Endoscopic treatment of intermediate bronchus rupture in a 4-year-old child with polytrauma
- Authors: Kharitonova A.Y.1, Karaseva O.V.1,2, Shavrov A.A.1,3, Gorelik A.L.1, Merkulova A.O.1, Frolov E.A.1, Alekseev I.F.1, Melnikov I.A.1
-
Affiliations:
- Scientific Research Institute of Emergency Pediatric Surgery and Traumatology
- National Medical Research Center of Children's Health
- The Russian National Research Medical University named after N.I. Pirogov
- Issue: Vol 28, No 6 (2024)
- Pages: 613-620
- Section: Case reports
- Submitted: 27.08.2024
- Accepted: 12.11.2024
- Published: 19.12.2024
- URL: https://jps-nmp.ru/jour/article/view/829
- DOI: https://doi.org/10.17816/ps829
- ID: 829
Cite item
Abstract
BACKGROUND: In the structure of childhood traumatism, thoracic trauma occurs in less than 10% of cases, but it is the second most likely cause of death in children. A bronchial rupture that disrupts adequate ventilation of the lungs can be the culprit of the fatal outcome. The purpose of our publication is to demonstrate a rare clinical observation of successful endoscopic treatment of an intermediate bronchus rupture in a 4-year-old child with polytrauma.
CLINICAL CASE DESCRIPTION: A 4-year-old boy was injured in a traffic accident as a pedestrian. During the first three days, he was treated for multiple injuries (Injury Severity Score 41) in a local hospital where, because of emergency indications, drainage of the right pleural cavity with two drains for tension pneumothorax and laparotomy for intra-abdominal bleeding due to liver rupture were done. Because of patient’s relative stabilization by the 3rd post-trauma day, he was transferred to our clinic (level 1 trauma center). We could stabilize his hemodynamics; however, air blowing through the drains was maintained, complete straightening of the parenchyma of the right lung was not reached, and blood gas composition remained subcompensated. On day 5 of the post-traumatic period, laryngotracheobronchoscopy was performed, and the rupture of intermediate bronchus measuring 3×9 mm was diagnosed. Its occlusion with a positive effect was done. After 7 days, laryngotracheobronchoscopy was repeated, and blockers were removed. After that, complete straightening of the right lung was reached; no recurrence of bronchopulmonary fistula. Long mechanical ventilation and long hospital stay were results of severe traumatic brain injury. At the follow-up visit in a year, no pathology in respiratory organs was detected at clinical laboratory, radiological and endoscopic examination.
CONCLUSION: Bronchial rupture may be a cause of inadequate ventilation and aggravation of the post-traumatic period in a polytrauma patient. The present observation demonstrates that intraluminal endoscopy allows to timely detect the rupture of the large bronchus and to perform a minimally invasive surgical treatment. Such a tactics ensured further positive dynamics in child's condition and favorable outcomes after polytrauma, as a whole.
Full Text
ОБОСНОВАНИЕ
Политравма относится к видам детского травматизма с высокой летальностью, составляющей от 7,1% до 22% [1, 2]. За исключением грудного и раннего детского возраста, травмы лидируют в структуре детской смертности во всем мире [2]. По данным Всемирной Организации Здравоохранения более 2000 детей в мире погибают от травм ежедневно [2]. Особого внимания заслуживает торакальная травма, которая хотя и составляет у детей менее 10% от всех травматических повреждений, сопряжена с высокой летальностью [1–6]. Травма груди является маркером тяжести повреждения и занимает второе место после ЧМТ, как наиболее вероятная причина летального исхода [1, 4–7].
Травма груди, приводящая к разрыву главных бронхов, встречается редко — с частотой от 0,7 до 2,8% [8–11]. Разрыв крупных бронхов часто приводит к летальному исходу из-за несвоевременной диагностики и трудностей с обеспечением адекватной вентиляции у пациентов с сочетанными и множественными повреждениями при политравме [8–15]. По данным литературы, смертность при разрыве крупных бронхов находится в диапазоне от 9 до 30% [8–11]. Малый объём литературных данных, особенно у детей, и уникальность каждого наблюдения определяют отсутствие единой диагностической и лечебной тактики [12–17]. Целью нашей публикации является демонстрация редкого клинического наблюдения успешного эндоскопического лечения разрыва промежуточного бронха у ребёнка 4-х лет с политравмой.
ОПИСАНИЕ КЛИНИЧЕСКОГО СЛУЧАЯ
Мальчик (4 года) пострадал в дорожно-транспортном происшествии как пешеход. Первые 3-е сут находился на лечении по поводу политравмы — черепно-мозговая травма (ЧМТ), травма груди, травма живота — в стационаре по месту жительства, куда был доставлен бригадой скорой медицинской помощи с места происшествия. При поступлении в первичном стационаре по экстренным показаниям ребёнок был интубирован и переведён на искусственную вентиляцию лёгких (ИВЛ); начата противошоковая терапия, включая вазопрессорную поддержку; выполнены дренирование правой плевральной полости двумя дренажами по поводу напряженного пневмоторакса справа и лапаротомия по поводу внутрибрюшного кровотечения (гемостаз, ушивание разрыва хвостатой доли печени и дренирование брюшной полости). В послеоперационном периоде, несмотря на проводимую интенсивную терапию, состояние ребёнка оставалось тяжёлым, не удавалось добиться устойчивой стабилизации состояния из-за дыхательной недостаточности, связанной с сохраняющимся постоянным сбросом воздуха по плевральным дренажам. Дренирование правой плевральной полости двумя дренажами (во 2 межреберье по среднеключичной линии и в 6 межреберье по средней подмышечной линии) с использованием активной аспирации под давлением 5–10 мм рт. ст. не обеспечивало стабильного расправления правого лёгкого, отмечалось его периодическое коллабирование, что сопровождалось снижением показателей оксигенации крови. Относительная стабилизация состояния к 3-м сут посттравматического периода позволила транспортировать больного на реанимобиле в нашу клинику (травмоцентр 1 уровня). За время транспортировки состояние ребёнка не ухудшилось.
Результаты физикального, лабораторного и инструментального исследования
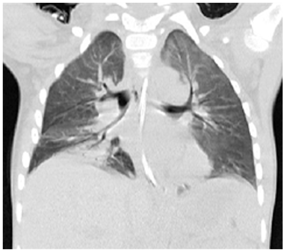
При поступлении выполнена спиральная компьютерная томография (СКТ) в режиме «Whole body». На основании клинико-инструментального обследования с учётом анамнестических данных и данных первичного стационара был сформулирован диагноз: «Тяжёлая сочетанная травма [оценка по шкале тяжести травмы (Injury Severity Score) 41 балл]; закрытая тяжёлая ЧМТ [по шкале оценки тяжести изолированных повреждений (Abbreviated Injury Scale, AIS) AIS-4]; ушиб головного мозга тяжёлой степени; перелом левой височной, теменной и затылочной костей; закрытая травма груди (AIS-4); множественные переломы рёбер (2–8) справа; ушиб левого лёгкого средней степени тяжести; разрыв правого лёгкого; большой напряженный пневмоторакс справа (AIS-4); закрытая травма живота (AIS-3); разрыв правой доли печени; гемоперитонеум; травматический шок 3 степени». Ребёнок был госпитализирован в отделение реанимации, где продолжена интенсивная терапия. Тяжесть состояния ребёнка была обусловлена тяжестью травматических повреждений с развитием множественной органной дисфункции в рамках синдрома взаимного отягощения. По плевральным дренажам сохранялось продувание воздуха, аускультативно определялось ослабление дыхания над всей поверхностью правого лёгкого. По данным СКТ при поступлении и рентгенографии органов грудной клетки, выполняемой ежедневно в палате отделения реанимации, сохранялось коллабирование правого лёгкого от ⅓ до ⅔ (рис. 1).
Рис. 1. Спиральная компьютерная томография при поступлении: коллабирование правого лёгкого с большим пневмотораксом.
Fig. 1. Spiral computed tomography at admission: collapse of the right lung with a large pneumothorax.
Лечение
На фоне проводимой терапии, включая ИВЛ, к 5-м сут посттравматического периода отмечена положительная динамика в виде устойчивой стабилизации гемодинамики без вазопрессорной поддержки. Однако продувание воздуха по дренажам сохранялось. На фоне использования интермиттирующего (пассивного и активного) режима аспирации не удавалось достичь устойчивого полного расправления паренхимы правого лёгкого. Газовый состав крови сохранялся субкомпенсированным, сатурация 90–95% с периодами снижения до 80–84%. Учитывая стабилизацию гемодинамических показателей консилиумом реаниматологов, хирургов и врачей-эндоскопистов было принято решение выполнить диагностическую ларинготрахеобронхоскопию (ЛТБС) для определения возможности установки бронхоблокатора с целью окклюзии бронхопульмонального свища. ЛТБС проводили в условиях операционной под общей анестезией, через воздуховод I-GEL бронхоскопом 4,9 мм с инструментальным каналом 2,0 мм. Манипуляцию проводили под рентгенологическим контролем (электронно-оптический преобразователь — С-дуга). Для предотвращения бронхоспазма голосовые складки и карину дополнительно орошали 2% раствором лидокаина гидрохлорида моногидрата в возрастной дозировке. В просвете трахеобронхиального дерева, больше справа, выявлено значительное количество вязкой густой слизи с примесью крови. Выполнена санация трахеобронхиального дерева с промыванием антисептическим раствором с последующим детальным осмотром всех видимых бронхов левого и правого лёгкого. По передней стенке промежуточного бронха визуализирован линейный разрыв 9×3 мм с неровными краями (рис. 2).
Рис. 2. Эндоскопическая картина: травматический разрыв 9×3 мм по передней стенке промежуточного бронха.
Fig. 2. Endoscopic picture: traumatic rupture of 9×3 mm along the anterior wall of the intermediate bronchus.
С использованием эндоскопических щипцов типа «аллигатор» выполнена бронхоблокация промежуточного бронха 3 блокаторами (полиуретановая медицинская губка) размером 8×10 мм (рис. 3).
Рис. 3. Эндоскопическая картина: окклюзия промежуточного бронха бронхоблокатором (стрелка — полиуретановая медицинская губка).
Fig. 3. Endoscopic picture: occlusion of the intermediate bronchus with a bronchoblocker (arrow — polyurethane medical sponge).
После окклюзии промежуточного бронха сброс воздуха по дренажам прекратился, верхняя доля правого лёгкого полностью расправилась, сохранялся ателектаз средней и нижней долей правого лёгкого, пневмоторакс купировался. Плевральный дренаж во 2 межреберье был удалён. В послеоперационном периоде отмечен регресс дыхательной недостаточности: pCO2 55 мм рт. ст., pO2 90–92 мм рт. ст., сатурация 99–100%. По данным СКТ на 6 сут после выполнения ЛТБС в просвете промежуточного бронха справа определялось инородное тело (блокаторы), полностью перекрывающее просвет бронха. Средняя и нижняя доли резко уменьшены в объёме, бронхиальное дерево и паренхима их полностью безвоздушны, пневмомедиастинум и воздушная эмфизема мягких тканей регрессировали (рис. 4).
Рис. 4. Спиральная компьютерная томография на 6 сут после ларинготрахеобронхоскопии: ателектаз средней и нижней долей правого лёгкого (стрелка).
Fig. 4. Spiral computed tomography 6 days after laryngotracheobronchoscopy: atelectasis of the middle and lower lobes of the right lung (arrow).
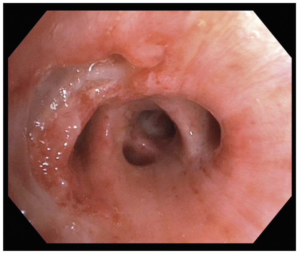
Повторное исследование для удаления бронхоблокатора выполняли через 7 сут в условиях операционной с рентгенологическим контролем (С-дуга). При ЛТБС через воздуховод I-GEL с помощью эндоскопических щипцов типа «крысиный зуб» из промежуточного бронха без технических сложностей произведено удаление 3-х полиуретановых блокаторов. При контрольном осмотре визуализирован поверхностный дефект слизистой промежуточного бронха длиной 5–6 мм с признаками выраженной эпителизации (рис. 5).
Рис. 5. Эндоскопическая картина после удаления бронхоблокаторов: эпителизация травматического разрыва промежуточного бронха (стрелка).
Fig. 5. Endoscopic picture after removal of bronchoblockers: epithelialization of traumatic rupture of the intermediate bronchus (arrow).
В просвете всех видимых бронхов средней и нижней долей справа имелось умеренное количество вязкого слизисто-гнойного содержимого. Выполнена санация просвета трахеи и бронхов с промыванием антисептическим раствором в объёме до 15 мл. После удаления бронхоблокаторов сброс воздуха по дренажу из плевральной полости отсутствовал, при рентгенологическом контроле отмечено расправление средней и нижней долей правого лёгкого, дренаж из плевральной полости был удалён. На протяжении всего исследования вентиляционных нарушений отмечено не было. При контрольной СКТ после удаления бронхоблокаторов отмечено восстановление пневматизации и объёма правого лёгкого при сохранении застойно-воспалительных изменений в нижней доле правого лёгкого (рис. 6).
Рис. 6. Спиральная компьютерная томография после удаление бронхоблокаторов: средостение по средней линии, правое лёгкое расправлено, воздуха в правой плевральной полости нет, сохраняется снижение воздушности нижней доли правого лёгкого.
Fig. 6. Spiral computed tomography after removal of bronchoblockers: mediastinum along the midline, right lung is straightened, there is no air in the right pleural cavity, airiness decreasing in the lower lobe in the right lung.
Длительность ИВЛ (20 сут) и нахождения ребёнка в отделении реанимации (32 сут), как и общий срок госпитализации (81 сут) были связаны с тяжестью сочетанных повреждений, в первую очередь с тяжёлой ЧМТ.
Исход и результаты последующего наблюдения
При плановом катамнестическом обследовании через год состояние мальчика удовлетворительное, жалоб нет. При клинико-лабораторном и рентгенологическом обследовании патологии со стороны органов дыхания не выявлено. По данным ЛТБС, патологии, в том числе данных за стенозирование и деформацию промежуточного бронха, не выявлено.
ОБСУЖДЕНИЕ
Трахеобронхиальный разрыв — очень редкая травма у детей [9–16]. Обычно является следствием высокоскоростного дорожно-транспортного происшествия или кататравмы [7–11]. Механизм этой травмы заключается в переднезаднем сдавлении податливой грудной клетки, прижимающем грудину к позвоночнику, что приводит к латеральному смещению лёгких и повреждению бронхов или трахеи в области бифуркации. Кроме того, повреждение трахеобронхиального дерева может возникнуть из-за быстрого повышения внутритрахеального давления при закрытой голосовой щели в момент травмы [11]. Сообщается, что частота разрыва правого бронха выше, чем левого [8–11]. Высококинетическая травма, которая вызывает разрыв бронхов, неизбежно приводит к множественным тяжёлым травмам всего организма. Часто в структуре травмы на первое место выходит клиническая картина черепно-мозговой травмы, повреждения органов брюшной полости, переломов конечностей, что способствует затруднению своевременной постановки правильного диагноза [6, 7, 11, 17]. У нашего пациента имела место критическая сочетанная травма [оценка по шкале тяжести травмы (Injury Severity Score) 41 балл] с конкурирующими тяжёлыми травмами головы и лёгких, среднетяжёлой травмой печени. Как и в нашем случае, по данным литературы, рентгенография редко помогает в диагностике разрывов трахеобронхиального дерева [8–11]. Индикаторами потенциального повреждения бронхов являются постоянная утечка воздуха, ателектаз (несмотря на дренирование плевральной полости с активной аспирацией), пневмомедиастинум [8–17]. СКТ необходима для оценки объёма поражения и нередко позволяет заподозрить разрыв бронха [8–17]. При неполном отрыве бронха только бронхоскопия позволяет поставить диагноз, уточнить локализацию и степень повреждения бронха [8–11].
В детской практике, как и во взрослой, лечение пациентов с травматическим разрывом бронхов следует начинать как можно раньше после установления диагноза [8–11]. Ранняя операция позволяет быстро восстановить непрерывность бронха и купировать пневмоторакс, эмфизему средостения и вторичную лёгочную инфекцию [8–14]. В литературе также есть сообщения об успешном консервативном лечении при неполных разрывах крупных бронхов [15, 17]. В нашем случае, учитывая тяжёлое и нестабильное состояние пациента вследствие множественных конкурирующих повреждений, ЛТБС с точной диагностикой локализации и характера повреждения позволило блокировать повреждённый бронх, купировать пневмоторакс и устранить нарушения газообмена вследствие сброса воздуха по бронхопульмональному свищу. Все это способствовало регрессу дыхательной недостаточности и стабилизации состояния ребёнка, а также предотвращению развития фатальных осложнений в посттравматическом периоде и обеспечило благоприятный исход политравмы в целом.
ЗАКЛЮЧЕНИЕ
Причиной, нарушающей адекватную вентиляцию лёгких и усугубляющей течение посттравматического периода при политравме, может быть разрыв бронха. В представленном наблюдении внутрипросветная эндоскопия позволила своевременно выявить разрыв крупного бронха и выполнить малоинвазивное хирургическое лечение — окклюзию повреждённого бронха, — что обеспечило дальнейшую положительную динамику в состоянии ребёнка и благоприятный исход политравмы в целом.
ДОПОЛНИТЕЛЬНАЯ ИНФОРМАЦИЯ
Источник финансирования. Исследование и публикация осуществлены при поддержке АНО «Московский центр инновационных технологий в здравоохранении» (Соглашение о предоставлении гранта № 2312-16/22).
Конфликт интересов. Авторы заявляют об отсутствии явных и потенциальных конфликтов интересов.
Вклад авторов. Все авторы подтверждают соответствие своего авторства международным критериям ICMJE. Наибольший вклад распределён следующим образом: А.Ю. Харитонова, О.В. Карасева — написание текста, концепция и дизайн исследования; А.Л. Горелик — сбор и обработка материала; А.О. Меркулова, Е.А. Фролов, И.Ф. Алексеев — сбор и обработка материала, подготовка иллюстраций; А.А. Шавров — редактирование; И.А. Мельников — подготовка иллюстраций.
Согласие на публикацию. Авторы получили письменное согласие законного представителя пациента на публикацию медицинских данных в обезличенной форме в журнале «Детская хирургия». Дата подписания 29.02.2024.
ADDITIONAL INFORMATION
Funding source. The research and publication were carried out with the support of the Moscow Center for Innovative Technologies in Healthcare (Grant Agreement No. 2312-16/22).
Competing interests. The authors claim that there is no conflict of interest in the article.
Authors’ contribution. All authors confirm compliance of their authorship with the international ICMJE criteria. The largest contribution is distributed as follows: A.Yu. Kharitonova, O.V. Karaseva — manuscript writing, concept, and design of the study; A.L. Gorelik — collection and processing of the material; A.O. Merkulova, E.A. Frolov, I.F. Alekseev — collection and processing of the material, preparation of illustrations; A.A. Shavrov — editing; I.A. Melnikov — preparation of illustrations.
Consent for publication. Written consent was obtained from the representative of the patient for publication of relevant medical information and all of accompanying images within the manuscript in the Russian Journal of Pediatric Surgery. Date of signing 29.02.2024.
About the authors
Anastasia Y. Kharitonova
Scientific Research Institute of Emergency Pediatric Surgery and Traumatology
Author for correspondence.
Email: kharitonovaay@zdrav.mos.ru
ORCID iD: 0000-0001-6218-3605
SPIN-code: 1251-5150
MD, Cand. Sci. (Medicine)
Россия, MoscowOlga V. Karaseva
Scientific Research Institute of Emergency Pediatric Surgery and Traumatology; National Medical Research Center of Children's Health
Email: karaseva.o@list.ru
ORCID iD: 0000-0001-9418-4418
SPIN-code: 7894-8369
Scopus Author ID: 6506495682
ResearcherId: IDHLH-55562023
MD, Dr. Sci. (Medicine)
Россия, Moscow; MoscowAndrey A. Shavrov
Scientific Research Institute of Emergency Pediatric Surgery and Traumatology; The Russian National Research Medical University named after N.I. Pirogov
Email: shavrovaa@yandex.ru
ORCID iD: 0000-0003-3666-2674
SPIN-code: 3455-9611
MD, Dr. Sci. (Medicine), Professor
Россия, Moscow; MoscowAlexander L. Gorelik
Scientific Research Institute of Emergency Pediatric Surgery and Traumatology
Email: gorelikal1@zdrav.mos.ru
ORCID iD: 0000-0003-1746-8446
SPIN-code: 7444-8233
MD
Россия, MoscowAnastasia O. Merkulova
Scientific Research Institute of Emergency Pediatric Surgery and Traumatology
Email: merkulovaao@zdrav.mos.ru
ORCID iD: 0000-0001-8623-0947
SPIN-code: 2535-1504
MD
Россия, MoscowEgor A. Frolov
Scientific Research Institute of Emergency Pediatric Surgery and Traumatology
Email: efrolov228@gmail.com
ORCID iD: 0000-0003-1561-5510
SPIN-code: 4291-6995
MD
Россия, MoscowIlya F. Alekseev
Scientific Research Institute of Emergency Pediatric Surgery and Traumatology
Email: AlekseevIF@zdrav.mos.ru
ORCID iD: 0000-0002-5823-3574
SPIN-code: 1940-3970
MD
Россия, MoscowIlya A. Melnikov
Scientific Research Institute of Emergency Pediatric Surgery and Traumatology
Email: MelnikovIA3@zdrav.mos.ru
SPIN-code: 2512-2351
MD
Россия, MoscowReferences
- Cooper A, Barlow B, Di Scala C, String D. Mortality and truncal injury: The pediatric perspective. J Pediatr Surg. 1994;29(1):33–38. doi: 10.1016/0022-3468(94)90518-5
- Peden M, Oyegbite K, Ozanne-Smith J, et al. World report on child injury prevention. Geneva: World Health Organizationand UNICEF; 2008. EDN: QLWMOT
- Dmitriev RV, Shinkarik IG, Rudakova EA. Closed chest trauma in children. Perm Med J. 2011;28(6):25–28. EDN: OOMKRR
- Tovar JA, Vazquez JJ. Management of chest trauma in children. Paediatr Respir Rev. 2013;14(2):86–91. doi: 10.1016/j.prrv.2013.02.011
- Sartorelli KH, Vane DW. The diagnosis and management of children with blunt injury of the chest. Semin Pediatr Surg. 2004;13(2):98–105. doi: 10.1053/j.sempedsurg.2004.01.005
- Peclet MH, Newman KD, Eichelberger MR, et al. Thoracic trauma in children: An indicator of increased mortality. J Pediatr Surg. 1990;25(9):961–965; discussion 965–966. doi: 10.1016/0022-3468(90)90238-5
- Karaseva OV, Golikov DE, Gorelik AL, et al. Chest injury in the structure of polytrauma in children. Russ Pediatric J. 2023;26(S3):35–36. EDN: MSIWRO
- Gwely NN. Blunt traumatic bronchial rupture in patients younger than 18 years. Asian Cardiovasc Thorac Ann. 2009;17(6):598–603. doi: 10.1177/0218492309349067
- Mordehai J, Kurzbart E, Kapuller V, Mares AJ. Tracheal rupture after blunt trauma in a child. J Pediatr Surg. 1997;32(1):104–105. doi: 10.1016/s0022-3468(97)90108-1
- Gaebler C, Mueller M, Schramm W, et al. Tracheobronchial ruptures in children. Am J Emerg Med. 1996;14(3):279–284. doi: 10.1016/S0735-6757(96)90177-1
- Li Y, Wang G, Wu C, et al. Experience of diagnosis and treatment of traumatic bronchial rupture in children in a single clinical center. Pediatr Surg Int. 2020;36(9):1019–1025. EDN: OYSFWT doi: 10.1007/s00383-020-04703-2
- Fan QM, Yang WG. Use of a modified tracheal tube in a child with traumatic bronchial rupture: A case report and review of literature. World J Clin Cases. 2021;9(29):8915–8922. doi: 10.12998/wjcc.v9.i29.8915
- Cay A, Imamoğlu M, Sarihan H, et al. Tracheobronchial rupture due to blunt trauma in children: Report of two cases. Eur J Pediatr Surg. 2002;12(6):419–422. doi: 10.1055/s-2002-36857
- Wu CY, Chen TP, Liu YH, et al. Successful treatment of complicated tracheobronchial rupture using primary surgical repair. Chang Gung Med J. 2005;28(9):662–667.
- Wood JW, Thornton B, Brown CS, et al. Traumatic tracheal injury in children: A case series supporting conservative management. Int J Pediatr Otorhinolaryngol. 2015;79(5):716–720. doi: 10.1016/j.ijporl.2015.02.025
- Cheaito A, Tillou A, Lewis C, Cryer H. Traumatic bronchial injury. Int J Surg Case Rep. 2016;27:172–175. doi: 10.1016/j.ijscr.2016.08.014
- Mironov AV, Danielyan SN, Gasanov AM, et al. Successful conservative treatment of rupture the right main and intermediate bronchus in a patient with severe closed chest trauma. Endoscopic Surg. 2016;22(1):69–73. EDN: WKGKDD doi: 10.17116/endoskop201622169-73
Supplementary files










