей, особенно если они достаточно крупные, часто представляет собой сложную задачу, которая может потребовать проведения нескольких вмешательств.
Рекомендации Американской урологической ассоциации (AUA) и Европейской ассоциации урологов (EAU) [20, 21] по лечению конкрементов мочевыводящих путей для взрослых пациентов определяют чрескожную нефролитотомию как оптимальный метод для камней, превышающих 2 см в диаметре, в то время как гибкая уретерореноскопия и ретроградная внутрипочечная терапия считаются первичными методами лечения для камней размером менее 2 см. Эти же принципы лечебной тактики применяются и в педиатрической практике для детей и подростков [9]. Для полного избавления от камней может понадобиться несколько курсов лечения. Также стоит отметить, что экстракорпоральная ударно-волновая литотрипсия не подходит для детей с камнями, превышающими 25 мм в диаметре [22]. Лапароскопические и робот-ассистированные хирургические подходы получили признание как перспективные варианты лечения МКБ у пациентов, страдающих от крупных камней, аномалий мочевыводящих путей и сложных камнеобразований, сопровождающихся вторичной обструкцией почечной лоханки или мочеточника [8–11]. Благодаря улучшенной маневренности роботических инструментов и трёхмерной визуализации РАХ успешно преодолевает технические сложности, присущие лапароскопическому подходу, особенно в ограниченном пространстве брюшной полости маленьких пациентов, где интракорпоральное рассечение и наложение швов представляют собой существенные трудности [11, 12].
Тем не менее научных данных о применении РАХ в лечении уролитиаза у детей пока недостаточно. Изучение литературы по робот-ассистированному лечению МКБ у детей показало, что первая публикация, посвящённая этой теме, вышла в 2007 г. В ней R. Lee [18] описал безопасное и эффективное применение робот-ассистированной пиелолитотомии у пяти подростков с множеством камней в почечной лоханке. Несколько опубликованных исследований подтвердили, что робот-ассистированная пиелолитотомия может быть разумным выбором для некоторых педиатрических пациентов, у которых наблюдается обструкция лоханочно-мочеточникового сегмента и нефролитиаз, или когда камни не поддаются удалению стандартными методами, по сравнению с эндоурологическими и чрескожными подходами [23]. Роботизированные хирургические платформы в конечном итоге стали причиной замены лапароскопии на РАХ в лечении МКБ.
Первое применение робот-ассистированной лапароскопической хирургии для лечения уролитиаза (RALS-UL) задокументировано F. Atug [15]. С момента своего появления RALS-UL зарекомендовал себя как ценный инструмент в арсенале уролога для решения сложных и затянувшихся случаев МКБ, особенно в ситуациях, когда традиционные методы лечения оказываются неэффективными или когда уже были предприняты другие, предыдущие процедуры. Ввиду ограниченности имеющейся информации при принятии решения о проведении уретеролитотомии мы основывались на опыте, опубликованном в литературе, по выполнению различных вариантов робот-ассистированных операций по удалению камней мочевыводящих путей. Пиелолитотомия, заключающаяся в разрезе почечной лоханки и извлечении камня, — наиболее распространённая методика RALS-UL. В случае вовлечения чашечковой системы может потребоваться более обширный подход, например, нефротомия или нефролитотомия, которые применяются для удаления камня, когда его фрагмент вколочен в паренхиму.
В 2006 г. K. Badani [24] представил первый опыт проведения робот-ассистированной расширенной пиелолитотомии (REP). В ходе исследования показано полное удаление камней при минимальной кровопотере у 12 пациентов, страдающих коралловидными камнями. В 2015 г. Y. Rajiv [25] описал клинический случай двустороннего поражения почек, вызванного крупными камнями, успешно леченного с помощью одновременной роботизированной операции по удалению камней в обеих почках. Исследование, проведённое в нескольких центрах, показало, что как роботическая пиелолитотомия, так и роботическая нефролитотомия являются безопасными и эффективными методами лечения пациентов с крупными камнями, расположенными в почечной лоханке и чашечках [26].
Исследование, в котором впервые представлен опыт применения RALS-UL у детей, охватило 4 пациентов в возрасте от 10 до 23 лет, которым проведена роботическая лапароскопическая пиелолитотомия для удаления крупных камней в мочеточнике размером 2 × 7 см [18]. Необходимость перехода на открытую операцию возникла только у одного пациента из-за внутрипочечного расположения лоханки и невозможности извлечь камень.
Недавнее мультицентровое исследование, включающее 15 пациентов с МКБ, продемонстрировало эффективность роботических процедур [27]. У большинства пациентов (11 человек) камни локализовались в почечной лоханке или чашечках, в двух случаях — в мочевом пузыре, а у двух пациентов выявили множественные камни, включая одного с двусторонним поражением. RALS-UL также применяется при лечении камней, локализованных в мочеточнике. Данная методика рекомендуется в ситуациях, когда предыдущие хирургические операции не дали положительных результатов.
В 2015 г. D. Olvera-Posada [28] описал случай проведения робот-ассистированной уретеропиелотомии для удаления камня, размещённого в проксимальном сегменте мочеточника, с последующим выполнением уретеропиелопластики. В 2013 г. P. Dogra [29] представил результаты лечения 16 пациентов, средний возраст которых составлял 27 лет, с помощью роботизированной дистальной уретеролитотомии при наличии камней, превышающих 2 см в диаметре. Продолжительность операции составила в среднем 45,3 мин, а консольное время в среднем — 20,3 мин, что существенно сократило время процедуры по сравнению с традиционным эндоскопическим методом. Важно подчеркнуть, что всем пациентам проведена комплексная процедура, включающая катетеризацию мочевого пузыря, стентирование мочеточника и установку внутрибрюшинного дренажа. Удаление дренажа из брюшной полости состоялось на 1-й день после операции, катетер Foley — на 2-й, а мочеточниковый стент был удалён в среднем через 4 нед.
В литературе представлен лишь один случай проведения робототехнологической уретеролитотомии у детей [30]. 3-летней пациентке с камнем в мочеточнике верхнего сегмента удвоенной почки проведена роботизированная хирургическая процедура. В случаях, когда наблюдается обструкция почечной системы и МКБ, хирургические вмешательства имеют свои ограничения. Согласно рекомендациям Европейской ассоциации урологов, в таких ситуациях предпочтительна робот-ассистированная пиелопластика с одновременным удалением камней [31]. В связи с потенциальными рисками воздействия общей анестезии на развитие мозга у детей, которым предстоит проходить многочисленные и продолжительные процедуры [32], эти две операции рекомендуется проводить в комплексе. Впервые методика симультанной RALP и пиелолитотомии (RALP+P) была представлена F. Atug [15]. Позднее были проведены дополнительные исследования, посвящённые именно RALP+P, которые подтвердили безопасность и выполнимость данной процедуры, а также высокие показатели её эффективности в решении проблемы камней при последующих контрольных обследованиях [14, 33].
В 2013 году C. Esposito опубликовал отчёт о наибольшем на тот момент опыте применения RALP+P, включающем 11 операций пиелопластики в рамках 15 робототехнических процедур по удалению камней из мочевыводящих путей [27]. Несколько случаев одновременного проведения RALP и пиелолитотомии зарегистрированы в детской популяции. R. Lee [18] первым описал ситуацию, когда у пациента камни удалены в рамках единой операции, включавшей пиелопластику. Другие исследования показали, что комбинированная процедура RALP+P выполнена у десяти детей в возрасте от 5 до 26 лет. У всех пациентов перед операцией диагностирован UPJO и ипсилатеральный нефролитиаз. В 7 случаях продолжительность стационарного лечения составила всего один день. В течение дополнительного дня остальные пациенты находились под наблюдением или получали лечение для контроля боли. У девяти из десяти пациентов удаление всех камней успешно выполнено с помощью роботизированной хирургии. У одного пациента в анамнезе зарегистрирован небольшой камень в нижнем полюсе почки, который не удалён во время операции, но вскоре после проведения пиелопластики самостоятельно вышел.
Эктопические тазовые и подковообразные почки создают дополнительные сложности при хирургическом лечении уретеролитиаза как у детей, так и у взрослых. Вместе с аномальной сосудистой системой эти почки характеризуются другими анатомическими особенностями, например мальротацией, передним смещением почечной лоханки и высоким отхождением мочеточника. Совокупность этих особенностей часто приводит к частичной или полной обструкции верхних мочевых путей, что, в свою очередь, может спровоцировать гидронефроз. Наличие уролитиаза создаёт сложности при эндоурологических операциях на почках, требуя модифицированного доступа к ним. RALS-UL выступает как альтернатива, доказавшая свою безопасность у пациентов с врождёнными аномалиями почек, как показано в научных исследованиях.
В 2010 г. J. Zheng [31] впервые продемонстрировал применение робототехнической пиелопластики с сопутствующей пиелолитотомией у пациента, у которого тазовая почка была эктопирована и имела обструкцию ПУС и нефролитиаз. Ещё один пример иллюстрирует случай RALS-UL при двустороннем удвоении почек [30]. В заключении данной статьи мы хотели бы остановиться на некоторых общих аспектах использования РАХ в лечении МКБ у детей. Первостепенными показаниями для РАХ при детском уролитиазе являются следующие состояния: 1) наличие камней значительных размеров или локализованных с двух сторон; 2) история неудачных эндоурологических вмешательств; 3) сопутствующая вторичная аномалия собирательной системы, например, обструкция ПУС или стеноз мочеточника, требующая одновременной коррекции; 4) аномалии почек, такие как подковообразная почка и тазовая дистопия почки. Для детей, страдающих от крупных камней или коралловидных конкрементов в почках, РАХ является важным методом лечения, особенно если предыдущие процедуры оказались малоэффективными или привели к увеличению длительности лечения из-за необходимости проведения нескольких этапов.
Ещё одно важное показание РАХ — наличие сопутствующей обструкции мочеточников, требующей одновременной реконструкции. Двухсторонняя локализация камней в почках создаёт более сложную клиническую ситуацию, требующую особого подхода к лечению уролитиаза. В этих ситуациях применение РАХ обеспечивает одновременное выполнение операции с обеих сторон, исключая риски, связанные с проведением нескольких процедур. Кроме того, использование РАХ при аномально развитых почках помогает преодолеть множество трудностей, с которыми сталкивается уролог во время эндоурологических вмешательств.
ЗАКЛЮЧЕНИЕ
Таким образом, наше исследование показало, что РАХ — осуществимый, безопасный и эффективный метод лечения камней мочевыводящих путей у детей в отдельных случаях, таких как камни верхних мочевых путей, которые сопровождаются обструкцией мочевого тракта и требуют одновременной уретеролитотомии и уретеропластики.
ДОПОЛНИТЕЛЬНАЯ ИНФОРМАЦИЯ
Вклад авторов. Наибольший вклад распределён следующим образом: Ю.А. Козлов — обзор литературы, сбор и анализ литературных источников, написание текста и редактирование статьи; Э.В. Сапухин — сбор и анализ литературных источников; А.С. Страшинский — обзор литературы, сбор и анализ литературных источников; М.В. Макарочкина — сбор и анализ литературных источников; А.П. Рожанский — обзор литературы, сбор и анализ литературных источников, редактирование статьи; А.О. Ряхина — написание статьи. Все авторы подтверждают соответствие своего авторства международным критериям ICMJE (все авторы внесли существенный вклад в разработку концепции, проведение исследования и подготовку статьи, прочли и одобрили финальную версию перед публикацией).
Согласие на публикацию. Авторы получили письменное согласие законных представителей пациента на анализ и публикацию медицинских данных. Дата подписания 06.11.2024.
Источники финансирования. Авторы заявляют об отсутствии внешнего финансирования при проведении исследования и подготовке публикации.
Раскрытие интересов. Авторы декларируют отсутствие явных и потенциальных конфликтов интересов, связанных с публикацией настоящей статьи.
Оригинальность. При создании настоящей работы авторы не использовали ранее опубликованные сведения (текст, иллюстрации, данные).
Доступ к данным. Редакционная политика в отношении совместного использования данных к настоящей работе неприменима, новые данные не собирали и не создавали.
Генеративный искусственный интеллект. При создании настоящей статьи технологии генеративного искусственного интеллекта не использовали.
Рассмотрение и рецензирование. Настоящая работа подана в журнал в инициативном порядке и рассмотрена по обычной процедуре.
ADDITIONAL INFORMATION
Author contributions. The largest contribution is distributed as follows: Yu.A. Kozlov — literature review, literature collection and analysis, text writing, text and article editing; E.V. Sapukhin — literature collection and processing; A.S. Strashinsky — literature review, literature collection and processing; M.V. Makarochkina — literature collection and processing; A.P. Rozhansky — literature review, literature collection, article editing; A.O. Ryakhina — text writing. All authors confirm that their authorship meets the international ICMJE criteria (all authors made a significant contribution to the development of the concept, conduct of the research and preparation of the article, read and approved the final version before publication).
Consent for publication. The patient’s legal representatives gave informed voluntary written consent to participate in the study (date of signing 06.11.2024).
Funding source. The authors declare that there was no external funding for the study.
Disclosure of interests. The authors declare that they have no competing interests.
Statement of originality. When creating this work, the authors did not use previously published information (text, illustrations, data).
Data availability statement. The editorial policy regarding data sharing is not applicable to this work, and no new data has been collected or created.
Generative AI. Generative AI technologies were not used for this article creation.
Provenance and peer-review. This work was submitted to the journal on the authors’ own initiative and was reviewed in compliance with the standard procedure.
About the authors
Yuri A. Kozlov
Irkutsk State Regional Children’s Clinical Hospital; Irkutsk State Medical Academy of Postgraduate Education; Irkutsk State Medical University
Author for correspondence.
Email: yuriherz@hotmail.com
ORCID iD: 0000-0003-2313-897X
SPIN-code: 3682-0832
Dr. Sci. (Medicine), Professor, Corresponding Member of the RAS
Россия, Irkutsk; Irkutsk; IrkutskAlexander P. Rozhansky
Irkutsk State Regional Children’s Clinical Hospital; Irkutsk State Medical University
Email: alexanderozhanski@mail.ru
ORCID iD: 0000-0001-7922-7600
SPIN-code: 4012-7120
Россия, Irkutsk; Irkutsk
Eduard V. Sapukhin
Irkutsk State Regional Children’s Clinical Hospital
Email: sapukhin@yandex.ru
ORCID iD: 0000-0001-5470-7384
Россия, Irkutsk
Alexey S. Strashinsky
Irkutsk State Regional Children’s Clinical Hospital
Email: leksus-642@yandex.ru
ORCID iD: 0000-0002-1911-4468
SPIN-code: 9210-5286
Россия, Irkutsk
Anna O. Ryakhina
Irkutsk State Regional Children’s Clinical Hospital
Email: romahka@yandex.ru
ORCID iD: 0009-0006-0340-1186
Россия, Irkutsk
Marina V. Makarochkina
Irkutsk State Regional Children’s Clinical Hospital
Email: m.makarochkina@gmail.com
ORCID iD: 0000-0001-8295-6687
SPIN-code: 4600-4071
Россия, Irkutsk
References
- Hwang K, Mason MD, Peters CA. Clinical practice: surgical approaches to urolithiasis in children. Eur J Pediatr. 2011;170(6):681–688. doi: 10.1007/s00431-010-1373-6
- Jobs K, Rakowska M, Paturej A. Urolithiasis in the pediatric population — current opinion on epidemiology, patophysiology, diagnostic evaluation and treatment. Dev Period Med. 2018;22(2):201–208. doi: 10.34763/devperiodmed.20182202.201208
- Samotyjek J, Jurkiewicz B, Krupa A. Surgical treatment methods of urolithiasis in the pediatric population. Dev Period Med. 2018;22(1):88–93. doi: 10.34763/devperiodmed.20182201.8893
- Aydogdu O, Karakose A, Celik O, Atesci YZ. Recent management of urinary stone disease in a pediatric population. World J Clin Pediatr. 2014;3(1):1–5. doi: 10.5409/wjcp.v3.i1.1
- Esposito C, Masieri L, Bagnara V, et al. Ureteroscopic lithotripsy for ureteral stones in children using holmium: yag laser energy: results of a multicentric survey. J Pediatr Urol. 2019;15(4):391.e1–391.e7. doi: 10.1016/j.jpurol.2019.05.004
- Simforoosh N, Aminsharifi A. Laparoscopic management in stone disease. Curr Opin Urol. 2013;23(2):169–174. doi: 10.1097/MOU.0b013e32835d307f
- Meria P, Milcent S, Desgrandchamps F, et al. Management of pelvic stones larger than 20 mm: laparoscopic transperitoneal pyelolithotomy or percutaneous nephrolithotomy? Urol Int. 2005;75(4):322–326. doi: 10.1159/000089167
- Casale P, Grady RW, Joyner BD, et al. Transperitoneal laparoscopic pyelolithotomy after failed percutaneous access in the pediatric patient. J Urol. 2004;172(2):680–683. doi: 10.1097/01.ju.0000129462.23322.e0
- Ballesteros N, Snow ZA, Moscardi PRM, et al. Robotic Management of Urolithiasis in the Pediatric Population. Front Pediatr. 2019;7:351. doi: 10.3389/fped.2019.00351
- Suntharasivam T, Mukherjee A, Luk A, et al. The role of robotic surgery in the management of renal tract calculi. Transl Androl Urol. 2019;8(Suppl 4):S457–S460. doi: 10.21037/tau.2019.04.06
- Gaur DD, Trivedi S, Prabhudesai MR, et al. Laparoscopic ureterolithotomy: technical considerations and long-term follow-up. BJU Int. 2002;89(4):339–343. doi: 10.1046/j.1464-4096.2001.01562.x
- Spinoit AF, Nguyen H, Subramaniam R. Role of Robotics in Children: A brave New World! Eur Urol Focus. 2017;3(2–3):172–180. doi: 10.1016/j.euf.2017.08.011
- Andolfi C, Kumar R, Boysen WR, Gundeti MS. Current Status of Robotic Surgery in Pediatric Urology. J Laparoendosc Adv Surg Tech A. 2019;29(2):159–166. doi: 10.1089/lap.2018.0745
- Jensen PH, Berg KD, Azawi NH. Robot-assisted pyeloplasty and pyelolithotomy in patients with ureteropelvic junction stenosis. Scand J Urol. 2017;51(4):323–328. doi: 10.1080/21681805.2017.1300188
- Atug F, Castle EP, Burgess SV, Thomas R. Concomitant management of renal calculi and pelvi-ureteric junction obstruction with robotic laparoscopic surgery. BJU Int. 2005;96(9):1365–1368. doi: 10.1111/j.1464-410X.2005.05819.x
- Siddiqui KM, Albala DM. Robotic-assisted surgery and treatment of urolithiasis. Int J Surg. 2016;36(Pt D):673–675. doi: 10.1016/j.ijsu.2016.11.031
- Madi R, Hemal A. Robotic Pyelolithotomy, Extended Pyelolithotomy, Nephrolithotomy, and Anatrophic Nephrolithotomy. J Endourol. 2018;32(S1):S73–S81. doi: 10.1089/end.2017.0718
- Lee RS, Passerotti CC, Cendron M, et al. Early results of robot assisted laparoscopic lithotomy in adolescents. J Urol. 2007;177(6):2306-9. doi: 10.1016/j.juro.2007.01.178
- Bush NC, Xu L, Brown BJ, et al. Hospitalizations for pediatric stone disease in United States, 2002–2007. J Urol. 2010;183(3):1151–1156. doi: 10.1016/j.juro.2009.11.057
- Assimos D, Krambeck A, Miller NL, et al. Surgical Management of Stones: American Urological Association/Endourological Society Guideline, PART I. J Urol. 2016;196(4):1153–1160. doi: 10.1016/j.juro.2016.05.090
- Assimos D, Krambeck A, Miller NL, et al. Surgical Management of Stones: American Urological Association/Endourological Society Guideline, PART II. J Urol. 2016;196(4):1161–1169. doi: 10.1016/j.juro.2016.05.091
- Preminger GM, Assimos DG, Lingeman JE, et al. Chapter 1: AUA guideline on management of staghorn calculi: diagnosis and treatment recommendations. J Urol. 2005;173(6):1991–2000. doi: 10.1097/01.ju.0000161171.67806.2a
- Müller PF, Schlager D, Hein S, et al. Robotic stone surgery — Current state and future prospects: A systematic review. Arab J Urol. 2017;16(3):357–364. doi: 10.1016/j.aju.2017.09.004
- Badani KK, Hemal AK, Fumo M, et al. Robotic extended pyelolithotomy for treatment of renal calculi: a feasibility study. World J Urol. 2006;24(2):198–201. doi: 10.1007/s00345-006-0099-6
- Rajiv Y, Kumar A, Poonam Y. Bilateral simultaneous robot-assisted pyelolithotomy for large (> 6 cm) kidney stones: technique and review of literature. J Robot Surg. 2015;9(3):263–266. doi: 10.1007/s11701-015-0524-1
- Swearingen R, Sood A, Madi R, et al. Zero-fragment Nephrolithotomy: A Multi-center Evaluation of Robotic Pyelolithotomy and Nephrolithotomy for Treating Renal Stones. Eur Urol. 2017;72(6):1014–1021. doi: 10.1016/j.eururo.2016.10.021
- Esposito C, Masieri L, Blanc T, et al. Robot-assisted laparoscopic surgery for treatment of urinary tract stones in children: report of a multicenter international experience. Urolithiasis. 2021;49(6):575–583. doi: 10.1007/s00240-021-01271-5
- Olvera-Posada D, Dion M, Alenezi H, et al. Robotic Proximal Ureteropyelostomy After Unsuccessful Endourologic Management of Complicated Proximal Ureteral Stone Disease. J Endourol Case Rep. 2015;1(1):30–32. doi: 10.1089/cren.2015.29012.dop
- Dogra PN, Regmi SK, Singh P, et al. Lower ureteral stones revisited: expanding the horizons of robotics. Urology. 2013;82(1):95–99. doi: 10.1016/j.urology.2013.02.059
- Locke RA, Kwenda EP, Archer J, et al. Pediatric Robot-Assisted Laparoscopic and Ureteroscopic Ureterolithotomy and Ureteroplasty. J Endourol Case Rep. 2020;6(4):264–267. doi: 10.1089/cren.2020.0043
- Zheng J, Yan J, Zhou Z, et al. Concomitant treatment of ureteropelvic junction obstruction and renal calculi with robotic laparoscopic surgery and rigid nephroscopy. Urology. 2014;83(1):237–242. doi: 10.1016/j.urology.2013.08.008
- FDA Drug Safety Communication: FDA Approves Label Changes for Use of General Anesthetic and Sedation Drugs in Young Children. Available from: https://www.fda.gov/Drugs/DrugSafety/ucm554634.htm. Accessed: April 8, 2019.
- Mufarrij PW, Woods M, Shah OD, et al. Robotic dismembered pyeloplasty: a 6-year, multi-institutional experience. J Urol. 2008;180(4):1391–1396. doi: 10.1016/j.juro.2008.06.024
Supplementary files









