Some aspects of the application of magnetic resonance imaging for differential diagnostics of acute hematogenous osteomyelitis in children
- Authors: Sinitsyn A.G.1, Perepelkin A.I.1, Kopan G.A.1, Novikov N.V.1
-
Affiliations:
- Volgograd State Medical University, Volgograd
- Issue: Vol 28, No 4 (2024)
- Pages: 341-351
- Section: ORIGINAL ARTICLES
- Submitted: 09.02.2023
- Accepted: 10.07.2024
- Published: 09.09.2024
- URL: https://jps-nmp.ru/jour/article/view/611
- DOI: https://doi.org/10.17816/ps611
- ID: 611
Cite item
Full Text
Abstract
BACKGROUND: Acute hematogenous osteomyelitis is a purulent septic disease found in children at any age. This pathology still occupies a leading place in the structure of urgent pathologies in children which is characterized by difficult diagnostics, severe course and long-term complications leading to orthopedic problems and disability. Outcomes after its treatment directly depend on the effectiveness of early diagnostics. X-ray and CT examination at the first week of the disease are not effective in terms of accuracy and informativeness. Ultrasound is recognized as an effective method for diagnosing metaepiphyseal processes which are specific for young children. Osteoscintigraphy can be used, but in fact, it is rarely found in emergency departments; and besides, there is a probability that this technique in children can give false negative results. Osteotonometry and exploratory osteoperforation are invasive therapeutic and diagnostic procedures and should be used in case of strict indications. Magnetic resonance imaging (MRI) is an informative and non-invasive method that can be applied at the early intramedullary stages of the disease. MRI for differential diagnostics allows to avoid needless osteoperforation.
AIM: To conduct a retrospective analysis on MRI effectiveness for differential diagnostics in children with acute hematogenous osteomyelitis.
METHODS: The authors present their own experience in examining and treating children who were admitted to the City Emergency Clinical Hospital No 7 in Volgograd with acute pain in extremities and suspected arthritis or osteomyelitis in 2018-2021.
RESULTS: Patients were comparable in age, complaints, anamnesis and laboratory findings. In two clinical observations, retrospective analysis was done. In other two patients, MRI has proven its effectiveness when, in the first case, surgical aggression was avoided, and the patient was successfully cured with conservative techniques in a short time. In the second case, MRI helped to verify the diagnosis and to objectively justify indications for surgery.
CONCLUSION: MRI in children with suspected acute hematogenic osteomyelitis is justified and informative even at early stages of the disease. In some cases, it allows to avoid such invasive methods as exploratory osteoperforation.
Keywords
Full Text
Обоснование
Острый гематогенный остеомиелит (ОГО) — гнойно-септическое заболевание, встречающееся у детей любого возраста. ОГО до сих пор занимает ведущие места в структуре срочной патологии у детей по трудностям диагностики, тяжести течения и развитию отдалённых осложнений в виде ортопедических проблем и инвалидизации [1–6]. Результаты лечения напрямую зависят от эффективности ранней диагностики [1, 5, 7, 8]. Точность и информативность классической рентгенографии (РГ) и компьютерной томографии (КТ) в первую неделю заболевания нельзя считать удовлетворительными [3, 9]. Эффективность ультразвукового исследования (УЗИ) признана для диагностики метаэпифизарных процессов, характерных для детей раннего возраста [3, 5, 10]. Применение остеосцинтиграфии возможно, но на практике редко встречается в условиях отделений неотложной хирургии, а при использовании этого метода у детей имеются данные о вероятности ложноотрицательных результатов [11–13]. Остеотонометрия и поисковая остеоперфорация являются инвазивными лечебно-диагностическими процедурами и должны использоваться по строгим показаниям [2, 14]. Магнитно-резонансная томография (МРТ) — информативный и неинвазивный метод, применимый уже на ранних интрамедуллярных стадиях заболевания [1, 5, 15]. МРТ в настоящее время является предпочтительным способом визуализации со значительно более высокой чувствительностью (97–100%) и специфичностью (92%) по сравнению со стандартной РГ или остеосцинтиграфией [1]. Использование МРТ для дифференциальной диагностики позволяет в ряде случаев отказаться от «напрасной» остеоперфорации. Для этого протоколы МРТ должны быть соответствующим образом адаптированы для диагностики и локализации инфекции, для определения альтернативных заболеваний и своевременного выявления осложнений, которые в свою очередь могут привести к разрушительным последствиям в растущих костях, а также для изменения тактики лечения [16].
Цель
Ретроспективный анализ использования МРТ для дифференциальной диагностики ОГО у детей.
Методы
Дизайн исследования
Проведено обсервационное одноцентровое выборочное неконтролируемое исследование.
Критерии соответствия
Критерии включения: дети с жалобами на острые боли в конечностях, диагнозами «гнойный артрит» или «остеомиелит», подтверждёнными лабораторными и инструментальными методами исследования; согласие законного представителя пациента на медицинское вмешательство, участие в исследовании и использование медицинских данных в научных целях.
Критерии исключения: костный панариций, спицевой остеомиелит, остеомиелит позвоночника и черепа.
Описание исследования
В период с 2018 по 2021 год с жалобами на острые боли в конечностях и с подозрением на «артрит» или «остеомиелит» в детское отделение экстренной и гнойной хирургии (ДОЭГХ) ГУЗ «Клиническая больница скорой медицинской помощи №7» г. Волгограда госпитализировано 340 детей в возрасте от 0 до 18 лет (табл. 1). Из них большая часть пациентов (301) получали консервативную терапию: местные и парентеральные противовоспалительные средства, антибиотики широкого спектра действия. Острая хирургическая патология у них была исключена, пациенты выписаны на амбулаторное обследование и наблюдение с рекомендацией консультации ревматолога. Было пролечено 9 детей в возрасте до 2 лет с метаэпифизарным гематогенным остеомиелитом — выполнялись санационные пункции суставов, курс антибактериальной терапии (АБТ), иммобилизация поражённых конечностей.
Таблица 1. Распределение пациентов по патологии
Table 1. Distribution of patients by pathology
Патология / Pathology | 2018 | 2019 | 2020 | 2021 | Итого / Total |
Острый гематогенный остеомиелит, n/% / Аcute hematogenous osteomyelitis, n/% | 4/3,3 | 8/7,1 | 2/3,5 | 7/14,3 | 21/6,2 |
Метаэпифизарный гематогенный остеомиелит, n/% / Metaepiphyseal hematogenous osteomyelitis, n/% | 3/2,5 | 2/1,8 | 3/5,3 | 1/2 | 9/2,65 |
Гнойный артрит, n/% / Purulent arthritis, n/% | 2/1,6 | 3/2,7 | 4/7 | 0/0 | 9/2,65 |
Острая хирургическая патология исключена, n/% / Аcute surgical pathology was excluded, n/% | 113/92,6 | 99/88,4 | 48/84,2 | 41/83,7 | 301/88,5 |
Всего, n/% / Total, n/% | 122/100 | 112/100 | 57/100 | 49/100 | 340/100 |
Среди детей возрастной группы старше 2 лет выявлено 9 пациентов с гнойным артритом. Большинство из них также пролечены пункционным методом. По поводу ОГО был прооперирован 21 ребёнок в возрасте от 2 до 18 лет.
Среди пациентов с ОГО преобладали мальчики — 16 пациентов (76,2%), девочек было 5 (21,8%). Большинство составили дети в возрасте 9–11 лет, медиана — 8,1 лет. Поражение большеберцовой кости отмечалось у 9 (42,9%) пациентов, лучевой — у 5 (23,8%), малоберцовой — у 3 (14,3%), бедренной — у 2 (9,5%), плечевой — у 1 (4,75%). ОГО плоских костей выявлен у 1 (4,75%) ребёнка, у которого отмечался воспалительный процесс правой подвздошной кости.
У 21 (100%) пациента отмечены характерные жалобы на остро возникшие боли в конечности и ограничение активных движений. У 19 (90,5%) оперированных больных на момент обращения было отмечено увеличение конечности в объёме более, чем на 1 см по сравнению со здоровой конечностью (медиана 1,75 см). Обычно заболевание начиналось остро, на фоне «полного здоровья». В 25% случаев при сборе анамнеза родители отмечали связь с травмой (как правило, несущественной) либо с перенесённой накануне острой респираторной вирусной инфекцией. Повышение температуры тела до фебрильных цифр с первых дней болезни было свойственно 18 (85,7%) пациентам. Местная гиперемия и гипертермия кожных покровов оказались редкими симптомами — описаны в 3 (14,3%) случаях. Неспецифические лабораторные воспалительные изменения, такие как лейкоцитоз выше 10×109/л и нейтрофильный сдвиг более 75%, отмечались чаще — в 66,7% (n=14) и в 52,4% (n=11) случаев соответственно.
Кроме лабораторного обследования всем пациентам при обращении было выполнено традиционное РГ поражённых конечностей. Лишь у 1 пациента в возрасте 3 лет с длительностью заболевания 10 сут, в течение которых в условиях Центральной районной больницы проводилась терапия по поводу острой респираторной вирусной инфекции, на момент первичного обращения в хирургическое отделение были выявлены рентгенологические признаки остеомиелита в виде участка деструкции костной ткани до 1,5 см с нарушением кортикального слоя на границе нижней и средней трети диафиза левой плечевой кости и с отслоением надкостницы. Таким образом, в 95,3% случаев с помощью РГ при поступлении на ранних сроках заболевания деструктивных изменений костей выявлено не было.
Сроки госпитализации в детское хирургическое отделение с момента первых симптомов в 38,1% (n=8) случаев составили 3–4 сут, в 14,3% (n=3) — 1–2 сут болезни. Позже 4 сут были направлены 47,6% (n=10) детей, в том числе один ранее «пропущенный» пациент, который на 2 сут болезни при первичном осмотре в приёмном отделении хирургического стационара был переведён в инфекционный стационар.
При явной клинической картине ОГО пациентам в срочном порядке выполняли лечебно-диагностическую остеоперфорацию с последующей санацией и дренированием костномозгового канала, длительным курсом АБТ. При отсутствии убедительных показаний для срочного оперативного вмешательства пациентам назначали местную противовоспалительную терапию, пероральные нестероидные противовоспалительные препараты, АБТ; проводили динамическое клинико-лабораторное наблюдение. При отсутствии положительной динамики выполняли диагностическую поисковую остеоперфорацию. За время динамического наблюдения, для дифференциальной диагностики выполняли УЗИ и КТ.
C 2020 года детям с подозрением на ОГО выполняется МРТ на аппарате Siemens Magnetom ESSENZA 1,5T. Показаниями явились сложность диагностики, отрицательная динамика заболевания и полифокальность процесса. Пациентам в возрасте до 6 лет МРТ проводилась под наркозом. Положение пациента в катушке body — лёжа на спине с направлением головы от туннеля и с укладкой её в головную катушку для осуществления анестезиологического пособия. Детям в возрасте 6 лет и старше МРТ выполнялась по отработанным методикам с применением стандартных протоколов. Обзорное изображение получали широким блоком в коронарной плоскости с использованием быстрых импульсных Т2-взвешанных последовательностей, затем Т1-взвешенных изображений с последующим переходом на зону интереса малым полем обзора с применением программ подавления сигнала от жировой ткани (STIR). Исследование проводилось в 3 ортогональных плоскостях без контрастного усиления: аксиальной, коронарной и сагиттальной. При этом их компоновка осуществлялась в зависимости от локализации выявленных очагов. Проводилась оценка динамики сигнальных характеристик костной ткани, интрамедуллярных, параоссальных и околосуставных структур. Последовательности с подавлением сигнала от жира давали информацию о наличии отёка костного мозга. Т1-взвешенные изображения были оптимальны для оценки анатомических структур и жировых компонентов нормальных мягких тканей (например, для подтверждения жиросодержащей массы). Т2-взвешенные изображения отражали наличие жидкостного компонента и структурные изменения костного матрикса, тогда как PD-взвешенные изображения — сигнал от жидкостных структур и позволяли дифференцировать их между собой.
Статистический анализ
Статистическая обработка результатов исследований проведена с помощью программ Microsoft Excel 2010 (Microsoft, США) и Statistica 10.0 (StatSoft, США). При анализе клинических данных применяли медиану, абсолютные и относительные показатели.
Результаты
Участники исследования
По поводу ОГО в интрамедуллярной стадии прооперированы 13 (61,9%) детей, в экстрамедуллярной — 8 (38,1%) детей. Всем были наложены остеоперфорационные отверстия до границ «здорового» костномозгового канала с последующими ежедневными промываниями до полной санации. Параоссальные и/или межмышечные флегмоны вскрывали и дренировали. При наличии артрита прилегающего сустава его пунктировали, промывали и вводили раствор антибиотика в полость сустава.
Сроки оперативного вмешательства с момента госпитализации: до 24 ч — 76,2% (n=16), позже 24 ч — 23,8% (n=5). Всем пациентам проведён курс АБТ длительностью не менее 3 нед., выполнена иммобилизация конечности. На 14–21 сут выполнялась контрольная РГ. Диагноз ОГО подтверждён в 100% случаев.
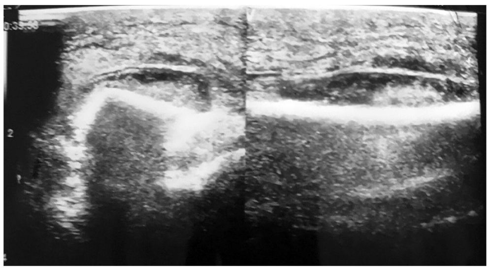
Рис. 1. Ультразвуковое исследование левой голени на 8 сут заболевания: под надкостницей в проекции нижней трети наружной поверхности малоберцовой кости определяется жидкость — участок высотой 40–42 мм, шириной 21 мм, толщиной до 6–7 мм с мелкодисперсной взвесью, баллотирует — параоссальная флегмона.
Fig. 1. Ultrasound of the left leg on day 8 of the disease: in the projection of the lower third of fibula external surface, liquid is seen — 40–42 mm high, 21 mm wide, up to 6–7 mm thick, with fine suspension, floating — paraossal phlegmon.
До операции УЗИ выполнено 8 (38%) пациентам. Реакция надкостницы, которая не была выявлена при стандартной РГ, выявлена у одной пациентки 12 лет на 8 сут заболевания (рис. 1). Параоссальная флегмона была интраоперационно вскрыта, при этом из костномозгового канала получен гной. При бактериологическом посеве выделен Staphylococcus aureus в титре 106 КОЕ/мл.
У остальных в ходе УЗИ не выявлено прямых признаков деструкции кости. При этом достаточно подробно и чётко описывались неспецифические изменения мягких и/или параартикулярных тканей.
КТ выполнено 5 (23,8%) пациентам, анамнез которых не превышал 5 сут заболевания. Достоверных деструктивных изменений костей выявлено ни у кого из них не было. Информация об изменениях мягких тканей была сопоставима с результатами УЗИ. У 1 пациента на сроке заболевания 5 дней описан отёк параартикулярных тканей.
МРТ было выполнено 3 (14,3 %) пациентам, у которых ОГО подтвердился, и они в дальнейшем были оперированы. У девочки 8 лет на 2 сут болезни были выявлены признаки ОГО правой малоберцовой кости в виде зоны снижения интенсивности Т2 сигнала от костного мозга дистальной трети метафиза за счёт ограниченных воспалительных изменений трабекулярной структуры, без видимых секвестральных фрагментов, от которой определяется жидкостное прилегающее содержимое с переходом на субфасциальный отдел (рис. 2).
Рис. 2. Магнитно-резонансная томография малоберцовой кости (девочка 8 лет с острым гематогенным остеомиелитом, 2 сут заболевания, фронтальная плоскость, Т2-взвешенное изображение): зона снижения интенсивности Т2-сигнала от костного мозга дистальной трети метафиза.
Fig. 2. MRI of the fibula (front plane, T2-weighted imaging); patient — girl 8 y.o. with acute hematogenous osteomyelitis on day 2 of the disease; zone of reduced intensity of T2 signal from the bone marrow of the distal third of the metaphysis.
Интраоперационно надкостница свободно отслаивается в нижней трети, кость мягкая, в костномозговом канале получена кровь под давлением. В бактериологическом посеве выявлен S. aureus в титре 105 КОЕ/мл.
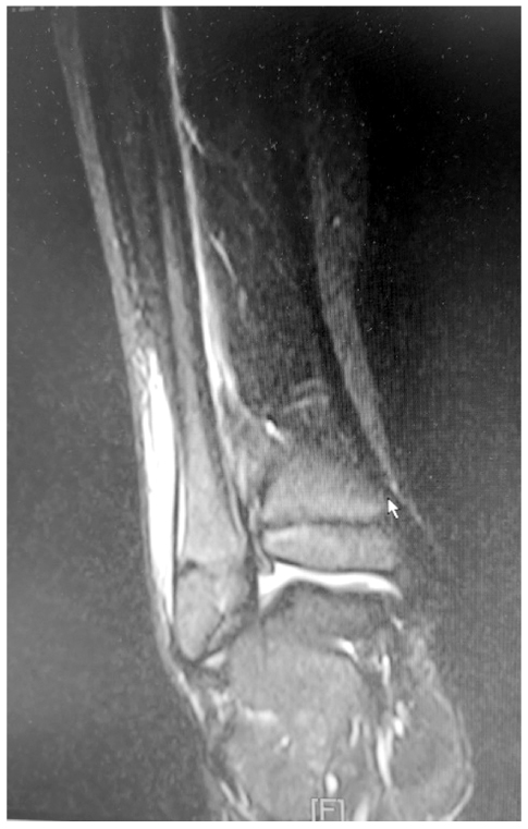
У мальчика 13 лет на 5 день болезни были выявлены достоверные признаки ОГО правой лучевой кости в виде выраженной воспалительной реакции и отслоением надкостницы протяжённостью до 4,3 см, наличие участка деструкции в метафизе по медиальной поверхности лучевой кости гипоинтенсивного характера, на Т1 — гиперинтенсивного характера с гипоинтенсивным перифокальным ободком и неоднородными включениями. В метафизе имеется полость формирующегося секвестра размерами 1,75×0,41×0,8 см, переходящая в веретенообразную гиперинтенсивную тень размерами 2,4×0,5×1,25 см — поднадкостничный абсцесс со свищевым ходом 0,6×0,14 см (рис. 3).
Рис. 3. Магнитно-резонансная томография лучевой кости (мальчик 13 лет, 5 день заболевания, Т2-взвешенное изображение с жироподавлением, a — горизонтальная плоскость, b — фронтальная плоскость): 1 — выраженная воспалительная реакция и отслоение надкостницы, 2 — гипоинтенсивный участок деструкции в метафизе по медиальной поверхности лучевой кости.
Fig. 3. MRI of the radial bone (T2-weighted imaging with suppression of MR signal from adipose tissue) on day 5 of the disease; patient is a 13-year-old boy, a — axial plane, b — coronary plane): 1 — pronounced inflammatory reaction of the periosteum and its detachment, 2 — hypointensive metaphysis destruction zone along the medial surface of the radial bone.
Интраоперационно надкостница отслоена в нижней трети лучевой кости, кость мягкая, порозная, из костномозгового канала получен сливкообразный гной под давлением. Бактериальный посев дал обильный рост S. aureus.
В 3 случае мальчику 10 лет на 5 сут болезни с болями и ограничением амплитуды движений в правом тазобедренном суставе после УЗИ (заподозрена псоас-гематома) выполнено МРТ, где кроме отёка ягодичных и подвздошной мышц справа, вероятно воспалительного характера, описан локальный отёк субхондральной поверхности правой подвздошной кости (рис. 4).
Рис. 4. Магнитно-резонансная томография правой подвздошной кости (мальчик 10 лет, 5 сут заболевания, фронтальная плоскость, Т2-взвешенное изображение): локальный отёк субхондральной поверхности правой подвздошной кости (стрелка).
Fig. 4. MRI of the acute hematogenic osteomyelitis of the right iliac bone (front plane, T2-weighted imaging) in a 10-y.o. child on day 5 of the disease. Local edema of subchondral surface of the right iliac bone (arrow).
Интраоперационно под надкостницей обнаружен гной (S. aureus в титре 105 КОЕ/мл), подтверждён диагноз «ОГО правой подвздошной кости; параоссальная флегмона».
В 2 случаях результаты МРТ у пациентов с подозрением на ОГО предплечья и бедра позволили исключить эту патологию, отказаться от оперативного вмешательства и продолжить успешную консервативную терапию.
Основные результаты исследования
Применение метода МРТ на этапе обследования позволило в первом случае избежать хирургического вмешательства и успешно вылечить пациента консервативными методами в короткие сроки. Во втором случае — верифицировать диагноз и объективно обосновать показания к хирургическому вмешательству. Для наглядности представлены 2 клинических наблюдения. Пациенты сопоставимы по возрасту, анамнезу, жалобам и лабораторным данным.
Клинический случай № 1
Больной М. (14 лет) за 4 дня до госпитализации ударился предплечьем о дверь. Появилась боль в месте ушиба, нарастал отёк, который в последующем распространился на область лучезапястного сустава и тыл кисти, периодически отмечалось повышение температуры тела до 37–37,2 ℃. В детской поликлинике выполнена РГ костей правого предплечья в 2 проекциях: явных травматических или деструктивных изменений не выявлено. Ребёнок осмотрен травматологом и с диагнозом «флегмона (?); остеомиелит (?) правого предплечья» направлен в ДОЭГХ, куда и был госпитализирован.
Результаты физикального, лабораторного и инструментального исследования
Правое предплечье в нижней и средней трети увеличено в окружности на 1,5–2 см по сравнению со здоровой конечностью за счёт отёка и инфильтрации мягких тканей. Пальпация болезненная по тыльной поверхности, с наибольшей интенсивностью по латеральному краю в нижней его трети. Активные движения в правом лучезапястном суставе ограничены, пассивные — почти в полном объёме, но сопровождаются усилением боли. Кожные покровы не изменены, гипертермии, гиперемии, следов ушиба нет.
Общий анализ крови: количество лейкоцитов 7,0×109/л, гранулоцитов — 58,6%, лимфоцитов — 27,5%, моноцитов — 13,9%, эритроцитов — 4,62×1012/л, тромбоцитов — 283×109/л; гематокрит 39,2%, цветовой показатель 0,8, скорость оседания эритроцитов 7 мм/ч; концентрация гемоглобина 124 г/л, C-реактивного белка — 20 мг/л.
Клинических признаков флегмоны не выявлено, назначена консервативная терапия: антибиотики (цефотаксим в дозе 1 г 2 раза в сут внутримышечно), повязки с диметилсульфоксидом и новокаином в соотношении 1:4.
УЗИ сосудов правой верхней конечности: поверхностные и глубокие вены проходимы, тромбы не выявлены. УЗИ мягких тканей правого предплечья, кисти и лучезапястного сустава: утолщение подкожной жировой клетчатки на протяжении от локтевого сустава, предплечья, кисти по наружной поверхности, толщиной от 4 до 6 мм, эхогенность повышена, структура однородная, в проекции тыльной поверхности кисти единичная гипоэхогенная полоска толщиной 1 мм. Свободной жидкости в локтевом и лучезапястном суставе нет. Надкостница костей предплечья ровная. Связки лучезапястного сустава утолщены.
МРТ правого предплечья: деструктивных изменений костей нет; отмечается утолщение мягких тканей в области подкожной жировой клетчатки на границе средней и нижней трети правого предплечья по наружной его поверхности.
Лечение
В течение 7 дней продолжена консервативная терапия — отёк и инфильтрация регрессировали, амплитуда движений полная.
Исход и результаты последующего наблюдения
Мальчик выписан на амбулаторное наблюдение. Контрольная РГ костей правого предплечья в 2 проекциях выполнена через 3 нед.: деструктивных изменений не выявлено.
Окончательный диагноз: инфильтрат, ушиб мягких тканей правого предплечья.
Клинический случай № 2
Больной Ш. (13 лет) за 3 дня до госпитализации стал жаловаться на боли и ограничение движений в правом лучезапястном суставе. Со слов ребёнка «подвернул» руку. Позднее присоединилось повышение температуры тела до 37,2–38 ℃. Родители обратились в ГУЗ «Клиническая больница скорой медицинской помощи № 7».
Результаты физикального, лабораторного и инструментального исследования
Выполнена РГ костей правого предплечья в 2 проекциях: травматических или деструктивных изменений не выявлено. Осмотрен травматологом, с диагнозом «артрит правого лучезапястного сустава (?)» направлен в ДОЭГХ.
При поступлении окружность нижней трети правого предплечья и области правого лучезапястного сустава увеличена на 0,5–1 см по сравнению со здоровой конечностью. Отёк и инфильтрация мягких тканей не выражены, пальпация болезненная по тыльной поверхности, максимально болезненная по латеральному по краю в нижней трети. Активные движения в правом лучезапястном суставе ограничены, пассивные движения в полном объёме, но вызывают усиление болевого синдрома. Кожные покровы не изменены, гипертермии, гиперемии, следов ушибов нет.
Общий анализ крови: количество лейкоцитов 7,9×109/л, палочкоядерных нейтрофилов — 3%, сегментоядерных нейтрофилов — 53%, лимфоцитов — 28%, моноцитов — 14%, эритроцитов — 4,79×1012/л, тромбоцитов 281×109/л; гематокрит 33,7%, цветовой показатель 0,71, скорость оседания эритроцитов 5 мм/ч; концентрация гемоглобина 112 г/л, C-реактивного белка — 38 мг/л.
На 3 день болезни выполнено УЗИ. При исследовании мягких тканей правого лучезапястного сустава на передней поверхности с переходом на латеральную поверхность отмечается участок повышенной эхогенности размерами 49×24×46 мм. Отмечается снижение эхогенности и утолщение синовиальной оболочки лучезапястного сустава до 6–8 мм. Жидкостной компонент в полости сустава отсутствует.
Убедительных клинических признаков гнойного артрита не выявлено, назначена консервативная терапия: АБТ (цефтриаксон в дозе 1 г 1 раз в сут внутримышечно), противовоспалительная терапия (ибупрофен в дозе 400 мг 2 раза в сут перорально), повязки с диметилсульфоксидом и новокаином в соотношении 1:4.
На фоне терапии температура тела сохранялась нормальной, болевой синдром и местная картина — без динамики. Контрольное УЗИ (4 день болезни): на границе средней и нижней трети наружного отдела правого предплечья определяется участок пониженной эхогенности размерами 31×21×35 мм — отёк с нечёткими контурами, однородный, кровоток сохранён, надкостница интактна, в полостях локтевого и лучезапястного суставов жидкости нет.
На 5 день болезни выполнено МРТ правого предплечья (см. рис. 3) — в проекции дистального метафиза правой лучевой кости имеются воспалительные признаки. Мягкие ткани вокруг гипоинтенсивны за счёт отёка. Суставные поверхности костей запястья не изменены, гиалиновый хрящ нормальной толщины, в полости сустава жидкости не выявлено.
Лечение
В срочном порядке ребёнку выполнена операция — остеоперфорация правой лучевой кости в нижней трети диафиза, при которой выявлено, что в нижней трети надкостница неплотно прилегает к кости, отслаивается легко, костная ткань порозна, серого цвета, получен сливкообразный гной под давлением (рис. 5). Выполнена санация костномозгового канала, дренирование поливинихлоридными трубками.
Рис. 5. Остеоперфорация правой лучевой кости: получен сливкообразный гной под давлением.
Fig. 5. Osteoperforation of the right radial bone: creamy pus appeared under pressure.
Бактериологический посев выявил обильный рост S. aureus.
Ребёнок получал перевязки под наркозом до санации костномозгового канала, симптоматическую и инфузионную терапию. Проводилась АБТ: цефтриаксон в дозе 1 г в сут, гентамицин в дозе 4 мг/кг в сут в течение 10 сут, затем линкомицин в дозе 20 мг/кг в сут в течение 14 сут. Конечность была иммобилизована гипсовой лонгетной повязкой. Состояние больного улучшилось, жалоб не предъявлял. Заживление ран происходило вторичным натяжением. Контрольная РГ выполнена на 18 сут болезни: в дистальном метафизе лучевой кости определяется участок деструкции костной ткани на фоне остеопороза размерами 1,1×0,6 см, с нечётким контуром. Реакция надкостницы в виде периостита, достигающего средней трети диафиза. В нижней трети остеоперфоративное отверстие. Отмечается неоднородность замыкательной пластины эпифиза лучевой кости, зона роста неравномерная.
Исход и результаты последующего наблюдения
Контрольная РГ выполнена через 1, 3 и 6 мес: динамика положительная, признаков хронизации нет. Окончательный диагноз: ОГО нижней трети правой лучевой кости, местная очаговая форма.
Обсуждение
Несмотря на острое начало и выраженный локальный болевой синдром с первых суток заболевания, диагноз ОГО часто бывает поставлен с опозданием. Остаётся высоким процент диагностических ошибок в ранний период болезни (25–58,3%) [5, 17]. В этот период врачам приходится ориентироваться на клинические проявления, которые могут быть вариабельны [10]. Ретроспективный анализ историй болезни наших пациентов показал, что лабораторные показатели активности воспалительного процесса (лейкоцитоз, нейтрофилёз, повышение концентрации С-реактивного белка), во-первых, не специфичны, во-вторых, могут быть нормальными у части пациентов, что согласуется с литературными данными [2, 11]. Среди применяемых инструментальных методов диагностики наиболее информативным представляется МРТ. Наши данные закономерно подтверждают отсутствие специфических рентгенологических признаков на первой неделе заболевания у пациентов с ОГО. Анализ пациентов с «сомнительными» клиническими данными, которым потребовалось выполнение дополнительного инструментального обследования до операции, показал, что на 1–5 сут заболевания КТ и УЗИ также не определяют прямых признаков деструкции костной ткани, а выявляют примерно сопоставимые изменения в мягких тканях. По имеющимся данным чувствительность МРТ для диагностики ОГО у детей составляет 97–100%, а специфичность — 92% [1, 7, 13]. Для оценки состояния костного мозга и мягких тканей, окружающих кость, МРТ является более точным методом, чем КТ. Периостальная реакция часто не визуализируется на МРТ, однако, если она все-таки определяется, то ещё до стадии оссификации, поэтому визуализируется на МРТ раньше, чем на КТ [9, 18]. Первые признаки заболевания, в виде отёка костного мозга, могут быть определены уже на 2–5 день от начала заболевания [1, 13, 15, 19]. В то же время, на первой неделе заболевания классическая РГ и КТ либо не определяют патологические изменения совсем, либо выявляют косвенные признаки в виде неспецифических изменений в параоссальных мягких тканях [15]. Информативность УЗИ сравнима с результатами КТ на 3–5 сут от начала заболевания — удаётся выявить отёк мышечной ткани в области поражения и лишь иногда — утолщение или отслоение надкостницы [3]. Чувствительность УЗИ для диагностики ОГО в среднем составляет 63%, а точность — 58% [10].
Приведённые в статье два клинических примера пациентов, сопоставимых по анамнезу, жалобам, лабораторным и объективным данным, демонстрируют, что ранняя визуализация деструктивных изменений костей на МРТ позволяет вовремя и объективно выявить показания к хирургическому вмешательству, либо обоснованно отказаться от него. У данного метода, безусловно, есть ограничения, особенно актуальные в детском возрасте. Чаще указывается на длительность процедуры и необходимость наркоза [15, 20, 21]. Изменения в костях при ОГО чётко визуализировались на Т2-взвешенных изображениях с подавлением сигнала от жировой ткани (Т2WIFSSE) в виде гиперинтенсивного сигнала от костного мозга, и соответственно, гипоинтенсивного сигнала на T1-взвешенных изображениях. Такой признак как «отёк костного мозга» в подавляющем числе случаев был доступен оценке только при МРТ и являлся ведущим лучевым симптомом, позволяющим выявить изменения костного мозга в рентгенонегативной стадии процесса, что согласуется с другим исследованием [22].
Заключение
МРТ у детей с подозрением на ОГО позволило на ранних стадиях верифицировать заболевание по характерным признакам: отёк костного мозга, отслоение надкостницы, гипоинтенсивность перифокальных мягких тканей, отмечаемых на Т2-взвешенных изображениях с подавлением сигнала от жировой ткани в виде гиперинтенсивного сигнала от костного мозга, и соответственно, гипоинтенсивного сигнала на T1-взвешенных изображениях. С помощью других лучевых методов диагностики у этих детей не удалось обнаружить патологические изменения. Положительная динамика на фоне антибактериальной, противовоспалительной и симптоматической терапии с регрессией воспалительных симптомов и МРТ-признаков в ряде случаев позволяет избежать напрасной остеотомии.
Дополнительная информация
Источник финансирования. Статья публикуется без спонсорской поддержки.
Конфликт интересов. Авторы заявляют об отсутствии явных и потенциальных конфликтов интересов.
Вклад авторов. Все авторы подтверждают соответствие своего авторства международным критериям ICMJE. Наибольший вклад распределён следующим образом: Синицын А.Г. — концепция и дизайн исследования, формулировка ключевых целей и задач, проведение исследований, сбор, анализ и интерпретация данных, написание текста, подготовка, визуализация иллюстраций; Копань Г.А., Новиков Н.В. — сбор, анализ и интерпретация данных; Перепёлкин А.И. — дизайн исследования, редактирование.
Этическое утверждение. Протокол исследования был одобрен локальным этическим комитетом Волгоградского государственного медицинского университета (№ 025 от 04.02.2022).
Согласие на публикацию. Авторы получили письменное согласие законных представителей пациентов на публикацию медицинских данных в обезличенной форме в журнале «Детская хирургия». Дата подписания 17.01.2023.
Additional information
Funding source. The publication had no sponsorship.
Competing interests. The authors claim that there is no conflict of interest in the article.
Authors’ contribution. All authors confirm compliance of their authorship with the international ICMJE criteria. The largest contribution is distributed as follows: A.G. Sinitsyn — concept and design of the study, formulation of the key goals and objectives, researching, collection, analysis, and interpretation of the data, writing of the text; preparation and visualization of the illustrations; G.A. Kopan, N.V. Novikov — data collection, analysis, and interpretation; A.I. Perepelkin — design of the study, editing.
Ethics approval. The present study protocol was approved by the local Ethics Committee of the Volgograd State Medical University (No 025 by 04.02.2022).
Consent for publication. Written consent was obtained from the representatives of the patients for publication of relevant medical information and all of accompanying images within the manuscript. Date of signing 17.01.2023.
About the authors
Aleksey G. Sinitsyn
Volgograd State Medical University, Volgograd
Author for correspondence.
Email: all-sur04@mail.ru
ORCID iD: 0000-0002-8308-8364
SPIN-code: 3223-7231
MD
Россия, 1 Pavshikh Bortsov square, 400066 VolgogradAndrey I. Perepelkin
Volgograd State Medical University, Volgograd
Email: similipol@mail.ru
ORCID iD: 0000-0001-5964-3033
SPIN-code: 5545-8353
MD, Dr. Sci. (Medicine), Professor
Россия, 1 Pavshikh Bortsov square, 400066 VolgogradGleb A. Kopan
Volgograd State Medical University, Volgograd
Email: gleb.kopan@yandex.ru
ORCID iD: 0000-0002-6627-1028
SPIN-code: 1465-6360
MD
Россия, 1 Pavshikh Bortsov square, 400066 VolgogradNikita V. Novikov
Volgograd State Medical University, Volgograd
Email: nvnovikov.volsmu@mail.ru
ORCID iD: 0000-0002-6344-0236
MD
Россия, 1 Pavshikh Bortsov square, 400066 VolgogradReferences
- Thakolkaran N, Shetty AK. Acute hematogenous osteomyelitis in children. Ochsner J. 2019;19(2):116–122. doi: 10.31486/toj.18.0138
- Dartnell J, Ramachandran M, Katchburian M. Haematogenous acute and subacute paediatric osteomyelitis: A systemic review of the literature. J Bone Joint Surg Br. 2012;94(5):584–595. doi: 10.1302/0301-620X.94B5.28523
- Barskaya MA, Kuzmin AI, Terekhina MI, et al. Acute hematogenic osteomyelitis in children. Int J Applied Fundamental Res. 2015;(12–7):1217–1219. EDN: VJFTVT
- Mashkov AE, Slesarev VV. Features of complex treatment of acute hematogenic osteomyelitis in children. Universum: Meditsina i farmakologiya. 2015;(4):1. EDN: TNYEVN
- Mikhaylova SI, Rumyantseva GN, Yusufov AA, et al. Acute radiation diagnostic methods of hematogenous osteomyelitis in children of different age groups. Sovremennye problemi nauki i obrazovaniya. 2020;(2):148. EDN: MFGUOL doi: 10.17513/spno.29711
- Cybin AA, Boyarincev VS, Mashkov AE, et al. Osteomyelitis in children. Tula: Akvarius; 2016. (In Russ.)
- Iliadis AD, Ramachandran M. Paediatric bone and joint infections. EFORT Open Rev 2017;2(1):7–12. doi: 10.1302/2058-5241.2.160027
- Fayad LM, Carrino JA, Fishman EK. Musculoskeletal infection: Role of CT in the emergency department. Radiographics. 2007;27(6):1723–1736. doi: 10.1148/rg.276075033
- Labuzov DS, Salopenkova AB, Proshhenko JN. Methods of diagnosis of acute epiphyseal osteomyelitis in children. Pediatr Orthopedics Traumatol Reconstructive Surg. 2017;5(2):59–64.EDN: YSTYJZ doi: 10.17816/PTORS5259-64
- Jurkovsky AM, Voronecky AN. Early diagnosis of osteomyelitis in children: The limits of diagnostic capabilities. Novosti khirurgii. 2009;17(4):194–199. (In Russ.) EDN: PBYFDB
- Strelkov NS, Razin MP. Hematogenic osteomyelitis in children. Moscow: GEOTAR-Media; 2018. (In Russ.)
- Dodwell ER. Osteomyelitis and septic arthritis in children: Current concepts. Curr Opin Pediatr. 2013;25(1):58–63. doi: 10.1097/MOP.0b013e32835c2b42
- Saavedra-Lozano J, Falup-Pecurariu O, Faust SN, et al. Bone and joint infections. Pediatr Infect Dis J. 2017;36(8):788–799. doi: 10.1097/INF.0000000000001635
- Kaplan SL. Recent lessons for the management of bone and joint infections. J Infect. 2014;68(Suppl 1):51–56. doi: 10.1016/j.jinf.2013.09.014
- Fattore J, Goh DS. Revisiting the important role of magnetic resonance imaging (MRI) in long bone acute osteomyelitis: A case report of methicillin resistant Staphylococcus aureus acute tibial osteomyelitis with conventional radiography, computed tomography, and MRI. Radiology Case Reports. 2020;15(10):2003–2008. doi: 10.1016/j.radcr.2020.07.079
- Alexander KM, Laor T, Bedoya MA. Magnetic resonance imaging protocols for pediatric acute hematogenous osteomyelitis. Pediatr Radiol. 2023;53(7):1405–1419. EDN: KURPRE doi: 10.1007/s00247-022-05435-2
- Garkavenko JE, Semenov MG, Troshhieva DO. Complex treatment of children with the consequences of hematogenic osteomyelitis: At the intersection of problems. Pediatr Orthopedics Traumatol Reconstructive Surg. 2016;4(2):29–36. (In Russ.) EDN: WCDCLJ doi: 10.17816/PTORS4229-36
- Kovalinin VV, Kleshchevnikova KYu, Dzhanchatova BA. The radiology of osteomyelitis. Russ Electronic J Radiol. 2014;4(3):66–76. EDN: THWQOB
- Simpfendorfer CS. Radiologic approach to musculoskeletal infections. Infect Dis Clin. 2017;31(2):299–324. doi: 10.1016/j.idc.2017.01.004
- Lee YJ, Sadigh S, Mankad K, et al. The imaging of osteomyelitis. Quant Imaging Med Surg. 2016;6(2):184. doi: 10.21037/qims.2016.04.01
- Golovanev MA. Osteomyelitis. In: Pediatric surgery: National guidance. Ed. by A.Yu. Razumovsky. 2nd revised and updated. Moscow: GEOTAR-Media; 2021. (Series: National Guidelines). (In Russ.) doi: 10/33029/9704-5785-6-PSNR-2021-2-1-1280
- Sholohova NA, Ol’hova EB, Shmeleva JI, et al. The role of mri in the diagnosis of osteomyelitis in adolescents (case report). Diagnost Intervent Radiol. 2020; 14 (2):67–72. EDN: OGNNQW doi: 10.25512/DIR.2020.14.2.08
Supplementary files








